
Màng não là một cấu trúc đặc biệt, vừa có vai trò bảo vệ hệ thần kinh chủ chốt vừa tạo môi trường cho các tế bào thần kinh phát triển. Hiểu cặn kẽ về cấu tạo và chức năng của lớp màng não giúp cho người bệnh hiểu được các bệnh lý của hệ thần kinh trung ương, để từ đó phối hợp với các bác sĩ một cách hiệu quả nhất.

Bệnh lý của màng não chiếm một tỷ trọng khá lớn trong các bệnh lý về hệ thần kinh. Tuy nhiên nhóm bệnh lý này thường dễ nhầm lẫn với những căn bệnh tại mô não hay tủy sống. Vậy màng não là cấu trúc gì? Cấu tạo màng não ra sao? Vì sao chúng lại quan trọng đến vậy? Bạn có thể tìm kiếm những thông tin này trong bài viết sau.
Màng não là một lớp mô liên kết của cơ thể, chúng ôm xung quanh các cơ quan hệ thần kinh trung ương (CNS). Lớp màng này không những tạo không gian “cách ly” mô thần kinh trung ương khỏi lớp xương cứng xung quanh, bảo vệ khỏi những tác động bên ngoài, chúng còn tạo môi trường cho các tế bào này hoạt động hiệu quả. (1)

Về mặt giải phẫu học cơ thể, lớp màng não đi song hành với mô thần kinh, có thể tạm chia thành 2 phần, lớp màng não ở hộp sọ nơi ôm lấy cấu trúc não bộ và phần màng não tủy bao phủ cấu trúc ống tủy và chùm thần kinh đuôi ngựa ở tận cùng ống sống.
Cấu trúc màng não bao gồm 3 lớp theo thứ tự từ ngoài vào trong, bao gồm màng cứng màng nhện và màng mềm với những chức năng tuy khác nhau nhưng bổ trợ lẫn nhau. (2)
Màng cứng là lớp nằm ngoài cùng trong 3 lớp của màng não. Lớp này nằm liền sát với hộp sọ và cột sống.
Nếu lấy một mẫu mô màng cứng trong hộp sọ đặt lên quan sát trên kính hiển vi, bạn sẽ quan sát thấy các mô liên kết cứng chắc và mô xơ. Cấu tạo màng cứng sẽ bao gồm hai lớp:
Hai lớp màng não cứng này tạo thành các các xoang tĩnh mạch ở giữa hai lớp, có tên gọi là các xoang tĩnh mạch màng cứng, chúng vận chuyển các máu tĩnh mạch từ não trở về tim. Màng cứng còn tạo ra các nếp gấp giúp tạo sự phân chia các vùng trên não bộ, chẳng hạn như nơi phân chia hai nửa bán cầu, hay nếp gấp phân cách đại não và tiểu não,…
Trong ống sống, màng cứng có cấu trúc hình ống bọc lấy khối mô tủy. Tại đây hai lớp của màng cứng gắn chặt với nhau, gần như chỉ quan sát được lớp màng não mà không thấy lớp màng đáy nữa.

Lớp thứ 2 trong cấu tạo của màng não là màng nhện. Tên gọi này xuất phát từ cấu trúc và hình thù đặc trưng của lớp này. Màng nhện gần như trong suốt, bao phủ mô não hay tủy sống một cách lỏng kẻo, tạo thành một khoảng trống so với hệ thần kinh. (3)
Khoang dưới nhện có thể ví von như một căn hầm cho mạch máu đi qua. Ngoài ra, lớp màng này còn đảm nhận vai trò sản xuất, hấp thu và tái tạo dịch não tủy mỗi ngày.
Màng mềm là lớp màng mỏng nhất, trong suốt và ôm sát nhu mô não và tủy sống. Lớp này của màng não có nguồn cung cấp mạch máu dồi dào được cung cấp từ màng nhện, giữ vai trò cung cấp dưỡng chất cho hệ thần kinh.
Màng mềm tủy sống cũng có cấu tạo 2 lớp: lớp bên ngoài có cấu trúc gồm các sợi collagen, lớp trong ôm sát cấu trúc tủy sống.
Màng não có một số chức năng quan trọng, có thể kể đến như vai trò: (4)
Bất kỳ bệnh lý tại màng não làm nhiễu loạn các chức năng này ít hay nhiều đều gây ra tổn thương cho nhu mô não, từ những tổn thương hồi phục được đến tổn thương không thể thoái lùi.
U màng não là một trong những loại u nội sọ thường gặp nhất. Đây là một khối u hình thành từ màng não, bao bọc quanh bề mặt của não và tủy sống trong hộp sọ. Đối với các khối u này, triệu chứng thường phụ thuộc vào vị trí của chúng trong não
Có nhiều cách thức để phân loại bệnh lý màng não. Theo nguồn gốc tế bào, khối u màng não có thể phân biệt thành khối u nguyên phát (khối u hình thành từ chính mô thần kinh) hoặc khối u thứ phát (là một khối u ở cơ quan khác di căn đến).

