Chụp CT bệnh túi mật (chụp CT chẩn đoán bệnh túi mật) cung cấp hình ảnh chi tiết về túi mật cũng như các cơ quan chức năng xung quanh. Nhờ vậy, bác sĩ có thể quan sát rõ và đưa ra chẩn đoán phù hợp. Vậy chụp CT chẩn đoán túi mật khi mắc các bệnh lý liên quan như thế nào?
Bài viết được tư vấn chuyên môn bởi Trung tâm Thông tin Y khoa Bệnh viện Đa khoa Tâm Anh.
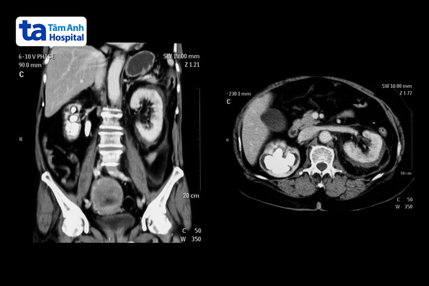
Chụp CT bệnh túi mật là gì?
Chụp CT bệnh túi mật là chụp cắt lớp vi tính kết hợp hình ảnh X-quang với công nghệ máy tính để tạo ra hình ảnh chi tiết của túi mật, ống mật, tuyến tụy và gan. Chụp CT có thể nhận diện sỏi mật có kích thước lớn nhất định, phát hiện nhiễm trùng và xác định tắc nghẽn. CT có thể yêu cầu sử dụng chất cản quang để làm nổi bật các chi tiết.
Chụp CT túi mật có thể cung cấp thông tin chi tiết hơn về gan, túi mật và các cấu trúc liên quan so với chụp X-quang bụng thông thường, cho bác sĩ nhiều thông tin hơn về các tổn thương hoặc bệnh lý túi mật…
Chụp CT bệnh túi mật giúp phát hiện viêm túi mật, sỏi và các bất thường cấu trúc liên quan
Tại sao cần chụp CT túi mật?
Người bệnh có thể cần CT bệnh túi mật nếu bác sĩ nghi ngờ họ có thể bị bệnh túi mật (viêm túi mật). Các triệu chứng của bệnh túi mật bao gồm:
Đau dữ dội đột ngột ở vùng bụng trên bên phải.
Vàng da hoặc vàng mắt.
Xét nghiệm máu có thể cho thấy nồng độ men gan cao hơn.
Ngoài ra, chụp CT túi mật cũng có thể giúp chẩn đoán tình trạng tắc nghẽn trong ống mật hoặc rò rỉ mật liên quan đến các biến chứng sau phẫu thuật cắt túi mật. Nó cũng có thể cho bác sĩ biết túi mật của người bệnh hoạt động tốt như thế nào. Mặt khác, bác sĩ cũng có thể có những lý do khác để đề nghị chụp CT bệnh túi mật. (1)
Ưu điểm và hạn chế khi chụp CT túi mật trong chẩn đoán
Phương pháp chụp CT bệnh túi mật khi chẩn đoán có những ưu điểm và hạn chế như sau:
1. Ưu điểm
Chụp CT có thể được thực hiện khi các loại xét nghiệm khác như chụp X-quang, siêu âm không đưa ra kết luận.
Chẩn đoán túi mật thông qua chụp CT có thể loại bỏ nhu cầu phẫu thuật thăm dò và sinh thiết.
Nó cũng có thể được thực hiện để giúp loại bỏ chất lỏng khỏi vùng ống mật.
Chụp CT bệnh túi mật không gây đau, không xâm lấn và đảm bảo an toàn.
Hình ảnh chi tiết, rõ nét hỗ trợ bác sĩ trong quá trình chẩn đoán chính xác. (2)
2. Hạn chế
Lượng chất phóng xạ dùng để thực hiện kỹ thuật này đủ nhỏ để không cần phải có biện pháp phòng ngừa phơi nhiễm phóng xạ. Dù vậy, người bệnh có thể cảm thấy khó chịu, phản ứng dị ứng với chất phóng xạ rất hiếm nhưng vẫn có thể xảy ra.
