Chưa đầy một năm sau lần mổ ung thư bàng quang đầu tiên, bà Q. tiếp tục phải lên bàn mổ lần thứ hai do ung thư tái phát.

Trước lần mổ này, phẫu thuật cắt u bàng quang, bà Q. đã hai lần lên bàn mổ vì ung thư hệ tiết niệu.
Năm 2022, bà Q. phát hiện mắc ung thư niệu mạc (lớp niêm mạc lót trong đường dẫn niệu có nhiều khối u nhỏ dạng bông cải) ở bể thận phải gây tiểu máu nên phải phẫu thuật cắt thận và toàn bộ niệu quản bên phải.
Bà được theo dõi định kỳ và tái khám tại bệnh viện. Năm 2023, các bác sĩ phát hiện bà có một khối u nhỏ trong bàng quang và phẫu thuật cắt trọn khối u nội soi qua ngả niệu đạo, không có vết mổ. Sau đó, bà được bơm hóa chất vào bàng quang mỗi tuần trong 6 tuần sau mổ để giảm nguy cơ tái phát.
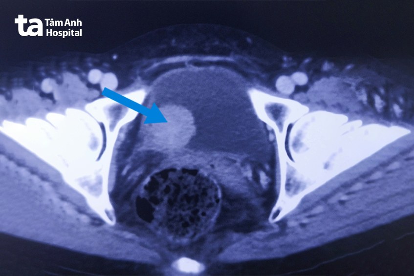
Gần đây, bà Q. đến Bệnh viện Đa khoa Tâm Anh TP.HCM khám sức khỏe, hơn 8 tháng sau lần mổ bàng quang. Nhờ siêu âm ổ bụng, bà tình cờ phát hiện một khối u trong bàng quang với kích thước khoảng 3cm, nghi tái phát tại vị trí mổ lần trước.
Thạc sĩ bác sĩ Nguyễn Tân Cương, Phó khoa Tiết niệu, Trung tâm Tiết niệu – Thận học – Nam khoa, Bệnh viện Đa khoa Tâm Anh TP.HCM, cho bà nội soi bàng quang, chụp cắt lớp vi tính (CT Scan) vùng bụng chậu để đánh giá chính xác giai đoạn của khối u bàng quang. Kết quả xác định bà chỉ có 1 khối u ở thành phải, ung thư còn khu trú trong bàng quang, chưa xâm lấn ra ngoài, chưa có dấu hiệu di căn.

Bác sĩ Cương cho biết ung thư bàng quang rất dễ tái phát. Trong trường của bà Q, ung thư bàng quang tái phát sớm và độ ác tính cao nên phương pháp điều trị tốt nhất là cắt bỏ toàn bộ bàng quang và chuyển lưu nước tiểu qua da bằng một túi chứa hoặc tạo hình bàng quang “mới” bằng một đoạn ruột. Nhưng do bà Q. mong muốn giữ lại bàng quang, các bác sĩ hội chẩn quyết định chọn phương án chỉ cắt một phần bàng quang có khối u và kết hợp hóa/xạ trị hỗ trợ.
Bà Q. đã từng mổ nội soi cắt thận và niệu quản do ung thư niệu mạc của thận phải, trên bụng có hai vết mổ nhỏ ở vùng hông và bụng dưới, sẹo mổ dính nên các bác sĩ phải mổ mở. Trước phẫu thuật, các bác sĩ đánh giá nguy cơ, tính toán kỹ lưỡng đường vào để có thể nhanh chóng cắt trọn khối u và mô xung quanh thành một khối tránh nguy cơ gieo rắc u, giảm nguy cơ mất máu và tái phát cho người bệnh.

Phẫu thuật cho bà là ê kíp bác sĩ khoa Tiết niệu, Trung tâm Tiết niệu – Thận học – Nam khoa, Bệnh viện Đa khoa Tâm Anh TP.HCM: TTƯT.PGS.TS.BS Vũ Lê Chuyên, Giám đốc Trung tâm; ThS.BS Nguyễn Tân Cương, Phó khoa; BS.CKI Phạm Thế Anh; BS.CKI Lý Minh Hoàng; ThS.BS.CKI Nguyễn Văn Nghĩa.
Các bác sĩ rạch da đường giữa dưới rốn xuống đến xương mu dài khoảng 12cm, gỡ dính vùng chậu phải do vết mổ cũ, bộc lộ và di động vách phải bàng quang. Sau đó, các bác sĩ đánh dấu xung quanh khối u, khoét sâu xuyên thành bàng quang để lấy toàn bộ khối u và mô xung quanh thành 1 khối ra ngoài. Sau đó, Ê kíp mổ khâu lại bàng quang, đóng vết mổ.

