Phẫu thuật cắt bỏ khối u phổi là 1 trong những phương pháp điều trị triệt căn quan trọng với ung thư phổi, giúp loại bỏ khối u nguyên phát, hạch di căn và cải thiện đáng kể tỷ lệ sống của người bệnh. Bài viết này của bác sĩ CKI Trần Quốc Hoài, Khoa Ngoại Lồng ngực – Mạch máu, Bệnh viện Đa khoa Tâm Anh TP.HCM sẽ cung cấp thông tin chi tiết về các phương pháp phẫu thuật ung thư phổi hiện đại, chỉ định, chống chỉ định, biến chứng có thể xảy ra và các biện pháp chăm sóc hậu phẫu.
Mục tiêu của phẫu thuật ung thư phổi
Mục tiêu chính của phẫu thuật trong điều trị ung thư phổi là cắt bỏ hoàn toàn khối u nguyên phát và các hạch bạch huyết di căn tại vùng trung thất (mediastinum) và rốn phổi (hilum). Phẫu thuật giúp loại bỏ tận gốc bệnh, ngăn sự tiến triển và lây lan của các tế bào ác tính, từ đó cải thiện tỷ lệ sống và giảm tái phát bệnh về lâu dài.
Các phương pháp điều trị đa mô thức (multimodality treatment) như phẫu thuật ung thư phổi kết hợp với hóa trị (chemotherapy) và xạ trị (radiotherapy) được áp dụng để hiệu quả điều trị tối ưu. Trong trường hợp ung thư phổi giai đoạn tiến triển hoặc tái phát, các liệu pháp nhắm trúng đích (targeted therapy) và liệu pháp miễn dịch (immunotherapy) cũng có vai trò quan trọng trong việc kiểm soát bệnh và cải thiện chất lượng sống. (1)
Phẫu thuật ung thư phổi giúp cắt bỏ hoàn toàn khối u nguyên phát và các hạch bạch huyết di căn tại vùng trung thất và rốn phổi.
Khi nào nên phẫu thuật ung thư phổi?
Phẫu thuật cắt u phổi thường được chỉ định cho:
Ung thư phổi không tế bào nhỏ (Non-Small Cell Lung Cancer – NSCLC): Giai đoạn I, II và một số trường hợp giai đoạn IIIA, khi bệnh chưa di căn xa (M0).
Ung thư phổi tế bào nhỏ (Small Cell Lung Cancer – SCLC): Rất hiếm khi chỉ định phẫu thuật, chỉ khi khối u còn khu trú ở phổi và chưa có dấu hiệu di căn hạch hoặc di căn xa.
Chống chỉ định với:
Người bệnh có bệnh toàn thân nặng, không đủ sức khỏe để trải qua phẫu thuật
Ung thư đã di căn xa (giai đoạn IV), có tràn dịch màng phổi ác tính hoặc xâm lấn các cơ quan ở ngực khác.
Người bệnh mắc các bệnh tim mạch hoặc hô hấp nặng, không thể gây mê.
Các phương pháp phẫu thuật ung thư phổi phổ biến
Một số kỹ thuật phẫu thuật ung thư phổi phổ biến như: (2)
1. Phẫu thuật cắt phổi hình chêm (Wedge Resection)
Định nghĩa: phẫu thuật cắt bỏ 1 phần nhỏ của nhu mô phổi, bao gồm cả khối u và 1 rìa mô phổi lành xung quanh.
Chỉ định: tổn thương nhỏ (≤2cm) ở ngoại vi phổi, ung thư biểu mô tại chỗ (carcinoma in situ) hoặc ung thư xâm lấn tối thiểu, không có di căn hạch.
Ưu điểm: ít xâm lấn, bảo tồn được nhiều mô phổi lành.
Nhược điểm: có nguy cơ tái phát tại chỗ cao hơn so với các phương pháp khác nếu diện cắt không âm tính (R0 – không còn tế bào u ở diện cắt).
Phẫu thuật cắt phổi hình chêm ít xâm lấn, bảo tồn được nhiều mô phổi lành.
