Xuất hiện các triệu chứng bất thường nhưng không đi khám do ngại dịch bệnh, nhiều bệnh nhân có nguy cơ liệt hoàn toàn, điều trị khó khăn, thậm chí nguy hiểm tính mạng.
Anh V.K (46 tuổi, Q.Tân Bình) được đưa vào BVĐK Tâm Anh TP.HCM cấp cứu trong tình trạng nghiêm trọng: cánh tay trái tê yếu gần như không cử động được, khối u bên cổ trái có kích cỡ khổng lồ. Khối u này đã xuất hiện từ cách đây nhiều năm, gần đây, khối u lớn nhanh nhưng do dịch bệnh, anh không đến bệnh viện thăm khám, khiến bệnh tình trở nặng.
Sau khi thăm khám, các bác sĩ ghi nhận bệnh nhân có khối u lớn lên tới 10cm ở vùng đám rối của thần kinh trái, một dạng u hạch có dấu hiệu chèn ép thần kinh gây đau, tê và biến chứng liệt tay. Nếu không phẫu thuật sớm, tình trạng chèn ép thần kinh sẽ ngày càng nặng và bệnh nhân có thể bị liệt hoàn toàn. Bệnh nhân được chỉ định mổ ngay để xác định bản chất khối u, đồng thời giải phóng chèn ép thần kinh, khôi phục chức năng vận động.
TS.BS Nguyễn Anh Dũng, Trưởng khoa Phẫu thuật Tim mạch – Lồng ngực, Trung tâm Tim mạch Bệnh viện Đa khoa Tâm Anh TP.HCM cho biết, đây là ca mổ rất phức tạp do khối u đi theo đám rối thần kinh, có kích thước lớn và gần như dính chắc vào các mô xung quanh. Ngoài ra, khối u nằm ở vị trí vùng cổ, xung quanh là cấu trúc phức tạp gồm mạch máu, động mạch cảnh, động mạch đốt sống, động mạch dưới đòn, cấu trúc của đám rối thần kinh… nên việc bóc tách khối u rất khó. Ca phẫu thuật phải đảm bảo không ảnh hưởng đến mạch máu lên nuôi não cũng như mạch máu nuôi tay, cố gắng giải phóng hiện tượng chèn ép thần kinh.

“Trong quá trình mổ, chúng tôi ghi nhận tình trạng khối u tương đối lớn và có dấu hiệu hoại tử trong lòng khối u, dính rất chắc. Chúng tôi cố gắng lấy gần như hết cấu trúc khối u, lấy được những mô tốt để mang đi giải phẫu bệnh nhằm xác định bản chất của khối u là gì. Chúng tôi nghĩ rằng đây là một khối u ác tính, có hiện tượng xâm lấn mô xung quanh.”
BS.CKII Lưu Kính Khương – Trưởng khoa gây mê hồi sức, BVĐK Tâm Anh TP.HCM cho biết, đối với bệnh nhân này chúng tôi chọn phương pháp gây mê cân bằng, phối hợp giữa giảm đau, thuốc giãn cơ, và thuốc ngủ kèm theo trên máy gây mê có chức năng tiết kiệm thuốc gây mê và kiểm soát nồng độ oxy, đảm bảo người bệnh không thiếu oxy và lượng thuốc gây mê tối thiểu, qua đó giúp người bệnh tỉnh sớm hơn, phục hồi nhanh hơn. Trong quá trình phẫu thuật viên bóc tách, nếu bệnh nhân tỉnh hoặc cử động thì nguy cơ tổn thương thần kinh làm trầm trọng thêm tình trạng bệnh của bệnh nhân.
Nhờ sử dụng phương pháp giảm đau đa mô thức sau mổ kết hợp các thuốc giảm đau hệ thống trung ương, vừa giảm đau bằng các thuốc kháng viêm và có thể thêm thuốc tê tại chỗ giúp giảm đau, ít ảnh hưởng chức năng sinh lý của cơ quan, người bệnh phục hồi sớm hơn sau mổ.
