Trong vòng 30 phút từ lúc nhập cấp cứu, người bệnh đột quỵ được bác sĩ xử trí tiêm thuốc tiêu sợi huyết kịp thời, qua cơn nguy kịch.

Đơn vị Cấp cứu, Trung tâm Khám chữa bệnh Tâm Anh Quận 7 mới đây tiếp nhận cụ bà 70 tuổi trong tình trạng yếu liệt nửa người bên trái – dấu hiệu đặc trưng của đột quỵ. Người bệnh nhập viện lúc hơn 22 giờ.
Người nhà cho biết bà có tiền sử tăng huyết áp, xuất hiện triệu chứng từ khoảng 18-19 giờ. Ban đầu, người bệnh cảm thấy tê nửa người bên trái, sau đó cải thiện hoàn toàn, sau đó khoảng 1 giờ bị 1 cơn tương tự và phục hồi hoàn toàn, đến khoảng 21h bà thấy tê nửa người bên trái trở lại sau đó yếu dần nửa người bên trái kèm theo méo miệng và nói đớ.
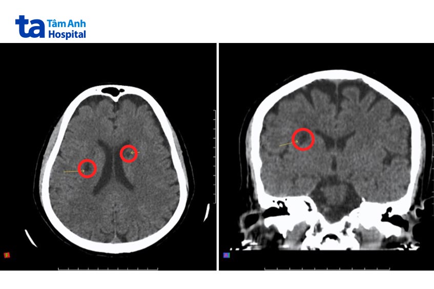
Nhận định người bệnh bị đột quỵ, BS.CKI Nguyễn Vinh Quang – Đơn vị Cấp cứu lập tức kích hoạt “Code Stroke” – quy trình khẩn cấp được thiết lập riêng cho xử trí đột quỵ. Người bệnh được chụp CT, MRI não đánh giá vùng não tổn thương. Hệ thống chụp CT hơn 100.000 lát cắt Somatom Force VB30 (Siemens, Đức) nhanh chóng loại trừ nguyên nhân xuất huyết não, xác định chẩn đoán nhồi máu não cấp trong thời gian vàng (trong vòng 4,5 giờ tính từ thời điểm khởi phát triệu chứng đột quỵ).

Ê kíp bác sĩ Cấp cứu hội chẩn với BS.CKI Hoàng Tuyết Sương – Đơn vị Thần kinh, chỉ định can thiệp cấp cứu cho người bệnh bằng thuốc tiêu sợi huyết. Tại thời điểm nhập viện, huyết áp của người bệnh ghi nhận ở mức rất cao 232/125 mmHg, do đó được xử lý thuốc để ổn định huyết áp trước. Sau đó, bác sĩ Sương tiến hành tiêm thuốc tiêu sợi huyết. Đây là phương pháp tiêm thuốc tiêu sợi huyết vào tĩnh mạch để làm tan cục máu đông gây tắc nghẽn mạch máu, thường được chỉ định trong các trường hợp đột quỵ nhồi máu não cấp.
Bác sĩ Quang cho biết tổng thời gian từ khi người bệnh nhập cấp cứu đến khi được tiêm thuốc tiêu sợi huyết khoảng 30 phút, đảm bảo nhanh chóng kịp thời, tăng tiên lượng sống và khả năng hồi phục, giảm biến chứng, di chứng nặng nề cho người bệnh.
Sau can thiệp, người bệnh đáp ứng, huyết áp được kiểm soát tốt , sức cơ tay chân cải thiện còn 4/5, bớt nói đớ và được chuyển về Bệnh viện Đa khoa Tâm Anh TP.HCM theo dõi và điều trị phục hồi chuyên sâu. Sau gần 7 ngày nhập viện, người bệnh xuất viện với tình trạng ổn định. Theo bác sĩ Quang, đột quỵ xảy ra khi mạch máu não tắc nghẽn hoặc vỡ, gây thiếu oxy, khiến tế bào não chết hàng loạt. Mỗi phút, gần 2 triệu tế bào thần kinh bị hủy hoại, người bệnh có nguy cơ cao liệt, tàn phế, sống thực vật hoặc tử vong nếu không cấp cứu kịp thời.

Bệnh viện Đa khoa Tâm Anh áp dụng “Code Stroke”, một y lệnh khẩn kết nối đa chuyên khoa, ưu tiên xử lý đột quỵ. Bệnh nhân được đánh giá nhanh, chụp CT/MRI tức thì, dùng thuốc tiêu sợi huyết ngay tại phòng chụp. “Giờ vàng” cấp cứu với “tiêu chuẩn kim cương” dưới 45 phút theo WSO Angels Awards. Quy trình “Code Stroke” rút ngắn thời gian can thiệp xuống dưới 30 phút, thậm chí hơn 20 phút, giúp giảm tối đa di chứng.
Các dấu hiệu đặc trưng của đột quỵ thường gặp gồm: méo miệng, yếu liệt tay chân một bên, nói ngọng, nhìn mờ, đau đầu dữ dội, chóng mặt bất thường. Tại Việt Nam, mỗi năm có hơn 200.000 ca đột quỵ, một nửa trong số đó sống sót nhưng mang theo nhiều di chứng như liệt nửa người, mất khả năng nói, rối loạn nuốt, co cứng cơ, thậm chí nhồi máu cơ tim tái phát.
Nguy cơ đột quỵ tăng cao ở người lớn tuổi, người mắc bệnh tim mạch, tăng huyết áp, tiểu đường, hút thuốc lá, ít vận động hoặc có chế độ ăn uống kém lành mạnh.
HỆ THỐNG BỆNH VIỆN ĐA KHOA TÂM ANH