
Chụp X quang khuỷu tay giúp chẩn đoán các bất thường ở khuỷu tay. Vậy chụp X quang khuỷu tay là gì? Chụp X quang khuỷu tay ở đâu tốt?

Chụp X quang khuỷu tay là kỹ thuật chẩn đoán hình ảnh sử dụng tia bức xạ X để tạo ra hình ảnh cấu trúc bên trong của khuỷu tay. Hình chụp X quang thể hiện khớp khuỷu tay có màu trắng, do canxi trong xương hấp thụ nhiều tia bức xạ hơn so với mô mềm xung quanh. Thông qua hình chụp X quang khuỷu tay, bác sĩ có thể phát hiện và chẩn đoán nguyên nhân gây tổn thương khuỷu tay.

Bác sĩ có thể cân nhắc về chỉ định chụp X quang khuỷu tay đối với người bệnh thuộc các trường hợp sau: (1)
Chụp X quang khuỷu tay thường được chỉ định với các đối tượng sau:
Bác sĩ có thể hạn chế X quang khuỷu tay đối với người đang mang thai, đặc biệt là 3 tháng đầu thai kỳ. Vì tia bức xạ X có thể làm ảnh hưởng đến sự phát triển bình thường của thai nhi.
Để đảm bảo an toàn, người bệnh nên chia sẻ với bác sĩ về thể trạng của mình trước khi chụp X quang. Bác sĩ cân nhắc các yếu tố liên quan và đưa ra chỉ định phù hợp.

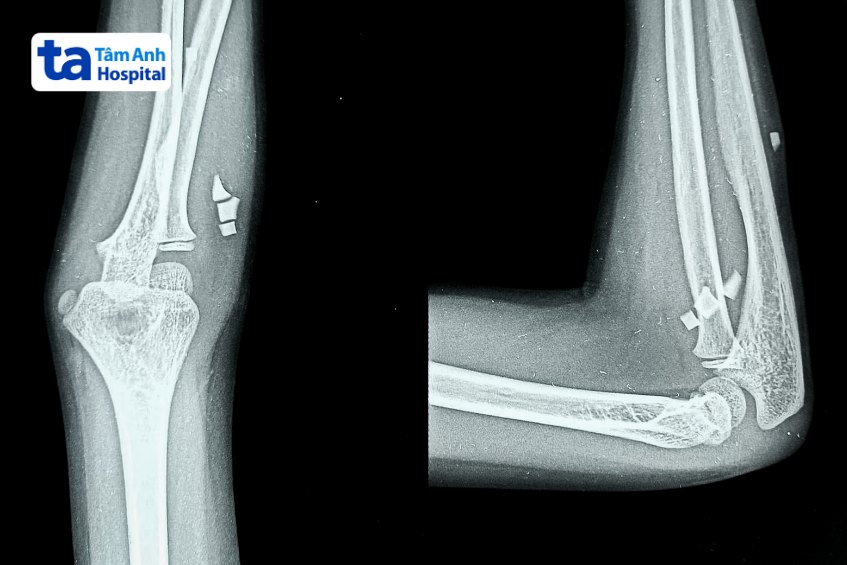
Kết quả từ phim chụp X quang giúp bác sĩ quan sát cấu trúc ở khuỷu tay. Thông qua đó, bác sĩ có thể phát hiện và chẩn đoán tình trạng nứt xương, gãy xương, lệch khớp, u khớp hay các vấn đề khác…
X quang khuỷu tay cũng là cách để phát hiện sớm bệnh lý liên quan đến khớp khuỷu như thoái hóa khớp, viêm khớp dạng thấp, bệnh gút, viêm khớp vảy nến, viêm bao hoạt dịch… Từ đó, bác sĩ có thể đề xuất phương pháp can thiệp kịp thời, giúp người bệnh ngăn ngừa biến chứng nguy hiểm về sau.
Chụp X quang khủy tay không chỉ là phương pháp hỗ trợ chẩn đoán bệnh mà còn là biện pháp bảo vệ sức khỏe. Thông qua tia X để theo dõi khớp khuỷu tay, mỗi người có thể duy trì tốt chức năng khớp khuỷu. Điều này có vai trò quan trọng đối với sức khỏe, đặc biệt ở những người thường xuyên sử dụng khuỷu tay để làm việc, chơi thể thao…
Nếu đang mang thai, người bệnh cần thông báo với bác sĩ ngay thời điểm được chỉ định chụp X quang. Bác sĩ sẽ cân nhắc thay đổi phương pháp chẩn đoán khác thích hợp hơn.
Nếu đáp ứng đủ các điều kiện chụp X quang khuỷu tay, người bệnh cần chuẩn bị:
Về phía phòng khám, bệnh viện cần chuẩn bị:
X quang khuỷu tay tư thế thẳng:
X quang khuỷu tay tư thế nghiêng:
Thời gian chụp X quang khuỷu tay thường mất tổng cộng khoảng 5-10 phút tùy trường hợp. Trong quá trình thực hiện, người bệnh cần làm theo hướng dẫn của bác sĩ để đạt kết quả tốt nhất. Người bệnh giữ yên tay khi thiết bị chụp X quang khởi động để kết quả phim chụp không bị mờ.