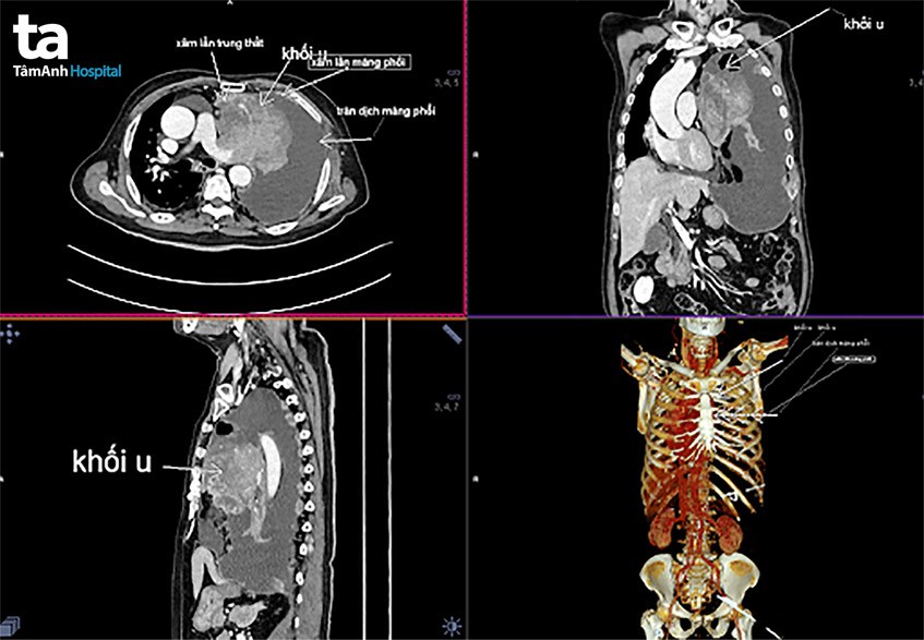
Không may mắn như anh V.K, ông M.T (76 tuổi, Q.Phú Nhuận) vốn không có tiền căn bệnh gì đặc biệt. Ông luôn tuân thủ lịch khám sức khỏe định kỳ 6 tháng/lần. Đến khi thành phố thực hiện giãn cách xã hội, ông trễ hẹn tái khám gần một năm nay. Khi các dấu hiệu bệnh xuất hiện, ông cũng ngần ngại đến bệnh viện. Khi ông bắt đầu cảm thấy khó thở, thở nặng nhọc, có dấu hiệu suy hô hấp, gia đình vội vàng đưa ông đến bệnh viện thì đã muộn. Bác sĩ cho biết ông bị ung thư phổi giai đoạn cuối, tràn dịch màng phổi bên trái lượng lớn, hạch trung thất lớn ngay sau khí quản, di căn hủy xương sườn, di căn hủy thân đốt sống. Các phương pháp điều trị lúc này không thể chữa khỏi bệnh hoàn toàn, mà chỉ có thể làm giảm nhẹ triệu chứng của bệnh và kéo dài thời gian sống.

TS.BS Nguyễn Anh Dũng, Trưởng khoa Phẫu thuật Tim mạch – Lồng ngực, Trung tâm Tim mạch Bệnh viện Đa khoa Tâm Anh TP.HCM cho biết: “Thời gian qua, chúng tôi tiếp nhận không ít bệnh nhân nhập viện cấp cứu trong trạng thái bệnh tình trở nặng nhanh, nguyên nhân lớn nhất là do không đi khám được vì Covid-19. Khi không được phát hiện và can thiệp kịp thời, bệnh sẽ tiến triển rất nhanh, chẳng hạn như khối u tăng kích thước nhanh, tế bào ung thư thì di căn sang các bộ phận cơ thể khác. Nếu bệnh ở giai đoạn quá muộn, chúng tôi không thể điều trị khỏi bệnh bằng bất kỳ phương pháp nào, đôi khi chỉ có thể chăm sóc giảm nhẹ triệu chứng”.
“Đúng là trong giai đoạn giãn cách xã hội, chúng ta tuyệt đối không ra đường nếu không thực sự cần thiết. Nhưng có những lý do mà mọi người không thể trì hoãn ra đường, trong đó có việc đến bệnh viện ngay khi xuất hiện các triệu chứng bất thường, kéo dài không hết. Đừng vì sợ Covid-19 mà chủ quan với các bệnh lý nguy hiểm khác như bệnh tim mạch, ung thư…”, Bác sĩ Nguyễn Anh Dũng khuyến cáo.