2. Phẫu thuật cắt phân thùy phổi (Segmentectomy)
Định nghĩa: phẫu thuật cắt bỏ 1 hoặc nhiều phân thùy phổi dựa theo cấu trúc giải phẫu mạch máu và phế quản.
Chỉ định: khối u nhỏ ở ngoại vi (≤2cm), giới hạn trong 1 phân thùy, không di căn hạch, ở người bệnh có chức năng hô hấp kém hoặc có các bệnh đi kèm.
Ưu điểm: bảo tồn được nhiều mô phổi hơn so với cắt thùy, giảm nguy cơ suy hô hấp sau mổ.
Nhược điểm:phương pháp phẫu thuật ung thư phổi này đòi hỏi phẫu thuật viên có trình độ kỹ thuật cao, sau mổ có nguy cơ rò khí hoặc rò mỏm cắt. Số lượng dụng cụ sử dụng nhiều hơn nên chi phí phẫu thuật sẽ cao hơn cắt thùy phổi đơn thuần.
3. Phẫu thuật cắt thùy phổi (Lobectomy)
Định nghĩa: phẫu thuật cắt bỏ 1 thùy phổi, thường kèm theo nạo vét hạch trung thất.
Chỉ định: đây là phương pháp phẫu thuật tiêu chuẩn trong điều trị ung thư phổi, áp dụng cho hầu hết các trường hợp NSCLC giai đoạn I-IIIA.
Ưu điểm: đảm bảo cắt bỏ hoàn toàn khối u và hạch di căn, giảm đáng kể nguy cơ tái phát.
Nhược điểm: mất đi 1 phần lớn nhu mô phổi, có thể gây suy giảm chức năng hô hấp sau mổ.
Phẫu thuật cắt thùy phổi giúp cắt bỏ hoàn toàn khối u và hạch di căn, giảm đáng kể nguy cơ tái phát.
4. Phẫu thuật cắt phổi (Pneumonectomy)
Định nghĩa: phẫu thuật cắt bỏ toàn bộ 1 bên phổi, thường kèm theo nạo vét hạch trung thất.
Chỉ định: khối u lớn xâm lấn toàn bộ 1 hay 2 bên phổi hoặc không thể loại bỏ hết bằng các phương pháp cắt 1 phần phổi nhỏ khác.
Ưu điểm: phương pháp này có thể cắt bỏ triệt để khối u trong các trường hợp ung thư lan rộng.
Nhược điểm: mất toàn bộ chức năng của 1 bên phổi, nguy cơ suy hô hấp và nhiều biến chứng khác như nhiễm trùng trung thất…
Phẫu thuật ung thư phổi được thực hiện như thế nào?
Có nhiều kỹ thuật phẫu thuật ung thư phổi, bao gồm mổ mở thông thường, xâm lấn tối thiểu bằng nội soi hoặc có robot hỗ trợ. (3)
1. Phẫu thuật mở ngực (Thoracotomy)
Phẫu thuật sử dụng đường rạch lớn ở thành ngực để tiếp cận khoang màng phổi và cắt bỏ khối u.
Ưu điểm: cho phép phẫu thuật viên có thể quan sát và thao tác trực tiếp vào khu vực phẫu thuật.
Nhược điểm: xâm lấn nhiều, đau nhiều sau mổ, thời gian hồi phục lâu hơn.
2. Phẫu thuật nội soi lồng ngực có hỗ trợ video (Video-Assisted Thoracoscopic Surgery – VATS):
Phẫu thuật sử dụng các vết rạch nhỏ, kết hợp với camera và dụng cụ nội soi để thực hiện phẫu thuật.
Ưu điểm: ít xâm lấn, giảm đau sau mổ, thời gian hồi phục nhanh hơn, sẹo mổ nhỏ hơn.
Nhược điểm: đòi hỏi phẫu thuật viên có kinh nghiệm và kỹ năng nội soi tốt.