Theo bác sĩ Cương, phần bàng quang bị cắt bỏ không đáng kể so với diện tích còn lại của bàng quang nên chức năng bàng quang được bảo tồn sau phẫu thuật, người bệnh có thể đi tiểu bình thường. Tuy nhiên, bà Q. cần điều trị hỗ trợ sau mổ, tái khám định kỳ mỗi 3 tháng để đánh giá khả năng tái phát ung thư.
Ba ngày sau ca phẫu thuật, bà Q. phục hồi, ăn uống bình thường và được cho xuất viện.
Theo thống kê của Tổ chức ung thư thế giới (GLOBOCAN) năm 2022, ung thư bàng quang là loại ung thư phổ biến thứ 9 trên thế giới với gần 614.298 ca mắc mới và 220.596 ca tử vong. Số liệu này tại Việt Nam lần lượt là 1.972 ca mắc mới và 1.004 ca tử vong.
Theo bác sĩ Cương, ung thư bàng quang có phổ biến thứ hai trong các bệnh ung thư hệ tiết niệu, xếp sau ung thư tuyến tiền liệt. Nguyên nhân gây bệnh ung thư bàng quang chưa được xác định, nhưng người ta nhận thấy các yếu tố sau làm tăng nguy cơ mắc bệnh như: hút thuốc lá nhiều; thường xuyên tiếp xúc với các loại hóa chất, thuốc trừ sâu, thuốc nhuộm…; Tiền sử gia đình có người thân mắc bệnh ung thư bàng quang.
Dấu hiệu đặc trưng của ung thư bàng quang là tiểu máu tái phát nhiều lần. Các u xuất hiện trên bề mặt bàng quang và mạch máu tăng sinh. Các mạch máu này dễ vỡ, chảy máu lẫn vào nước tiểu. Tiểu máu có hai dạng là tiểu máu vi thể (không thể thấy bằng mắt thường, chỉ khi làm xét nghiệm nước tiểu mới thấy có nhiều tế bào hồng cầu) và tiểu máu đại thể (nước tiểu có màu hồng hoặc đỏ, một số trường hợp có cục máu đông trong nước tiểu). Ở giai đoạn sớm, lượng máu trong nước tiểu ít, người bệnh thường không nhận biết.
Ung thư bàng quang là một trong những loại ung thư có tỷ lệ tái phát cao nhất. Nghiên cứu của nhóm khoa học Mỹ cho thấy gần 50% trường hợp ung thư bàng quang giai đoạn sớm sẽ tiến triển sang xâm lấn nếu không điều trị. Có đến 70%-80% trường hợp tái phát sau phẫu thuật cắt bỏ khối u bàng quang.
Ở giai đoạn sớm, các tế bào ung thư chỉ ở lớp niêm mạc bàng quang, có thể điều trị bằng nội soi cắt u qua niệu đạo kết hợp với hóa trị tại chỗ. Khi tế bào ung thư xâm lấn xuống sâu đến lớp cơ bàng quang, cần phải cắt bỏ toàn bộ bàng quang mới tránh được nguy cơ tái phát ung thư. Tuy nhiên, với người bệnh không muốn cắt bỏ bàng quang có thể điều trị bảo tồn bàng quang với mô hình đa phương thức kết hợp phẫu thuật và hóa trị hoặc xạ trị. Phẫu thuật trong trường hợp này bao gồm nội soi cắt u qua ngã niệu đạo hoặc cắt bán phần bàng quang
Ở giai đoạn muộn, ung thư xâm lấn xung quanh bàng quang hoặc di căn chỉ có thể điều trị giảm nhẹ bao gồm cắt giảm khối lượng ung thư, điều trị triệu chứng, nâng đỡ tổng trạng. Do đó, bác sĩ Nguyễn Tân Cương khuyến cáo những người tiểu máu cần đến bệnh viện khám, xác định nguyên nhân và điều trị sớm nếu phát hiện u bàng quang.
Ngoài ra, những người hút thuốc lá, làm việc trong môi trường tiếp xúc hóa chất hoặc có người thân trong nhà từng mắc ung thư bàng quang cần khám sức khỏe định kỳ, siêu âm hệ tiết niệu và xét nghiệm nước tiểu mỗi 6 tháng.
HỆ THỐNG BỆNH VIỆN ĐA KHOA TÂM ANH