Ông Hiển, 63 tuổi, ho khan, đau ngực, khó thở, điều trị thuốc kháng sinh kéo dài không bớt, chụp cắt lớp vi tính phổi phát hiện dị vật sắc nhọn 2 đầu đâm vào phế quản.

Ngày 16/11, Tiến sĩ bác sĩ Đặng Thị Mai Khuê, Phó khoa Nội tổng hợp, Bệnh viện Đa khoa Tâm Anh TP HCM, cho biết, qua hình ảnh chụp cắt lớp vi tính (CT) lồng ngực 1975 lát cắt phát hiện dị vật hình rẻ quạt, kích thước 2cm, ghim trong lòng phế quản chính bên trái, gây tắc hẹp lòng phế quản. Đây chính là nguyên nhân khiến đường dẫn khí từ khí quản vào phổi bị cản trở gây khó thở, đau ngực, ho khan kéo dài ở người bệnh.
Ông Hiển cho biết, cách đây 5 tuần, ông ăn lẩu cá tầm, bị sặc, có cảm giác hơi vướng cổ, nhưng không đau, sau khi khạc không còn thấy vướng cổ nên cứ nghĩ dị vật đã rớt xuống đường tiêu hóa và đào thải ra ngoài. Tuy nhiên, sau đó, ông ho kéo dài, khó thở nên đến bệnh viện gần nhà nội soi họng để kiểm tra, nhưng không phát hiện dị vật chỉ thấy vùng họng phù nề, trầy xước nhẹ.

Người bệnh được chỉ định uống thuốc kháng sinh 2 tuần nhưng không thuyên giảm. Ông được chỉ định chụp X-quang phổi, được chẩn đoán là viêm phổi và tiếp tục điều trị bằng kháng sinh. Tuy nhiên, trình trạng ho ngày càng nặng hơn, ông thường xuyên mất ngủ, mỗi lần ho phải ngồi dậy vì khó thở. Tổng thời gian điều trị kháng sinh của ông là 5 tuần. Ngoài ra, ông Hiển còn có bệnh nền tiểu đường.
Theo bác sĩ Khuê, dị vật găm vào phế quản lâu ngày có thể gây ra các biến chứng như viêm phổi, xẹp phổi, áp xe phổi do ứ đọng dịch nhầy, tràn khí màng phổi thậm chí gây hoại tử, xơ hóa vùng phổi bị viêm lâu ngày. Nghiêm trọng hơn, dị vật có thể tạo ra đường rò giữa phế quản với thực quản hoặc các mạch máu gây ho sặc khi nuốt thức ăn và tăng nguy cơ nhiễm trùng máu hoặc ho ra máu và giãn phế quản. Vì thế, cần can thiệp lấy dị vật càng sớm càng tốt, để ngăn ngừa các biến chứng nguy hiểm.
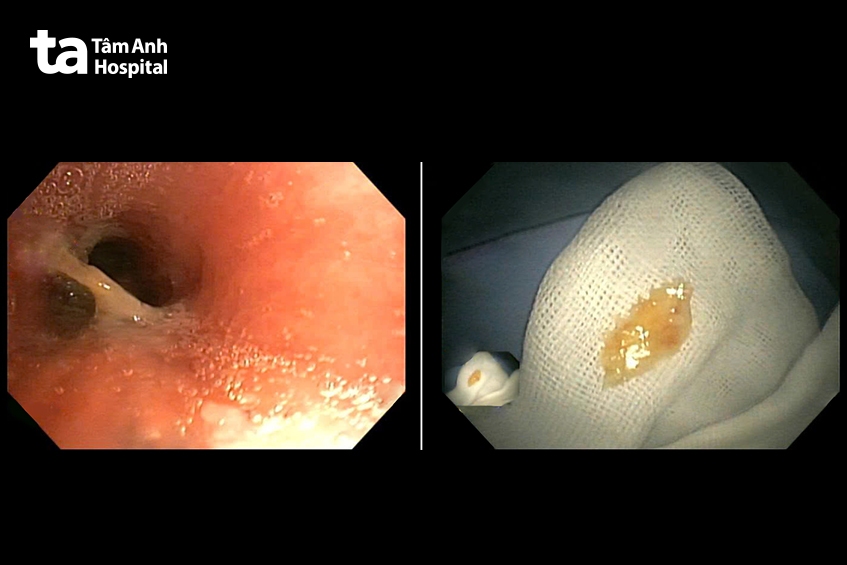
Ông Hiển được chỉ định nội soi gây mê lấy dị vật bằng hệ thống nội soi Olympus EVIS EXERA III CLV-190, với công nghệ dải tần ánh sáng hẹp NBI cung cấp hình ảnh sắc nét. Nhờ đó, bác sĩ nhanh chóng phát hiện vị trí dị vật và thao tác chuẩn xác. Do dị vật ghim chặt vào phế quản nên quá trình nội soi cần hết sức cẩn trọng để tránh nguy cơ làm rách phế quản, chảy máu ồ ạt trong đường thở, khó cầm, nguy hiểm tính mạng người bệnh.