3. Phẫu thuật nội soi robot (Robotic-Assisted Thoracic Surgery – RATS):
Phẫu thuật sử dụng hệ thống robot hỗ trợ phẫu thuật viên, giúp thực hiện các thao tác chính xác và tinh tế hơn.
Ưu điểm: phẫu thuật có hình ảnh 3D rõ nét, độ chính xác cao, ít xâm lấn, giảm đau, giảm biến chứng, có thể dễ dàng tiếp cận các vùng mổ khó.
Nhược điểm: chi phí cao, yêu cầu trang thiết bị hiện đại và phẫu thuật viên được đào tạo chuyên sâu.
Phẫu thuật ung thư phổi có nguy hiểm không?
Phẫu thuật ung thư phổi là 1 trong những phương pháp điều trị quan trọng, nhưng bất kỳ loại phẫu thuật lớn nào cũng tiềm ẩn một số rủi ro. Phẫu thuật ung thư phổi có nguy hiểm không phụ thuộc vào nhiều yếu tố như loại phẫu thuật, tình trạng sức khỏe của người bệnh và giai đoạn ung thư.
Theo dõi và chăm sóc người bệnh sau mổ ung thư phổi
Chăm sóc và theo dõi sau phẫu thuật ung thư phổi đóng vai trò quan trọng trong việc giúp người bệnh phục hồi nhanh chóng, giảm nguy cơ biến chứng và cải thiện chất lượng cuộc sống.
1. Kiểm tra định kỳ
Tái khám thường xuyên để đánh giá quá trình phục hồi và phát hiện sớm biến chứng cũng như nguy cơ tái phát. Nội dung kiểm tra bao gồm:
Thời gian: thường từ 1-2 tuần sau mổ và sau đó theo lịch hàng tháng, hàng quý hoặc hàng năm tùy tình trạng.
Nội dung tái khám thường bao gồm:
Khám lâm sàng.
Chụp X-quang ngực, CT scan.
Xét nghiệm máu.
Đánh giá chức năng hô hấp.
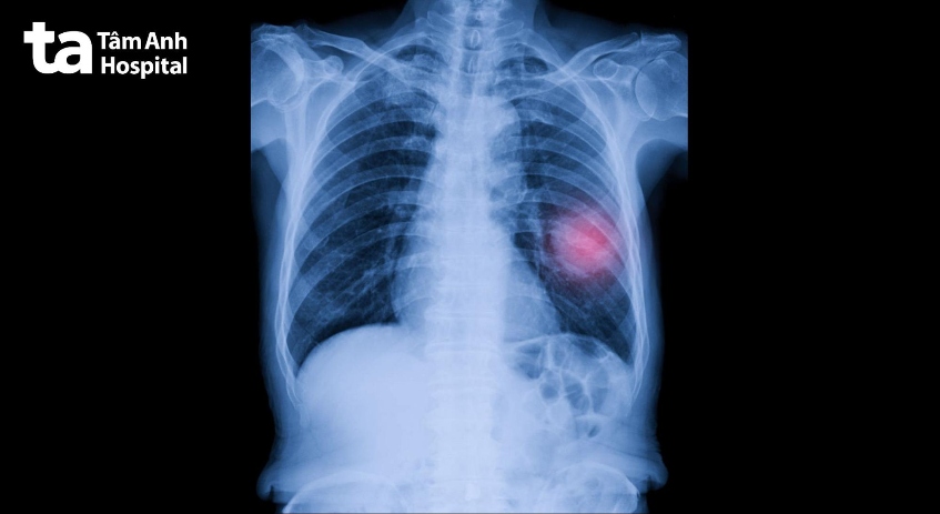
Mô phỏng khối u phổi (màu hồng) trên hình ảnh X-quang phổi.
2. Theo dõi các triệu chứng bất thường
Khó thở kéo dài hoặc ngày càng nặng.
Đau ngực không giảm.
Sốt, ho ra máu hoặc sưng ở chân (dấu hiệu cục máu đông).
