Anh Công, 23 tuổi, đau bụng, rối loạn tiêu hóa kéo dài, đi khám phát hiện ung thư đại tràng giai đoạn muộn gây tắc ruột, được phẫu thuật bằng robot thành công.

“Đây là trường hợp ung thư trẻ tuổi nhất trong hơn 30 năm làm nghề mà tôi từng gặp”, Tiến sĩ bác sĩ Đỗ Minh Hùng, Giám đốc Trung tâm Nội soi và Phẫu thuật Nội soi Tiêu hóa, Bệnh viện Đa khoa Tâm Anh cho biết. Bác sĩ thêm rằng người bệnh đã có triệu chứng khá lâu nhưng không đi khám, xét nghiệm chuyên sâu để chẩn đoán chính xác. Nay bệnh đã chuyển sang giai đoạn muộn, khối u ở đại tràng ngang lớn gây tắc ruột, tế bào ung thư đã xâm lấn xuyên qua thành ruột đến bề mặt phúc mạc tạng, nghi ngờ di căn hạch bạch huyết.
Mấy tháng trước, anh Công có triệu chứng táo bón, tiêu chảy, hay đau quặn bụng sau khi ăn. Đi khám nhiều nơi bác sĩ chẩn đoán anh bị ruột kích thích, viêm dạ dày thông thường và điều trị bằng thuốc. Tuy nhiên, cơn đau thuyên giảm một vài ngày lại tái phát, tình trạng táo bón, đau bụng ngày một nặng hơn.
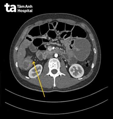
Tại Phòng khám Đa khoa Tâm Anh Quận 7, anh Công được chỉ định làm các xét nghiệm cận lâm sàng để kiểm tra. Kết quả chụp CT 100.000 lát cắt ghi nhận, giãn đại tràng phải và manh tràng 6,2 cm, giãn các quai ruột non 4,8 cm. Vị trí chuyển tiếp ở đại tràng góc gan dày thành khu trú 1,8 cm, một đoạn ruột 5 cm mất cấu trúc, bắt thuốc mạnh, thâm nhiễm mỡ nhẹ xung quanh và một số hạch nhỏ xuất hiện quanh tổn thương. Kết quả nội soi cho thấy, đại tràng góc gan có khối u sùi làm hẹp lòng, máy soi không qua được. Kết quả sinh thiết mô bệnh học chẩn đoán ung thư đại tràng góc gan, tế bào ung thư xâm lấn sâu, rộng làm tắc ruột gây ra các cơn đau ngực.

Sau hội chẩn, bác sĩ chỉ định phẫu thuật nội soi cắt đoạn đại tràng phải chứa u, kết hợp nạo vét hạch triệt để với sự hỗ trợ của Robot Da Vinci Xi, ngăn ngừa tế bào ung thư xâm lấn và di căn.
Trong quá trình đưa dụng cụ nội soi vào ổ bụng, ê-kíp phẫu thuật ghi nhận toàn bộ ruột non và đại tràng giãn lớn, buộc phải đưa ruột non ra ngoài để tiến hành hút giải áp. Sau khi tình trạng giãn ruột được cải thiện, các cánh tay robot được kết nối để thực hiện từng bước phẫu thuật.
Bác sĩ Minh Hùng cho biết, ca mổ gặp nhiều khó khăn do khối u đại tràng góc gan lớn 5 cm, gây co kéo thanh mạc, kèm theo tình trạng đại tràng lên và ruột non giãn đáng kể. Dưới hình ảnh ba chiều phóng đại độ phân giải cao, phẫu thuật viên sử dụng các dụng cụ robot để phẫu tích đại tràng phải và đại tràng ngang theo mặt phẳng mạc treo, bảo tồn các cấu trúc lân cận.
Mạc treo đại tràng phải được mở, các mạch máu nuôi dưỡng gồm động mạch hồi – đại tràng, động mạch đại tràng phải và nhánh phải của động mạch đại tràng giữa được bộc lộ, kẹp cắt và kiểm soát an toàn, đồng thời tiến hành nạo vét hạch vùng. Tiếp theo, đại tràng góc gan được giải phóng hoàn toàn khỏi gan, tá tràng và thành bụng sau. Đoạn đại tràng chứa khối u được cô lập và cắt bỏ bằng stapler, đảm bảo diện cắt an toàn trên và dưới tổn thương.
Sau khi cắt đoạn đại tràng tổn thương, bác sĩ thực hiện nối hồi tràng – đại tràng ngang. Hai đầu ruột được chuẩn bị cẩn thận, miệng nối đảm bảo kín, chắc và tưới máu tốt. Kết thúc phẫu thuật, ê-kíp kiểm tra kỹ miệng nối, tình trạng cầm máu và các tạng trong ổ bụng, tháo các trocar và đóng thành bụng.