Đối với một số người bệnh, việc phải nằm yên trên bàn chụp CT trong suốt quá trình thực hiện có thể gây ra một số khó chịu.
Người bệnh có thể bị dị ứng với thuốc cản quang.
Có thể ảnh hưởng đến chức năng thận với những người có bệnh về thận nếu phải dùng thuốc cản quang.
Chụp CT bệnh túi mật không áp dụng cho phụ nữ có thai hoặc đang cho con bú.
Chụp CT ở túi mật có thể phát hiện bệnh gì?
Chụp CT gan và đường mật có thể được sử dụng để kiểm tra gan hoặc túi mật và các cấu trúc liên quan để tìm:
Giải phẫu bất thường của hệ thống mật (dị tật đường mật).
Tắc nghẽn ống mật.
Rò rỉ mật hoặc ống dẫn bất thường.
Ung thư hệ thống gan mật.
Nhiễm trùng túi mật (viêm túi mật).
Sỏi mật.
Nhiễm trùng túi mật, ống dẫn hoặc gan.
Bệnh gan.
Biến chứng ghép (sau ghép gan).
Hệ thống Bệnh viện Đa khoa Tâm Anh là đơn vị đầu tiên tại Việt Nam và Đông Nam Á đặt hàng sở hữu dòng máy CT 1975 lát cắt hiện đại bậc nhất
Đối tượng chỉ định chụp CT túi mật
Chụp CT bệnh túi mật chỉ định và chống chỉ định đối với những trường hợp sau: (3)
1. Chỉ định
Người bệnh nghi ngờ bệnh túi mật (viêm túi mật), đau dữ dội cấp tính ở góc phần tư bụng trên bên phải hoặc khi có vàng da (da và/hoặc mắt vàng).
Người bệnh men gan tăng cao trong xét nghiệm máu cụ thể cũng có thể chỉ ra một số loại bệnh túi mật.
2. Chống chỉ định
Phụ nữ có thai hoặc đang cho con bú.
Người có bệnh về thận nặng, người bị dị ứng hoặc nhạy cảm với thuốc cản quang.
Người có khuyên hay kim loại ở ngực bụng.
Quy trình chụp CT bệnh túi mật
Quy trình CT bệnh túi mật được diễn ra theo đúng trình tự để đảm bảo đưa ra kết quả chính xác nhất.
1. Trước khi chụp
Đầu tiên, bác sĩ sẽ giải thích quy trình cho người bệnh và giải đáp những thắc mắc của người bệnh.
Nếu chụp CT liên quan đến việc sử dụng thuốc cản quang, người bệnh sẽ được yêu cầu ký biểu mẫu đồng ý cho phép thực hiện thủ tục. Hãy đọc kỹ biểu mẫu và đặt câu hỏi nếu có bất cứ điều gì không rõ ràng.
Nói với kỹ thuật viên nếu người bệnh đã từng có phản ứng với bất kỳ thuốc tương phản nào hoặc người bệnh bị dị ứng với iot.
Người bệnh không cần phải nhịn ăn trước khi chụp CT bệnh túi mật, trừ khi thuốc cản quang được chỉ định sử dụng. Bác sĩ sẽ cung cấp những hướng dẫn đặc biệt trước thời gian thực hiện chụp CT nếu có sử dụng chất cản quang.
Nói với bác sĩ về tất cả các loại thuốc đang dùng, bao gồm thuốc kê đơn và không kê đơn, vitamin, thảo mộc và thực phẩm chức năng…
Nói với bác sĩ nếu người bệnh có bất kỳ vấn đề nào về thận.
Nói với kỹ thuật viên nếu người bệnh đang mang thai hoặc nghĩ rằng có thể mang thai.
Nói với kỹ thuật viên nếu người bệnh có khuyên kim loại trên ngực hoặc bụng.
