Anh Thời (38 tuổi, TP.HCM) bất ngờ rơi vào tình trạng nguy kịch do nhiều túi giả phình mạch máu xuất hiện đa vị trí ở trong ổ bụng, trong đó một khối lớn tại gan đã vỡ, đe dọa trực tiếp tính mạng.
Trước khi nhập viện, anh Thời bị đau bụng kéo dài nhiều ngày, cơn đau tăng dần, không thuyên giảm dù đã nghỉ ngơi và dùng thuốc giảm đau thông thường. Người bệnh cho biết trước đó hoàn toàn khỏe mạnh, không mắc bệnh mạn tính hay chấn thương đáng chú ý.
ThS.BSNT.CKI Phó Thiên Phước, khoa Cấp cứu, Bệnh viện Đa khoa Tâm Anh TP.HCM (cơ sở P.Tân Sơn Hoà – Q.Tân Bình cũ), cho biết qua thăm khám ban đầu, bác sĩ Phước nhận thấy tình trạng đau bụng kéo dài không tương xứng với các dấu hiệu thông thường của các bệnh phổ biến như táo bón, ngộ độc thực phẩm, hội chứng ruột kích thích, viêm loét dạ dày…
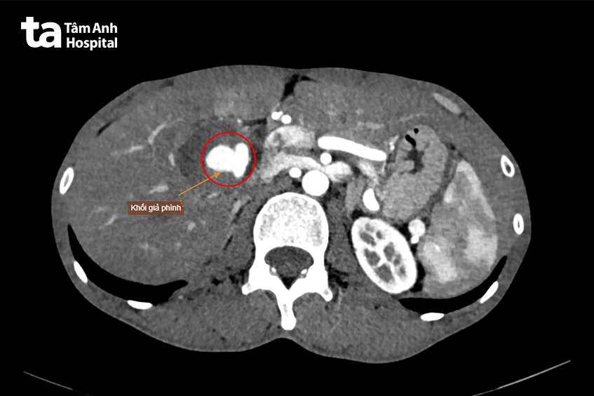
Để tìm nguyên nhân, người bệnh được chỉ định chụp cắt lớp vi tính (CT Scan) ổ bụng có tiêm thuốc cản quang. Kết quả hình ảnh cho thấy một tình trạng hiếm gặp và đặc biệt nguy hiểm là nhiều túi giả phình mạch máu nằm rải rác trong ổ bụng, xuất hiện ở hàng loạt vị trí quan trọng như động mạch gan, vùng dạ dày, thận và vùng thắt lưng.
Đáng lo ngại nhất là khối giả phình lớn nằm ngay vùng rốn gan, xuất phát từ nhánh động mạch gan phải. Khối này có kích thước lên tới 40 x 40 x 65 mm, tương đương một quả trứng nhỏ, chèn ép các cấu trúc xung quanh, làm rối loạn tưới máu nhu mô gan và đè ép tĩnh mạch thận phải. Nguy hiểm hơn, khối giả phình đã vỡ, gây tụ máu xung quanh, tiềm ẩn nguy cơ xuất huyết ồ ạt trong ổ bụng nếu không được xử trí kịp thời.

Theo bác sĩ Phước, giả phình mạch máu là tình trạng thành mạch bị rách hoặc tổn thương khiến máu thoát ra ngoài nhưng bị các mô xung quanh giữ lại, tạo thành một túi máu bất thường. Do không còn được bảo vệ bởi thành mạch thật, các túi giả phình rất dễ vỡ, đặc biệt khi kích thước lớn hoặc nằm ở những vị trí quan trọng như gan, thận, dạ dày. Nếu không được phát hiện và can thiệp kịp thời, tình trạng này có thể dẫn đến xuất huyết ồ ạt, sốc mất máu và tử vong.
Xác định tình trạng tối khẩn, các bác sĩ lập tức hội chẩn liên chuyên khoa, quyết định chuyển người bệnh vào phòng can thiệp mạch để xử trí ngay, thay vì phẫu thuật mở bụng vốn tiềm ẩn nhiều rủi ro khi ổ bụng đã có máu tụ và cấu trúc giải phẫu bị biến đổi.
Tại Đơn vị Can thiệp nội mạch, Trung tâm Chẩn đoán hình ảnh và Điện quang can thiệp, dưới hướng dẫn của hệ thống chụp mạch số hóa xóa nền (DSA), các bác sĩ đã tiến hành can thiệp nội mạch bằng cách luồn vi ống thông qua hệ thống động mạch, tiếp cận chính xác túi giả phình tại gan. Tại vị trí tổn thương, ê-kíp sử dụng các coils (vòng xoắn kim loại) kết hợp keo sinh học chuyên dụng (NBCA glue) để tiến hành nút mạch chọn lọc, nhằm bít hoàn toàn túi giả phình và ngăn dòng máu tiếp tục chảy vào vùng tổn thương.
