Nhiều chị em có các triệu chứng nghi ngờ u xơ tử cung, muốn thăm khám nhưng thắc mắc u xơ tử cung siêu âm có thấy không hay cần làm kiểm tra nào khác? Hãy cùng tìm hiểu chi tiết vấn đề này trong bài viết dưới đây.

U xơ ở tử cung là khối u lành tính (không phải ung thư) phát triển từ mô cơ của tử cung. Mặc dù nguyên nhân hình thành khối u xơ vẫn chưa được làm rõ, nhưng có những nghiên cứu cho rằng khối u xơ phụ thuộc vào hormone, estrogen kích thích sự phát triển của u xơ.
Theo thống kê, cứ 4 phụ nữ thì có 3 người được chẩn đoán có u xơ tử cung trong suốt cuộc đời. Ghi nhận từ Văn phòng Sức khỏe Phụ nữ (The Office on Women’s Health), khoảng 20-80% phụ nữ phát triển u xơ khi đến tuổi 50. Nhiều người không biết mình bị u xơ tử cung, tuy nhiên có một số yếu tố khiến khối u phát triển. (1)
Phụ nữ có thể có một hoặc nhiều u xơ tử cung. Các khối u xơ có thể khác nhau về kích thước, không gây ra bất cứ triệu chứng nào nhưng cũng có thể gây các triệu chứng phiền toái như:
U xơ tử cung thường được phát hiện tình cờ khi phụ nữ đi khám phụ khoa định kỳ (2). Mặc dù u xơ đa phần là lành tính, hiếm khi phát triển thành khối u ác tính nhưng người bệnh cần được chẩn đoán và điều trị sớm để u xơ không phát triển quá lớn, tránh những biến chứng nguy hiểm có thể đe dọa khả năng sinh sản của phụ nữ.

Với sự phát triển mạnh mẽ của y học cùng sự hỗ trợ của máy móc thiết bị tối tân, kỹ thuật siêu âm có khả năng phát hiện được các khối u xơ ẩn sâu phía trong. Đầu dò của sóng siêu âm có thể giúp bác sĩ phát hiện được cả những khối u xơ nhỏ nhất tồn tại ở phía bên trong tử cung.
ThS.BS Lê Nhất Nguyên cho biết, hiện nay kỹ thuật siêu âm đã có thể phát hiện được u xơ nằm ở các vị trí khác nhau, bao gồm:
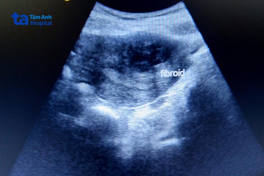
Siêu âm là phương pháp chẩn đoán bệnh lý bằng cách sử dụng một đầu dò phát sóng âm tần số cao để ghi lại hình ảnh trực tiếp bên trong cơ thể, sau đó phản xạ lại và thể hiện thông qua hình ảnh y khoa.
Với sự phát triển của máy móc thiết bị, hiện nay hình ảnh siêu âm được thể hiện rõ nét và chân thật, nhờ đó có thể phát hiện, đánh giá và theo dõi u xơ tử cung. Chính vì thế, siêu âm là phương pháp hữu ích giúp bác sĩ có thể chẩn đoán chính xác tình trạng u xơ để đưa ra các hướng dẫn điều trị thích hợp, hiệu quả.
Siêu âm có thể nhận diện và phát hiện u xơ tử cung – một loại u lành tính thường phát triển trong cơ hoặc ở thành tử cung. Ngoài ra, siêu âm còn giúp phát hiện các bất thường khác trong tử cung hoặc ở các cơ quan lân cận như buồng trứng nếu có.
Siêu âm cũng giúp phân loại và cho các thông tin cụ thể về vị trí, số lượng và kích thước các khối u xơ. Thông tin này rất quan trọng giúp bác sĩ đánh giá được mức độ nghiêm trọng và ảnh hưởng, từ đó đưa ra hướng dẫn điều trị thích hợp.
Trong những trường hợp khối u xơ kích thước nhỏ và không gây triệu chứng, chưa cần can thiệp điều trị bác sĩ sẽ chỉ định theo dõi định kỳ bằng siêu âm để theo dõi sát sao sự phát triển của u xơ tử cung. Đánh giá sự phát triển và thay đổi của khối u xơ về số lượng và kích thước định kỳ giúp can thiệp kịp thời và hiệu quả.
Một nghiên cứu(3) đăng tải trên Tạp chí Y học Việt Nam cho kết quả: trong chẩn đoán u xơ tử cung siêu âm có độ chính xác 93,1%. Kết luận siêu âm có độ chính xác cao trong chẩn đoán u xơ và tổng quát vùng chậu trước phẫu thuật. Kích thước tử cung qua khám lâm sàng có mối tương quan khá chặt chẽ với kích thước tử cung thông qua siêu âm.
Hiện nay có 3 loại siêu âm có thể giúp chẩn đoán tình trạng u xơ tử cung gồm:

