Các cánh tay robot Da Vinci Xi liên tục bóc tách và khâu nối, giúp bác sĩ cắt trọn khối u và tạo hình bàng quang từ ruột non cho người đàn ông bị ung thư.
Trên màn hình phóng đại độ nét cao, từng cấu trúc nhỏ trong vùng chậu hiện rõ. TS.BS Nguyễn Hoàng Đức, Trưởng khoa Tiết niệu, Trung tâm Tiết niệu – Thận học – Nam khoa, Bệnh viện Đa khoa Tâm Anh TP HCM đang điều khiển robot Da Vinci Xi bóc tách khối u đã xâm lấn cơ bàng quang và nạo vét hạch chậu cho ông Toàn, 54 tuổi.

Những cánh tay robot với khớp nối linh hoạt xoay 540 độ được đưa vào khoang bụng bệnh nhân qua những lỗ nhỏ chỉ 1 cm. Bác sĩ Đức điều khiển robot Da Vinci Xi cắt trọn tận gốc bàng quang và nạo vét hạch chậu cho ông Toàn, bảo toàn các cấu trúc thần kinh.
Sau khi cắt trọn bàng quang ung thư, bác sĩ sử dụng một đoạn cuối ruột non (hồi tràng) dài khoảng 15-20 cm của chính người bệnh để tạo thành một túi chứa nước tiểu mới thay thế bàng quang đã cắt bỏ. Sau đó, hai niệu quản được khâu nối vào túi này để dẫn nước tiểu từ thận xuống và túi được nối vào niệu đạo.
Vài năm trước, ông Toàn xuất hiện các triệu chứng như tiểu đau, tiểu buốt, tiểu rắt… tưởng mình bị nhiễm khuẩn đường tiết niệu thông thường, ông tự mua thuốc uống nhưng không khỏi.
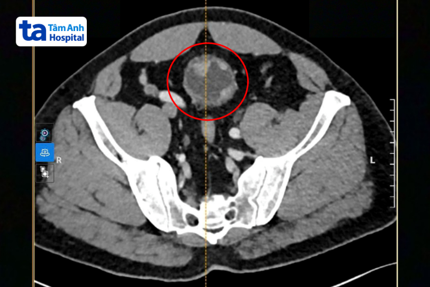
Khi đến khám tại Bệnh viện Đa khoa Tâm Anh TP HCM, bác sĩ siêu âm và nội soi bàng quang phát hiện khối u có đường kính khoảng 4-6 cm. Kết quả sinh thiết xác định u ác tính và đã có dấu hiệu xâm lấn vào lớp cơ bàng quang.

Sau khi hội chẩn, êkíp quyết định phẫu thuật “2 trong 1” nhằm cắt bỏ toàn bộ bàng quang triệt căn khối u và tạo hình bàng quang mới từ ruột non cho người bệnh bằng hệ thống robot Da Vinci Xi.
Theo bác sĩ Đức, tạo hình bàng quang bằng ruột non là một trong những kỹ thuật phức tạp hiếm gặp của ngành ngoại khoa tiết niệu, hiện chỉ mới được triển khai ở một số trung tâm tiết niệu lớn, trong đó có Bệnh viện Đa khoa Tâm Anh. Phương pháp này đòi hỏi hệ thống trang thiết bị hiện đại và kinh nghiệm của phẫu thuật viên vừa tỉ mỉ chọn đoạn ruột phù hợp, vừa khâu tạo hình thành túi bàng quang và lập lại lưu thông với 2 niệu quản và niệu đạo.
Thông thường, khi thực hiện kỹ thuật tạo hình bàng quang truyền thống, bác sĩ phải mở thêm một đường mổ khoảng 6-7 cm để đưa đoạn ruột ra ngoài ổ bụng, làm sạch và tạo hình rồi mới đặt lại vào trong. Với robot, phần lớn thao tác có thể thực hiện trực tiếp trong ổ bụng nhờ cánh tay robot linh hoạt và hình ảnh 3D phóng đại, giúp giảm mất máu, hạn chế đau sau mổ, rút ngắn thời gian hồi phục và đặc biệt mở ra cơ hội cho người bệnh đi tiểu theo đường tự nhiên, tránh phải mang túi nước tiểu suốt đời.
