Bệnh lao phổi ở trẻ em thường không có những triệu chứng cụ thể, dễ nhầm lẫn với các bệnh lý khác có nguyên nhân liên quan đến vi khuẩn, virus hoặc nấm. Vì vậy, việc chẩn đoán xác định bệnh để điều trị triệt để là điều quan trọng giúp hạn chế nguy cơ tử vong, đặc biệt là ở trẻ sơ sinh và trẻ nhỏ.
Lao phổi ở trẻ em là gì?
Bệnh lao phổi ở trẻ em (TB) là một bệnh nhiễm trùng (mãn tính) do vi khuẩn gây ra, thường ảnh hưởng đến phổi nhưng cũng có thể tác động đến các cơ quan khác như thận, cột sống hoặc não. Bệnh lao thường lây lan qua các giọt bắn khi người bệnh ho hoặc hít nhỏ vào trong không khí. Đa số trẻ em mắc bệnh lao ở phổi (70-80%), trong đó chủ yếu là lao sơ nhiễm, lao ngoài phổi chỉ chiếm 20-30%. (1)
Bệnh lao phổi ở trẻ em được chia thành các giai đoạn bao gồm:
Lao nguyên phát: Đây là giai đoạn khi trẻ đã tiếp xúc với người bị bệnh lao phổi nhưng vẫn có kết quả xét nghiệm da hoặc máu âm tính, hình ảnh X-quang phổi bình thường và không có triệu chứng.
Nhiễm lao tiềm ẩn: Ở giai đoạn này, cơ thể trẻ có vi khuẩn lao nhưng không biểu hiện triệu chứng. Hệ miễn dịch của trẻ giúp kiểm soát nhiễm trùng và làm cho vi khuẩn lao không hoạt động. Trẻ ở giai đoạn này sẽ có kết quả xét nghiệm da hoặc máu dương tính, nhưng hình ảnh X-quang phổi bình thường và không có triệu chứng của bệnh lao. Trẻ không thể lây nhiễm bệnh cho người khác.
Bệnh lao hoạt động: Đây là khi trẻ có các dấu hiệu và triệu chứng của nhiễm trùng hoạt động. Trẻ ở giai đoạn này có thể có kết quả xét nghiệm da hoặc máu dương tính hoặc âm tính, các xét nghiệm cho thấy có bệnh lao hoạt động ở phổi hoặc các vị trí khác trong cơ thể. Trẻ có thể lây bệnh nếu nhiễm trùng ở phổi và không được điều trị.
Sốt là một trong những triệu chứng bệnh lao phổi ở trẻ em.
Nguyên nhân gây bệnh lao phổi ở trẻ em
Bệnh lao (TB) do vi khuẩn gây ra, thường là do Mycobacterium tuberculosis (M. tuberculosis). Nhiều trẻ em bị nhiễm M.tuberculosis không bao giờ phát triển thành bệnh lao hoạt động mà luôn ở giai đoạn lao tiềm ẩn. (2)
Vi khuẩn lao lây lan qua không khí khi người nhiễm bệnh ho, hắt hơi, nói chuyện, hát, cười… Trẻ em thường không bị nhiễm trừ khi tiếp xúc nhiều lần với vi khuẩn. Lao không dễ lây qua các vật dụng cá nhân như quần áo, giường ngủ, cốc chén, dụng cụ ăn uống, nhà vệ sinh hoặc các vật dụng khác mà người mắc bệnh lao đã chạm vào.
Các yếu tố nguy cơ khiến trẻ dễ mắc bệnh lao
Khi trẻ em có một trong các yếu tố sau sẽ làm tăng khả năng mắc lao khi có triệu chứng lâm sàng nghi lao:
Có tiền sử tiếp xúc gần gũi với nguồn lây lao.
Trẻ em dưới 5 tuổi.
Trẻ em nhiễm HIV.
Trẻ em suy dinh dưỡng nặng.
-Trẻ em ốm yếu kéo dài sau khi mắc sởi.