Người bệnh chờ vài phút để bác sĩ kiểm tra chất lượng hình ảnh phim chụp X quang. Nếu kết quả bị mờ, bác sĩ sẽ đề nghị chụp thêm lần nữa để chẩn đoán chính xác nhất có thể.
Người bệnh có thể sinh hoạt bình thường sau chụp X quang. Lượng tia X dùng trong chụp X quang khuỷu tay khá thấp, sẽ không làm ảnh hưởng sức khỏe nên người bệnh không cần quá lo lắng.
Nếu chưa đủ cơ sở để chẩn đoán bệnh, bác sĩ có thể chỉ định thêm một vài phương pháp xét nghiệm cận lâm sàng khác như chụp cộng hưởng từ MRI, chụp CT…
Chụp X quang là kỹ thuật chẩn đoán hình ảnh phổ biến, chi phí hợp lý, phù hợp với đa số người bệnh. Giá chụp X quang khuỷu tay ở mỗi phòng khám tư, bệnh viện tư sẽ có sự chênh lệch tùy theo kinh nghiệm bác sĩ, chất lượng dịch vụ, hệ thống thiết bị, cơ sở vật chất…
Vì vậy, người bệnh nên liên hệ trực tiếp với cơ sở thăm khám uy tín để được tư vấn chi tiết, chính xác giá chụp X quang đối với trường hợp của mình. Người bệnh có thể liên hệ qua hotline, fanpage, website… Cơ sở được chọn cần có sự đầu tư chỉn chu về thiết bị chụp X quang hiện đại.

X quang khuỷu tay là kỹ thuật được áp dụng bảo hiểm y tế theo mục II, điểm A, phụ lục III ban hành theo Thông tư 13/2019/TT-BYT. Khi khám bệnh đúng tuyến, người bệnh cần mang theo giấy tờ tùy thân và thẻ bảo hiểm y tế còn hạn sử dụng để hưởng mức bảo hiểm theo quy định hiện hành.
Trung tâm Chẩn đoán Hình ảnh & Điện quang Can thiệp, Bệnh viện Đa khoa Tâm Anh TP.HCM và Trung tâm khám chữa bệnh Tâm Anh Quận 7 (thuộc Hệ thống Bệnh viện Đa khoa Tâm Anh) là những địa chỉ uy tín về dịch vụ chẩn đoán hình ảnh cao cấp và chuyên sâu, trong đó có X quang khuỷu tay, X quang bàn tay, cổ tay,..
Thiết bị chụp X quang tại Hệ thống Bệnh viện Tâm Anh có ưu điểm: hiện đại, thời gian chụp nhanh, cường độ tia bức xạ thấp giúp hạn chế rủi ro cho người bệnh… Đặc biệt, hệ thống chụp X quang kỹ thuật số treo trần cao cấp GXR-52SD Ceiling System, giúp tăng tỷ lệ chính xác khi chẩn đoán bệnh. Ngoài ra, bệnh viện cũng đẩy mạnh đầu tư vào hệ thống chụp CT 768 lát cắt và 1975 lát cắt, hệ thống chụp MRI 1,5-3 Tesla… để tối ưu kết quả chẩn đoán nguyên nhân gây bệnh ở khớp khuỷu tay nói riêng và xương khớp toàn thân nói chung.
Toàn Hệ thống Bệnh viện Đa khoa Tâm Anh tiếp nhận gần 1.000 lượt thăm khám và chụp X quang mỗi ngày. Đơn vị quy tụ đội ngũ chuyên gia, bác sĩ có kinh nghiệm dày dặn, tận tâm với người bệnh. Người bệnh cũng có thể đăng ký khám chữa bệnh bằng bảo hiểm ý tế tại Tâm Anh để tối ưu chi phí.
Để được thăm khám và điều trị bệnh lý thông qua chẩn đoán hình ảnh, bạn hãy liên hệ Hệ thống Bệnh viện Đa khoa Tâm Anh, thông qua thông tin sau:
HỆ THỐNG BỆNH VIỆN ĐA KHOA TÂM ANH
X quang khuỷu tay là phương pháp chẩn đoán bệnh không thể thiếu trong các trường hợp cần thiết. Người bệnh chỉ chụp X quang khuỷu tay khi được bác sĩ chỉ định. Đây là kỹ thuật an toàn, không gây hại cho sức khỏe nên người bệnh có thể yên tâm.