Mặc dù kỹ thuật siêu âm cho hình ảnh rõ nét và chân thật giúp chẩn đoán chính xác u xơ tử cung, nhưng vẫn có thể ảnh hưởng bởi một số yếu tố, bao gồm:
Thời gian thực hiện siêu âm có thể ảnh hưởng đến kết quả siêu âm u xơ tử cung. Thường chị em được khuyến cáo thăm khám ngay khi vừa kết thúc chu kỳ kinh nguyệt. Lý do bởi nếu trong chu kỳ kinh, tình trạng ra máu kinh có thể làm hình ảnh siêu âm không được rõ ràng và sắc nét, có thể dẫn đến các nhầm lẫn khi mô tả u xơ tử cung trên siêu âm. Ngoài ra, thời điểm thực hiện siêu âm tốt nhất là trước khi bị rụng trứng.
Trường hợp chị em đang gặp phải các vấn đề bất thường về kinh nguyệt như kinh nguyệt không đều, rong kinh… tốt nhất nên trao đổi với bác sĩ chuyên khoa để được hướng dẫn thời điểm siêu âm hoặc các phương pháp chẩn đoán khác phù hợp.
Một vài trường hợp chị em không thể thực hiện được siêu âm u xơ tử cung, chẳng hạn như vùng chậu đang bị nhiễm trùng. Trong trường hợp này, bác sĩ sẽ chỉ định các loại thuốc kháng sinh thích hợp để loại bỏ vi khuẩn tạm thời rồi mới chỉ định siêu âm chẩn đoán u xơ tử cung.
Yếu tố cuối cùng có thể ảnh hưởng đến kết quả siêu âm chính là bàng quang. Để kết quả siêu âm được chính xác, với siêu âm ổ bụng cần làm đầy bàng quang, còn siêu âm đầu dò ngả âm đạo lại cần làm trống bàng quang. Do đó, tùy thuộc vào loại siêu âm mà bác sĩ sẽ có dặn dò cụ thể và hỏi lại kỹ càng điều này trước khi bắt đầu.
Bác sĩ Nguyên chia sẻ, chỉ định đầu tay trong chẩn đoán u xơ tử cung là siêu âm phụ khoa bằng đầu dò ngả âm đạo. Loại siêu âm này có độ nhạy rất cao (khoảng 90%) để phát hiện u xơ tử cung. Tuy nhiên, với những khối u xơ nằm ở những vị trí đặc biệt như trong lòng tử cung hoặc dưới niêm mạc sẽ cần đến kỹ thuật siêu âm bơm nước lòng tử cung.
Bên cạnh đó, để phân biệt chính xác u xơ hay lạc nội mạc trong cơ tử cung, cũng như các trường hợp u xơ nghi ngờ hạch ác tính, bác sĩ có thể chỉ định những phương pháp chẩn đoán khác như siêu âm Doppler hoặc chụp cộng hưởng từ (MRI).

Như đã chia sẻ, mặc dù u xơ tử cung đa phần là lành tính nhưng vẫn có thể tiếp tục nuôi dưỡng và phát triển trong cơ thể, tiềm ẩn nguy cơ gây biến chứng đáng tiếc đến khả năng sinh sản của phụ nữ.
Do đó, khi có chẩn đoán mắc u xơ tử cung, chị em tuyệt đối không được chủ quan, hãy tuân thủ các hướng dẫn điều trị của bác sĩ chuyên khoa. Thông thường, nếu khối u xơ không gây ra bất cứ triệu chứng gì sẽ không cần điều trị. Người bệnh chỉ cần khám phụ khoa định kỳ để theo dõi tình trạng khối u, hoặc khám ngay khi bắt đầu xuất hiện các triệu chứng để can thiệp điều trị kịp thời.
Bác sĩ sẽ chỉ định điều trị u xơ tử cung khi người bệnh gặp một trong các triệu chứng kể trên. Tùy vào từng trường hợp cụ thể như các triệu chứng gặp phải, mức độ nặng nhẹ, độ tuổi người bệnh cũng như mong muốn mang thai trong tương lai mà bác sĩ sẽ tư vấn phác đồ điều trị thích hợp.
Trung tâm Sản Phụ khoa Hệ thống Bệnh viện Đa khoa Tâm Anh quy tụ đội ngũ chuyên gia – bác sĩ giỏi chuyên môn, giàu kinh nghiệm, sở hữu hệ thống máy móc thiết bị siêu âm hiện đại như máy siêu âm màu 3D, 4D, 5D, hệ thống máy siêu âm màu Doppler, máy siêu âm thế hệ mới nhất GE Voluson E10… phác đồ thăm khám và điều trị cá thể hóa, phối hợp chặt chẽ cùng các chuyên khoa khác trong bệnh viện như Trung tâm Chẩn đoán hình ảnh, Trung tâm Xét nghiệm, Trung tâm Hỗ trợ sinh sản…
Tùy vào từng trường hợp cụ thể mà có chỉ định chẩn đoán và điều trị thích hợp, tăng hiệu quả điều trị, nâng cao chất lượng sống và bảo tồn khả năng sinh sản cho phụ nữ.
Để đặt lịch khám và tư vấn với các chuyên gia – bác sĩ Sản Phụ khoa tại Hệ thống Bệnh viện Đa khoa Tâm Anh, chị em vui lòng liên hệ đến:
Dưới đây là một số lưu ý chị em cần biết để việc thực hiện siêu âm chẩn đoán u xơ tử cung được hiệu quả:
HỆ THỐNG BỆNH VIỆN ĐA KHOA TÂM ANH
Hy vọng qua bài viết này chị em đã biết u xơ tử cung siêu âm có thấy không. Ngay khi nhận thấy các triệu chứng của u xơ tử cung, chị em hãy thăm khám ngay, bác sĩ sẽ chỉ định siêu âm hoặc các phương pháp khác thích hợp để cho chẩn đoán chính xác, can thiệp điều trị hiệu quả và an toàn!