Dấu hiệu lao phổi ở trẻ em
Dấu hiệu lao phổi ở trẻ em có thể khác nhau tùy theo từng trẻ và phụ thuộc vào độ tuổi của trẻ. Các triệu chứng phổ biến nhất của bệnh lao hoạt động ở trẻ nhỏ bao gồm:
Sốt.
Sút cân.
Phát triển kém.
Ho.
Sưng hạch bạch huyết (một số có thể chảy dịch qua da).
Cảm giác ớn lạnh.
Ba yếu tố cần tìm để chẩn đoán lao phổi ở trẻ em:
Tiền sử tiếp xúc với nguồn lây lao trong vòng 1 năm trở lại.
Triệu chứng lâm sàng nghi lao (không đáp ứng với điều trị thông thường).
Hình ảnh tổn thương trên Xquang phổi nghi lao.
Các triệu chứng phổ biến nhất của bệnh lao hoạt động ở trẻ lớn hơn có thể bao gồm:
Ho kéo dài hơn 3 tuần.
Đau ngực.
Ho ra máu.
Cơ thể yếu ớt.
Mệt mỏi.
Sưng hạch bạch huyết (một số có thể chảy dịch qua da).
Sút cân.
Giảm cảm giác thèm ăn.
Sốt.
Đổ mồ hôi ban đêm.
Ớn lạnh.
Các triệu chứng lao phổi ở trẻ em có thể giống với các triệu chứng của bệnh lý khác, do đó khi phát hiện trẻ có dấu hiệu bất thường, phụ huynh hãy đưa trẻ đến cơ sở y tế để được bác sĩ kiểm tra, chẩn đoán chính xác bệnh. Đa số trẻ nhỏ có nguy cơ mắc bệnh lao cao hơn các trẻ lớn.
Bác sĩ thăm khám lâm sàng để chẩn đoán bệnh.
Biến chứng lao phổi ở trẻ em
Tiến triển của bệnh lao ở trẻ em có thể dẫn đến nhiều biến chứng nghiêm trọng cho trẻ bao gồm:
Phì đại hạch rốn phổi và trung thất: Sự phát triển của phức hợp nguyên phát có thể làm phì đại hạch rốn phổi và trung thất dẫn đến xẹp phế quản.
Lao nguyên phát tiến triển: Khi ổ nguyên phát bị hoại tử, vi khuẩn có thể lan truyền qua các phế quản lân cận, gây ra tình trạng nhiễm trùng lan rộng.
Lao kê (Miliary TB): Ở bệnh nhân trẻ, sự phát tán của dòng máu bạch huyết, đặc biệt ở những bệnh nhân trẻ tuổi có thể dẫn đến lao kê khi chất phóng xạ đi vào máu từ ổ nguyên phát hoặc ổ di căn thành tĩnh mạch phổi (ổ Weigert).
Viêm màng não do lao: Vi khuẩn lao có thể lan truyền qua máu, gây ra viêm màng não, một biến chứng nguy hiểm.
Lao cột sống: trẻ sẽ có ổ abces cạnh cột sống, gây đau tăng khi hoạt động, biến dạng cột sống, đôi khi có thể gây yếu liệt, sốt.
Lao màng phổi: có thể trẻ sẽ đau ngực, khó thở.
Lao màng bụng: bụng trướng to dần, đôi khi sờ có mảng cứng ở bụng.
Lao tái hoạt (Lao tái nhiễm nội sinh): Vi khuẩn có thể ở trạng thái ngủ trong các vùng đỉnh và sau của phổi trong nhiều tháng hoặc nhiều năm. Bệnh có thể tái phát và phát triển thành lao tái hoạt sau một thời gian dài.
Những biến chứng này nhấn mạnh tầm quan trọng của việc chẩn đoán và điều trị kịp thời, cũng như việc tuân thủ đầy đủ quá trình điều trị để ngăn ngừa các biến chứng nghiêm trọng. (3)
Chẩn đoán bệnh lao phổi ở trẻ em
Bác sĩ có thể thực hiện các chẩn đoán lâm sàng bằng cách khám, hỏi những triệu chứng và tiền sử bệnh của trẻ, cũng như tiền sử sức khỏe của gia đình.
