
Thông qua chẩn đoán hình ảnh viêm khớp háng, bác sĩ có thể đánh giá mức độ tổn thương khớp háng và từ đó xây dựng kế hoạch điều trị phù hợp, hiệu quả. Vậy, hiện nay có những phương pháp chẩn đoán hình ảnh nào được sử dụng để phát hiện và theo dõi tình trạng viêm khớp háng?

Xác định nguyên nhân gây viêm khớp háng thường bắt đầu bằng các bước thăm khám lâm sàng. Quá trình này bao gồm việc xác định các triệu chứng hiện có, tìm hiểu tiền sử bệnh lý cá nhân và gia đình người bệnh. Tuy nhiên, thăm khám lâm sàng chỉ có thể giúp bác sĩ đưa ra một vài đánh giá sơ bộ. Để xác định chính xác nguồn gốc của cơn đau ở khớp háng và mức độ bệnh, bác sĩ có thể chỉ định chụp phim X-quang.
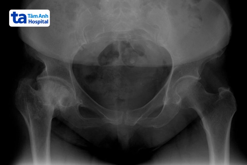
Hình ảnh viêm khớp háng trên X-quang có thể giúp bác sĩ đánh giá tình trạng và giai đoạn tiến triển của bệnh. Viêm khớp háng bao gồm 4 cấp độ tiến triển dựa vào mức độ tổn thương ở khớp háng: (1)









Chụp X-quang có thể được xem là phương pháp chẩn đoán hình ảnh viêm khớp háng đơn giản nhất và có chi phí rẻ nhất. Thông qua kết quả chụp phim X-quang, bác sĩ có thể quan sát được cấu trúc xương và tình trạng chấn thương ở các mô mềm xung quanh (nếu có). Trên phim X-quang không thể thấy được tình trạng sụn khớp, nhưng bác sĩ có thể chẩn đoán viêm khớp háng gián tiếp thông qua khoảng cách giữa xương đùi và ổ cối xương chậu.
Chụp cắt lớp (CT) là phương pháp chẩn đoán hình ảnh viêm khớp háng sử dụng tia X tương tự chụp X-quang nhưng hiện đại hơn. Hình ảnh chụp CT có độ tương phản tốt, có thể dựng hình xương 3D một cách hoàn hảo giúp bác sĩ quan sát và đánh giá tình trạng khớp háng với nhiều góc nhìn khác nhau. (2)

Chụp cộng hưởng từ (MRI) được đánh giá là phương pháp chẩn đoán hình ảnh viêm khớp háng hiện đại và cho kết quả chính xác cao. Kỹ thuật này sử dụng sóng radio và từ trường, tạo ra hình ảnh có độ tương phản cao và chi tiết giúp bác sĩ có thể phát hiện những tổn thương về cấu trúc và hình thái ở khớp háng nói riêng và các bộ phận khác trong cơ thể nói chung. Riêng về chẩn đoán viêm khớp háng, chụp MRI có vai trò quan trọng trong việc hỗ trợ bác sĩ đánh giá cấu trúc phần mềm và cấu tạo khớp háng như sụn khớp, bao khớp…

Siêu âm khớp háng sử dụng sóng âm tần số cao để thăm khám các tổn thương khớp và xung quanh khớp. Hình ảnh siêu âm có thể giúp bác sĩ phát hiện tình trạng bất thường ở cơ, bao khớp, bề mặt vỏ xương, sụn viền, mô mềm quanh khớp… Siêu âm là phương pháp chẩn đoán hình ảnh viêm khớp háng đơn giản, không xâm lấn, không gây đau và có chi phí thấp.

Chụp chiếu hình ảnh viêm khớp háng có vai trò quan trọng trong quá trình chẩn đoán và điều trị bệnh. Người bệnh cần lưu ý một vài điều sau để đảm bảo có được kết quả chẩn đoán chính xác và an toàn nhất:
Xem thêm: Cách điều trị viêm khớp háng hiệu quả
Trung tâm Chấn thương chỉnh hình, Hệ thống Bệnh viện Đa khoa Tâm Anh là nơi thăm khám và chẩn đoán hình ảnh viêm khớp háng uy tín. Bệnh viện đẩy mạnh đầu tư và ứng dụng hệ thống thiết bị hiện đại được nhập khẩu từ nước ngoài: Máy chụp CT 768 lát cắt, CT 1975 lát cắt, CT 100.000 lát cắt; Hệ thống máy chụp cộng hưởng từ thế hệ mới Magnetom Amira BioMatrix… giúp bác sĩ phát hiện những tổn thương nhỏ nhất thông qua hình ảnh chi tiết, sắc nét.
Hệ thống Bệnh viện Đa khoa Tâm Anh còn là nơi quy tụ các chuyên gia, bác sĩ đầu ngành trong lĩnh vực chẩn đoán và điều trị bệnh lý cơ xương khớp, bao gồm cả viêm khớp háng. Với kiến thức chuyên môn sâu rộng và am hiểu về kỹ thuật chẩn đoán hình ảnh, bác sĩ có thể xác định chính xác nguyên nhân và xây dựng phác đồ điều trị bệnh an toàn, phù hợp.
Để thăm khám và điều trị bệnh cơ xương khớp, bạn hãy liên hệ Hệ thống Bệnh viện Đa khoa Tâm Anh, Phòng khám Đa khoa Tâm Anh Quận 7 thông qua thông tin sau:
HỆ THỐNG BỆNH VIỆN ĐA KHOA TÂM ANH
Chẩn đoán bệnh thông qua hình ảnh viêm khớp háng không chỉ giúp bác sĩ xác định giai đoạn bệnh tiến triển mà còn là cơ sở để xây dựng phác đồ điều trị thích hợp. Mỗi người nên đến bệnh viện để tầm soát sức khỏe định kỳ và thực hiện các biện pháp phòng ngừa viêm khớp háng từ sớm để đảm bảo chất lượng đời sống.