2. Trong lúc chụp
Chụp CT bệnh túi mật có thể được thực hiện ngoại trú hoặc là một phần của thời gian người bệnh nằm viện. Các thủ tục có thể khác nhau tùy thuộc vào tình trạng của người bệnh và cách thực hành của bác sĩ.
Nói chung, quét túi mật sẽ tuân theo quy trình sau:
Người bệnh được yêu cầu tháo bất kỳ đồ trang sức nào hoặc các đồ vật khác có thể cản trở quá trình chụp.
Người bệnh cần cởi bỏ quần áo và sẽ được cung cấp một chiếc áo choàng để mặc.
Một đường truyền tĩnh mạch (IV) có thể được đặt ở tay hoặc cánh tay.
Người bệnh sẽ được yêu cầu nằm yên trên bàn quét trong suốt quá trình chụp CT bệnh túi mật, vì bất kỳ chuyển động nào cũng có thể ảnh hưởng đến chất lượng của quá trình quét.
Máy quét sẽ được đặt trên vùng bụng để phát hiện tia gamma do hạt nhân phóng xạ phát ra trong mô túi mật.
Nếu hạt nhân phóng xạ không xâm nhập vào túi mật trong một khoảng thời gian nhất định, có thể chụp lại trong vòng vài giờ sau để xác định xem có tắc nghẽn hoàn toàn hay một phần.
Khi quá trình quét đã hoàn tất, đường truyền tĩnh mạch (IV) sẽ được loại bỏ khỏi cơ thể người bệnh.
Mặc dù chụp CT bệnh túi mật không gây đau, nhưng việc phải giữ nguyên tư thế trong suốt quá trình có thể gây ra một số khó chịu hoặc đau đớn, đặc biệt là trong trường hợp người bệnh đang chấn thương hoặc vừa phẫu thuật.
Do đó, kỹ thuật viên sẽ sử dụng tất cả các biện pháp giúp người bệnh thoải mái nhất có thể và hoàn thành quy trình chụp càng nhanh càng tốt để giảm thiểu bất kỳ sự khó chịu hoặc đau đớn nào.
3. Sau khi chụp
Sau khi chụp, người bệnh nên di chuyển chậm khi đứng dậy khỏi bàn máy quét để tránh chóng mặt hoặc choáng váng khi nằm phẳng trong suốt quá trình làm thủ thuật.
Người bệnh có thể được hướng dẫn uống nhiều nước và làm rỗng bàng quang trong khoảng 24 giờ sau khi chụp CT bệnh túi mật để giúp loại bỏ các hạt nhân phóng xạ còn lại khỏi cơ thể.
Vị trí IV sẽ được kiểm tra xem có bất kỳ dấu hiệu nào của mẩn đỏ hoặc sưng tấy không. Nếu người bệnh nhận thấy bất kỳ cơn đau, mẩn đỏ hoặc sưng tấy nào tại vị trí IV sau khi trở về nhà sau khi chụp CT, nên thông báo cho bác sĩ vì điều này có thể là dấu hiệu cho thấy tình trạng nhiễm trùng.
Nếu được yêu cầu nhịn ăn trước khi chụp CT, người bệnh có thể sử dụng thức ăn và đồ uống sau đó, nhưng cần thông qua sự cho phép của bác sĩ.
Bác sĩ cũng có thể đưa ra hướng dẫn bổ sung hoặc thay thế sau thủ thuật, tùy thuộc vào tình huống cụ thể của người bệnh.
Giãn túi mật: Khi túi mật bị tắc nghẽn, túi mật sẽ giãn ra và trông giống như một quả bóng bay, căng phồng hơn so với túi mật bình thường.
Thành túi mật dày, không đều: Thành túi mật sẽ trở nên dày, lớn hơn và thường không đều khi có tình trạng viêm. Thành túi mật bình thường là một đường mỏng, sáng khi so sánh.
