Bà Thủy ( 65 tuổi ngụ tại Đồng Tháp) sau cú ngã mạnh do điện giật, vai phải đau mỏi nghiêm trọng, không thể cử động, được chẩn đoán gãy nát khớp vai và chỉ định thay khớp vai nhân tạo.

Bà Thủy gặp sự cố điện giật, ngã mạnh xuống nền đất làm gãy chỏm vai phải, sưng nám một bên mặt. Bà đã từng khám ở một số cơ sở y tế khác và được chỉ định phẫu thuật kết hợp xương bằng đinh.
Tuy nhiên, vì chỏm vai là vị trí hoạt động nhiều và người bệnh tuổi cao, kèm loãng xương nên có nguy cơ di lệch đinh, tái gãy xương, phải mổ lại cao. Vì vậy, gia đình đã từ chối phẫu thuật và đưa bà đến Bệnh viện Đa khoa Tâm Anh TP HCM khám.
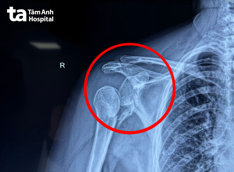
ThS.BS.CKI Mai Hoàng Dương, Trung tâm Chấn thương Chỉnh hình, cho biết người bệnh bị chấn thương khớp vai nặng. Kết quả chụp X-quang và CT cho thấy phần xương ở đầu trên cánh tay đã gãy nát, không thể bảo tồn.
Nếu cố gắng giữ lại khớp vai này, có thể dẫn đến hoại tử chỏm xương và ổ chảo cánh tay, đau đớn kéo dài và giảm nghiêm trọng khả năng vận động. Vì vậy, người bệnh được chỉ định thay khớp vai nhân tạo đảo nghịch bằng đường mổ delta ngực.

Khớp vai có thể vận động nhờ vào một ổ chảo nằm trong xương vai, bao bọc lấy chỏm hình cầu ở đầu xương cánh tay. Khi thay khớp đảo nghịch, ổ chảo nhân tạo sẽ nằm trong xương cánh tay và chỏm xương cánh nằm ở vai. Nhờ đó, sau phẫu thuật, biên độ vận động khớp vai của người bệnh được khôi phục hoàn toàn, tránh trật khớp trong tương lai.
Với đường mổ delta ngực (đường mổ đi giữa cơ ngực và cơ delta), bác sĩ tiếp cận ổ gãy dễ dàng hơn, trong khi hạn chế được tổn thương mạch máu thần kinh. Người bệnh tránh được nguy cơ sưng nề do tổn thương tĩnh mạch đầu ở cánh tay hoặc biến chứng liệt, rối loạn cảm giác sau phẫu thuật do tổn thương đám rối thần kinh từ cổ xuống cánh tay.
Ngoài ra, người bệnh được mổ trong tư thế nửa nằm nửa ngồi. Bác sĩ có thể lập tức kiểm tra tầm vận động của khớp vai ngay khi đặt khớp nhân tạo vào.
Để ca phẫu thuật có thể diễn ra thuận lợi và nhanh chóng, bên cạnh kỹ năng chuyên môn của bác sĩ, không thể bỏ qua sự hỗ trợ của các trang thiết bị hiện đại, bác sĩ Dương nói.
Cụ thể, trước khi mổ, bác sĩ đã sử dụng phần mềm Traumacad chuyên dụng để phân tích hình ảnh X-quang, MRI… từ đó lên kế hoạch phẫu thuật, chọn đường mổ và kích thước khớp vai nhân tạo phù hợp với người bệnh.
Trong khi mổ, tất cả các thao tác đều được thực hiện dưới sự giám sát của hệ thống máy C – Arm, giúp bác sĩ xác định chính xác vị trí đặt khớp nhân tạo.
Người bệnh cho biết trước khi phẫu thuật, vai phải rất đau và mỏi, không thể cử động, vai phải luôn rủ xuống kẹp sát vào nách. Làm nghề buôn bán nên việc không thể cử động ảnh hưởng rất nhiều đến cuộc sống của bà Thủy. Tuy nhiên, chỉ hai ngày sau phẫu thuật, người bệnh không còn đau, có thể thực hiện các thao tác nâng hoặc giạng vai dễ dàng, tự thực hiện các sinh hoạt cá nhân…

Theo bác sĩ Dương, bất kể đối với bệnh lý nào, điều trị bảo tồn luôn là ưu tiên. Tuy nhiên, những trường hợp nặng, tiến triển nghiêm trọng, phẫu thuật là phương pháp điều trị cuối cùng, giúp người bệnh khôi phục phần nào sinh hoạt thường ngày, đảm bảo chất lượng cuộc sống.
Thay khớp vai đảo ngược nhân tạo thường được chỉ định cho người bệnh thoái hóa khớp vai nặng, gãy phức tạp đầu trên xương cánh tay, rách lớn cơ chóp xoay, từng được thay khớp vai truyền thống nhưng thất bại, sau phẫu thuật khớp lỏng lẻo, chóp xoay tổn thương…
Xem thêm quá trình điều trị tại video
Đây là một kỹ thuật khó, không chỉ đòi hỏi chuyên môn cao của bác sĩ, mà còn cả hệ thống trang thiết bị hiện đại và các thiết kế khớp vai đạt yêu cầu. Vì vậy, người bệnh nên đến khám và phẫu thuật tại các cơ sở y tế uy tín
HỆ THỐNG BỆNH VIỆN ĐA KHOA TÂM ANH