Chị Tây bất ngờ phát hiện lõm ngực bẩm sinh khi khám sức khỏe, được bác sĩ phẫu thuật xâm lấn tối thiểu sửa chữa dị tật.

Chị Tây vốn nghĩ vết lõm dưới ngực là cấu tạo bình thường của nữ giới. Khoảng ba tháng trước khi đi khám sức khỏe, chị được chẩn đoán lõm ngực bẩm sinh nên rất bất ngờ. Chị nghĩ có thể sống chung với bệnh như trước đến giờ nên chần chừ điều trị. Hai tuần nay, chị thường xuyên hụt hơi, mệt khi gắng sức nhẹ, đến Bệnh viện Đa khoa Tâm Anh TP.HCM khám.
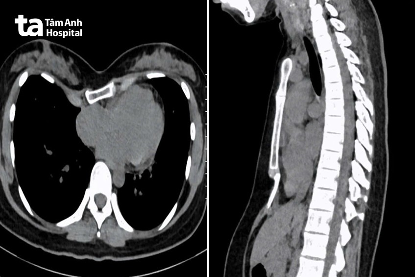
ThS.BS.CKI Phạm Ngọc Minh Thủy, khoa Ngoại Tim mạch, Trung tâm Tim mạch, cho biết chị Tây lõm ngực nặng, lệch về bên phải, chụp cắt lớp vi tính ghi nhận chỉ số Haller là 5,2 (tỷ lệ giữa đường kính ngang và đường kính trước sau của ngực, bình thường chỉ số này dưới 2,5).

Lõm ngực là dị tật bẩm sinh do xương ức, các sụn sườn phát triển bất thường. Tỷ lệ nam giới mắc bệnh cao hơn so với nữ giới. Trường hợp chị Tây phát hiện bệnh muộn có thể do không biểu hiện hoặc triệu chứng không rõ ràng, dễ bỏ qua. Ngoài ra, khi ngực nữ giới phát triển hoàn chỉnh, các mô mỡ có khả năng che lấp vết lõm xương ức, khó nhận biết bằng mắt thường so với nam giới. “Người bệnh có thể chỉ nhìn thấy ngực bình thường từ phía trước mà không để ý đến phần lõm ở giữa”, bác sĩ Thủy giải thích.
Lõm ngực nặng nếu không điều trị nguy cơ chèn ép các cơ quan trong lồng ngực như tim, phổi, các mạch máu lớn, ảnh hưởng chức năng hô hấp. Chèn ép tim có thể gây sa van hai lá, dẫn đến rối loạn nhịp tim.
ThS.BS Nguyễn Hồng Vinh, khoa Ngoại Tim mạch, Trung tâm Tim mạch, phẫu thuật bằng phương pháp ít xâm lấn Nuss cải tiến, với hai đường mổ nhỏ 2,5 cm ở hai bên thành ngực, cùng sự hỗ trợ của nội soi lồng ngực. Bác sĩ đặt hai thanh kim loại vào dưới khung xương sườn nhằm nâng lồng ngực bị lõm trở lại vị trí gần như bình thường.
Do khung xương lồng ngực của bệnh nhân đã trưởng thành, cốt hóa hoàn toàn, kém đàn hồi hơn so với người bệnh 8-15 tuổi, có khả năng đau hơn sau mổ. Tuy nhiên, phẫu thuật lõm ngực ở người trưởng thành vẫn mang lại nhiều lợi ích, đặc biệt là cải thiện chức năng tim phổi. Người bệnh trưởng thành có thể cần phải mang thanh nâng trong thời gian dài hơn (3-4 năm) so với trẻ em (thường là 2 năm) để đảm bảo kết quả ổn định, giảm nguy cơ tái phát.
Chị Tây xuất viện sau 5 ngày, các triệu chứng cải thiện hoàn toàn, tái khám định kỳ và tuân thủ tư vấn của bác sĩ khi hoạt động thể chất sau mổ.

Theo bác sĩ Thủy, thời điểm thích hợp để phẫu thuật lõm ngực là 8-15 tuổi. Ở độ tuổi này, xương lồng ngực còn mềm, độ đàn hồi cao, tạo hình dễ dàng, ít đau, hạn chế tái phát. Phẫu thuật lõm ngực ở người trưởng thành có thể phức tạp hơn, nhưng vẫn cần điều trị nếu ảnh hưởng đến các cơ quan trong lồng ngực như tim, phổi.
Tùy vào triệu chứng, mức độ bệnh, độ tuổi, bác sĩ sẽ xây dựng phác đồ điều trị phù hợp nhất để tối ưu hiệu quả, rút ngắn thời gian nằm viện, cải thiện khả năng vận động, hạn chế tái phát.
*Tên người bệnh đã được thay đổi
HỆ THỐNG BỆNH VIỆN ĐA KHOA TÂM ANH