Tắc túi và dịch: Viêm túi mật cấp tính sẽ dẫn đến tình trạng tắc túi mật và có dịch ở mô mỡ xung quanh do viêm. (4)
Chụp CT bệnh túi mật ở BVĐK Tâm Anh
Trung tâm Chẩn đoán Hình ảnh & Điện quang Can thiệp, Bệnh viện Đa khoa Tâm Anh TP.HCM là đơn vị uy tín trong việc chẩn đoán các bệnh lý liên quan đến túi mật. Trung tâm không chỉ quy tụ đội ngũ y bác sĩ có chuyên môn cao, nhiều năm kinh nghiệm, mà còn đầu tư vào hệ thống máy móc, trang thiết bị hiện đại để phục vụ công tác chẩn đoán chính xác.
Đặc biệt, trung tâm sử dụng hệ thống máy chụp CT 768 lát cắt Somatom Drive (Siemens, Đức) và hệ thống máy CT 1975 lát cắt của GE HealthCare (Mỹ) được đánh giá là những máy móc hiện đại nhất hiện nay. Những thiết bị này mang lại hình ảnh chụp có chất lượng cao, giúp phát hiện các tổn thương nhỏ và cấu trúc chi tiết. Điều này giúp bác sĩ đưa ra chẩn đoán chính xác và xây dựng phác đồ điều trị phù hợp cho từng người bệnh.
Hệ thống CT 1975 lát cắt tại BVĐK Tâm Anh có thời gian chụp nhanh, phát hiện được những tổn thương cực nhỏ bên trong cơ thể
Các câu hỏi liên quan tới CT bệnh túi mật
Liên quan đến chụp CT túi mật, sau đây là một số thắc mắc thường gặp nhất.
1. Chụp CT bệnh túi mật có ảnh hưởng đến sức khỏe không?
Chụp CT bệnh túi mật là phương pháp chụp không xâm lấn nên phần lớn sẽ không ảnh hưởng đến sức khỏe người bệnh. Chỉ trừ những trường hợp dị ứng với thuốc cản quang hoặc người mắc bệnh thận nặng.
2. Phụ nữ đang cho con bú có chụp CT được không?
Phụ nữ đang cho con bú sẽ không được khuyến khích chụp CT bởi vì lượng chất phóng xạ có thể đi vào sữa mẹ, gây nguy hiểm cho trẻ sơ sinh.
3. Chụp CT bệnh túi mật có rủi ro gì không?
Chụp CT túi mật có thể gây ra một chút khó chịu nhẹ với người bệnh dị ứng với chất phóng xạ hay thuốc cản quang, nhưng người bệnh đừng quá lo lắng vì điều này rất hiếm xảy ra.
Để đặt lịch thăm khám, điều trị bệnh tại Hệ thống Bệnh viện Đa khoa Tâm Anh, Quý khách vui lòng liên hệ:
HỆ THỐNG BỆNH VIỆN ĐA KHOA TÂM ANH
Bệnh viện Đa khoa Tâm Anh Hà Nội:
108 Phố Hoàng Như Tiếp, Phường Bồ Đề, TP. Hà Nội
(Đ/c cũ: 108 Hoàng Như Tiếp, P.Bồ Đề, Q.Long Biên, TP. Hà Nội)
Bài viết sau đây đã góp phần cung cấp những thông tin liên quan đến CT bệnh túi mật, bao gồm ưu nhược điểm, chỉ định và quy trình thực hiện. Người bệnh xuất hiện triệu chứng bất thường nên nhanh chóng đi khám để được bác sĩ chỉ định chụp CT túi mật nếu cần, từ đó kịp thời điều trị bệnh hiệu quả.
Gallbladder scan. (2021, August 8). Johns Hopkins Medicine. https://www.hopkinsmedicine.org/health/treatment-tests-and-therapies/gallbladder-scan
Content – Health Encyclopedia – University of Rochester Medical Center. (n.d.). https://www.urmc.rochester.edu/encyclopedia/content?contenttypeid=92&contentid=P07691
Brown, M. P. H. (2024, June 2). Abdominal CT: cholecystitis. Life in the Fast Lane • LITFL. https://litfl.com/abdominal-ct-cholecystitis/