Bác sĩ phẫu thuật nội soi ba thì ngực – bụng – cổ để triệt căn u ác tính đồng thời tái tạo thực quản bằng ống dạ dày cho ông Thái, 74 tuổi.

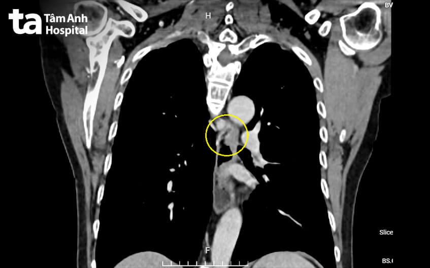
Ông Nguyễn Thái đến Bệnh viện Đa khoa Tâm Anh TP HCM khám do nuốt nghẹn, nấc cụt hơn ba tháng không rõ nguyên nhân. Kết quả chụp cắt lớp vi tính (CT) vùng bụng và ngực của ông cho thấy thành thực quản dày bất thường đoạn 1/3 giữa (ngang mức đốt sống ngực T6-7), chưa thấy xâm lấn động mạch chủ, khí quản và cơ quan lân cận.
Ngày 26/4, tiến sĩ, bác sĩ Đỗ Minh Hùng, Giám đốc Trung tâm Nội soi và Phẫu thuật Nội soi Tiêu hóa, cho biết ông Thái bị ung thư thực quản giai đoạn ba. Tổn thương thành thực quản của ông có kích thước 4 cm, đã ăn vào lớp cơ.
Bệnh nhân có khối u lớn, lớn tuổi, bệnh nền cao huyết áp, phẫu thuật không khéo có nguy cơ tai biến như thủng làm chảy máu ồ ạt, rách động – tĩnh mạch chủ, thủng phế quản, rách màng tim, là thách thức cho cuộc mổ.
Các bác sĩ quyết định phẫu thuật nội soi qua ngả bụng và ngực để cắt hoàn toàn thực quản, nạo vét hạch ở vùng cổ – ngực – bụng ngăn tế bào ung thư tiến triển. Đồng thời tạo hình thực quản bằng ống dạ dày đưa lên cổ, nối vào thực quản, mở hỗng tràng để nuôi ăn cho người bệnh trong thời gian đầu sau phẫu thuật.

“Ca phẫu thuật phức tạp vì thực quản liên quan đến các cơ quan quan trọng trong cơ thể như tim, phổi, khí – phế quản, động – tĩnh mạch chủ và hệ thống thần kinh quặt ngược”, bác sĩ Hùng nói.
Ê kíp quyết định mổ theo thứ tự lần lượt ba thì gồm ngực – bụng – cổ. Bắt đầu từ thì ngực, kíp mổ nội soi vào ngực bóc tách thực quản ra các cơ quan xung quanh, cắt ngang thực quản đoạn ngang tĩnh mạch đơn, bảo tồn động mạch phế quản phải, đồng thời nạo các nhóm hạch cạnh khí phế quản phải, trái bảo tồn thần kinh quặt ngược, nạo hạch dưới phế quản và cạnh dạ dày, bảo tồn ống ngực.
Xong thì ngực, ê kíp nội soi vào bụng nạo vét hạch, sau đó cắt dạ dày để tạo hình ống thực quản, tạo hình môn vị, mở hỗng tràng giúp nuôi ăn.
Phẫu thuật thì cổ là bước cuối cùng trong ca mổ. Các bác sĩ mở đường ngang cổ, phẫu tích nạo hạch cổ bên bảo tồn thần kinh quặt ngược. Sau đó, kíp mổ đưa ống dạ dày lên cổ nối với thực quản, cắt ngang ống thực quản và ống dạ dày, khâu lại miệng nối. Ca mổ hoàn thành trong 8 giờ.
Bác sĩ Hùng (giữa) cùng ê kíp thực hiện phẫu thuật cho ông Thái. Ảnh: Bệnh viện Đa khoa Tâm Anh
Sau hai ngày phẫu thuật, bệnh nhân tỉnh táo hoàn toàn, vết mổ khô, có thể tự đi lại, tập uống bằng đường miệng sau 2 ngày, dự kiến xuất viện sau đó 8 ngày. Người bệnh cần hỗ trợ nuôi ăn bằng hỗng tràng thêm 10 ngày do thực quản mới tạo hình chưa ổn định, hạn chế hấp thu dinh dưỡng.
Kết quả giải phẫu bệnh xác định ông Thái mắc ung thư biểu mô vảy xâm lấn lớp cơ (còn gọi là ung thư thực quản biểu mô tế bào gai), 1 hạch di căn. Bác sĩ khoa Ung bướu sẽ tiếp tục điều trị sau khi ông ổn định sức khỏe.
Bác sĩ Minh Hùng cho biết phẫu thuật nội soi qua ngả ngực và bụng có nhiều ưu điểm như vết mổ nhỏ, ít gây sang chấn. Bác sĩ thực hiện thao tác ở trung thất thuận lợi, lượng máu mất ít, giảm tỷ lệ tai biến, biến chứng, thời gian nằm viện ngắn, người bệnh phục hồi nhanh.
Ung thư thực quản thường phát hiện ở giai đoạn muộn do triệu chứng không rõ ràng. Khi xuất hiện triệu chứng như nuốt nghẹn, sụt cân, đau tức vùng ngực… thì thường bệnh đã ở giai đoạn muộn. Khả năng điều trị dứt điểm ung thư thực quản thấp, chỉ khoảng 25% do bệnh thường được phát hiện ở giai đoạn muộn, khi ung thư đã di căn.
Bác sĩ Minh Hùng khuyến nghị mọi người nên sống khoa học, phòng ngừa các yếu tố nguy cơ, khám sức khỏe định kỳ để tầm soát ung thư. Phát hiện ung thư ở giai đoạn sớm khi chưa có triệu chứng, hiệu quả điều trị tốt hơn vì có thể cắt qua nội soi ống mềm.
HỆ THỐNG BỆNH VIỆN ĐA KHOA TÂM ANH