Sau 14 ngày điều trị kết hợp kháng thể đơn dòng và hóa trị, các khối u đã thu nhỏ còn 1/3, người bệnh tăng cân và không gặp tác dụng phụ từ hóa trị.

TS.BS Vũ Hữu Khiêm, Trưởng khoa Ung bướu Bệnh viện Đa khoa Tâm Anh Hà Nội cho biết, bệnh nhân ung thư đại trực tràng giai đoạn IV được áp dụng phác đồ điều trị hóa chất tân bổ trợ Bevacizumab-mFOLFOX6 (hóa trị trước phẫu thuật) nhằm thu nhỏ kích thước khối u trước khi tiến hành phẫu thuật cắt đoạn trực tràng chứa u. Trong đó Bevacizumab là một loại kháng thể đơn dòng, có tác dụng làm giảm tăng sinh mạch máu, giảm cấp máu nuôi dưỡng đến khối u, khối u bị “bỏ đói” từ đó dễ dàng bị hóa chất tiêu diệt. Phương pháp này có hiệu quả điều trị với ung thư đại trực tràng và nhiều loại khối u đặc khác. Việc kết hợp Bevacizumab và hóa trị cũng giúp tăng tỷ lệ đáp ứng cho bệnh nhân ung thư giai đoạn di căn.
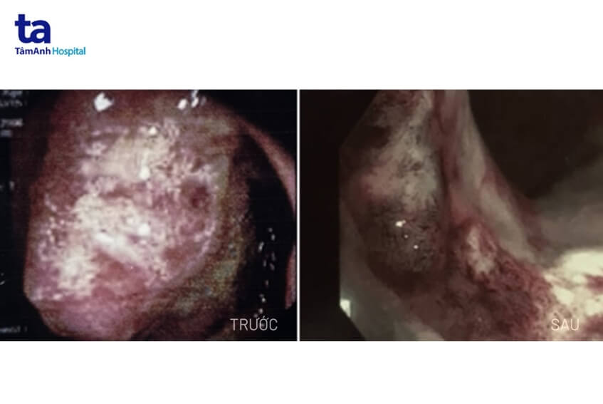
Theo bác sĩ Khiêm, sau 6 đợt điều trị hóa chất, khối u lớn ở phần đại tràng đã thu nhỏ còn 6mm so với kích thước ban đầu là 15mm, hạch to nhất cũng giảm từ 30x22mm còn 5x7mm, bờ gồ nhẹ, đèn nội soi đã đi qua được. Người bệnh không gặp tác dụng phụ từ các đợt hóa trị, tăng cân tốt, ăn ngủ được, đại tiện hoàn toàn bình thường và không còn hạch cổ.
Đặc biệt, bác sĩ Khiêm cho biết chỉ số xét nghiệm định lượng CEA (chất chỉ điểm ung thư đường tiêu hóa) trong máu của bệnh nhân trước nhập viện rất cao (150 ng/mL), nhưng sau điều trị các kết quả đã về mức bình thường, với CEA là 2.6ng/mL, CA 19-9 là 15.9U/mL. 6 hạch vùng tiểu khung không tăng chuyển hóa FDG nhờ đáp ứng tốt với phương pháp điều trị. Ngoài ra chưa phát hiện hình ảnh tăng chuyển hóa FDG khu trú bất thường nghi ngờ khối u di căn tại các vị trí khác trên cơ thể (gan, não, phổi…) trên hình ảnh PET/CT được chụp đánh giá sau điều trị.