3. Quản lý đau
Bác sĩ sẽ kê thuốc giảm đau như opioid hoặc NSAIDs để kiểm soát cơn đau do vết mổ và tổn thương mô.
4. Ngăn ngừa nhiễm trùng
Thay băng vết mổ đúng cách, đảm bảo vô trùng.
Sử dụng kháng sinh nếu cần.
5. Hỗ trợ hô hấp
Hỗ trợ hô hấp bằng các bài tập thở và phục hồi chức năng phổi.
Khuyến khích bài tập hít thở sâu hoặc sử dụng thiết bị phục hồi chức năng phổi (spirometer).
6. Dinh dưỡng hợp lý
Ăn uống cân đối, thực phẩm giàu protein, vitamin, và khoáng chất để thúc đẩy lành vết thương sau phẫu thuật ung thư phổi.
Uống đủ nước, trừ khi có chỉ định hạn chế dịch nhập vào.
Tránh các chất kích thích như rượu, bia, thuốc lá.
7. Hoạt động thể chất
Tập thể dục nhẹ nhàng, như đi bộ hoặc yoga, để tăng cường chức năng phổi và giảm nguy cơ cục máu đông.
Tránh các hoạt động nặng hoặc gắng sức trong giai đoạn đầu.
Tham gia các chương trình phục hồi chức năng phổi.
Giảm stress và tham gia các hội nhóm cùng mắc bệnh nếu có thể.
8. Đến cơ sở y tế ngay khi có dấu hiệu bất thường
Đau ngực đột ngột hoặc khó thở nhiều.
Sốt cao hoặc các dấu hiệu nhiễm trùng vết mổ.
Ho ra máu nhiều hoặc phù chân.
Chăm sóc đúng cách sau phẫu thuật ung thư phổi không chỉ giúp người bệnh hồi phục nhanh mà còn nâng cao hiệu quả điều trị, kéo dài thời gian và cải thiện chất lượng cuộc sống.
Dinh dưỡng cho cho người bệnh sau mổ ung thư phổi
Dinh dưỡng đóng vai trò quan trọng giúp người bệnh phục hồi nhanh, tăng cường sức đề kháng và giảm nguy cơ biến chứng.
Nguyên tắc dinh dưỡng cơ bản:
Đảm bảo đủ calo và protein để hỗ trợ quá trình hồi phục.
Cân đối các nhóm chất: bổ sung protein, carbohydrate, chất béo lành mạnh, vitamin và khoáng chất.
Chế biến thức ăn mềm, dễ tiêu: cháo, súp, hấp, luộc.
Bổ sung thực phẩm chứa men vi sinh như sữa chua.
Theo dõi cân nặng để tránh sụt cân quá mức.
Câu hỏi thường gặp
1. Phẫu thuật ung thư phổi bao lâu phục hồi?
Thời gian phục hồi sau phẫu thuật ung thư phổi có thể khác nhau tùy thuộc vào loại phẫu thuật, tình trạng sức khỏe của người bệnh và mức độ phức tạp của ca mổ. Không có một mốc thời gian cố định cho tất cả người người bệnh, tuy nhiên có thể chia thành các giai đoạn chính như sau:
Giai đoạn sớm (1-2 tuần đầu sau phẫu thuật):
Triệu chứng: người bệnh thường cảm thấy mệt mỏi, đau tại vị trí phẫu thuật (post-thoracotomy pain) và có thể gặp khó khăn khi thở do giảm dung tích phổi sau phẫu thuật , ảnh hưởng của gây mê toàn thân và các ống dẫn lưu. Các triệu chứng này thường được bác sĩ kiểm soát bằng thuốc giảm đau và liệu pháp hô hấp.
Chăm sóc: kiểm soát đau, theo dõi sát các dấu hiệu sinh tồn, đảm bảo dẫn lưu dịch, khí hiệu quả. Tập các bài tập thở sâu, ho có kiểm soát, và vận động sớm tại giường được khuyến khích sớm để tránh xẹp phổi (atelectasis) và các biến chứng hô hấp khác.
