Ông Tấn, 66 tuổi, suy giảm nhanh trí nhớ, nhận thức, ngôn ngữ, phát hiện bệnh thoái hóa não hiếm gặp do prion – loại protein làm tổn thương lan tỏa tế bào thần kinh.

Ông Tấn bắt đầu thay đổi giấc ngủ, thường thức giấc giữa đêm và nói chậm hơn trước cách đây khoảng sáu tuần. Hai tuần gần đây, các triệu chứng tăng nhanh, ông mất ngủ nhiều, nhìn mờ, đi lại nghiêng ngã, nói không trôi chảy và quên nhiều việc quan trọng nên được gia đình đưa đến Bệnh viện Đa khoa Tâm Anh TP HCM thăm khám.
BS.CKI Trần Mai Hạnh Tiên, Khoa Thần kinh, Trung tâm Khoa học Thần kinh, ghi nhận ông Tấn suy giảm trí nhớ rõ rệt có thể nhắc lại ngay 3 đồ vật nhưng sau 5 phút thì quên hoàn toàn, kể cả khi được gợi ý. Ông gặp khó khăn với các phép tính đơn giản và không gọi tên được con vật theo yêu cầu, cho thấy nhiều chức năng nhận thức như trí nhớ, tập trung và ngôn ngữ bị ảnh hưởng. Khám thần kinh ghi nhận rung giật nhãn cầu, đi lại mất thăng bằng và một số phản xạ bất thường, phù hợp tình trạng tổn thương não. Đánh giá tổng thể cho thấy người bệnh suy giảm nhận thức mức độ trung bình, ảnh hưởng nhiều lĩnh vực gồm trí nhớ, chức năng điều hành, tập trung chú ý và ngôn ngữ.
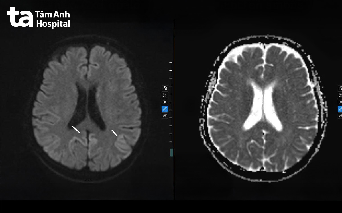
Chụp MRI 3 Tesla cho thấy nhiều vùng bất thường ở vỏ não và một số cấu trúc sâu trong não, hình ảnh gợi ý bệnh Creutzfeldt-Jakob (CJD). Điện não đồ ghi nhận sóng chậm lan tỏa ở cả hai bán cầu, cho thấy não đang bị tổn thương. Ông Tấn được chỉ định xét nghiệm dịch não tủy phát hiện protein 14-3-3 tăng cao (82 ng/mL), là dấu ấn sinh học quan trọng giúp củng cố chẩn đoán bệnh liên quan prion.

Theo bác sĩ Tiên, bệnh Creutzfeldt-Jakob là bệnh thoái hóa não hiếm gặp do prion, khả năng tiến triển rất nhanh. Bình thường trong não mỗi người đều có một loại protein gọi là prion (PrP) ở dạng bình thường, vô hại. Tuy nhiên, khi protein này bị gấp cuộn sai cấu trúc, trở thành dạng bất thường và có khả năng “làm biến dạng” các protein bình thường xung quanh, khiến chúng cũng trở thành bất thường và lan rộng như phản ứng dây chuyền.
Quá trình này gây tổn thương và chết nhanh các tế bào thần kinh, tạo ra nhiều lỗ nhỏ trong mô não và làm chức năng não suy giảm nhanh chóng. Vì vậy, người bệnh thường xuất hiện sa sút trí tuệ tiến triển nhanh, rối loạn hành vi, mất thăng bằng, nhìn mờ hoặc giật cơ, và bệnh có thể nặng lên trong thời gian ngắn. Bác sĩ Tiên cho biết, theo các thống kê dịch tễ học, bệnh này chỉ xảy ra khoảng 1 trường hợp trên 1 triệu người mỗi năm trên toàn thế giới.

Ông Tấn được theo dõi sát và tiếp tục làm thêm xét nghiệm để loại trừ các nguyên nhân có thể can thiệp. Song song đó, ông được chăm sóc giảm nhẹ, kiểm soát các triệu chứng thần kinh, hỗ trợ dinh dưỡng, vận động và hô hấp. Mục tiêu là giúp ông giảm khó chịu, hạn chế biến chứng và duy trì chất lượng cuộc sống tốt trong quá trình điều trị.
Hiện nay, Creutzfeldt-Jakob chưa có phương pháp điều trị đặc hiệu vì prion không phải vi khuẩn hay virus nên không đáp ứng với kháng sinh, kháng virus hay thuốc ức chế miễn dịch. Khi prion đã kích hoạt quá trình biến đổi dây chuyền trong não, tổn thương tế bào thần kinh diễn ra liên tục và không thể đảo ngược.
Bệnh thường tiến triển nhanh qua từng giai đoạn, ban đầu là suy giảm trí nhớ và thay đổi hành vi, sau đó xuất hiện mất phối hợp vận động, giật cơ, rối loạn nuốt, nói khó, giảm ý thức. Ở giai đoạn muộn, người bệnh có thể rơi vào trạng thái gần như không giao tiếp được, nằm một chỗ và phụ thuộc hoàn toàn vào chăm sóc.
Người bệnh có thể tử vong sớm, thường do biến chứng như viêm phổi hít, nhiễm trùng, suy kiệt hoặc rối loạn thần kinh thực vật. Việc chẩn đoán sớm giúp loại trừ các bệnh có thể điều trị được, đồng thời giúp gia đình chuẩn bị kế hoạch chăm sóc và theo dõi phù hợp.
Bác sĩ Hạnh Tiên khuyến cáo người lớn tuổi xuất hiện sa sút trí tuệ diễn tiến nhanh trong vài tuần đến vài tháng, kèm rối loạn thăng bằng, thay đổi hành vi hoặc rối loạn thị giác cần được thăm khám chuyên khoa thần kinh sớm. Chụp MRI não với kỹ thuật khuếch tán, điện não đồ và các xét nghiệm dấu ấn sinh học đóng vai trò quan trọng trong chẩn đoán, giúp phân biệt với các nguyên nhân có thể điều trị được như viêm não, bệnh tự miễn hay rối loạn chuyển hóa.
HỆ THỐNG BỆNH VIỆN ĐA KHOA TÂM ANH