Phương pháp xét nghiệm bệnh lao phổi ở trẻ em phổ biến được thực hiện thông qua các cận lâm sàng như xét nghiệm da hoặc máu. Trong xét nghiệm da, một lượng nhỏ chất thử được tiêm vào lớp da trên cùng. Nếu sau 2 hoặc 3 ngày xuất hiện nốt sưng có kích thước nhất định, kết quả có thể dương tính với nhiễm lao. Đối với xét nghiệm máu, một lượng nhỏ máu được lấy từ cánh tay hoặc tay của trẻ và kết quả sẽ có sau vài ngày.
Trẻ cũng có thể cần chụp X-quang phổi, xét nghiệm đờm, hoặc sinh thiết các hạch bất thường hoặc mô cơ thể khác.
Xét nghiệm da hoặc máu được khuyến cáo cho trẻ:
Có thể đã tiếp xúc với bệnh lao trong vòng 5 năm.
Có kết quả X-quang phổi nghi ngờ bệnh lao.
Có bất kỳ triệu chứng nào của bệnh lao.
Đến từ quốc gia nơi bệnh lao phổ biến.
Xét nghiệm da hoặc máu hàng năm nên được thực hiện cho trẻ:
Nhiễm HIV.
Ở trong trại giam giữ.
Trẻ em tiếp xúc với người có nguy cơ cao nên được xét nghiệm 2 đến 3 năm một lần.
Ngoài ra có một số trường hợp lao ngoài phổi cần lưu ý như: lao màng phổi, lao hạch.
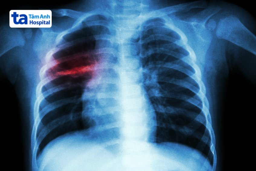
Chẩn đoán bệnh lao phổi trẻ em bằng X-quang.
Cách điều trị lao phổi trẻ em
Để điều trị bệnh lao phổi trẻ em, bác sĩ có thể áp dụng một số phương pháp bao gồm:
Đối với lao tiềm ẩn, có nhiều lựa chọn thuốc khác nhau. Trẻ em trên 2 tuổi có thể được điều trị bằng thuốc hàng tuần trong vòng 12 tuần hoặc dùng thuốc hàng ngày trong vài tháng.
Đối với lao hoạt động, trẻ sẽ được cho dùng từ 2 đến 4 loại thuốc trong 6 tháng hoặc lâu hơn. Ở giai đoạn lao hoạt động, trẻ thường bắt đầu hồi phục trong vài tuần sau khi bắt đầu điều trị. Sau 2 tuần điều trị bằng thuốc, trẻ thường không còn khả năng lây nhiễm. Việc điều trị phải được hoàn thành đầy đủ theo chỉ định của bác sĩ về liều lượng và thời gian.
Cách phòng ngừa lao phổi ở trẻ em
Tầm soát bệnh lao cho trẻ dưới 5 tuổi, đặc biệt là những trẻ có cơ địa suy dinh dưỡng hoặc hệ miễn dịch kém, đây là một phần quan trọng của chiến dịch chống lại căn bệnh này. Việc tiêm phòng vắc-xin có thể giúp giảm đến 80% khả năng mắc bệnh lao, tạo ra một bức tường bảo vệ cho sức khỏe của trẻ. Vắc-xin được tiêm chủng miễn phí trong chương trình chống lao quốc gia Việt Nam ngay khi mới sinh.
Ngoài việc tiêm phòng vắc-xin, cha mẹ cần chú ý đến một số điều quan trọng khác để đảm bảo hiệu quả trong việc phòng ngừa bệnh lao cho trẻ em:
Cung cấp chăm sóc và bổ sung dinh dưỡng cho trẻ.
Tránh tiếp xúc của trẻ với nguồn lây bệnh.
