Bảng phân độ Tirads tuyến giáp là hình thức phân loại các mức độ tổn thương của tuyến giáp trên hình ảnh siêu âm, giúp bác sĩ đánh giá tính chất, nguy cơ ác tính của khối u, từ đó có phác đồ điều trị phù hợp. Dưới đây là các thông tin về hệ thống phân loại này, được ThS.BS.CKII Đoàn Minh Trông, khoa Ngoại vú – Đầu Mặt Cổ, Bệnh viện Đa khoa Tâm Anh TP.HCM chia sẻ.
Phân loại Tirads là gì?
Phân loại Tirads (Thyroid Imaging Reporting and Data System) là hệ thống phân loại trên siêu âm tuyến giáp nhằm đánh giá nguy cơ ác tính của nhân giáp, từ đó giúp bác sĩ quyết định có cần chọc hút tế bào bằng kim nhỏ (FNA) hay chỉ cần theo dõi.
Phân loại Tirads là hệ thống phân loại trên siêu âm tuyến giáp nhằm đánh giá nguy cơ ác tính của nhân giáp.
So sánh các hệ thống phân loại Tirads trên thế giới
Hiện trên thế giới có nhiều hệ thống phân loại, như:
ACR-Tirads (Mỹ): hệ thống báo cáo dữ liệu hình ảnh tuyến giáp của Hội Điện quang các trường đại học Mỹ (ACR American college of radiology) đề xuất. Hệ thống phân loại này dựa trên 5 đặc điểm siêu âm, tính điểm để xác định nguy cơ ác tính và hướng xử trí, cụ thể: (1)
Thành phần:
Nang: 0 điểm.
Xốp: 0 điểm.
Hỗn hợp nang – đặc: 1 điểm.
Dạng đặc hoặc hầu hết là đặc: 2 điểm.
Độ hồi âm:
Hồi âm trống: 0 điểm.
Hồi âm dày hoặc đồng hồi âm: 1 điểm.
Hồi âm kém: 2 điểm.
Hồi âm rất kém: 3 điểm.
Hình dạng:
Chiều rộng > chiều cao: 0 điểm.
Chiều cao > chiều rộng: 3 điểm.
Đường, bờ:
Đều, rõ: 0 điểm.
Khó xác định: 0 điểm.
Phân thùy hoặc không đều: 2 điểm.
Phát triển ra ngoài tuyến: 3 điểm.
Kiểu vôi hóa:
Không có vôi hoặc vôi hóa đuôi sao chổi: 0 điểm.
Vôi hóa to: 1 điểm.
Vôi hóa ngoại biên: 2 điểm.
Những nốt hồi âm dày lấm tấm: 3 điểm.
Hướng xử trí:
0 điểm – Tirads 1: lành tính, không cần FNA.
2 điểm – Tirads 2: không nghi ngờ ác tính, không cần FNA.
3 điểm – Tirads 3: nghi ngờ ác tính khả năng thấp. FNA nếu kích thước nhân ≥ 2,5cm. Theo dõi nếu kích thước nhân ≥ 1,5cm.
4 – 6 điểm – Tirads 4: nghi ngờ ác tính khả năng trung bình. FNA nếu kích thước nhân ≥ 1,5cm. Theo dõi nếu kích thước nhân ≥ 1cm.
≥ 7 điểm – Tirads 5: nghi ngờ ác tính khả năng cao. FNA nếu kích thước nhân ≥ 1cm. Theo dõi nếu kích thước nhân ≥ 0,5cm.
Ưu điểm của ACR-Tirads là rất chi tiết, có thang điểm cụ thể, giúp chuẩn hóa quy trình chẩn đoán.
EU-Tirads (châu Âu): được Hiệp hội Tuyến giáp châu Âu thiết kế. Hệ thống phân loại này dựa trên hình thái nốt tuyến giáp (chiều cao lớn hơn chiều rộng, hồi âm, đường bờ, vôi hóa) để phân loại thành 5 mức độ:
Tirads 1: tuyến giáp bình thường (không có nhân).
Tirads 2: nhân giáp lành tính, nguy cơ ác tính rất thấp.
Tirads 3: nguy cơ ác tính thấp, từ 2% – 4% (nhân đồng âm hoặc tăng âm, bờ đều, không vi vôi hóa, không cao hơn rộng).
Tirads 4: nguy cơ ác tính trung bình, từ 6% – 17% (nhân giảm âm, bờ đều, không dấu hiệu nghi ngờ cao).
Tirads 5: nguy cơ cao, từ 26% – 87% (giảm âm mạnh và có từ 1 đặc điểm nghi ngờ trở lên, gồm: bờ không đều, vi vôi hóa, hình dạng cao hơn rộng, xâm lấn ngoài bao).
Ưu điểm của hệ thống này là đơn giản, dễ áp dụng trong thực hành lâm sàng, nhưng nhược điểm là ít chi tiết, có thể bỏ sót một số trường hợp nghi ngờ.
K-Tirads (Hàn Quốc): là hệ thống được Hội Điện quang tuyến giáp Hàn Quốc và Hội Tuyến giáp Hàn Quốc đề xuất, dựa trên các đặc điểm nghi ngờ ác tính và kích thước nốt tuyến giáp để phân loại và đánh giá, gồm:
Tirads 1: tuyến giáp bình thường.
Tirads 2: nhân giáp lành tính (nang, nhân dạng bọt biển).
Tirads 3: nguy cơ ác tính thấp, từ 3% – 4% (nhân tăng âm hoặc đồng âm, bờ đều, không nghi ngờ).
