Bà Lành (67 tuổi, TP.HCM) đột ngột mất sức nửa người trái, khuỵu xuống khi đang tưới cây lúc 4h sáng, méo miệng, nhập viện phát hiện đột quỵ nhồi máu não.

Bà có thói quen dậy lúc 3h mỗi ngày để dọn dẹp nhà cửa, chăm sóc cây. Khoảng 4h, bà ngã gục. Người nhà phát hiện đưa bà tới khoa Cấp cứu, Bệnh viện Đa khoa Tâm Anh (cơ sở P.Tân Hưng – Q.7 cũ) sau khoảng 2 tiếng kể từ khi xuất hiện triệu chứng.
BS.CKI Phạm Đức Long, khoa Cấp cứu, cho biết thời điểm nhập viện, bà Lành tỉnh táo, tiếp xúc tốt, định hướng tốt, chóng mặt nhẹ. Khám ban đầu ghi nhận sức cơ tay chân trái 4/5, thang điểm NIHSS (thang điểm đánh giá mức độ nặng của đột quỵ) là 3 điểm, cho thấy đột quỵ nhẹ, triệu chứng yếu liệt và rối loạn ngôn ngữ ở mức độ nhẹ.
Trong quá trình theo dõi, bác sĩ Long nhận thấy sức cơ tiếp tục giảm, tay và chân lần lượt còn 3/5 và 2/5. Trước nghi ngờ đột quỵ nhồi máu não, dù điểm NIHSS còn thấp và dấu hiệu lâm sàng chưa điển hình, bác sĩ đã chỉ định chụp MRI sọ não để làm rõ nguyên nhân gây yếu liệt.

So với chụp cắt lớp vi tính (CT scan), MRI giúp xác định nhồi máu não rõ ràng và sớm hơn, nhờ các kỹ thuật ghi hình chuyên biệt cho phép phát hiện vùng não thiếu máu ngay từ giai đoạn rất sớm. MRI đánh giá chính xác vị trí, kích thước ổ nhồi máu, hạn chế bỏ sót các tổn thương nhỏ hoặc nằm sâu như thân não, tiểu não, từ đó hỗ trợ bác sĩ ra quyết định điều trị kịp thời, tránh bỏ lỡ “giờ vàng”.
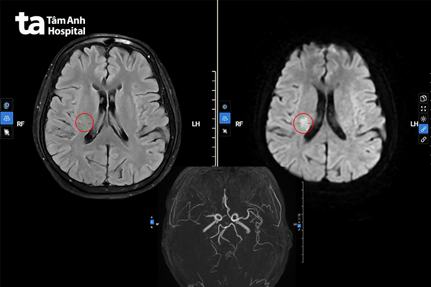
Kết quả MRI xác định bà Lành đang gặp tình trạng nhồi máu não cấp sớm, giờ thứ 3. Ngoài ra, động mạch máu não của bà cũng bị hẹp nặng, tắc hoàn toàn cộng thêm sự xuất hiện của một túi phình mạch máu não.

Bác sĩ Long chỉ định tiêm thuốc tiêu sợi huyết giúp phá tan huyết khối đang chặn ngang trong mạch máu não của bà Lành. Chỉ sau 30 phút, người bệnh đáp ứng thuốc tốt và sức cơ cải thiện 5/5. Sau đó, bà được nhập viện để tiếp tục theo dõi và điều trị chuyên sâu các tình trạng mạch máu não khác.
Thuốc tiêu sợi huyết trong điều trị đột quỵ nhồi máu não chỉ được sử dụng khi người bệnh đến sớm trong 4,5 giờ đầu, được xem là giờ vàng điều trị. Việc tái thông mạch máu trong thời gian này có ý nghĩa quyết định đến khả năng sống còn và hồi phục của người bệnh. Việc khôi phục dòng máu sớm giúp cứu được mô não chưa hoại tử, hạn chế vùng tổn thương lan rộng, từ đó giảm nguy cơ tử vong và tàn phế nặng. Ngược lại, nếu chậm trễ, tế bào não sẽ hoại tử không hồi phục, hiệu quả điều trị giảm rõ rệt và để lại di chứng yếu liệt lâu dài.
* Tên người bệnh đã được thay đổi.
HỆ THỐNG BỆNH VIỆN ĐA KHOA TÂM ANH