Ông Châu, 63 tuổi, phát hiện ung thư đại tràng tiến triển nhờ chỉ dấu từ chụp CT toàn thân, kịp thời phẫu thuật loại bỏ và triệt căn u bằng robot.

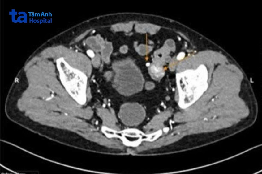
Trước đó, ông Châu (ngụ tại Đồng Tháp) không có triệu chứng bệnh rõ ràng, chỉ thỉnh thoảng đầy hơi, đi ngoài phân hơi nhỏ, dẹt. Ông đến Phòng khám Đa khoa Tâm Anh Quận 7 khám tổng quát. Kết quả chụp CT hơn 100.000 lát cắt ghi nhận có cấu trúc bất thường làm dày thành đại tràng sigma (vị trí thấp nhất trong đại tràng, nối liền với trực tràng), kích thước 2,5 cm.
Nghi ngờ tổn thương nguy hiểm, tiến sĩ bác sĩ Đỗ Minh Hùng, Giám đốc Trung tâm Nội soi và Phẫu thuật Nội soi Tiêu hóa, Bệnh viện Đa khoa Tâm Anh TP HCM, chỉ định ông Châu nội soi đại tràng bằng hệ thống nội soi phóng đại 150 lần để đánh giá xác định chuyên sâu. Kết quả ghi nhận ông Châu có nhiều polyp dọc khung đại tràng, trong đó, polyp lớn 2,5 cm nằm chặn ở đại tràng sigma, bề mặt polyp biến đổi cấu trúc tuyến và vi mạch máu, nghi ngờ ung thư. Bác sĩ tiến hành lấy mẫu sinh thiết polyp ngay trong lúc nội soi, đồng thời cắt hết các polyp nhỏ để phòng ngừa polyp tiến triển hóa ác về sau.
Kết quả giải phẫu bệnh là ung thư biểu mô tuyến xâm nhập, tế bào ung thư đã tiến triển, nguy cơ cao di căn đến các hạch bạch huyết gần đó hoặc các cơ quan xa hơn trong cơ thể. “Người bệnh cần phẫu thuật lấy u, nạo vét hạch bạch huyết càng sớm càng tốt để ngăn ngừa tế bào ung thư lan rộng”, bác sĩ Minh Hùng nói, thêm rằng gần đây nhiều trường hợp phát hiện ung thư đại tràng nhờ chỉ dấu từ chụp CT như ông Châu. Hiện các thế hệ máy CT mới với số lát cắt lớn, tích hợp AI có khả năng nhận diện nhanh các tổn thương trong cơ thể, qua đó giúp bác sĩ kịp thời chẩn đoán các bệnh nguy hiểm.

Sau hội chẩn, bác sĩ Minh Hùng tiến hành phẫu thuật nội soi cắt khối u đại tràng cho ông Châu bằng hệ thống Robot Da Vinci Xi hiện đại. Sau khi gắn cánh tay robot vào các trocar (dụng cụ nội soi) ở vị trí bụng, bác sĩ ngồi ở buồng điều khiển quan sát các cấu trúc bên trong đại tràng, điều khiển cánh tay robot kẹp cắt động mạch, tĩnh mạch mạc treo tràng dưới và động mạch đại tràng trái. Sau đó, phẫu tích di động trực tràng, đại tràng sigma và tiến hành cắt ngang trực tràng sigma dưới u 10 cm, cắt ngang đại tràng trên u 15 cm, khâu lại kiểm tra máu nuôi tốt và kết thúc ca mổ.
Ông Châu sau phẫu thuật, sức khỏe hồi phục tốt, có thể đi lại sau 1 ngày, ăn thức ăn lỏng sau 2 ngày. Kiểm tra vị trí cắt hai đầu không còn tế bào u, u chưa xâm nhập mạch hoặc quanh thần kinh, các hạch chưa di căn. Ông Châu được xuất viện sau 5 ngày phẫu thuật, thăm khám định kỳ theo dõi bệnh tái phát theo lịch hẹn của bác sĩ. Nhờ phát hiện và điều trị kịp thời nên khối u được lấy trọn, triệt căn, người bệnh không cần điều trị gì thêm. “Phẫu thuật cắt khối u bằng hệ thống Robot Da Vinci Xi có nhiều ưu điểm, vết mổ rất nhỏ, chỉ 0,5-1 cm, cánh tay robot linh hoạt nên có thể loại bỏ khối u chính xác, hiệu quả, bệnh nhân ít đau, phục hồi nhanh hơn”, bác sĩ Minh Hùng nói.

Ung thư đại tràng là bệnh lý rất phổ biến, tỷ lệ tử vong thuộc top cao tại Việt Nam, chỉ sau ung thư gan, ung thư phổi, ung thư vú và ung thư dạ dày. Ung thư đại tràng nếu được phát hiện và điều trị sớm có thể chữa khỏi 90%. Ở giai đoạn sớm, bệnh thường không có triệu chứng hoặc triệu chứng mơ hồ, thoáng qua, dễ gây nhầm lẫn với các bệnh lý tiêu hóa khác nên thường phát hiện bệnh ở giai đoạn muộn.
Việc thăm khám sức khỏe, chụp CT đa lát cắt hoặc nội soi đường tiêu hóa định kỳ có vai trò quan trọng trong việc phát hiện bệnh ở giai đoạn sớm. Khi có các dấu hiệu bất thường như thay đổi tính chất và hình dạng phân (phân dẹt hơn bình thường, có mùi tanh…), thay đổi thói quen đại tiện (đi cầu lắt nhắt, táo bón, tiêu chảy…), đi tiêu phân đen hay ra máu lẫn nhớt trong phân, cơ thể suy nhược, mệt mỏi, đau bụng dưới… thì cần đến các cơ sở y tế uy tín, có đầy đủ máy móc để được chẩn đoán và điều trị kịp thời.
(*) Tên bệnh nhân đã được thay đổi
HỆ THỐNG BỆNH VIỆN ĐA KHOA TÂM ANH