TP HCM_ Chị Hà, 20 tuổi, sốt kéo dài, đau bụng, chán ăn, rối loạn tiêu hóa, đi khám phát hiện lao màng bụng với hơn 2 lít dịch trong bụng.

Chị Hà, ngụ tại Lâm Đồng, đến Bệnh viện Đa khoa Tâm Anh TP HCM thăm khám trong tình trạng sốt, cơ thể lạnh run kéo dài suốt một tuần, đau vùng bụng hố chậu, buồn nôn, chán ăn nhưng lại tăng cân nhẹ. Chị Hà cho biết, trước đó đã nhập viện gần nhà, bác sĩ chẩn đoán viêm ruột, nghi ngờ lao ruột nhưng chỉ định tiếp tục theo dõi.
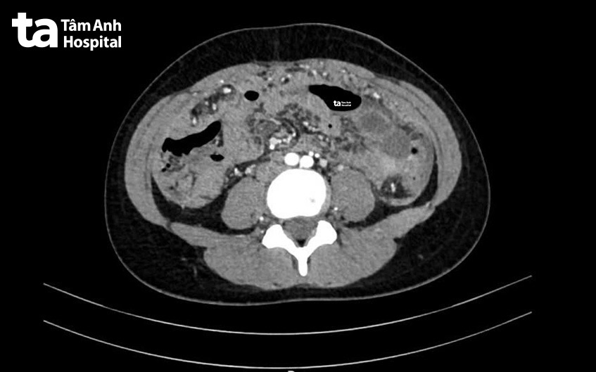
Ngày 12/9, Thạc sĩ bác sĩ chuyên khoa 1 Lưu Xuân Phát, Trung tâm Nội soi và Phẫu thuật Nội soi Tiêu hóa, Bệnh viện Đa khoa Tâm Anh TP HCM, cho biết kết quả thăm khám, siêu âm, chụp cắt lớp vi tính (CT) cho thấy bệnh nhân có tình trạng dịch trong ổ bụng.

Người bệnh được chỉ định hút dịch để làm xét nghiệm chẩn đoán. Dịch hút ra khoảng 2 lít, có màu vàng nhạt. Đây là nguyên nhân khiến người bệnh tăng cân dù có biểu hiện chán ăn, buồn nôn. Sau khi hút hết dịch, bước đầu các triệu chứng ở người bệnh thuyên giảm.
Bác sĩ Phát cho biết, quá trình chẩn đoán bệnh khó khăn vì tràn dịch màng bụng do nhiều nguyên nhân. Kết quả xét nghiệm dịch màng bụng bước đầu nghi ngờ lao màng bụng. Kết quả xét nghiệm PCR tìm vi khuẩn lao (Polymerase Chain Reaction) cho âm tính. Chỉ số CA125 (chất chỉ điểm ung thư hiện diện với nồng độ cao trong máu khi có các tế bào u) tăng gấp 10 lần so với người bình thường (khoảng 35 U/ml). Chỉ số này tăng cả trong dịch màng bụng do lao lẫn ung thư nên không loại trừ khả năng do ung thư gây ra. Phác đồ điều trị của 2 tình trạng này rất khác nhau. Do vậy, bác sĩ chỉ định người bệnh sinh thiết màng bụng để chẩn đoán chính xác nguyên nhân.
Bác sĩ chuyên khoa 1 Hoàng Mạnh Chinh, Trung tâm Nội soi và Phẫu thuật Nội soi Tiêu hóa đã thực hiện cuộc mổ nội soi thám sát, lấy mô màng bụng làm giải phẫu bệnh, bệnh nhân có tình trạng tổn thương viêm hạt hoại tử do lao (lao màng bụng). Đây là 1 trong những thể nặng của bệnh lao. Sau khi xác định chính xác nguyên gây ra tình trạng đau bụng, báng bụng là do lao màng bụng, chị Hà được tiến hành điều trị bệnh lao tại bệnh viện có chuyên khoa Lao.
Bác sĩ Xuân Phát cho biết, lao màng bụng là tình trạng tổn thương viêm của màng bụng do vi khuẩn lao gây nên, thường xuất hiện thứ phát sau lao phổi. Tùy theo độc tố, số lượng vi khuẩn lao và tình trạng hệ miễn dịch của cơ thể sẽ xuất hiện các triệu chứng khác nhau, có thể rầm rộ hoặc mờ nhạt. Các triệu chứng thường gặp là sốt về chiều; đau bụng, bụng trướng và to dần do có dịch trong ổ bụng; ở giai đoạn muộn có thể gây tắc ruột hoặc bán tắc ruột.
Những triệu chứng này dễ gây nhầm lẫn với các bệnh tiêu hóa khác như viêm ruột thừa, tắc ruột, viêm phúc mạc do nguyên nhân ngoài lao, ung thư màng bụng nguyên phát hoặc thứ phát sau ung thư đại tràng, buồng trứng… Do vậy, bác sĩ Phát khuyến cáo, khi thấy bụng tăng kích thước nhanh chóng, đau bụng, buồn nôn, nhanh no sau ăn và nghi ngờ có tràn dịch ổ bụng, người bệnh cần phải tới ngay các cơ sở y tế để được xem xét có tình trạng tràn dịch ổ bụng hay không.

Nếu có tràn dịch ổ bụng, người bệnh cần làm các xét nghiệm chuyên sâu để xác định nguyên nhân chính xác gây xuất hiện dịch trong ổ bụng. Trường hợp do lao, người bệnh sẽ được điều trị bằng thuốc theo phác đồ điều trị bệnh lao của Bộ Y tế. Tuy nhiên, nếu phát hiện bệnh ở giai đoạn muộn, các biến chứng xuất hiện thì người bệnh cần phải can thiệp ngoại khoa.
(*) Tên bệnh nhân đã được thay đổi
HỆ THỐNG BỆNH VIỆN ĐA KHOA TÂM ANH