(Hà Nội) – Ông Trương Văn Dũng, 46 tuổi, ung thư phổi giai đoạn IV di căn xương, được điều trị bằng hóa trị kết hợp thuốc đích.

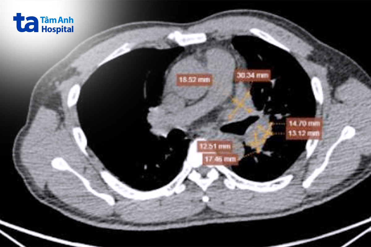
BS.CKII Nguyễn Thành Trung, Khoa Ung bướu, Bệnh viện Đa khoa Tâm Anh Hà Nội cho biết phim chụp CT và PET/CT của ông Dũng cho thấy khối u ác tính từ phổi trái kích thước khoảng 58x29mm, xâm lấn qua màng phổi trung thất lân cận tạo thành khối lớn tại rốn phổi trái kích thước 33x24mm, di căn xương cột sống. Bệnh ở giai đoạn IV, người bệnh không thể phẫu thuật mà cần chuyển sang phác đồ điều trị toàn thân.

Kết quả xét nghiệm sinh học phân tử xác định ông Dũng mắc ung thư phổi không tế bào nhỏ có đột biến gen EGFR DEL19. EGFR (Epidermal Growth Factor Receptors) có chức năng tiếp nhận tín hiệu từ các yếu tố tăng trưởng bên ngoài tế bào, từ đó kích thích tế bào sinh trưởng, phân chia, biệt hóa. Đột biến EGFR khiến tế bào tăng sinh quá mức có thể dẫn đến ung thư. Đây là một dấu ấn sinh học giúp bác sĩ xác định cơ chế gây bệnh và đưa ra phác đồ phù điều trị phù hợp.
Bệnh nhân được tư vấn chiến lược điều trị kết hợp giữa thuốc đích chứa hoạt chất Osimertinib cùng hóa trị, theo nghiên cứu FLAURA2. Bác sĩ Trung cho biết đây là một hướng tiếp cận mới cho người bệnh ung thư phổi không tế bào nhỏ đột biến gen EGFR nhạy thuốc, trong đó sử dụng thuốc đích Osimertinib kết hợp hóa trị ngay từ bước một.
Bác sĩ Trung giải thích, trước đây, phác đồ điều trị đầu tay cho ung thư phổi EGFR dương tính là Osimertinib đơn trị. Việc phối hợp với hóa trị chỉ được cân nhắc ở các bước sau.

Khoảng 2 năm trở lại đây, trên thế giới, kết quả từ nghiên cứu FLAURA2 đã mở ra xu hướng điều trị kết hợp ngay từ đầu, giúp kiểm soát toàn diện tế bào ung thư, kéo dài thời gian sống cho người bệnh.
Theo Bác sĩ Trung, việc phối hợp này giúp tấn công khối u theo hai cơ chế. Thuốc đích kiểm soát các tế bào mang đột biến EGFR, ngăn chặn quá trình tăng sinh, trong khi hóa trị tiêu diệt các dòng tế bào ung thư không phụ thuộc đột biến. Nhờ đó, hiệu quả điều trị toàn diện hơn và làm chậm quá trình kháng thuốc – nguyên nhân chính khiến bệnh tiến triển trở lại.
Nghiên cứu FLAURA2 cho thấy việc phối hợp Osimertinib với hóa trị giúp kéo dài thời gian sống thêm không tiến triển (PFS) lên 25,5 tháng, so với 16,7 tháng khi dùng đơn trị. Đáng chú ý, dữ liệu cập nhật thể hiện thời gian sống thêm toàn bộ (OS) của bệnh nhân có thể đạt gần 47,5 tháng, cao hơn khoảng 10 tháng so với điều trị thuốc đích đơn thuần.
Ông Dũng uống thuốc đích mỗi ngày, kết hợp cùng hai loại hóa chất được truyền theo đường tĩnh mạch mỗi 3 tuần. Sau 2 chu kỳ điều trị, sức khỏe bệnh nhân ổn định, tăng 3kg. Các hạch ở cổ giảm kích thước 2/3 so với trước điều trị, không còn đau ngực và ho, bệnh nhân có thể sinh hoạt, đi làm bình thường.
EGFR, ALK, MET, ROS-1, TP53, KRAS là một số loại đột biến gen thường gặp trong ung thư phổi. Trong đó, đột biến EGFR thường gặp ở người không hút thuốc lá, nữ nhiều hơn nam, chiếm khoảng 20% trong ung thư biểu mô tuyến ở người phương Tây và 50-60% ở người châu Á. Việc xác định đột biến gen trong ung thư phổi, đặc biệt là ung thư phổi không tế bào nhỏ nhằm cá thể hóa điều trị, giúp bác sĩ lựa chọn các phương pháp cá thể lựa chọn liệu pháp nhắm trúng đích hiệu quả cao thay vì hóa trị truyền thống.
Theo GLOBOCAN 2022, Việt Nam ghi nhận hơn 24.400 ca ung thư phổi mới (đứng thứ 3 trong các loại ung thư) và gần 22.600 ca tử vong vì bệnh này.
Ở giai đoạn sớm, ung thư phổi thường diễn biến âm thầm, hầu như không có triệu chứng, khi xuất hiện các dấu hiệu thì bệnh thường đã ở giai đoạn muộn hơn, điều trị khó khăn, tốn kém, phức tạp, nhiều biến chứng và hiệu quả giảm rõ rệt.
Bác sĩ Trung khuyến cáo mọi người nên khám sức khỏe định kỳ tại bệnh viện. Những người có nguy cơ cao bao gồm người trên 50 tuổi đang hoặc từng hút thuốc lá, hút thuốc trong nhiều năm, có tiền sử ung thư phổi nên tầm soát bệnh hàng năm bằng kỹ thuật chụp CT phổi liều thấp. Chụp CT liều thấp là phương pháp tầm soát ung thư phổi hiệu quả, giúp nhận diện bất thường ngay cả khi chưa có dấu hiệu.
*Tên bệnh nhân đã được thay đổi
HỆ THỐNG BỆNH VIỆN ĐA KHOA TÂM ANH