Chụp X-quang để chẩn đoán xơ phổi (nhiều người gọi tắt là chụp x-quang xơ phổi (hay chụp xquang xơ phổi) là một kỹ thuật cận lâm sàng không xâm lấn, được áp dụng phổ biến tại các cơ sở y tế.

Chụp X-quang xơ phổi có thể giúp bác sĩ phát hiện, chẩn đoán và theo dõi quá trình điều trị bệnh xơ phổi – một trong những bệnh phổi nguy hiểm, có thể ảnh hưởng đến sức khỏe của người bệnh, thậm chí gây tử vong. Vậy, chụp X-quang khảo sát xơ phổi là gì? Khi nào cần chụp X-quang khảo sát xơ phổi? Quy trình chụp X-quang khảo sát xơ phổi như thế nào?
Chụp X-quang ngực (chụp x quang xơ phổi) là kỹ thuật chẩn đoán hình ảnh sử dụng chùm tia X chiếu xuyên qua vùng ngực (bao gồm phổi và các bộ phận, cấu trúc xung quanh phổi). Từ đó, tạo ra hình ảnh chi tiết trên tấm phim âm bản, phản ánh thực trạng của phổi và các tổn thương tại phổi.
Nhờ vậy, chụp X-quang ngực có thể giúp bác sĩ phát hiện những dấu hiệu bất thường như các tổn thương khu trú hoặc lan tỏa, nguyên phát hoặc di căn đến phổi. Trong đó, tình trạng xơ dạng lưới, dạng tổ ong,… (do hình thành các mô sẹo tại nhu mô phổi) là dấu hiệu điển hình của căn bệnh xơ phổi.

Quy trình X-quang khảo sát xơ phổi được tiến hành nhanh chóng, tương đối dễ thực hiện, có mức giá phù hợp với đại đa số người bệnh, hiệu quả chẩn đoán khá cao.
Tuy nhiên, chụp chẩn đoán xơ phổi bằng Xquang (xơ phổi xquang) thường chỉ phát hiện những tổn thương có kích thước từ 2 cm trở lên hoặc xơ phổi có hình dạng như tổ ong. Còn những tổn thương mới hình thành, mức độ nhẹ, có kích thước dưới 2 cm thì chụp Xquang có thể không phát hiện được. Với những trường hợp này, bác sĩ cần chỉ định cho người bệnh thực hiện các kỹ thuật chẩn đoán hình ảnh bổ sung, mang đến kết quả chẩn đoán đặc hiệu hơn như chụp cắt lớp vi tính. (1)
Chụp X-quang khảo sát xơ phổi thường được thực hiện khi người bệnh có chỉ định của bác sĩ. Một số trường hợp phổ biến có thể được chỉ định thực hiện kỹ thuật chụp Xquang bao gồm:

Chụp X-quang là kỹ thuật chẩn đoán hình ảnh có sử dụng chùm tia X – một dạng sóng điện từ hay bức xạ nhân tạo. Nếu không đảm bảo đúng các điều kiện an toàn, tia X có thể gây ảnh hưởng đến sức khỏe. Quy trình X-quang xơ phổi cần được thực hiện thật nghiêm túc tại cơ sở y tế.
Chụp X-quang ngực là kỹ thuật là kỹ thuật chẩn đoán hình ảnh không xâm lấn. Thông thường, người bệnh không cần chuẩn bị điều gì trước khi chụp X-quang ngực. Mọi hoạt động hàng ngày có thể thực hiện như bình thường, bao gồm cả việc ăn, uống, ngủ, nghỉ và sử dụng các loại thuốc điều trị.
Tuy nhiên, chùm tia X có thể ảnh hưởng đến sức khỏe sức khỏe của phụ nữ đang mang thai và gây hại đến sự phát triển của thai nhi. Do vậy, những người đang mang thai hoặc nghi ngờ có thai cần thông báo cho nhân viên y tế biết trước khi chụp.

Ngoài ra, trước khi tiến hành chụp X-quang khảo sát xơ phổi,, người bệnh nên thông báo cho bác sĩ biết về số lần chụp X-quang trong năm, đặc biệt là thời gian thực hiện lần chụp gần nhất. Mục đích là giúp phòng tránh tình trạng người bệnh chụp X-quang với tần suất dày trong một khoảng thời gian ngắn. Vì điều này có thể ảnh hưởng không tốt đến sức khỏe của người bệnh.
Nhằm đảm bảo chất lượng cho hình ảnh X-quang khảo sát xơ phổi, kỹ thuật viên sẽ yêu cầu người bệnh cởi bỏ các loại trang sức, phụ kiện kim loại. Người bệnh có thể cần thay áo mỏng theo mẫu riêng của cơ sở y tế. Riêng với phụ nữ, lưu ý rằng cần cởi áo ngực trước khi chụp X-quang.
Sau đó, kỹ thuật viên tiếp tục hướng dẫn người bệnh đứng vào đúng vị trí để máy X-quang chụp được trọn vẹn cấu trúc cả hai phổi. Khi chụp, người bệnh thả lỏng cơ thể, hít thở sâu và thực hiện đúng theo tư thế được kỹ thuật viên hướng dẫn. Thông thường, tư thế sẽ là hai tay chống hông hoặc nắm vào vị trí tay vịn trên máy; ngực áp sát vào hộp đựng phim; đặt cằm vào bệ tựa… Riêng với những trường hợp không thể đứng thẳng, để chụp X-quang khảo sát xơ phổi, kỹ thuật viên có thể hướng dẫn người bệnh thực hiện các tư thế khác phù hợp hơn.
Ngoài ra, việc hít thở của người bệnh có thể ảnh hưởng đến chất lượng hình ảnh X-quang. Do vậy, người bệnh có thể cần nín thở trong vài giây theo hướng dẫn của kỹ thuật viên. Khi đó, kỹ thuật viên nhanh chóng thực hiện các thao tác chụp X-quang cho người bệnh từ các góc độ khác nhau.
Thông thường, thời gian chụp X-quang khảo sát xơ phổi chỉ kéo dài khoảng vài phút, không gây ra cảm giác đau đớn hay khó chịu. Do đó, người bệnh không cần lo lắng, căng thẳng.
Sau khi chụp X-quang người bệnh chỉ cần chỉnh trang lại trang phục, rời khỏi phòng X-quang và chờ nhận kết quả. Thông thường, sau khi chụp X-quang, người bệnh không cần kiêng cữ bất kỳ điều gì, có thể tiếp tục sinh hoạt như bình thường. Trong một số trường hợp, bác sĩ có thể đưa ra chỉ định khác cho người bệnh nếu cần thiết.

