Tàn nhang là tình trạng rối loạn tăng sắc tố da phổ biến. Những đốm nâu của tàn nhang tuy không nguy hiểm nhưng dễ khiến bạn tự ti với làn da không đều màu. Nhiều người lo lắng, không biết tàn nhang có bị lan ra không? Để lâu có sao không? Bài viết này sẽ giúp bạn tìm thấy câu trả lời.

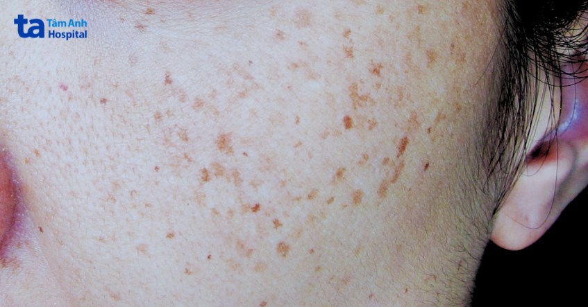
Tàn nhang là những đốm phẳng nhỏ, có màu nâu hoặc vàng nâu, xuất hiện ở những vùng da thường xuyên tiếp xúc với ánh nắng mặt trời. Tàn nhang là vấn đề về da cực kỳ phổ biến và không phải là mối đe dọa sức khỏe. Ai cũng có thể bị tàn nhang, chúng xuất hiện nhiều và sẫm màu hơn vào mùa hè, những người có da và mắt sáng màu, tóc vàng hoặc đỏ có nguy cơ bị tàn nhang cao hơn.
Nguyên nhân gây tàn nhang trên da chủ yếu đến từ tác hại của ánh nắng và gen di truyền, cụ thể: (1)
Ngoài 2 nguyên nhân trên, một số loại thuốc điều trị làm thay đổi hormone (như thuốc ngừa thai, thuốc chống động kinh,…), thay đổi nội tiết tố thời kỳ mang thai, tiền mãn kinh, mãn kinh, căng thẳng kéo dài, thói quen ăn uống, sinh hoạt không lành mạnh,… cũng khiến tàn nhang xuất hiện.
Tàn nhang có dấu hiệu nhận biết tương đối dễ dàng, tuy nhiên, ở một số trường hợp, bạn có thể nhầm lẫn giữa tàn nhang với các vấn đề về da khác như nám da, đồi mồi, nốt ruồi. Các dấu hiệu nhận biết tàn nhang bao gồm:

Với câu hỏi tàn nhang có bị lan ra không? Bác sĩ Da liễu – Thẩm mỹ Da cho biết tàn nhang có thể lan rộng ra trên da, vì thực chất chúng là một dạng rối loạn sắc tố, xảy ra ở lớp thượng bì, do tiếp xúc lâu với ánh nắng mặt trời. Nếu không được điều trị và chăm sóc đúng cách, tàn nhang rất dễ lan rộng và ảnh hưởng đến các vùng da khác. Việc tiếp xúc nhiều với ánh nắng mặt trời như không thoa kem chống nắng, do di truyền, thay đổi nội tiết tố do mang thai, sử dụng thuốc điều trị cũng khiến tàn nhang lan ra.
Bên cạnh việc tàn nhang có bị lan ra không? Nhiều người cũng lo lắng không biến tàn nhang để lâu có sao không? Tàn nhang không nguy hiểm đến sức khỏe, nhưng nếu để lâu chúng sẽ đậm màu hơn, lan rộng khiến tình trạng tàn nhang trên da nặng hơn. Việc không điều trị sớm tàn nhang sẽ tạo điều kiện cho sắc tố melanin phát triển mạnh, lan ra các vùng da xung quanh.
Tàn nhang để lâu sẽ trở thành tàn nhang lâu năm, tình trạng nặng, chi phí điều trị cao và gây khó khăn trong điều trị. Hơn nữa, một số sai lầm có thể khiến tàn nhang lan rộng và trầm trọng theo thời gian như: không thoa kem chống nắng, tiếp xúc nhiều với ánh mặt trời, căng thẳng kéo dài, thói quen ăn uống và sinh hoạt không lành mạnh.

