Người bệnh có khối viêm áp xe khổng lồ hơn 6 kg, được bác sĩ phẫu thuật cắt tách, bảo tồn hệ tiêu hóa và tiết niệu.
Chị Lê Thanh (36 tuổi) bị hiếm muộn, hơn 10 năm nay đi khắp nơi chữa trị nhưng không hiệu quả. Quá trình điều trị khiến chị xuất hiện nhiều bệnh lý phụ khoa như viêm mủ buồng trứng, viêm mủ phần phụ, u xơ tử cung, lạc nội mạc tử cung…, tạo nên bệnh cảnh phức tạp nhiễm trùng vùng tiểu khung. Trải qua nhiều lần phẫu thuật thất bại, người bệnh tìm đến BVĐK Tâm Anh Hà Nội.

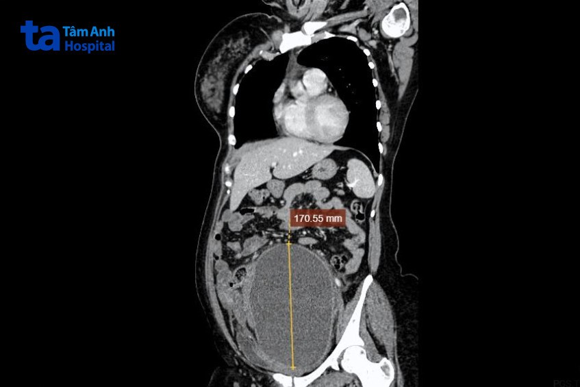
TTƯT.PGS.TS Triệu Triều Dương, Giám đốc chuyên môn Ngoại khoa, BVĐK Tâm Anh Hà Nội cho biết, dựa trên chẩn đoán hình ảnh và các xét nghiệm thăm khám xác định người bệnh có ổ áp xe nhiễm trùng (khối viêm mạn tính), trọng lượng khoảng 6 kg, tương đương với thai 9 tháng. Khối tổn thương phát triển với kích thước lớn chiếm toàn bộ thể tích ổ bụng, kéo dài từ thượng vị đến tiểu khung, chèn ép các tạng xung quanh, gây giãn thận niệu quản hai bên, có triệu chứng của tắc ruột do u hoại tử vào thành sigma trực tràng, gây tổn thương hệ mạch vùng chậu. Mô nội mạc tử cung của người bệnh xuất hiện ở khắp phần tiểu khung như cơ bàng quang, tử cung, đại tràng…
Người bệnh thường xuyên chịu đựng tình trạng đau bụng, rối loạn tiểu tiện, viêm nhiễm phần phụ và khí hư, ảnh hưởng nặng nề đến sức khỏe và cuộc sống.

Các bác sĩ hội chẩn, chỉ định thực hiện cuộc đại phẫu cắt khối u khổng lồ viêm nhiễm kèm đa phủ tạng. Cuộc đại phẫu đặt ra nhiều thách thức đối với ekip. Người bệnh có khối u quá lớn, xâm nhiễm gây tổn thương, viêm nhiễm và hoại tử nhiều tổ chức xung quanh. Bệnh nhân đã từng trải qua 3 cuộc phẫu thuật trước đó: phẫu thuật cắt u buồng trứng bên trái, phẫu thuật thông vòi trứng bên trái, phẫu thuật sinh thiết u lạc nội mạc tử cung ở buồng trứng. Ekip đã lên kế hoạch chi tiết trước mổ, với kinh nghiệm chuyên môn sâu đã phẫu tích tỉ mỉ, cẩn trọng giúp lấy trọn khối u, bảo tồn các cơ quan chưa hoại tử trong ổ bụng. Nếu không kiểm soát tốt trong mổ cũng gây nhiều rủi ro và biến chứng hậu phẫu như xì rò, chảy máu, suy tạng… ảnh hưởng đến sức khỏe, tính mạng của người bệnh.
Sau 5 tiếng phẫu thuật, ekip bác sĩ đã cắt toàn bộ khối u, cắt các tổ chức hoại tử bao gồm tử cung, buồng trứng, đại tràng sigma, đồng thời hạ đại tràng trái để nối một thì, bảo tồn hai niệu quản. PGS Dương, người trực tiếp thực hiện phẫu thuật nhận định đây là một ca phức tạp do khối u quá lớn, các tạng xung quanh đã bị ảnh hưởng bởi sự viêm nhiễm nặng. Khối u dính nhiều hệ động tĩnh mạch chậu hai bên và động mạch chủ, tăng sinh mạch nhiều. Xung quanh khối viêm có nhiều mạch máu, kích thước u lớn, chèn ép các tạng và mạch máu xung quanh làm biến đổi giải phẫu vùng chậu, ổ bụng gây khó khăn trong việc bóc tách. Sự phối hợp đa chuyên khoa với các chuyên gia tim mạch, tiết niệu, sản phụ khoa giúp ca mổ được thực hiện thuận lợi. Bệnh nhân được kiểm soát nhiễm trùng và cầm máu tốt. Sinh thiết ngay tại bàn phẫu thuật cho thấy khối u lành tính bội nhiễm viêm, vòi trứng viêm mủ mạn tính, các tổ chức khác đều lành tính như u cơ trơn tử cung, cổ tử cung và nội mạc tử cung, mô đại trực tràng… Bác sĩ tiến hành phẫu thuật một thì, tránh được cuộc phẫu thuật lần 2, hạn chế ảnh hưởng đến sức khỏe của người bệnh.

PGS Dương nhận định, tuy mắc bệnh lý lành tính nhưng diễn biến phức tạp, không điều trị đúng cách và xử lý khối u kịp thời dẫn đến phải cắt đa phủ tạng. Sau phẫu thuật, người bệnh may mắn bảo tồn và phục hồi tốt chức năng tiêu hóa, tiết niệu. Một tuần sau phẫu thuật, người bệnh hồi phục sức khỏe, tập đi lại nhẹ nhàng, bắt đầu ăn uống trở lại, dần ổn định thể trạng và xuất viện sau 2 tuần theo dõi, điều trị tích cực.
Khối viêm nhiễm kích thước lớn nếu không can thiệp cắt bỏ kịp thời, ngày càng chèn ép và dính chặt vào các cơ quan như niệu quản, bàng quang, trực tràng… gây biến chứng nguy hiểm như nhiễm trùng ổ bụng, thận ứ nước, viêm nhiễm đường tiết niệu, hoại tử các cơ quan xung quanh… PGS Dương cho rằng, người bệnh khi có các dấu hiệu, triệu chứng nghi ngờ mắc các bệnh lý ảnh hưởng đến sức khỏe, cần thăm khám sớm tại các bệnh viện có chuyên khoa chức năng, có đội ngũ bác sĩ chuyên môn sâu để được chẩn đoán, đưa ra phác đồ điều trị kịp thời, nhất là khi có chỉ định phẫu thuật.
*Tên người bệnh đã được thay đổi.
HỆ THỐNG BỆNH VIỆN ĐA KHOA TÂM ANH