Ông Paul, quốc tịch New Zealand, 69 tuổi, gãy xương đùi kèm nhiều bệnh nền, được bác sĩ thay khớp háng trong chưa đầy 24 giờ, đi lại sớm, tránh biến chứng.

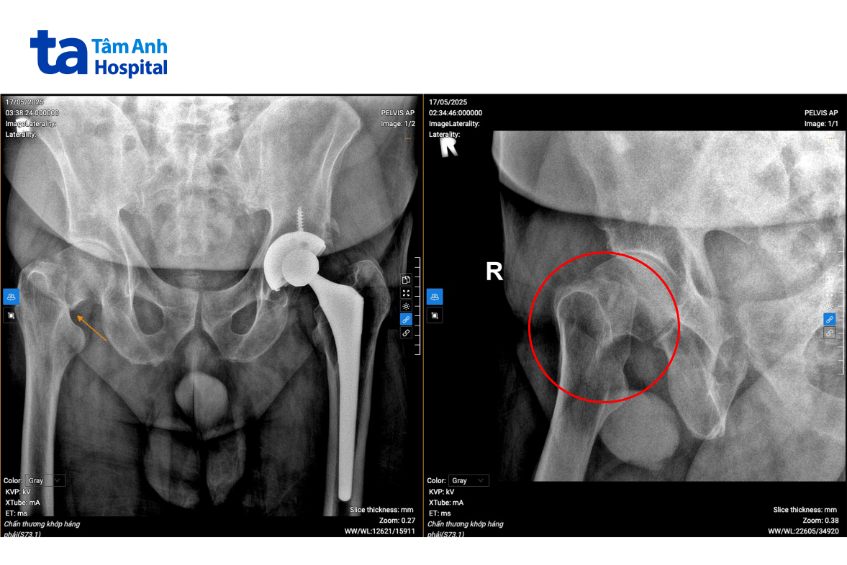
Ông Paul được đưa đến Bệnh viện Đa khoa Tâm Anh TP HCM trong tình trạng đau rất nhiều và gần như không thể cử động chân phải sau khi té ngã. Ngay khi nhập viện, người bệnh lập tức được đưa đi chụp X-quang và thực hiện các xét nghiệm cần thiết. Kết quả cho thấy ông bị gãy cổ xương đùi phải, kèm các bệnh lý nền như tăng huyết áp, thiếu máu cơ tim, tiểu đường.
ThS.BS.CKI Hồ Văn Duy Ân, Trung tâm Chấn thương Chỉnh hình, Bệnh viện Đa khoa Tâm Anh TP HCM, cho biết đối với gãy xương ở vùng háng ở người lớn tuổi mắc nhiều bệnh nền như ông Paul, nếu điều trị chậm trễ hoặc chỉ điều trị bảo tồn, nguy cơ tử vong lên đến 20 – 30% trong năm đầu tiên. Các bác sĩ hội chẩn khẩn để lên kế hoạch thay khớp háng cho ông Paul theo chương trình mổ cấp cứu gãy xương trong 24 giờ, phối hợp nhiều chuyên khoa.
Ngay trước ca mổ, ông Paul được điều trị ổn định nội khoa với các bác sĩ tim mạch, nội tiết, nhằm ngăn chặn nguy cơ biến chứng trong và sau mổ. Người bệnh cũng được hướng dẫn nhanh tập vật lý trị liệu trước phẫu thuật để giảm đau và làm quen với các bài tập sau mổ giúp quá trình hồi phục diễn ra hiệu quả hơn. Trong lúc đó, bác sĩ Ân sử dụng phần mềm TraumaCad chuyên dụng trong thay khớp để tính toán, lựa chọn loại khớp, kích cỡ và đường tiếp cận… phù hợp với người bệnh.

Sau khoảng 13 giờ từ lúc nhập viện, ông Paul được chỉ định thay khớp háng bán phần. Phương pháp này giúp bảo tồn xương và mô mềm xung quanh khớp, người bệnh ít đau và phục hồi nhanh hơn, giảm nguy cơ biến chứng sau mổ. Thay khớp háng bán phần thường được chỉ định cho những trường hợp người cao tuổi gãy cổ xương đùi di lệch nhiều hoặc có các bệnh lý nội khoa, không đảm bảo sức khỏe để thực hiện các ca mổ dài và phức tạp như ông Paul.
Trong quá trình phẫu thuật, bác sĩ giữ lại phần xương khỏe mạnh và nguyên vẹn, loại bỏ xương và sụn hư hỏng ở chỏm xương đùi đã bị gãy. Sau đó thay thế bằng chỏm xương đùi nhân tạo. Ca phẫu thuật kéo dài 1 giờ. Tổng thời gian từ khi người bệnh nhập viện đến khi hoàn tất phẫu thuật diễn ra trong chưa đến 15 giờ.
Ngày đầu tiên sau mổ, người bệnh không còn đau do gãy xương, chỉ đau nhẹ tại vị trí vết mổ; được hướng dẫn tập phục hồi chức năng và đi lại nhẹ nhàng với sự hỗ trợ của khung tập đi. Hai ngày sau, người bệnh có thể tự đi lại và xuất viện.

Bác sĩ Ân cho biết, khi bị gãy xương ở vùng háng, người bệnh thường đau rất nhiều, bất động trong thời gian dài. Nếu không điều trị kịp thời và đúng cách, người bệnh không chỉ bị ảnh hưởng sinh hoạt mà còn đối mặt với nguy cơ mắc các biến chứng nguy hiểm như huyết khối tĩnh mạch chi dưới, huyết khối động mạch phổi, loét tỳ đè, nhiễm trùng đường tiết niệu, viêm phổi, teo cơ, suy dinh dưỡng… Đây là nguyên nhân của các biến cố làm giảm tuổi thọ của người bệnh trong điều kiện điều trị không mổ.
Bị gãy cổ xương đùi là tình trạng thường gặp ở người cao tuổi do té ngã. Do đó, bản thân người cao tuổi và người thân cần chú ý các biện pháp giúp hạn chế chấn thương này. Đồng thời, người cao tuổi nên khám sức khỏe định kỳ mỗi năm một lần hoặc ngay khi có dấu hiệu bất thường, nhất là sau khi xảy ra va chạm, té ngã…
HỆ THỐNG BỆNH VIỆN ĐA KHOA TÂM ANH