U màng não được Tổ chức y tế thế giới (WHO) phân loại thành ba loại chính: u màng não lành tính, u màng não ác tính (các tế bào có đặc điểm của tế bào ung thư) và u màng não không điển hình. Nhóm phân loại không điển hình là các khối u màng não mà các tế bào có đặc điểm khác thường, nhưng không có đặc điểm cụ thể của tế bào ung thư
Việc chẩn đoán khối u ở màng não phần lớn dựa trên hình ảnh MRI (cộng hưởng từ) hoặc CT scan (cắt lớp vi tính) vùng sọ não. Trong một số loại u đặc biệt thì việc lấy mẫu sinh thiết làm xét nghiệm giải phẫu bệnh cũng là một bằng chứng chính xác tuyệt đối.
Triệu chứng của u màng não phụ thuộc vào kích thước và vị trí của nó. Những triệu chứng không đặc biệt có thể bao gồm:
Đôi khi một khối u ở màng não có thể không gây ra triệu chứng đáng lưu ý nào, nhưng lại được phát hiện tình cờ khi chụp CT não vì một bệnh lý khác. Vì thế không nên lơ là khi cảm nhận cơ thể mình có các biểu hiện bất thường.
Phương pháp điều trị u màng não phụ thuộc vào kích thước, vị trí của khối u, và tình trạng sức khỏe tổng quát chung của người bệnh. Các phương pháp điều trị có thể bao gồm theo dõi sát, phẫu thuật, hóa trị hoặc điều trị bằng tia X trong một trường hợp đặc biệt.
Viêm màng não là tình trạng viêm nhiễm tại màng bảo vệ não và tủy sống, có thể do nhiều nguyên nhân khác nhau, bao gồm nhiễm trùng, siêu vi, nấm hoặc ký sinh trùng. Viêm màng não cấp tính có thể bùng phát đột ngột, gây nguy hiểm tính mạng cho người bệnh.

Viêm màng não có những biểu hiện khác nhau theo độ tuổi của người bệnh. Ở người trưởng thành các biểu hiện phổ biến bao gồm:
Viêm màng não do virus ở trẻ sơ sinh có thể khiến trẻ:
Chẩn đoán kịp thời nhóm bệnh lý này là rất quan trọng. Các bác sĩ thường thực hiện thủ thuật dọc dò tủy sống, lấy mẫu dịch não tủy để tìm tác nhân gây bệnh, đồng thời cũng đánh giá kết quả điều trị.
Việc điều trị chứng viêm màng não bắt đầu từ việc xác định chính xác tác nhân gây bệnh và điều trị bằng thuốc đặc hiệu. Người bệnh cần được nhập viện để theo dõi và chăm sóc tích cực nhằm ngăn chặn diễn tiến và phục hồi sớm cơ quan thần kinh.
Ngoài việc điều trị một cách nhanh chóng và hiệu quả, cần phòng ngừa bệnh lý này bằng phương pháp nâng cao hệ miễn dịch, như giữ ấm vầ chăm sóc trẻ trong những thời điểm trái gió trở trời, khi có dịch cảm cúm, thăm khám khi cần khi trẻ bị các tình trạng viêm mũi họng, viêm tai,… Ngoài ra việc tiêm phòng vaccine là phương pháp hữu hiệu để phòng các tác nhân thường gây viêm màng não ở trẻ em như Haemophilus influenzae týp B, phế cầu, não mô cầu khuẩn,…
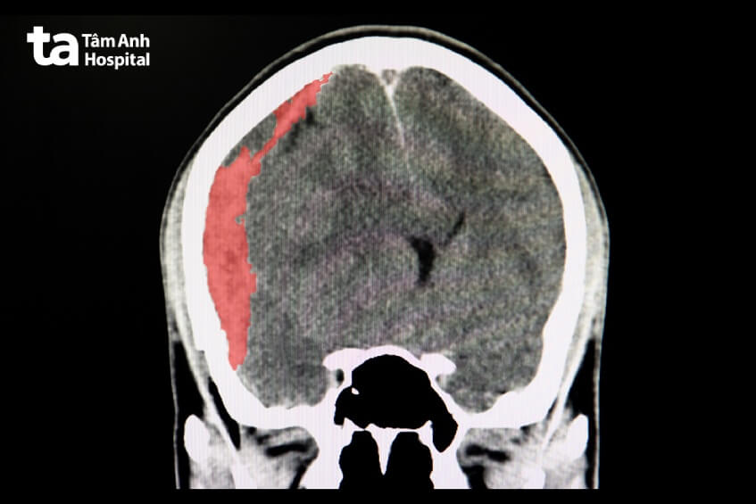
Tụ máu não là tình trạng mà máu tạo thành một khối đông trong não. Điều này có thể xảy ra khi một mạch máu trong não bị vỡ và máu bị đông tụ lại thành khối. Các mạch máu trong hộp sọ có nhiều trong các lớp màng nhện màng mềm, vỡ các mạch máu này dễ tạo thành các khối tụ máu.
Tùy theo vị trí của khối máu tụ so với 3 lớp của màng não mà chúng có thể phân loại ra thành: tụ máu ngoài màng cứng, tụ máu dưới nhện, và tụ máu trong não,…

