Ông Minh, 55 tuổi, phát hiện ung thư đại tràng giai đoạn sớm nhưng từ chối điều trị do sợ “lây lan” nhanh hơn; sau sáu tháng uống thuốc nam bị di căn gan.

Ông Minh đi cầu ra máu từ tháng 11/2024. Nội soi đại tràng tại Bệnh viện Đa khoa Tâm Anh TP HCM phát hiện ung thư đại tràng, loại biểu mô tuyến xâm nhập, giai đoạn 2. Bác sĩ tư vấn phẫu thuật sau đó hóa trị, nhưng ông Minh từ chối vì lo sợ mổ khiến tế bào ung thư lây lan nhanh hơn. Đồng thời, ông nghĩ hóa trị làm tiêu diệt tế bào, khiến sức khỏe suy kiệt, “sống không bằng chết”.
Ông Minh về nhà điều trị theo dân gian, uống thuốc nam hỏi thăm từ người quen suốt 6 tháng, kết hợp kiêng ăn thịt gà, thịt bò… Mỗi bữa sáng, trưa, chiều, ông sắc thuốc với 3 chén nước nấu còn 1 chén để uống. Tuy nhiên, tình trạng táo bón ngày càng nặng hơn, ông sụt 15 kg, không ăn uống được; đau bụng lúc dữ dội, khi âm ỉ. Ông đi tiêu khó khăn trong vòng một tháng, bụng căng chướng, sức khỏe suy giảm rõ rệt.
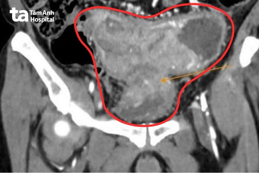
Gia đình đưa ông Minh trở lại Bệnh viện Đa khoa Tâm Anh TP HCM khám. Kết quả chụp CT bụng ghi nhận khối u ác tính gây hẹp hoàn toàn lòng ruột gây dãn ứ phân, xâm lấn gây dày thành bàng quang. Đặc biệt gan có 2 tổn thương do u đại tràng di căn đến.

Bác sĩ CKII Nguyễn Trần Anh Thư, khoa Ung Bướu chẩn đoán ông Minh bị ung thư đại tràng sigma (đoạn ruột cuối cùng, có hình chữ S trước khi nối với trực tràng) giai đoạn 4, xâm lấn bàng quang, di căn gan. “Nếu điều trị ngay ở giai đoạn trước đó, ông Minh chỉ cần phẫu thuật, có thể hóa trị hỗ trợ thêm với liều phù hợp là ổn định sức khỏe” – bác sĩ Anh Thư cho biết.
Ông Minh được phẫu thuật nội soi làm hậu môn nhân tạo, đưa phân ra ngoài. Bác sĩ cho ông Minh dùng thuốc trúng đích kết hợp hóa trị theo phác đồ FOLFOX (phối hợp 3 loại thuốc).
Quá trình điều trị cho ông Minh gặp nhiều khó khăn do sức khỏe suy kiệt, sức đề kháng kém. Trước điều trị, ông Minh bị nhiễm trùng tiểu do vi khuẩn E.coli, gây nhiễm trùng huyết, phải điều trị với kháng sinh 10 ngày. Sau thời gian điều trị kháng sinh, kết quả cấy máu âm tính với vi khuẩn, ông được đặt buồng tiêm dưới da để chuẩn bị hóa trị.
Sau chu kỳ đầu tiên, ông Minh bị nhiễm trùng tiểu tái phát, được khám với bác sĩ khoa Nội thận, tiếp tục sử dụng thuốc kháng sinh. Khi tình trạng nhiễm trùng ổn định, ông Minh tiếp tục hóa trị chu kỳ 2,3,4. Ông Minh ăn uống đầy đủ dinh dưỡng, không kiêng khem như trước, uống 2 lít nước mỗi ngày.
Sau 3 tháng hoá trị, kết quả chụp CT thấy khối u giảm kích thước. Hiện ông Minh khỏe, ăn uống được, không đau bụng, hậu môn nhân tạo hoạt động tốt, hậu môn thật không chảy máu. “Tôi hối hận khi không điều trị ung thư theo tư vấn ban đầu của bác sĩ” – ông Minh nói.
Bác sĩ Anh Thư cho biết, các loại thuốc nam có thể được dùng kết hợp với hóa trị, xạ trị để ổn định tinh thần, cải thiện triệu chứng, nâng đỡ tổng trạng, giảm ảnh hưởng của tác dụng phụ… Tuy nhiên khi sử dụng thuốc, người bệnh nên tham khảo ý kiến bác sĩ điều trị; đồng thời có thể kết hợp thuốc theo đơn của bác sĩ y học cổ truyền tư vấn.

Bệnh ung thư được điều trị đa mô thức (phối hợp nhiều phương pháp) như phẫu thuật, hóa trị, xạ trị, thuốc miễn dịch… vừa kiểm soát tại chỗ vừa khống chế di căn xa, giảm tối đa biến chứng và nâng cao hiệu quả điều trị. Phẫu thuật không làm tế bào ác tính lan khắp cơ thể. Các chẩn đoán hình ảnh hiện đại như siêu âm, CT, MRI… hỗ trợ bác sĩ chẩn đoán chính xác giai đoạn bệnh trước mổ, nhờ đó giúp phẫu thuật chính xác, nâng cao hiệu quả điều trị.
Hóa trị là đưa thuốc hóa chất vào cơ thể để tiêu diệt và ngăn chặn tế bào ung thư phát triển. Thuốc ảnh hưởng đến cả tế bào ác tính và tế bào lành tính nên có thể gây tác dụng phụ như mệt mỏi, suy nhược cơ thể, buồn nôn, rụng tóc, mất vị giác, thiếu máu, xuất huyết… Tuy nhiên, các triệu chứng này hoàn toàn có thể được kiểm soát bởi các loại thuốc hỗ trợ triệu chứng và giảm bớt các tác dụng phụ.
Bác sĩ Anh Thư khuyên người bệnh ung thư nên điều trị theo chỉ định của bác sĩ. Không tự ý dùng các loại lá cây, thuốc dân gian làm mất cơ hội chữa khỏi ở giai đoạn sớm. Khi bệnh tiến triển nặng, quá trình điều trị phức tạp, tốn kém, ảnh hưởng đến tâm lý, chất lượng cuộc sống.
*Tên người bệnh đã được thay đổi
HỆ THỐNG BỆNH VIỆN ĐA KHOA TÂM ANH