Hà Nội_Ông Phong (56 tuổi) mất thính lực kéo dài, đi khám phát hiện có khối u não hiếm gặp nằm sâu trong nền sọ, nguy cơ cao vỡ động mạch, tử vong nếu không phẫu thuật.

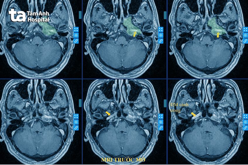
TS.BS Nguyễn Đức Anh, Trưởng khoa Ngoại Thần kinh – Cột sống, Bệnh viện Đa khoa Tâm Anh Hà Nội cho biết, người bệnh nhập viện trong tình trạng mất thính lực một bên tai, không kèm đau đầu hay yếu liệt. Kết quả chụp cộng hưởng từ (MRI) cho thấy khối u đám rối động mạch cảnh trong nằm sâu trong xương đá và xoang tĩnh mạch hang (cấu trúc giải phẫu vùng nền sọ thái dương, cực kỳ khó can thiệp). Khối u lan vào tai giữa, chèn ép động mạch cảnh trong và các dây thần kinh sọ não. Đây là loại u phát triển từ hệ thống thần kinh giao cảm, vốn điều khiển các hoạt động như huyết áp, nhịp tim, các tuyến nước bọt, tuyến tiết nhày của hầu họng, nằm sát mạch máu lớn ở nền sọ.
“Đây là một khối u rất hiếm gặp, y văn thế giới chỉ ghi nhận vài trường hợp tương tự. U xuất phát từ đám rối thần kinh quanh động mạch cảnh trong, nằm sâu trong nền sọ và có mức độ xâm lấn phức tạp. Do vị trí nền sọ phức tạp và gần mạch máu lớn, nguy cơ đột tử cao nếu không can thiệp.”, tiến sĩ Đức Anh nói.

Theo tiến sĩ Đức Anh, vị trí của khối u khiến ca mổ trở thành một trong những phẫu thuật nền sọ khó khăn và phức tạp. U không chỉ lan rộng trong xương đá mà còn bám sát, ôm vòng quanh thành động mạch cảnh trong (nguồn cấp máu chủ yếu của não). Chỉ một sai sót nhỏ cũng có thể dẫn đến hậu quả nghiêm trọng như vỡ mạch, gây chảy máu ồ ạt, tổn thương các dây thần kinh, hoặc hẹp, tắc mạch não gây nhồi máu não nặng, thậm chí có thể tử vong ngay trên bàn mổ.
Tiến sĩ Đức Anh cùng êkíp lựa chọn phương pháp mổ nền sọ, có hỗ trợ bởi kính vi phẫu có độ phóng đại rất lớn tới gần 40 lần, ứng dụng hệ thống định vị thần kinh Neuro Navigation tích hợp trí tuệ nhân tạo (AI), hệ thống theo dõi thần kinh trong mổ (IONM: IntraOperative Neurophysiological Monitoring). Công nghệ này giúp dẫn đường chính xác vị trí khối u trong không gian ba chiều, xác định ranh giới giữa u và các cấu trúc xung quanh như dây thần kinh, mạch máu lớn, giúp giảm nguy cơ tổn thương mô lành. Nếu mổ theo cách truyền thống, bác sĩ gần như “mò đường trong bóng tối” vì khối u nằm sâu, cấu trúc giải phẫu phức tạp. Với sự hỗ trợ của hệ thống định vị tích hợp AI, quá trình bóc tách được dẫn đường, giúp bác sĩ mổ chính xác và an toàn hơn. Không chỉ giúp dẫn đường, hệ thống còn hỗ trợ phân tích hình ảnh y học trước mổ, đưa ra mô hình 3D của khối u và các cấu trúc xung quanh. Nhờ đó, bác sĩ có thể lên kế hoạch bóc tách chi tiết và chính xác từng bước trước khi vào phòng mổ.

Ca mổ kéo dài gần 8 giờ, với sự phối hợp chặt chẽ giữa các bác sĩ Ngoại thần kinh và Tai mũi họng. Êkíp tiến hành khoan xương nền sọ từng lớp dưới kính hiển vi, bóc tách khối u dính chặt vào thành xương và bao quanh động mạch cảnh. Trong lúc thao tác, AI định vị liên tục cập nhật vị trí dao mổ và khối u, hỗ trợ bác sĩ trong từng bước tiếp cận và bóc u. Song song đó, IONM giám sát liên tục hoạt động của các dây thần kinh và phát cảnh báo khi phát hiện nguy cơ tổn thương.
“Phần khó nhất là bóc tách vùng u bám quanh thành động mạch cảnh. Chúng tôi phải vi phẫu tỉ mỉ đến từng milimet, vừa thao tác vừa theo dõi tín hiệu thần kinh để đảm bảo an toàn”, Tiến sĩ Đức Anh cho biết.
Khi toàn bộ khối u được lấy ra, ekip tiến hành tái tạo lại nền sọ bằng vật liệu nhân tạo và đóng kín khoang mổ. Sau phẫu thuật, bệnh nhân được theo dõi sát tại khoa hồi sức Tâm Anh. Sau ba ngày, người bệnh tỉnh táo, không có dấu hiệu tổn thương thần kinh, vận động bình thường.
Giải phẫu bệnh xác định đây là khối u đám rối động mạch cảnh trong (carotid plexus tumor).
U nền sọ nếu phát hiện muộn, đặc biệt khi đã chèn ép mạch máu lớn như động mạch cảnh trong, việc phẫu thuật trở nên rất nguy hiểm. Nếu không can thiệp, khối u có thể tiếp tục phát triển, gây liệt mặt, mất thị lực, đột quỵ hoặc tử vong.
Khi có dấu hiệu suy giảm thính lực kéo dài, ù tai, đau sâu vùng tai – thái dương, người bệnh nên đến khám tại các chuyên khoa Thần kinh hoặc Tai Mũi Họng càng sớm càng tốt, tiến sĩ Đức Anh khuyến cáo.
HỆ THỐNG BỆNH VIỆN ĐA KHOA TÂM ANH