Giai đoạn hồi phục (1 tháng đầu sau phẫu thuật):
Người bệnh bắt đầu cảm thấy dễ chịu hơn, các triệu chứng đau giảm dần. Tuy nhiên, vẫn có thể còn mệt mỏi và khó thở khi gắng sức. Vết mổ đang trong quá trình lành, cần được chăm sóc và theo dõi để tránh nhiễm trùng.
Chăm sóc: tiếp tục thực hiện các bài tập phục hồi chức năng hô hấp, vận động nhẹ nhàng và tăng dần mức độ hoạt động. Duy trì chế độ dinh dưỡng cân bằng để hỗ trợ quá trình lành vết thương và phục hồi sức khỏe. Người bệnh cần tuân thủ hướng dẫn của bác sĩ về việc sử dụng thuốc, theo dõi vết mổ và tái khám định kỳ.
Giai đoạn phục hồi toàn diện (từ 2-3 tháng sau phẫu thuật):
Đa số người bệnh sau phẫu thuật ung thư phổi có thể trở lại các hoạt động sinh hoạt hàng ngày, tuy nhiên vẫn cần tránh các hoạt động gắng sức. Các triệu chứng mệt mỏi và khó thở thuyên giảm dần nhưng có thể xuất hiện lại khi người bệnh hoạt động quá sức.
Chăm sóc: tiếp tục duy trì các bài tập phục hồi chức năng hô hấp, vận động đều đặn và duy trì lối sống lành mạnh. Người bệnh cần theo dõi sát các dấu hiệu tái phát hoặc các biến chứng muộn và tái khám định kỳ theo lịch hẹn của bác sĩ. Tiếp tục chương trình phục hồi chức năng phổi (pulmonary rehabilitation) có thể giúp cải thiện chức năng hô hấp, giảm khó thở và tăng cường chất lượng cuộc sống.
Ngoài ra, việc phục hồi cũng phụ thuộc vào loại phẫu thuật, các yếu tố như tuổi tác, thể trạng, bệnh nền đi kèm và mức độ di căn của bệnh. Việc tham gia các chương trình phục hồi chức năng phổi cũng có thể giúp quá trình hồi phục diễn ra nhanh chóng hơn.
2. Chi phí phẫu thuật ung thư phổi bao nhiêu tiền?
Chi phí phẫu thuật ung thư phổi rất đa dạng, phụ thuộc vào nhiều yếu tố.
Loại phẫu thuật là yếu tố chính: cắt thùy phổi thường ít tốn kém hơn so với cắt toàn bộ phổi hoặc cắt phân thùy phổi.
Cơ sở y tế thực hiện cũng ảnh hưởng lớn đến chi phí phẫu thuật. Tùy từng cơ sở y tế sẽ có chi phí khác nhau.Các dịch vụ bổ sung như xét nghiệm trước mổ, thuốc gây mê, điều trị hậu phẫu (hóa trị, xạ trị) cũng được tính vào chi phí.
Bảo hiểm y tế có thể giúp giảm chi phí đáng kể tùy thuộc vào mức hưởng của người bệnh và loại phẫu thuật.
Vì vậy, không có con số cụ thể và chung cho tất cả các trường hợp về chi phí phẫu thuật ung thư phổi. Người bệnh nên liên hệ trực tiếp với các bệnh viện để được tư vấn chi tiết về chi phí và các gói dịch vụ hỗ trợ đi kèm.
3. Phẫu thuật ung thư phổi ở đâu?
Phẫu thuật ung thư phổi đòi hỏi chuyên môn và sự chính xác cao. Việc lựa chọn cơ sở y tế uy tín là yếu tố then chốt để đảm bảo thành công của ca phẫu thuật và quá trình phục hồi của người bệnh. Khoa Ngoại Lồng ngực – Mạch máu và khoa Ung bướu, Bệnh viện Đa khoa Tâm Anh TP.HCM là 1 trong những lựa chọn uy tín, nổi bật với:
Đội ngũ chuyên gia đầu ngành:
Bác sĩ chuyên khoa Ung bướu, phẫu thuật Lồng ngực – mạch máu có trình độ chuyên môn cao, giàu kinh nghiệm trong điều trị ung thư phổi.