Để xác định xem liệu tàn nhang có bị lan ra không, bạn cần phân biệt tàn nhang với các tình trạng da khác. Tàn nhang có thể bị nhầm lẫn với đồi mồi, nám da hoặc nốt ruồi.
Tàn nhang nhìn chung là một tình trạng da liễu lành tính. Tuy nhiên, nếu bạn cảm thấy tự ti vì làn da không đều màu do tàn nhang, nên điều trị loại bỏ tàn nhang càng sớm càng tốt. Tàn nhang mới hình thành, tàn nhang nhẹ, dễ hơn so với điều trị tàn nhang lâu năm, chi phí cũng thấp hơn.
Sử dụng kem chống nắng thường xuyên và đúng cách là phương pháp hạn chế xuất hiện thương tổn hình thành tàn nhang mới. Tretinoin là một trong các retinoids, thường được sử dụng với nồng độ 0,05 – 0,1% bôi mỗi ngày 1 lần vào buổi tối cho hiệu quả trung bình, tuy nhiên cần nhiều thời gian để đạt được hiệu quả trong việc điều trị tàn nhang.
Trang điểm để che đi các đốm tàn nhang cũng là một phương pháp tạm thời giúp làm mờ tổn thương.
Các liệu pháp như laser, IPL, peel da,… giúp loại bỏ mảng da bị tàn nhang, tái tạo và nuôi dưỡng da mới hình thành. Phương pháp thẩm mỹ nội khoa được chỉ định điều trị cho cả tình trạng tàn nhang mới xuất hiện và tàn nhang lâu năm, tàn nhang mức độ nặng.
Trước khi lựa chọn các phương pháp thẩm mỹ nội khoa, bạn cần được bác sĩ Da liễu – Thẩm mỹ Da chẩn đoán, đánh giá tình trạng tàn nhang trên da, báo cho bác sĩ biết những loại thuốc điều trị mà bạn đang sử dụng nếu có, từ đó giúp các bác sĩ đánh giá chính xác nguyên nhân, tình trạng tàn nhang trên da và chỉ định phương pháp điều trị phù hợp, hiệu quả.
Chăm sóc da sau khi thực hiện các thủ thuật thẩm mỹ để điều trị tàn nhang cũng là điều quan trọng, giúp da nhanh chóng hồi phục, khỏe mạnh và ngăn ngừa tình trạng tái phát tàn nhang sau điều trị.
Các loại mỹ phẩm chứa thành phần: Tretinoin, tranexamic acid, axit azelaic, acid kojic, glycolic acid, arbutin, Vitamin C, niacinamide với nồng độ cho phép cũng được sử dụng nhiều trong điều trị tàn nhang nhẹ, tàn nhang mới hình thành hoặc hỗ trợ điều trị, nuôi dưỡng da sau khi điều trị tàn nhang bằng liệu pháp thẩm mỹ. Các thành phần này được đánh giá có khả năng làm mờ tàn nhang, ức chế quá trình sản sinh melanin hình thành tàn nhang mới.

Bên cạnh nỗi lo về việc tàn nhang có bị lan ra không, thì việc tàn nhang tái phát sau điều trị cũng khiến nhiều người lo lắng. Chăm sóc da tốt sau điều trị là phương án tốt nhất ngăn tàn nhang quay trở lại.
Tàn nhang có thể lan ra, ảnh hưởng đến những vùng da khác, để càng lâu trên da sẽ dễ trở nặng, gây mất thẩm mỹ và khó khăn trong việc điều trị. Tàn nhang không thể điều trị dứt điểm và dễ tái phát, da bạn cần được chăm sóc tốt sau điều trị.
Cuối cùng, nếu cần xóa tàn nhang, giải quyết bất kỳ vấn đề gì liên quan đến sức khỏe da, bạn có thể đến ngay khoa Da liễu – Thẩm mỹ da BVĐK Tâm Anh, nơi có đội ngũ bác sĩ là những chuyên gia đầu ngành, có nhiều năm kinh nghiệm trong việc khám và điều trị những vấn đề về da bao gồm nám, tàn nhang, mụn, viêm da cơ địa,…
Có thể bạn quan tâm: Tàn nhang có trị được không? Yếu tố nào ảnh hưởng đến kết quả?
HỆ THỐNG BỆNH VIỆN ĐA KHOA TÂM ANH
Hy vọng bài viết này đã giúp bạn giải đáp thắc mắc về việc tàn nhang có bị lan ra không? Để lâu có sao không? Dù không gây nguy hiểm cho sức khỏe, nhưng việc điều trị tàn nhang sẽ giúp bạn lấy lại được sự tự tin với làn da đều màu, khỏe mạnh.