TP HCM – Ông Đấu, 67 tuổi, đau bụng quằn quại lúc 2 giờ sáng, bác sĩ phát hiện thủng dạ dày, rò dịch tiêu hóa gây viêm phúc mạc, nhiễm trùng ổ bụng.

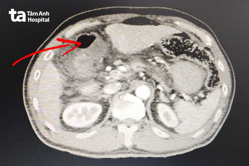
Ông Đấu được người nhà chuyển đến cấp cứu tại Bệnh viện Đa khoa Tâm Anh TP HCM. Ngày 26/11, bác sĩ chuyên khoa 1 Nguyễn Công Uẫn, Trung tâm Nội soi và Phẫu thuật Nội soi Tiêu hóa, cho biết kết quả chụp MSCT bụng (Multislice Computerized Tomography – chụp cắt lớp vi tính đa lát cắt) khẩn cấp cho thấy ông Đấu có dịch và hơi tự do ở ổ bụng, kèm thâm nhiễm mỡ, tụ dịch xung quanh hang môn vị dạ dày và hành tá tràng. Kết hợp các biểu hiện lâm sàng như bụng cứng, đau bụng dữ dội, mạch đập nhanh, thở nhanh…, bác sĩ Uẫn chẩn đoán ông Đấu bị viêm phúc mạc, nhiễm trùng ổ bụng do thủng tạng cần mổ cấp cứu khẩn cấp.

Ông Đấu được tiến hành phẫu thuật nội soi ngay trong đêm, cứu nguy tình trạng nhiễm trùng nặng. Trong quá trình phẫu thuật, bác sĩ nhận thấy ổ bụng có nhiều dịch mủ tập trung ở vị trí dưới và trên gan phải, dạ dày và hành tá tràng. Mặt trước phía bờ cong nhỏ dạ dày có lỗ thủng tròn đều kích thước 5 mm, đang trong tình trạng rỉ dịch tiêu hóa và dịch mật. Bác sĩ tiến hành hút rửa sạch ổ bụng bằng nước ấm nhiều lần cho đến khi nước trong. Sau đó, sinh thiết bờ lỗ thủng, khâu lại lỗ thủng, đắp mạc nối lớn lên vị trí thủng.
Ông Đấu có tiền sử viêm loét dạ dày lâu năm. Trước đó hai ngày, ông có biểu hiện đau bụng vùng thượng vị (trên rốn), hạ sườn phải, đau quặn lên từng cơn, bụng cứng kèm sốt lạnh run. Ô được đưa đến bệnh viện gần nhà điều trị bằng thuốc và theo dõi do chưa xác định được nguyên nhân. Sau hơn 2 ngày nằm viện, cơn đau gia tăng dữ dội. Sau mỗi bữa ăn, ông còn thấy khó thở, không thể nằm hay ngồi.
Viêm loét dạ dày lâu ngày có thể gây biến chứng thủng dạ dày ngay tại ổ viêm loét, dẫn đến nhiễm trùng, viêm phúc mạc toàn thể ổ bụng. Người bệnh kịp thời được can thiệp nên ngăn được nguy cơ biến chứng nhiễm trùng huyết, sốc nhiễm trùng. “Nếu chậm trễ sẽ rất nguy hiểm đến tính mạng”, Bác sĩ Nguyễn Công Uẫn cho biết, thêm rằng, viêm loét dạ dày có tỷ lệ tử vong 2,5 – 10%, ở người già yếu tỷ lệ tử vong lên đến 30%.
Sau phẫu thuật, ông Đấu giảm đau bụng, hết sốt, uống được nước đường, ăn súp sau 2 ngày và dần chuyển sang chế độ ăn đặc. Ông được xuất viện sau 7 ngày. Bác sĩ hẹn lịch tái khám và nội soi kiểm tra dạ dày sau một tháng.

Bác sĩ Uẫn cho biết, thủng dạ dày – tá tràng là 1 trong 4 bệnh lý cấp cứu ngoại khoa thường gặp cùng với viêm ruột thừa cấp, tắc ruột, viêm tụy cấp. Thủng ổ loét là biến chứng nặng nề của bệnh viêm loét dạ dày – tá tràng. Triệu chứng của bệnh thủng dạ dày là đau bụng đột ngột dữ dội, liên tục, bụng cứng. Khi dịch tiêu hóa tràn vào khoang phúc mạc, người bệnh có dấu hiệu sốc như mạch đập nhanh, huyết áp tụt, vã mồ hôi, thở nhanh… Với người bệnh có tiền sử viêm loét dạ dày – tá tràng khi xuất hiện các dấu hiệu lâm sàng và cận lâm sàng cần được chẩn đoán và xử lý cấp cứu, tránh biến chứng đáng tiếc xảy ra.
Bệnh lý viêm loét hành tá tràng có thể điều trị ổn định bằng thuốc, kết hợp với chế độ ăn uống, sinh hoạt khoa học. Mỗi người nên ăn uống điều độ, không bỏ bữa, không ăn quá no hay để bụng đói, chia nhỏ cữ ăn (4-5 cữ/ngày). Hạn chế thức ăn chua, cay. Tránh thức khuya, ngủ đủ giấc, tránh sử dụng nhiều rượu bia, nước ngọt có ga… Sau điều trị, người bệnh nên tái khám kiểm tra để đánh giá tình trạng bệnh. Với người khỏe mạnh cũng nên duy trì thăm khám sức khỏe định kỳ giúp phát hiện và xử lý kịp thời những bất thường đường tiêu hóa nếu có.
HỆ THỐNG BỆNH VIỆN ĐA KHOA TÂM ANH