Chị Hạnh (đang mang thai 22 tuần tuổi) mắc viêm phổi nặng, có biến chứng tràn dịch màng phổi kèm viêm xoang cấp.

Nhiều ngày xuất hiện triệu chứng ho, đờm trắng, đau tức ngực, ngạt mũi, chảy dịch mũi dù không sốt, không khó thở, chị Nguyễn Thu Hạnh (24 tuổi) đến Bệnh viện Đa khoa Tâm Anh Hà Nội khám.
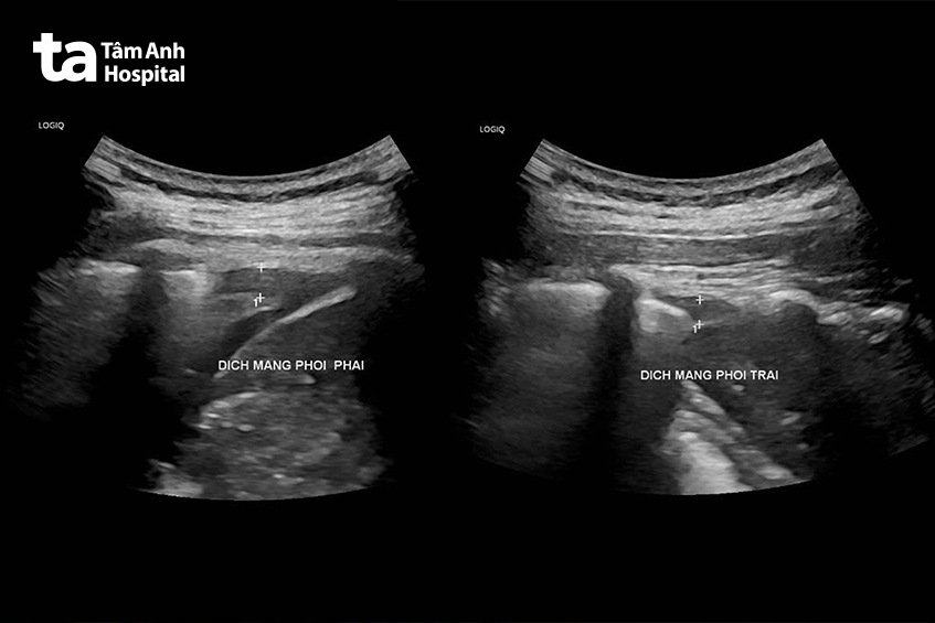
Do người bệnh đang mang thai 22 tuần không thể chụp cắt lớp vi tính, X-quang ngực, bác sĩ chỉ định cho chị Hạnh siêu âm phổi, màng phổi. Đây là biện pháp cận lâm sàng đóng vai trò quan trọng trong chẩn đoán viêm phổi ở phụ nữ mang thai nhằm tránh phơi nhiễm tia X. Kết quả cho thấy người bệnh có tổn thương phổi lan rộng kèm theo tình trạng tràn dịch màng phổi cả hai bên.
Cụ thể, phần dưới của phổi trái, gần sát thành ngực phía sau, có một vùng mô phổi bị đông đặc (kích thước khoảng 20x10x7,5mm). Tương tự, phần dưới của phổi phải, gần sát thành ngực phía sau, có một vùng đông đặc lớn hơn (kích thước 24,9×15,4mm).

Theo tiến sĩ, bác sĩ Phạm Thị Lệ Quyên, Khoa Hô hấp, Bệnh viện Đa khoa Tâm Anh Hà Nội, tình trạng đông đặc nhu mô phổi kèm tràn dịch màng phổi hai bên cho thấy viêm phổi đã tiến triển nặng, có biến chứng tràn dịch màng phổi. Nếu không điều trị kịp thời, tình trạng viêm phổi – tràn dịch màng phổi có thể tiến triển nặng lên gây biến chứng áp xe phổi, tràn mủ màng phổi, suy hô hấp, thậm chí sốc nhiễm khuẩn gây nguy hiểm đến tính mạng của người bệnh.
Để nhanh chóng kiểm soát tình trạng bệnh, ngăn biến chứng gây nguy hiểm cho mẹ và thai nhi, bác sĩ yêu cầu chị Hạnh nhập viện. Việc điều trị được tiến hành với sự phối hợp chặt chẽ giữa nhiều chuyên khoa nhằm đảm bảo sức khỏe cho hai mẹ con.

Bác sĩ Quyên cho biết viêm phổi nặng kèm tràn dịch màng phổi hai bên ở thai phụ là tình trạng nghiêm trọng, tiềm ẩn nhiều nguy cơ cho cả mẹ và thai nhi.
Đối với người mẹ, tình trạng viêm phổi diện rộng và tràn dịch màng phổi hai bên có thể làm giảm trao đổi oxy, dẫn đến suy hô hấp, gây nguy hiểm đến tính mạng nếu không được cấp cứu kịp thời. Ngoài ra, ho nhiều, đau ngực, suy hô hấp có thể kích thích tử cung co bóp, làm tăng nguy cơ sinh non hoặc dọa sảy thai.
Đối với thai nhi, mẹ bị suy hô hấp sẽ làm giảm cung cấp oxy qua nhau thai, ảnh hưởng đến sự phát triển của thai nhi, làm tăng nguy cơ suy thai. Một số vi khuẩn gây viêm phổi có thể qua nhau thai, gây viêm màng ối, nhiễm trùng thai nhi.
Chị Hạnh được sử dụng kháng sinh nhằm kiểm soát tình trạng nhiễm khuẩn kết hợp các thuốc điều trị triệu chứng, hút rửa mũi xoang và vật lý trị liệu hô hấp. Đặc biệt, kháng sinh được bác sĩ lựa chọn thận trọng để đảm bảo hiệu quả điều trị nhiễm trùng và an toàn cho thai nhi.
Song song với điều trị nội khoa, chị Hạnh được theo sát các triệu chứng lâm sàng, tình trạng tổn thương phổi và tràn dịch màng phổi trên kết quả siêu âm để kiểm soát biến chứng. Sau 6 ngày điều trị nội trú, chị Hạnh khỏe mạnh xuất viện, thai nhi 23 tuần tuổi ổn định.
HỆ THỐNG BỆNH VIỆN ĐA KHOA TÂM ANH