Tuy nhiên, đổi lại, phẫu thuật đòi hỏi thời gian mổ kéo dài và sự tỉ mỉ cao. Nếu phẫu thuật thông thường khoảng 3 giờ, thì với kỹ thuật robot toàn phần, ca mổ có thể kéo dài gấp đôi hoặc lâu hơn để hoàn thành đầy đủ các bước một cách an toàn.
Theo TTƯT.PGS.TS.BS Vũ Lê Chuyên, Chủ tịch Danh dự Hội Tiết Niệu Thận học Việt Nam, Giám đốc Trung tâm Tiết niệu – Thận học – Nam khoa, Bệnh viện Đa khoa Tâm Anh TP HCM, phẫu thuật tạo hình bàng quang bằng ruột bắt đầu triển khai tại Việt Nam từ năm 1995 với nhiều phương pháp tạo hình khác nhau, từ mổ mở đến mổ nội soi truyền thống và gần đây là mổ nội soi có robot hỗ trợ.
“Nếu mổ mở, người bệnh phải chịu đường mổ dài nên hậu phẫu rất đau. Nếu mổ nội soi thông thường, bác sĩ có thể làm tốt giai đoạn cắm niệu quản vào bàng quang, nhưng sau đó vẫn phải chuyển sang mổ mở để tiếp tục tạo hình bằng ruột”, Phó giáo sư Chuyên lý giải và cho biết thêm rằng Bệnh viện Đa khoa Tâm Anh là một trong số ít bệnh viện phẫu thuật tạo hình bàng quang bằng robot Da Vinci Xi khắc phục nhược điểm của phẫu thuật truyền thống, thao tác được thực hiện xuyên suốt, hoàn toàn trong ổ bụng, hậu phẫu nhẹ nhàng, nhanh hồi phục.
Ba ngày sau mổ, ông Toàn có thể vận động nhẹ nhàng và được xuất viện. Ông cần đặt ống thông tiểu khoảng ba tuần trước khi tập đi tiểu theo đường tự nhiên để cơ thể thích nghi với bàng quang mới.
Ung thư bàng quang là một trong những loại ung thư phổ biến ở nam giới, đặc biệt sau tuổi 50. Theo thống kê, nam giới có nguy cơ mắc bệnh này cao gấp 3-4 lần nữ giới do thường có thói quen hút thuốc lá, chất độc từ khói thuốc được lọc qua thận và tích tụ trong bàng quang, gây tổn thương niêm mạc. Nam giới làm việc trong các ngành nghề tiếp xúc với hóa chất độc hại cũng có nguy cơ mắc bệnh cao hơn bình thường.
Bệnh thường khởi phát âm thầm, với những triệu chứng dễ nhầm lẫn với viêm đường tiết niệu thông thường như tiểu buốt, tiểu rắt, tiểu nhiều lần hoặc tiểu ra máu thoáng qua. Nhiều người chủ quan tự mua thuốc điều trị khiến bệnh âm thầm tiến triển xâm lấn cơ, buộc phải cắt bỏ toàn bộ bàng quang để triệt căn ung thư.
Bác sĩ Đức khuyến cáo, nam giới trên 50 tuổi nếu gặp rối loạn tiểu tiện kéo dài hoặc có máu trong nước tiểu, cần khám chuyên khoa tiết niệu để nội soi phát hiện sớm bất thường, can thiệp ít xâm lấn giúp bảo tồn bàng quang và cải thiện chất lượng sống lâu dài.
*Tên nhân vật trong bài đã được thay đổi
HỆ THỐNG BỆNH VIỆN ĐA KHOA TÂM ANH