Người bệnh nên lưu giữ cẩn thận kết quả hình ảnh, đặc biệt là trong những trường hợp người bệnh đã mắc hoặc nghi ngờ bị bệnh xơ phổi. Vì kỹ thuật chụp Xquang xơ phổi có thể không phát hiện được những tổn thương phổi có kích thước quá nhỏ hoặc các xơ sẹo ở phế nang lúc mới hình thành. Do vậy, việc lưu trữ phim X-quang có ý nghĩa quan trọng trong quá trình theo dõi và điều trị bệnh xơ phổi.
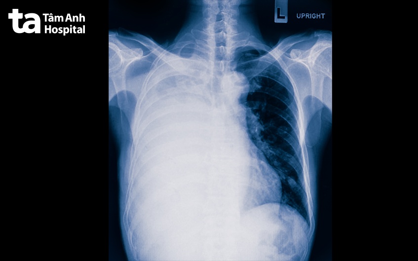
Hình ảnh X-quang xơ phổi đóng vai trò quan trọng trong việc chẩn đoán bệnh xơ phổi. Thông qua kết quả hình ảnh, bác sĩ có thể nhận biết và đánh giá những tổn thương ở phổi, đặc biệt là hình ảnh tổn thương xơ (dấu hiệu điển hình của bệnh xơ phổi).

Bệnh xơ phổi thường xuất hiện trên phim X-quang là hình mờ dạng lưới ở ngoại vi phổi, rõ hơn về phía đáy phổi, có thể khiến bờ tim trở nên không rõ, gồ ghề. Dấu hiệu bệnh xơ phổi còn thể hiện trên phim Xquang là các nang nhỏ hình dạng giống như tổ ong. Giai đoạn tiến triển, tổn thương trở nên lan tỏa và gây giảm thể tích phổi.
Quá trình đọc kết quả hình ảnh X-quang xơ phổi có chính xác hay không còn phụ thuộc vào chất lượng của hình ảnh. Kinh nghiệm, trình độ chuyên môn của bác sĩ chẩn đoán hình ảnh và bác sĩ chuyên khoa hô hấp cũng góp phần quan trọng.
Người bệnh thường không tốn nhiều chi phí khi chụp X-quang khảo sát xơ phổi. Mức giá này ở mỗi cơ sở y tế sẽ có sự chênh lệch, phụ thuộc vào các yếu tố như chất lượng dịch vụ, thiết bị máy móc và trình độ của đội ngũ bác sĩ, kỹ thuật viên. Đa phần người bệnh có khả năng thanh toán chi phí chụp X-quang khảo sát xơ phổi vì mức giá khá rẻ so với các kỹ thuật chẩn đoán hình ảnh khác. Những người bệnh có bảo hiểm y tế, nếu đáp ứng đúng các quy định về khám chữa bệnh bảo hiểm y tế thì chi phí cho kỹ thuật chụp X-quang khảo sát xơ phổi thường được giảm xuống đáng kể.
Chụp X-quang khảo sát xơ phổi cần thực hiện tại cơ sở y tế, có trang thiết bị chuyên dụng và đội ngũ bác sĩ, kỹ thuật viên có chuyên môn về kỹ thuật này.
Tại Bệnh viện Tâm Anh, hệ thống X-quang kỹ thuật số treo trần cao cấp GXR – 52SD Ceiling System có thể chụp X-quang khảo sát xơ phổi mang đến hình ảnh rõ nét, kết quả chính xác. Đồng thời, bệnh viện quy tụ đội ngũ bác sĩ chẩn đoán hình ảnh giàu kinh nghiệm, kỹ thuật viên X-quang có tay nghề cao, tận tình, chu đáo.
Để đặt lịch thăm khám, điều trị bệnh tại Hệ thống Bệnh viện Đa khoa Tâm Anh, Quý khách vui lòng liên hệ:
HỆ THỐNG BỆNH VIỆN ĐA KHOA TÂM ANH
Chụp X-quang khảo sát xơ phổi là kỹ thuật chẩn đoán hình ảnh phổ biến, mang lại kết quả nhanh. Từ đó hỗ trợ bác sĩ đánh giá, chẩn đoán và theo dõi quá trình điều trị bệnh xơ phổi. Mặc dù chụp X-quang có chi phí thấp và dễ dàng thực hiện, người bệnh chỉ nên chụp X-quang xơ phổi theo chỉ định của bác sĩ.