Khối máu tụ có thể gây ra áp lực không mong muốn lên các cấu trúc não bộ xung quanh và gây ra những triệu chứng nghiêm trọng. Các triệu chứng của tụ máu não có thể bao gồm đau đầu, mất cân bằng, mất thị giác, khó nói, và mất ý thức.
Tụ máu não cũng đòi hỏi sự chẩn đoán và điều trị nhanh chóng để giảm thiểu tổn thương não và tăng cơ hội phục hồi.
Việc phát hiện sớm và đưa người bệnh đến cơ sở y tế là rất quan trọng. Đối với các trường hợp nghi ngờ xuất huyết não hoặc tụ máu não, việc thực hiện các xét nghiệm hình ảnh như CT scan không cản quang có thể được sử dụng để xác định chính xác tình trạng và quyết định phương pháp điều trị phù hợp. Chụp quang phổ mạch máu não hoặc chụp MRI cũng có thể được sử dụng để xác định nguyên nhân và đánh giá chi tiết hơn về tụ máu khi kết quả CT scan không rõ ràng.
Như vậy cơ quan bảo vệ cho não bộ và tủy sống tuy là thành phần an toàn nhất, nhưng bệnh lý của cơ quan này ít nhiều cũng gián đoạn đến hoạt động chung của hệ thần kinh, và đôi khi còn nguy hiểm đến tính mạng. Biểu hiện của nhóm bệnh lý màng não này rất dễ gây nhầm lẫn với những cơn đau đầu thông thường, hoặc những chứng bệnh khác tại não. Vì thế việc thường xuyên chăm sóc sức khỏe bản thân tại cơ sở y tế uy tín là điều cần thiết.
Hệ thống Bệnh viện Đa khoa Tâm Anh với đội ngũ y bác sĩ bác sĩ chuyên môn cao trong lĩnh vực Thần Kinh học, cùng hệ thống thiết bị chẩn đoán hiện đại nhất như máy MRI 1,5 – 3 Tesla, hệ thống chụp cắt lớp vi tính 768 lát cắt, hệ thống chụp mạch xóa nền kỹ thuật số (Digital subtraction angiography – DSA),… hỗ trợ quá trình chẩn đoán chính xác nhất và tối ưu hóa liệu trình điều trị cho người bệnh.
Để đặt lịch thăm khám, tư vấn các vấn đề về sức khỏe tại Hệ thống Bệnh viện Đa khoa Tâm Anh, Quý khách vui lòng liên hệ:
HỆ THỐNG BỆNH VIỆN ĐA KHOA TÂM ANH
Người bệnh có thể trực tiếp đặt lịch khám tại Hệ thống Bệnh viện Đa khoa Tâm Anh để được thăm khám, chẩn đoán và điều trị u màng não, người bệnh nên đến các chuyên gia giàu kinh nghiệm.