Hơn nữa, người bệnh lớn tuổi bị xẹp đường thở khi ngủ khiến việc tiếp cận và gắp dị vật gặp nhiều khó khăn. Để đảm bảo an toàn, bác sĩ phải ngưng nội soi nhiều lần cho người bệnh thở đủ oxy mới tiếp tục thao tác. Thêm nữa, khi dị vật được gắp lên hầu họng thì đường thở xẹp, khiến dị vật vướng lại ở dây thanh. Ngoài ra, khớp xương hàm của người bệnh bị cứng nên không thể ngửa cổ ra tối đa, để đưa dị vật ra thẳng ngã ba hầu họng như người bình thường.
“Nếu không thể lấy dị vật qua nội soi, bắt buộc phải phẫu thuật mở, mở phế quản để lấy dị vật. Đây là một ca phẫu thuật lớn, phức tạp, ảnh hưởng đến sức khỏe và chi phí điều trị ”, Bác sĩ Mai Khuê cho biết thêm.
Sau hơn 1 giờ kỹ lưỡng thao tác, bác sĩ dùng kềm xoay dị vật lui tới từng ít một để tránh làm tổn thương phế quản, cuối cùng dị vật bung ra khỏi thành phế quản, bác sĩ gắp được dị vật hình dẹt (dài 2cm, rộng 1cm), 2 đầu sắc nhọn ra ngoài. Hồi tỉnh, ông Hiển không đau, không còn thấy khó thở và tức ngực như lúc trước, ông được nhập viện điều trị kháng sinh chữa trị vết loét thành phế quản và thành phổi do dị vật đâm sâu, ông được xuất viện sau 3 ngày.

Hóc dị vật đường thở là tai nạn khá phổ biến ở cả người lớn và trẻ em, bao gồm các dị vật qua được đường mũi và đường miệng trong quá trình sinh hoạt và ăn uống. Dị vật thường gặp là xương gà, xương vịt, các loại hạt (bắp, bí, hướng dương, dưa), các mảnh thức ăn cứng như vỏ trứng, vỏ tôm cua, vỏ thuốc, khuy áo, ghim bấm…
Để phòng ngừa hóc dị vật, khi ăn uống cần tránh nói chuyện, cười đùa quá nhiều hoặc xem điện thoại trong lúc ăn; nên loại bỏ xương cá, xương gà, và các vật cứng khỏi thức ăn trước khi ăn. Đặc biệt, người cao tuổi hoặc bệnh nhân có vấn đề về thần kinh, tai biến mạch máu não cần có người hỗ trợ và giám sát chặt chẽ trong bữa ăn.
Khi có triệu chứng hoặc nghi ngờ hóc dị vật trong đường thở, người bệnh nên thăm khám kịp thời tại chuyên khoa hô hấp hoặc nội tổng hợp có đầy đủ thiết bị y tế chuyên dụng. Nếu có yếu tố nghi ngờ mắc dị vật, bác sĩ sẽ chỉ định chụp X-quang ngực hoặc CT phổi giúp chẩn đoán, phát hiện kịp thời các dị vật, từ đó có biện pháp can thiệp lấy dị vật ra ngoài an toàn, tránh để lâu gây biến chứng nguy hiểm.
HỆ THỐNG BỆNH VIỆN ĐA KHOA TÂM ANH