Luôn cập nhật các kỹ thuật phẫu thuật và điều trị tiên tiến, đảm bảo kết quả điều trị tối ưu.
Trang thiết bị hiện đại:
Hệ thống trang thiết bị y tế tiên tiến: CT, MRI, dàn máy phẫu thuật nội soi 3D, phẫu thuật robot.
Giúp chẩn đoán chính xác, lên kế hoạch điều trị cá nhân hóa, bảo bảo phẫu thuật thuận lợi và an toàn.
Phương pháp điều trị toàn diện:
Phác đồ điều trị đa mô thức và phối hợp nhiều chuyên khoa: phẫu thuật kết hợp hóa trị, xạ trị, liệu pháp nhắm trúng đích, miễn dịch.
Giúp nâng cao hiệu quả điều trị, kiểm soát bệnh, cải thiện chất lượng sống lâu dài.
Quy trình chăm sóc chuyên nghiệp:
Theo dõi chặt chẽ trước, trong và sau phẫu thuật bởi đội ngũ y tá, điều dưỡng tận tâm.
Sau phẫu thuật, người bệnh sẽ được theo dõi chặt chẽ và chăm sóc bởi đội ngũ y bác sĩ, kỹ thuật viên phục hồi chức năng hô hấp… giúp giảm thiểu nguy cơ biến chứng và hỗ trợ quá trình phục hồi nhanh chóng.
Cơ sở vật chất hiện đại:
Môi trường thân thiện, phòng bệnh tiện nghi, đạt chuẩn khách sạn 5 sao, vệ sinh và an toàn tối đa.
Để biết thông tin chi tiết và tư vấn về phẫu thuật ung thư phổi tại Bệnh viện Đa khoa Tâm Anh TP.HCM, bạn có thể liên hệ trực tiếp với bệnh viện hoặc tham khảo website chính thức của bệnh viện.
HỆ THỐNG BỆNH VIỆN ĐA KHOA TÂM ANH
Bệnh viện Đa khoa Tâm Anh Hà Nội:
108 Phố Hoàng Như Tiếp, Phường Bồ Đề, TP. Hà Nội
(Đ/c cũ: 108 Hoàng Như Tiếp, P.Bồ Đề, Q.Long Biên, TP. Hà Nội)
Phẫu thuật ung thư phổi là phương pháp điều trị quan trọng, giúp loại bỏ khối u và cải thiện cơ hội sống cho người bệnh. Tuy nhiên, đây là can thiệp phức tạp đòi hỏi sự chuẩn bị kỹ lưỡng và theo dõi chặt chẽ trong suốt quá trình điều trị và phục hồi. Với sự phát triển của y học và các công nghệ tiên tiến, các phương pháp phẫu thuật ngày càng mang lại hiệu quả cao hơn, giúp người bệnh có thể sống khỏe mạnh và kéo dài tuổi thọ.
Cập nhật lần cuối: 11:06 14/03/2025
Chia sẻ:
Nguồn tham khảo
Lung Cancer Treatment Options – Siteman Cancer Center. (2022, December 7). Siteman Cancer Center. https://siteman.wustl.edu/treatment/cancer-types/lung-cancer/treatments/
American Lung Association. (2024). Lung Cancer Surgery. Lung.org; https://www.lung.org/lung-health-diseases/lung-disease-lookup/lung-cancer/treatment/types-of-treatment/lung-cancer-surgery
Types of surgery for lung cancer. (2024, November 14). Cancerresearchuk.org. https://www.cancerresearchuk.org/about-cancer/lung-cancer/treatment/surgery/types
Non-Small Cell Lung Cancer Surgery | Types of Lung Surgery. (2020). Cancer.org. https://www.cancer.org/cancer/types/lung-cancer/treating-non-small-cell/surgery.html