BS.CKI Nguyễn Trung Đức, Đơn vị Can thiệp nội mạch cho biết ca can thiệp khá căng thẳng do người bệnh có nhiều túi giả phình rải rác, thành mạch yếu, nguy cơ tổn thương thêm các mạch máu khác trong quá trình thao tác. Ngoài ra, túi giả phình lớn đã vỡ làm biến dạng giải phẫu vùng rốn gan do tụ máu và chèn ép, đòi hỏi ê-kíp can thiệp phải chọn lọc mạch máu cực kỳ chính xác để tránh làm ảnh hưởng đến các nhánh nuôi gan lành. Cuối cùng, ca can thiệp đã kết thúc thành công.
Hình ảnh kiểm tra sau thủ thuật cho thấy túi giả phình tại gan đã được tắc hoàn toàn, nguy cơ vỡ tái phát được loại bỏ, bác sĩ Đức thông tin thêm.

Sau can thiệp, tình trạng anh Thời cải thiện rõ rệt. Cơn đau bụng giảm nhanh, các chỉ số sinh tồn ổn định, chức năng tưới máu gan được đảm bảo. Người bệnh tỉnh táo, tiếp xúc tốt và có thể vận động nhẹ sớm sau thủ thuật.
Theo bác sĩ Đức, người bệnh có biểu hiện giả phình mạch máu đa ổ, nghi ngờ liên quan đến bất thường mô liên kết hoặc suy yếu thành mạch nguyên phát. Điều này đồng nghĩa với việc những túi giả phình còn lại ở dạ dày, thận và vùng thắt lưng vẫn tiềm ẩn nguy cơ biến chứng trong tương lai nếu không được theo dõi và kiểm soát chặt chẽ.
Đặc biệt, ở những bệnh nhân có giả phình đa vị trí không do chấn thương hoặc can thiệp y tế trước đó, bác sĩ thường nghi ngờ đến khả năng tồn tại giả phình ở các mạch máu nội sọ hoặc động mạch lớn khác (động mạch chủ, động mạch đùi, mạc treo…). Vì vậy, việc tầm soát mở rộng bằng các kỹ thuật hình ảnh như MRI/MRA sọ não, CT mạch máu toàn thân là cần thiết để phát hiện sớm tổn thương tiềm ẩn, đặc biệt là giả phình mạch não, vốn có nguy cơ cao gây xuất huyết nội sọ và tử vong nếu vỡ.
Ở thời điểm tái khám sau khi xuất viện, kết quả siêu âm Doppler ổ bụng cho thấy túi giả phình động mạch gan đã được can thiệp hiệu quả, không còn ghi nhận dòng máu đi vào túi phình. Tình trạng kiểm tra sau can thiệp được đánh giá là ổn định.
Hiện tại, các bác sĩ đang xây dựng phác đồ điều trị và theo dõi lâu dài cho người bệnh. Những túi giả phình còn lại sẽ được đánh giá kỹ lưỡng về nguy cơ biến chứng để cân nhắc can thiệp dự phòng bằng nút mạch hoặc theo dõi điều trị nội khoa phù hợp, nhằm phòng ngừa nguy cơ vỡ và giúp bệnh nhân dần trở lại sinh hoạt bình thường. Bác sĩ Đức cho biết, đây là một ca bệnh hiếm gặp, đặc biệt ở người trẻ, hoàn toàn không có bệnh nền hay chấn thương trước đó. Chính điều này khiến việc chẩn đoán sớm trở nên thách thức, dễ bị bỏ sót nếu chỉ dựa vào triệu chứng lâm sàng không đặc hiệu như đau bụng kéo dài.
Bác sĩ Đức khuyến cáo người dân không nên xem nhẹ những cơn đau bụng âm ỉ kéo dài, nhất là khi không rõ nguyên nhân và không đáp ứng với các thuốc điều trị thông thường. Việc chủ động khám sức khỏe định kỳ và đến cơ sở y tế sớm để được chẩn đoán bằng các phương tiện hiện đại như chụp cắt lớp vi tính (CT Scan). Trong những trường hợp nghi ngờ tổn thương mạch máu phức tạp, bác sĩ sẽ cân nhắc chỉ định chụp mạch số hóa xóa nền (DSA) để xác định chính xác vị trí và mức độ tổn thương, từ đó can thiệp kịp thời, phòng ngừa biến chứng nghiêm trọng.
*Tên người bệnh đã được thay đổi
Nhật Thành