Nếu có người trong gia đình mắc bệnh lao, cần thực hiện biện pháp cách ly, sử dụng riêng các vật dụng cá nhân để bảo vệ trẻ khỏi nguy cơ nhiễm bệnh.
Bảo đảm môi trường sống của trẻ luôn sạch sẽ, thoáng và có đủ ánh sáng tự nhiên.
Nếu phát hiện trẻ có các triệu chứng nghi ngờ về bệnh lao, cần đưa trẻ đến bệnh viện hoặc cơ sở y tế để được kiểm tra và điều trị kịp thời, tránh các biến chứng nguy hiểm.
Về việc tiêm vắc-xin BCG phòng lao, cần được thực hiện trong 3 ngày sau khi trẻ chào đời. Tuy nhiên, vắc-xin này không được khuyến khích trong các trường hợp như: trẻ đang bị nhiễm khuẩn cấp, sốt cao, có các vấn đề ngoài da, suy giảm miễn dịch hoặc suy dinh dưỡng nặng. Việc tiêm vắc-xin muộn có thể tăng nguy cơ nhiễm bệnh cho trẻ.
Tiêm vắc-xin phòng bệnh lao phổi cho trẻ từ khi còn nhỏ.
Địa chỉ điều trị bệnh lao phổi ở trẻ nhỏ ở đâu uy tín?
Tự hào là một trong những chuyên khoa mũi nhọn của Hệ thống Bệnh viện Đa khoa Tâm Anh, chúng tôi cam kết mang đến dịch vụ y tế chất lượng cao và chu đáo nhất cho các bệnh nhân nhỏ tuổi. Với đội ngũ bác sĩ và chuyên gia y tế giàu kinh nghiệm trong lĩnh vực điều trị bệnh lao nói riêng và Nhi khoa nói chung, BVĐK Tâm Anh đảm bảo sự chăm sóc toàn diện và hiệu quả nhất.
Ngoài ra, Bệnh viện Đa khoa Tâm Anh cũng được trang bị các thiết bị y tế hiện đại và cơ sở vật chất tiện nghi, tạo điều kiện thuận lợi nhất cho quá trình điều trị và phục hồi sức khỏe của trẻ.
Đặt lịch tư vấn, thăm khám và điều trị trong lĩnh vực Nội Nhi tại khoa Nhi Bệnh viện Đa khoa Tâm Anh, Quý khách có thể liên hệ theo thông tin sau:
HỆ THỐNG BỆNH VIỆN ĐA KHOA TÂM ANH
Bệnh viện Đa khoa Tâm Anh Hà Nội:
108 Phố Hoàng Như Tiếp, Phường Bồ Đề, TP. Hà Nội
(Đ/c cũ: 108 Hoàng Như Tiếp, P.Bồ Đề, Q.Long Biên, TP. Hà Nội)
Việc phát hiện và chẩn đoán sớm bệnh lao phổi ở trẻ em là điều vô cùng quan trọng trong việc điều trị sau này. Khi trẻ có những biểu hiện phổ biến bất thường, cha mẹ nên đưa trẻ đến cơ sở y tế chuyên khoa để được thăm khám và điều trị kịp thời để tránh những biến chứng nguy hiểm đến sức khỏe của trẻ.
Cập nhật lần cuối: 21:43 01/10/2024
Chia sẻ:
Nguồn tham khảo
Content – Health Encyclopedia – University of Rochester Medical Center. (n.d.). https://www.urmc.rochester.edu/encyclopedia/content?contenttypeid=90&contentid=P02548
Tuberculosis (TB) in children. (n.d.). Stanford Medicine Children’s Health. https://www.stanfordchildrens.org/en/topic/default?id=tuberculosis-tb-in-children-90-P02548
Batra, V., MD. (n.d.). Pediatric tuberculosis: Overview of tuberculosis, TB risk factors, mechanism of TB infection. https://emedicine.medscape.com/article/969401-overview?form=fpf#a3