Ông Tài, 58 tuổi, phát hiện ung thư xương di căn từ thận cách đây gần một năm, chủ quan không điều trị, di căn lan từ vai xuống đùi, đau nhức dai dẳng.

Ông Tài (ngụ TP HCM) đến Bệnh viện Đa khoa Tâm Anh TP HCM khám trong tình trạng đau nhức đùi phải, sụm chân, đi lại khó khăn… dù đã uống nhiều thuốc nhưng tình trạng không cải thiện.
Ông Tài cho biết bắt đầu xuất hiện cơn đau vai phải lần đầu tiên vào tháng 9/2023, kết quả sinh thiết mô bướu khối u ở vai cho thấy ung thư thận di căn xương. Tuy nhiên do không thấy cơ thể có các bất thường nghiêm trọng nên người bệnh quyết định không điều trị. Cho đến gần đây, cơn đau ở vai tái phát và bắt đầu đau mỏi đùi phải.
TS.BS Văn Đức Minh Lý, Trung tâm Chấn thương Chỉnh hình, cho biết người bệnh bị ung thư xương di căn (u xương ác tính) ở đầu trên xương đùi phải. Tình trạng này xảy ra khi các tế bào ung thư từ thận (ổ nguyên phát) di căn tới tổ chức xương, gây tổn hại tới cấu trúc của xương. Đây là biến chứng di căn của ung thư thận giai đoạn cuối.

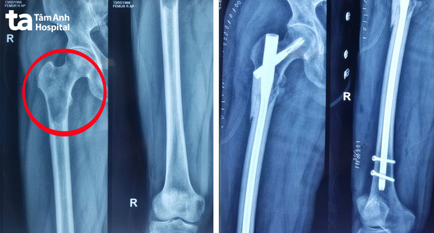
Đầu trên xương đùi phải là vị trí chịu lực lớn khi cơ thể vận động. Ở trường hợp của ông Tài, ⅔ chu vi của đầu trên xương đùi phải đã bị hủy nên người bệnh đối mặt với nguy cơ gãy xương rất cao. Chỉ cần những động tác như với tay lấy đồ hoặc bước hụt chân cũng có thể làm gãy ngang xương đùi. Hậu quả là người bệnh phải nằm một chỗ, không thể tự di chuyển, gây khó khăn cho việc điều trị ung thư và có thể làm phát sinh các biến chứng do nằm lâu như loét tì đè, teo cơ…
Ngoài ra, nếu để xương gãy mới điều trị thì quá trình phẫu thuật sẽ gặp nhiều khó khăn hơn do hai đầu xương gãy có thể vỡ nát hoặc di lệch… Vì vậy, người bệnh được chỉ định phẫu thuật kết hợp xương, dự phòng gãy xương bệnh lý. Bác sĩ đóng đinh nội tủy vào lòng xương đùi phải để giữ khung xương, sau đó dùng xi măng sinh học gia cố, tạo hình lại phần xương đã mất đi. Nhờ đó, xương đùi phải của người bệnh vững chắc và chịu lực tốt hơn, giảm đáng kể nguy cơ gãy xương.
Ngày thứ ba sau phẫu thuật, người bệnh cho biết không còn đau nhức và sụm chân khi đi lại, có thể tự sinh hoạt. Bác sĩ Lý cho biết, bước tiếp theo trong phác đồ điều trị là nâng cao thể trạng để người bệnh chuẩn bị cho quá trình điều trị chuyên biệt về ung thư. Đồng thời, người bệnh còn được theo dõi sát sao tình trạng xương ở các vị trí khác trong cơ thể.

Bác sĩ Lý khuyến cáo, khi xuất hiện tình trạng đau nhức dai dẳng trong xương, đặc biệt là ở người cao tuổi, người bệnh nên đi khám sớm. Bác sĩ sẽ chỉ định thực hiện các cận lâm sàng thích hợp, từ đó tìm ra nguyên nhân gây bệnh và có phác đồ điều trị thích hợp.
Trường hợp đã được chẩn đoán ung thư xương, người bệnh không nên chủ quan, cần theo dõi sát bệnh để hạn chế tình trạng di căn của khối u, nguy cơ gãy xương… Nhờ đó, kiểm soát bệnh tốt hơn, kéo dài thời gian sống và nâng cao chất lượng cuộc sống của người bệnh.
HỆ THỐNG BỆNH VIỆN ĐA KHOA TÂM ANH