Bác sĩ Dũng dẫn chứng một số biểu hiện mà chúng ta nhất định phải đến bệnh viện ngay vì đó có thể là dấu hiệu của nhiều bệnh lý nguy hiểm: cơn đau tức ngực kèm khó thở, hồi hộp, choáng váng (bệnh tim mạch), ho kéo dài hơn hai tuần kèm khạc đàm, đau tức ngực, khó thở (triệu chứng ung thư phổi); đau bụng phía mạn sườn bên phải, ăn uống khó tiêu (ung thư gan); trào ngược dạ dày, buồn nôn, tiêu chảy, táo bón (ung thư đường tiêu hóa); xuất hiện khối u vùng ngực (ung thư vú); đau vùng bụng dưới, xuất huyết bất thường (ung thư cổ tử cung, ung thư buồng trứng)…
Theo bác sĩ Trần Vương Thảo Nghi – Trưởng khoa Ung bướu, BVĐK Tâm Anh TP.HCM, với bệnh ung thư, nếu được phát hiện và điều trị càng sớm, tỷ lệ khỏi bệnh hoàn toàn và cơ hội sống 5 năm không tái phát bệnh càng cao; tỷ lệ này là 92% đối với ung thư phổi, là 90% với ung thư đại trực tràng, là 93% đối với ung thư vú và ung thư cổ tử cung… Nếu thăm khám trễ, phát hiện bệnh ở giai đoạn muộn có thể gây hao mòn sức khỏe thể chất – tinh thần, hiệu quả điều trị thấp, chi phí điều trị tốn kém, tỷ lệ sống sau 5 năm thấp, thậm chí nguy hiểm tính mạng.
“Bệnh ung thư được phát hiện càng sớm thì hiệu quả điều trị càng cao. Do đó, việc thăm khám – tầm soát sức khỏe định kỳ có vai trò rất quan trọng, không chỉ giúp phát hiện sớm ung thư mà còn giúp phân loại được nhóm bệnh nhân có nguy cơ cao, từ đó đưa ra kế hoạch theo dõi phù hợp cho từng đối tượng”, bác sĩ Trần Vương Thảo Nghi nhấn mạnh.
Bệnh viện Đa khoa Tâm Anh trang bị hệ thống máy móc hiện đại kiểm tra sức khỏe tổng quát và chuyên sâu như: máy chụp CT 768 lát cắt ứng dụng trí tuệ nhân tạo (AI), máy chụp MRI ứng dụng công nghệ ma trận sinh học thế hệ mới, máy siêu âm tổng quát cao cấp Acuson Sequoia, máy chụp nhũ ảnh KTS Mammomat Inspiration, máy nội soi Fuji 7000, hệ thống máy xét nghiệm Cobas tiên tiến…
Trong mùa dịch, bệnh nhân vẫn có thể đến khám tầm soát và điều trị tại Bệnh viện Đa khoa Tâm Anh như bình thường. Khi đi khám, người bệnh cần tuân thủ nguyên tắc 5K đảm bảo tốt công tác phòng chống dịch. Bệnh nhân và thân nhân cần làm xét nghiệm nhanh SARS-CoV-2 để vào phòng khám và làm RT-PCR SARS-CoV-2 khi cần nhập viện nội trú để đảm bảo an toàn cho tất cả bệnh nhân đến khám và điều trị.
Bệnh viện luôn tuân thủ đúng quy định sàng lọc y tế kỹ càng, tránh lây nhiễm chéo cho các khách hàng đến thăm khám tại bệnh viện. Khu khám sàng lọc, khu cấp cứu sàng lọc, phòng mổ cấp cứu cũng được bố trí tách biệt, dành cho khách hàng có yếu tố dịch tễ nghi nhiễm SARS-CoV-2.

Bên cạnh đó, BVĐK Tâm Anh còn tăng cường công tác vệ sinh khử khuẩn nhiều lần trong ngày nhằm giữ môi trường thông thoáng, sạch sẽ, đảm bảo tối đa an toàn cho bệnh nhân đến khám bệnh mùa dịch.
Xem thêm: Tin tức hoạt động của Bệnh viện Tâm Anh
HỆ THỐNG BỆNH VIỆN ĐA KHOA TÂM ANH
Để đặt lịch khám tại Bệnh viện Đa khoa Tâm Anh, vui lòng liên hệ: