Trẻ sơ sinh có sức đề kháng còn non yếu và hệ miễn dịch chưa hoàn thiện nên rất dễ mắc bệnh nếu không được chăm sóc đúng cách. Trong đó, viêm phổi ở trẻ sơ sinh là một trong những bệnh lý thường gặp, có thể gây nhiều biến chứng nguy hiểm nếu không được phát hiện và điều trị kịp thời.

Viêm phổi ở trẻ sơ sinh là tình trạng phổi của trẻ sơ sinh bị nhiễm trùng. Các cấu trúc bên trong phổi, như nhu mô phổi và mô kẽ phổi bị kích ứng, tổn thương do sự xâm nhiễm của các tác nhân gây nhiễm trùng. Điều này có thể dẫn đến các phế nang phổi, hay màng phổi lân cận bị nhiễm trùng, tích tụ đầy mủ và dịch, ảnh hưởng nghiêm trọng đến chức năng hô hấp.
Viêm phổi ở trẻ sơ sinh là một trong những nguyên nhân chính gây bệnh tật và tử vong ở trẻ. Nhờ sự phát triển của y học hiện đại, số trẻ tử vong do viêm phổi sơ sinh đã giảm đáng kể. Tuy nhiên, đây vẫn là gánh nặng đối với sức khỏe toàn cầu, nhất là (hoặc đặc biệt là) đối với các nước đang phát triển, trong đó có Việt Nam. (1)

Dựa vào thời gian khởi phát bệnh, viêm phổi ở trẻ sơ sinh có thể phân làm hai nhóm: viêm phổi khởi phát sớm và viêm phổi khởi phát muộn.
Nguyên nhân gây viêm phổi ở trẻ sơ sinh có thể là do lây nhiễm các vi sinh vật bên trong đường sinh dục của người mẹ (ở trẻ được sinh qua ngã âm đạo) hoặc do các tác nhân từ môi trường, bao gồm cả môi trường phòng sinh, bệnh viện và chăm sóc tại nhà.
Vi khuẩn là tác nhân gây viêm phổi ở trẻ sơ sinh thường gặp nhất. Các chủng vi khuẩn phổ biến như cầu khuẩn gram dương (+): liên cầu khuẩn nhóm A và B, Staphylococcus aureus…; trực khuẩn gram âm (-): Escherichia coli, loài Proteus, loài Klebsiella…; vi khuẩn Pseudomonas; vi khuẩn Citrobacter; vi khuẩn Bacillus; Serratia,… (2)
Bên cạnh vi khuẩn, một số trẻ nhiễm trùng sơ sinh do nhiễm virus như RSV, virus Influenza, Parainfluenza virus, Adenovirus; ký sinh trùng hoặc nấm,…
Triệu chứng của viêm phổi ở trẻ sơ sinh có thể chỉ giới hạn ở tình trạng suy hô hấp nhưng cũng có thể diễn tiến nghiêm trọng hơn, gây sốc, thậm chí là tử vong ở trẻ.
Các triệu chứng cảnh báo viêm phổi ở trẻ sơ sinh, bố mẹ cần lưu ý:
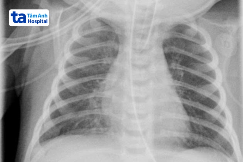
Khi nghi ngờ nhiễm trùng huyết, bác sĩ sẽ khám lâm sàng và thực hiện một số cận lâm sàng để kiểm tra tình trạng sức khỏe của trẻ. Các cận lâm sàng có thể được chỉ định trong chẩn đoán viêm phổi sơ sinh:

Trẻ sơ sinh bị viêm phổi thường cần được nhập viện để bác sĩ theo dõi sát sao tình trạng sức khỏe và khả năng đáp ứng điều trị. Phác đồ điều trị sẽ được điều chỉnh dựa trên tình trạng của trẻ. Điều trị tiêu chuẩn ban đầu thường sẽ là: hỗ trợ hô hấp, dùng thuốc kháng sinh theo kinh nghiệm khi có chỉ định, hỗ trợ dinh dưỡng, điều trị các yếu tố đi kèm như trào ngược dạ dày-thực quản,… nếu tình trạng bệnh đáp ứng chậm với điều trị tiếp theo sẽ là phương pháp điều trị chuyên sâu hơn.
Trong quá trình điều trị, trẻ sẽ được hỗ trợ hô hấp phù hợp. Đối với viêm phổi sơ sinh do nấm hoặc virus, thuốc kháng nấm, kháng virus có thể được chỉ định.
Một số biến chứng của viêm phổi sơ sinh phải kể đến như:
Chăm sóc đúng cách là yếu tố quan trọng hỗ trợ hiệu quả điều trị và giúp trẻ sơ sinh bị viêm phổi nhanh hồi phục. Bố mẹ tuân theo đúng chỉ định của bác sĩ, cho trẻ bú sữa mẹ thường xuyên hơn và đảm bảo vệ sinh khi tiếp xúc, cho trẻ bú. Mẹ cho con bú cần duy trì chế độ dinh dưỡng, sinh hoạt lành mạnh để đảm bảo chất lượng sữa cho trẻ.
Khi tình trạng sức khỏe đã ổn định, bác sĩ sẽ cho trẻ xuất viện và hẹn tái khám. Lúc này thể trạng sức khỏe của trẻ còn yếu, bố mẹ không chủ quan, lơ là trong chăm sóc và phòng ngừa viêm phổi ở trẻ, cho trẻ tái khám đúng hẹn.
Viêm phổi ở trẻ sơ sinh có thể xảy ra ở bất kỳ thời điểm nào, nhưng thường gặp nhất là vào thời điểm giao mùa, khi tiết trời thay đổi hay vào mùa dịch bệnh hô hấp. Lúc này, hệ miễn dịch vốn đã non nớt của trẻ sơ sinh giảm sút, tạo điều kiện cho các tác nhân xâm nhập vào đường hô hấp, gây viêm phổi sơ sinh. Do vậy, giữ ấm đúng cách là một trong những biện pháp quan trọng để phòng ngừa viêm phổi cho trẻ.
Bên cạnh đó, bố mẹ nên chủ động phòng ngừa viêm phổi cho trẻ sơ sinh qua các biện pháp dưới đây:

