Anh Dũng, 36 tuổi, bị hoại tử chỏm xương đùi cách đây bảy năm, bệnh tiến triển nặng, nguy cơ tàn phế, vừa được thay cả hai khớp nhân tạo.

Anh Dũng, ngụ tại Quảng Trị, ban đầu chỉ gặp những cơn đau nhẹ ở vùng háng, sau đó nặng dần. Buổi tối ngủ, chỉ cần anh trở mình cũng đau dữ dội, mất ngủ nghiêm trọng khiến anh mệt mỏi, suy nhược. Hàng ngày, các tư thế thông thường như đi lại, leo cầu thang, ngồi xổm, xoay khớp háng, bắt chéo chân… anh cũng không thể thực hiện.
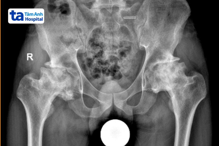
ThS.BS.CKI Đặng Khoa Học, Trưởng khoa Chấn thương Chỉnh hình Tổng quát, Bệnh viện Đa khoa Tâm Anh TP HCM, cho biết kết quả chụp MRI cho thấy tình trạng hoại tử chỏm xương đùi ở cả hai chân của anh Dũng đã tiến triển đến giai đoạn cuối, xuất hiện nhiều gai xương, gây cứng và biến dạng khớp, co rút cơ. Cách nay ba năm, anh Dũng có chỉ định phẫu thuật nhưng từ chối do lo ngại thay khớp sớm sẽ phải thay lại.
“Rất nhiều người bệnh có suy nghĩ như anh Dũng khiến bệnh tăng nặng, phải chịu đựng các cơn đau kéo dài”, bác sĩ Học nói, thêm rằng khi đã có chỉ định phẫu thuật thì đây chính là hướng điều trị phù hợp nhất cho người bệnh. Trì hoãn sẽ thúc đẩy khớp tổn thương nặng nề hơn, nguy cơ tàn phế, ảnh hưởng đến cột sống và nhiều vấn đề sức khỏe nghiêm trọng khác.
Trung bình khớp háng nhân tạo có tuổi thọ khoảng 20 – 25 năm, theo bác sĩ Học. Nếu người bệnh có lối sống khoa học, phòng ngừa loãng xương tốt thì tuổi thọ khớp háng còn kéo dài hơn.

Kế hoạch phẫu thuật dành cho anh Dũng là loại bỏ gai xương, giải quyết tình trạng cứng khớp. Sau đó thay khớp háng nhân tạo và cân bằng lại chiều dài hai chân, giúp người bệnh lấy lại dáng đi, khôi phục khả năng vận động. Ngoài ra, hai thành phần khớp háng tự nhiên là ổ cối và chỏm xương đùi của người bệnh đều đã biến dạng.
Để đảm bảo khớp háng nhân tạo được đặt vào đúng chỗ, trước khi phẫu thuật, bác sĩ đã dùng phần mềm TraumaCad định vị lại vị trí khớp háng. Trong quá trình phẫu thuật, bác sĩ sử dụng C-Arm (hệ thống chụp X-Quang trong phẫu thuật) để kiểm tra vị trí đặt khớp và đảm bảo loại bỏ hết gai xương. Nhờ đó, khớp háng nhân tạo được đặt vào đúng vị trí như khớp háng tự nhiên, giúp người bệnh vận động thoải mái nhất có thể.
Hai khớp háng của người bệnh được thay cách nhau một tuần bằng đường mổ SuperPATH. Đây là kỹ thuật bảo tồn tối đa các nhóm cơ, điểm bám quan trọng của bao khớp nên giảm đau và giảm mất máu hiệu quả. Người bệnh có thể sớm tập phục hồi chức năng, nhanh chóng khôi phục khả năng vận động, trở lại với sinh hoạt thường ngày.
Ngày đầu tiên sau phẫu thuật, anh Dũng không còn đau, có thể thực hiện các động tác trước đây không làm được, đi lại thoải mái. “Trước đây tôi chỉ gấp chân được đến 120 độ nên chỉ có thể ngồi ghế cao, không thể ngồi bệt hay nhấc cao chân, hạn chế vận động nhiều, rất bất tiện. Mổ xong tôi cảm thấy rất thoải mái, nhiều động tác mà 7 năm qua, giờ tôi mới làm lại được”, anh Dũng cho biết.
Người bệnh được hướng dẫn tập phục hồi chức năng theo lộ trình riêng giúp kiểm soát cơn đau hiệu quả, tăng sức mạnh cơ, cải thiện dáng đi, tăng cường khả năng di chuyển và tự thực hiện những công việc hằng ngày. Tiên lượng sau khi phục hồi, người bệnh có thể cảm thấy khớp háng nhân tạo không có sự khác biệt đáng kể so với khớp háng tự nhiên trước khi bệnh.

Bác sĩ Học cho biết, hoại tử chỏm xương đùi xảy ra khi mạch máu chính nuôi dưỡng khớp háng bị chèn ép hoặc tổn thương, làm thiếu máu nuôi dưỡng xương và sụn ở khu vực này, dẫn đến hoại tử. Trước đây, người cao tuổi có nguy cơ mắc bệnh cao hơn nhưng hiện nay, ngày càng nhiều trường hợp người bệnh tuổi như anh Dũng. Bệnh trẻ hóa có thể xảy ra do thói quen sinh hoạt thiếu khoa học, chấn thương hoặc điều trị các bệnh lý liên quan đến khớp háng không đúng cách.
Hoại tử chỏm xương đùi có thể dẫn đến tàn phế và ảnh hưởng chức năng cột sống nếu không được điều trị kịp thời. Ngay khi xuất hiện các dấu hiệu bất thường ở khớp háng như đau, hạn chế vận động, người bệnh nên sớm đi khám. Ở giai đoạn đầu, bệnh có thể được điều trị bảo tồn bằng thuốc, tập phục hồi chức năng… Khi bệnh tiến triển nặng, đã có chỉ định phẫu thuật, người bệnh nên sớm điều trị để thoát khỏi đau đớn, khôi phục sinh hoạt thường ngày, tránh nguy cơ tàn phế.
Tại Bệnh viện Đa khoa Tâm Anh, các phương pháp phẫu thuật hiện đại như SuperPATH, ABMS, ADD… có các ưu điểm đường mổ nhỏ, bảo tồn cơ tối đa, ít mất máu… giúp người bệnh nhanh khôi phục vận động, có thể đi lại ngay sau phẫu thuật 1 – 2 ngày.
HỆ THỐNG BỆNH VIỆN ĐA KHOA TÂM ANH