Sau 2 năm bị huyết áp cao, phải truyền kali thường xuyên, người đàn ông được phát hiện có khối u tuyến thượng thận, phải phẫu thuật nội soi cắt u.
Ngày 23/4, bác sĩ Nguyễn Hoàng Đức, Trưởng khoa Tiết Niệu – Trung tâm Tiết niệu – Thận học, Bệnh viện Đa khoa Tâm Anh TP HCM, cho biết ca phẫu thuật nội soi cắt u tuyến thượng thận kéo dài 90 phút diễn ra thành công. Sau một ngày phẫu thuật, sức khỏe của anh Nguyễn Chính (44 tuổi, TP Thủ Đức) ổn định, huyết áp trở về mức bình thường, có thể đi lại, ăn uống. Sau hai ngày, anh Chính được xuất viện.

Trước đó, sáng ngày 20/4, người bệnh đến khám sau khi tình trạng huyết áp tăng cao (160/90 mmHG) diễn ra thường xuyên trong một thời gian dài. Dù anh vẫn duy trì uống thuốc huyết áp hằng ngày, tình trạng huyết áp cao không cải thiện. Bên cạnh đó, anh còn có thêm triệu chứng yếu cơ, hai chân bước đi rất khó khăn, thỉnh thoảng cảm thấy nhói ngực, ép tim khó thở do tình trạng thiếu hụt kali, phải nhập viện truyền kali thường xuyên.
“Tình trạng huyết áp cao và truyền kali diễn ra suốt 2 năm qua. Dù đã đi khám nhiều nơi, làm nhiều xét nghiệm nhưng bác sĩ không tìm được nguyên nhân chính xác là gì”, anh Chính cho hay.
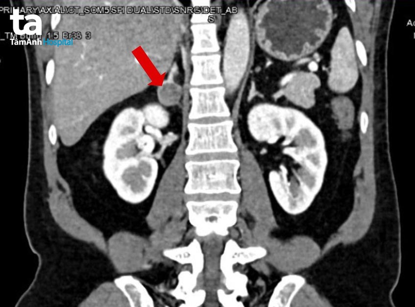
Qua các triệu chứng, bác sĩ Võ Trần Nguyên Duy, khoa Nội tiết – Đái tháo đường, đã chỉ định người bệnh thực hiện các đánh giá cận lâm sàng bao gồm siêu âm bụng, chụp CT (cắt lớp vi tính), đồng thời làm các xét nghiệm máu để đánh giá chỉ số nội tiết do tuyến thượng thận tiết ra.
Kết quả cho thấy có một khối u 25 mm ở tuyến thượng thận phải. Bác sĩ Duy nhận định đây chính là nguyên nhân khiến người bệnh có biểu hiện tăng huyết áp bất kiểm soát và chứng hạ kali suốt thời gian qua.
Sau hội chẩn, các bác sĩ quyết định phẫu thuật cắt tuyến thượng thận phải cùng khối u bằng phương pháp nội soi 3D. “Khối u có kích thước tuy nhỏ nhưng lại gây ra hệ lụy lớn đến sức khỏe cho người bệnh”, bác sĩ Nguyễn Hoàng Đức, người trực tiếp phẫu thuật cho người bệnh, nhận định.

Theo bác sĩ Nguyễn Hoàng Đức, cơ thể con người có hai tuyến thượng thận rất nhỏ chỉ 4-5 gram, nằm phía bên trên của quả thận. Chúng có vai trò tiết ra những chất nội tiết để điều hòa các hoạt động của cơ thể. Tuy nhiên, khi khối u xuất hiện, sẽ xảy ra tình trạng tăng tiết bất thường gây thừa hoặc thiếu các thành phần hormone trong cơ thể.
U tuyến thượng thận xuất hiện ở khoảng 3-5% dân số. Dù là bệnh hiếm nhưng có thể gặp ở bất cứ ai, không phân biệt giới tính, độ tuổi, thường gia tăng ở người lớn tuổi. Nguyên nhân gây bệnh đến nay vẫn chưa được xác định cụ thể. Tuy nhiên, các yếu tố như môi trường, thực phẩm hay thói quen sinh hoạt… góp phần làm tăng nguy cơ mắc bệnh. Một số trường hợp bệnh nhân bị rối loạn di truyền, xơ hóa, u đa tuyến nội tiết cũng có yếu tố nguy cơ cao hơn.
Đặc biệt, u thượng thận dù nhỏ nhưng ảnh hưởng rất lớn đến sức khỏe, thậm chí đe dọa đến tính mạng của người bệnh nếu không điều trị kịp thời. Tình trạng huyết áp cao diễn ra thường xuyên đến một lúc nào đó không kiểm soát được sẽ gây ra những hệ quả nặng nề như tai biến mạch máu não, yếu liệt nửa người, xuất huyết não, nặng nề nhất là tàn phế. Cùng với đó, tình trạng kali giảm sẽ gây yếu liệt cơ, chân yếu, đi lại không vững và còn có thể ảnh hưởng đến hoạt động của tim, gây ra hậu quả khó lường.

May mắn là 95% u tuyến thượng thận lành tính, chỉ có 5% là u ác. Ung thư tuyến thượng thận có thể là ung thư nguyên phát, hoặc ung thư từ nơi khác di căn đến, thường phát hiện muộn, khối u lớn (5-7 cm). Trường hợp của bệnh nhân Chính khối u chỉ hơn 2 cm, nhiều khả năng là lành tính. Để biết chính xác, sau khi mổ xong, bác sĩ sẽ giải phẫu bệnh học, sau đó sẽ có hướng điều trị phù hợp tiếp theo.
Do vậy, bên cạnh thăm khám sức khỏe định kỳ, khi có các triệu chứng huyết áp cao không thể kiểm soát bằng thuốc, đặc biệt là ở người trẻ, dưới 50 tuổi, kèm theo triệu chứng mệt mỏi, yếu liệt cơ, rối loạn nhịp tim, sụt cân, cần đến ngay các cơ sở y tế hoặc bệnh viện uy tín để thăm khám, kiểm tra càng sớm càng tốt, bác sĩ Hoàng Đức nhấn mạnh.
HỆ THỐNG BỆNH VIỆN ĐA KHOA TÂM ANH