“Dù khối u lớn khó thực hiện nhưng phẫu thuật nội soi với sự hỗ trợ của Robot Da Vinci Xi, ít xâm lấn, mất máu ít, diện cắt an toàn, không còn u, nạo vét hạch triệt để”, bác sĩ Minh Hùng cho biết về thành công của ca mổ.
Hậu phẫu, sức khỏe anh Công dần phục hồi, có thể đi lại một ngày sau phẫu thuật, ăn cháo loãng sau 3 ngày. Với kết quả giải phẫu bệnh là ung thư đại tràng giai đoạn 3C – giai đoạn tiến triển, khối u ở đại tràng phải xâm nhập dưới thanh mạc, 6 trong 51 hạch đã di căn, u xâm nhập mạch và quanh thần kinh nên anh Công tiếp tục điều trị hóa trị với khoa Ung bướu.
Ung thư đại tràng có xu hướng gia tăng và ngày càng trẻ hóa, đặc biệt người dưới 40 tuổi. Một trong những nguyên nhân làm gia tăng nguy cơ mắc bệnh là lối sống hiện đại với chế độ ăn ít chất xơ, nhiều thịt đỏ, thực phẩm chế biến sẵn, hút thuốc lá, uống rượu bia và ít vận động…
Ung thư đại tràng hiện là một trong những loại ung thư phổ biến hàng đầu trên thế giới cũng như tại Việt Nam. Ung thư đại tràng nếu phát hiện sớm có thể điều trị hiệu quả, triệt căn ung thư bằng các phương pháp ít xâm lấn như cắt hớt/tách niêm mạc (EMR/ESD), bảo tồn được ống tiêu hóa. Trường hợp phát hiện muộn phải điều trị đa mô thức, kết hợp giữa phẫu thuật, hóa trị, xạ trị, dùng thuốc nhắm trúng đích hoặc điều trị giảm nhẹ, nhưng tiên lượng sống sau 5 năm không cao, dao động khoảng 40-50%.
Tiên lượng sống của người bệnh phụ thuộc vào nhiều yếu tố như số lượng hạch di căn, mức độ xâm lấn của khối u, đặc điểm mô bệnh học, tình trạng sức khỏe nền và khả năng đáp ứng điều trị. Đặc biệt, việc phát hiện bệnh sớm hơn, điều trị đúng và theo dõi sát sau mổ giúp kéo dài thời gian sống cho người bệnh.
Bác sĩ Minh Hùng khuyến nghị, bên cạnh ầm soát định kỳ bằng nội soi đại tràng, thì khi có các dấu hiệu bất thường như rối loạn tiêu hóa, đau bụng (dù ở tuổi nào)… cũng cần đến thăm khám chuyên khoa Tiêu hóa, có đầy đủ máy móc giúp phát hiện sớm tổn thương tiền ung thư hoặc ung thư giai đoạn sớm, từ đó nâng cao đáng kể tỷ lệ sống và chất lượng cuộc sống cho người bệnh.
(*) Tên người bệnh đã được thay đổi.
HỆ THỐNG BỆNH VIỆN ĐA KHOA TÂM ANH