Đặc biệt, sau khi phẫu thuật cắt đoạn đại trực tràng – vét hạch, quan sát lúc mổ và trên kính hiển vi, các bác sĩ không còn thấy khối u và tế bào ung thư tại vị trí giường khối u, 7/7 hạch và diện cắt hai đầu âm tính (ypT0 ypN0 LVI0 R0), khối u đáp ứng hoàn toàn với điều trị tiền phẫu, TRS 0 theo quy chuẩn của Ủy ban Ung thư Hoa Kỳ (AJCC).
Nửa năm trước, ông Vũ Hữu Trung (60 tuổi, ngụ Ninh Bình) đi khám hậu Covid-19 tại bệnh viện địa phương, phát hiện có hạch ở xương đòn. Sau khi tiến hành các xét nghiệm, bác sĩ chẩn đoán ông bị ung thư trực tràng, dạng ung thư biểu mô tuyến xâm nhập, di căn hạch thượng đòn trái, tiên lượng xấu.
Tháng 10/2022, ông Trung tới khám tại khoa Ung bướu, Bệnh viện Đa khoa Tâm Anh Hà Nội. Bác sĩ Khiêm cho biết, bệnh nhân có nhiều hạch vùng cổ, hạch lớn nhất kích thước 35x20mm nằm ở hố thượng đòn trái. Trước khi phát hiện khối u, sức khỏe của bệnh nhân hoàn toàn bình thường.
Kết quả nội soi đại trực tràng ghi nhận có một tổ chức khối u lớn cách rìa hậu môn 10cm, chiếm gần hết chu vi lòng trực tràng (nguyên nhân dẫn tới tình trạng khuôn phân dẹt, đại tiện khó); bề mặt khối u chia múi nham nhở, dễ chảy máu. Ngoài ra, bệnh nhân còn có nhiều hạch to ở ổ bụng, nhiều hạch thượng đòn 2 bên, hạch trung thất, may mắn khối u chưa di căn đến phổi và não. Bệnh nhân được chẩn đoán bị ung thư trực tràng giai đoạn IV, thuộc loại ung thư biểu mô tuyến xâm nhập.

Trước tình trạng khối u của bệnh nhân đã di căn sang nhiều vị trí phức tạp, việc lựa chọn phương pháp điều trị được tính toán rất kỹ. Bác sĩ Khiêm cùng các bác sĩ chuyên khoa Ung bướu kết hợp với bác sĩ khoa Ngoại tổng hợp, Khoa nội tiêu hóa, Trung tâm chẩn đoán hình ảnh và Trung tâm Giải phẫu bệnh, tiến hành hội chẩn để đưa ra quyết định điều trị tối ưu nhất.
Theo bác sĩ Khiêm, phác đồ điều trị hóa chất tân bổ trợ được áp dụng trong trường hợp này giúp giảm độ xâm lấn khối u, khiến khối u teo nhỏ hoặc biến mất, giúp việc phẫu thuật dễ dàng, có thể cắt bỏ hoàn toàn khối u, duy trì chức năng tại chỗ của cơ quan, kéo dài và nâng cao chất lượng cuộc sống sau phẫu thuật. Với trường hợp bệnh nhân Trung, các loại thuốc được sử dụng đều có sẵn tại bệnh viện, nên quá trình điều trị đẩy nhanh liên tục, không bị đứt quãng gây ảnh hưởng hiệu quả điều trị. Đặc biệt, người bệnh đáp ứng hoàn toàn và không bị tác dụng phụ của hóa trị, tạo điều kiện thuận lợi cho quá trình phẫu thuật cắt bỏ khối u sau đó.
Tuy nhiên, bác sĩ Khiêm nhấn mạnh, không phải bệnh nhân nào cũng có thể đáp ứng với phương pháp này. Do đó, Bệnh viện Đa khoa Tâm Anh đã thành lập Hội đồng Y khoa – Tumor Board, với sự tham gia và phối hợp chặt chẽ giữa các bác sĩ, các chuyên gia đầu ngành về Ngoại khoa, Ung bướu, Giải phẫu bệnh và Chẩn đoán hình ảnh… kết hợp hội chẩn với các Bệnh viện Ung bướu hàng đầu tại Nhật Bản, Hoa Kỳ nhằm lựa chọn phác đồ điều trị cá thể hóa, hiệu quả cho từng người bệnh.
Xem thêm: Ung thư đại tràng: Nguyên nhân, dấu hiệu và điều trị.

“Kết quả điều trị sẽ phụ thuộc vào nhiều yếu tố, đặc biệt là giai đoạn bệnh, phát hiện sớm khả năng chữa khỏi sẽ cao hơn, nên việc sàng lọc ung thư đại trực tràng có ý nghĩa rất quan trọng”, bác sĩ Khiêm nói.
Theo thống kê của Tổ chức Y tế Thế giới (WHO) năm 2020, ung thư đại trực tràng xếp thứ 3, với gần 2 triệu ca (chiếm 10%) trong số ca mắc mới và đứng hàng thứ 2 về số ca tử vong với gần 1 triệu ca (chiếm 9,4%). Tại Việt Nam, năm 2020, ung thư đại trực tràng đứng hàng thứ 5 về cả số ca mới mắc và tử vong với hơn 16.000 ca (chiếm 9%) và hơn 8.000 ca tử vong (chiếm 6,9%).
HỆ THỐNG BỆNH VIỆN ĐA KHOA TÂM ANH