Một số câu hỏi thường gặp về viêm phổi sơ sinh:
Tùy vào tác nhân gây bệnh, viêm phổi ở trẻ sơ sinh có thể tự hết hoặc không. Tuy nhiên, dù bất do bất kỳ nguyên nhân nào, trẻ bị viêm phổi cũng cần được bác sĩ kiểm tra sớm và tư vấn phù hợp nhằm giúp rút ngắn thời gian bệnh, phát hiện sớm các biến chứng nguy hiểm.
Có, khi được phát hiện sớm và điều trị kịp thời, viêm phổi ở trẻ sơ sinh có thể được chữa khỏi mà không để lại bất kỳ di chứng nào.
Thời gian khỏi bệnh viêm phổi ở từng trẻ sơ sinh sẽ khác nhau tùy thuộc vào ngày tuổi của trẻ, thời điểm phát hiện và điều trị bệnh, thể trạng sức khỏe, khả năng đáp ứng với điều trị… Quá trình điều trị có thể kéo dài 7 – 14 ngày hoặc lâu hơn tùy từng trường hợp. (3)
Có, viêm phổi là một trong những bệnh lý nguy hiểm thường gặp ở trẻ sơ sinh. Bệnh nếu không được phát hiện sớm và điều trị đúng cách, bệnh trở nên tồi tệ nhanh chóng, gây ảnh hưởng nghiêm trọng đến sức khỏe, và sự phát triển của trẻ, hoặc thậm chí ảnh hưởng đến tính mạng trẻ.
>>>Có thể xem chi tiết về độ nguy hiểm của bệnh qua bài viết sau: Trẻ sơ sinh bị viêm phổi có nguy hiểm không?
Có, viêm phổi ở trẻ sơ sinh là bệnh lây nhiễm cấp tính. Trẻ khỏe mạnh có thể nhiễm bệnh viêm phổi khi tiếp xúc với giọt bắn có chứa mầm bệnh do người bệnh phát tán ra môi trường bên ngoài. Ngoài ra, trẻ cũng có thể bị lây nhiễm bệnh khi dùng chung đồ dùng, tiếp xúc với các bề mặt có tác nhân gây bệnh.
Có, trẻ vẫn có nguy cơ bị viêm phổi tái lại sau khi được chữa khỏi bệnh do viêm phổi có nhiều tác nhân gây bệnh. Bố mẹ tuyệt đối không được chủ quan trong chăm sóc và phòng ngừa bệnh viêm phổi cho trẻ.
Có, trẻ sơ sinh bị viêm phổi có thể kèm theo sốt nhẹ hoặc sốt cao tùy thuộc vào cơ địa của từng trẻ và tác nhân gây bệnh.
Trung tâm Sơ sinh – Bệnh viện Đa khoa Tâm Anh là một trong những cơ sở y tế uy tín, tiếp nhận hàng nghìn ca bệnh viêm phổi sơ sinh mỗi năm. Quy tụ đội ngũ chuyên gia, bác sĩ giàu kinh nghiệm trong lĩnh vực Sơ sinh; kiểm soát nhiễm khuẩn nghiêm ngặt, hệ thống máy móc chuyên dụng cho Sơ sinh như lồng ấp hiện đại, máy thở cao cấp Babylog VN600 Drager, hệ thống Neopuff… bố mẹ có thể an tâm tin tưởng khi đưa trẻ đến khám và điều trị viêm phổi cũng như các bệnh lý Sơ sinh khác tại Trung tâm Sơ sinh, BVĐK Tâm Anh.
HỆ THỐNG BỆNH VIỆN ĐA KHOA TÂM ANH
Hy vọng với những thông tin trên, quý phụ huynh đã hiểu rõ hơn về bệnh viêm phổi ở trẻ sơ sinh. Bố mẹ tuyệt đối không chủ quan trong chăm sóc cũng như tự ý điều trị viêm phổi cho trẻ sơ sinh.