Tirads 4: nguy cơ ác tính trung bình, từ 15% – 30% (nhân giảm âm, nhưng chưa có đặc điểm nghi ngờ ác tính cao).
Tirads 5: nguy cơ cao, từ 60% – 80% (giảm âm và có từ 1 đặc điểm nghi ngờ trở lên: bờ không đều, vi vôi hóa, hình dạng cao hơn rộng, xâm lấn).
Ưu điểm của hệ thống này là dựa trên nghiên cứu ở châu Á, phù hợp với vùng có tỷ lệ ung thư tuyến giáp cao. Nhưng hệ thống này cũng có nhược điểm là có thể khuyến nghị sinh thiết nhiều hơn mức cần.
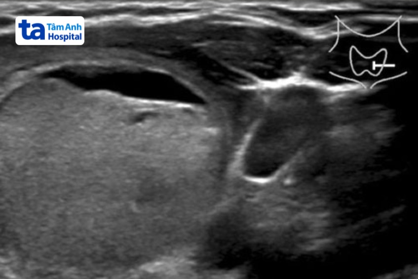
Hình ảnh nhân giáp được phân loại Tirads 3.
Các phân độ Tirads thường gặp
Theo phân loại ACR-Tirads, nhân tuyến giáp được chia làm các mức từ 1 – 5, cụ thể:
Tirads 1: nhân giáp lành tính, không có nguy cơ và không cần theo dõi.
Tirads 2: nhân giáp lành tính, không có nguy cơ ác tính, không cần sinh thiết.
Tirads 3: nhân giáp không có đặc điểm đáng ngờ trên siêu âm, nhiều khả năng lành tính, chỉ khoảng 1,7% nguy cơ ác tính.
Tirads 4: gồm 3 nhóm:
Tirads 4a: có 1 đặc điểm nghi ngờ, nguy cơ ác tính thấp, khoảng 3,3%.
Tirads 4b: có 2 đặc điểm nghi ngờ, nguy cơ ác tính trung bình, khoảng 9,2%.
Tirads 4c: có 3 hoặc 4 đặc điểm nghi ngờ, mức độ lo ngại vừa phải nhưng không phải là điển hình cho ác tính, nguy cơ ác tính 44,4% – 72,4%.
Tirads 5: có từ 5 đặc điểm nghi ngờ trở lên, nguy cơ ác tính cao > 87,5%.
Có nên áp dụng phân độ Tirads trong lâm sàng không?
Nên áp dụng phân độ Tirads trong lâm sàng, bởi hệ thống phân loại này hỗ trợ các bác sĩ rất nhiều trong quá trình chẩn đoán:
Giúp chuẩn hóa kết quả siêu âm tuyến giáp, giúp mô tả tổn thương rõ ràng, dễ hiểu, thống nhất giữa các cơ sở y tế.
Giúp xác định kích thước, mức độ nghi ngờ nhân giáp để chỉ định FNA, giảm nguy cơ can thiệp không cần thiết, giảm chi phí và sự lo lắng của người bệnh.
Hỗ trợ ước tính nguy cơ ung thư tuyến giáp.
Được ứng dụng rộng rãi và đã được chứng minh hiệu quả trên lâm sàng.
Phân loại Tirads giúp chuẩn hóa kết quả siêu âm tuyến giáp giữa các cơ sở y tế, hỗ trợ ước tính nguy cơ ung thư tuyến giáp và đã được chứng minh hiệu quả trên lâm sàng.
Tirads có thể chẩn đoán chính xác ung thư giáp không?
Cách phân loại này không thể chẩn đoán chính xác ung thư giáp. Hệ thống này chỉ giúp phân tầng nguy cơ trên siêu âm, giúp ước lượng nguy cơ ác tính của nhân tuyến giáp, không phải là phương pháp chẩn đoán xác định. Độ nhạy và độ đặc hiệu của hệ thống này dao động khoảng 70% – 90% tùy hệ thống.
Nhìn chung, hệ thống này không thể thay thế được kết quả sinh thiết, chỉ có giá trị cao trong loại trừ ung thư ở nhóm nguy cơ thấp và xác định nhóm nguy cơ cao cần can thiệp, giúp bác sĩ quyết định có cần FNA tuyến giáp hay chỉ theo dõi.
Hệ thống Tirads chỉ giúp ước lượng nguy cơ ác tính của nhân tuyến giáp, không phải là phương pháp chẩn đoán xác định ung thư tuyến giáp.
Phụ nữ mang thai có thể làm siêu âm Tirads không?
Phụ nữ mang thai vẫn có thể siêu âm và áp dụng phân loại nhân giáp theo hệ thống này. Siêu âm tuyến giáp là phương pháp chẩn đoán hình ảnh không xâm lấn, chỉ sử dụng sóng âm, do đó tuyệt đối an toàn cho phụ nữ mang thai và thai nhi.
HỆ THỐNG BỆNH VIỆN ĐA KHOA TÂM ANH
Bệnh viện Đa khoa Tâm Anh Hà Nội:
108 Phố Hoàng Như Tiếp, Phường Bồ Đề, TP. Hà Nội
(Đ/c cũ: 108 Hoàng Như Tiếp, P.Bồ Đề, Q.Long Biên, TP. Hà Nội)
Trên đây là các bảng phân độ Tirads tuyến giáp được áp dụng phổ biến nhất. Hệ thống phân loại này là công cụ đắc lực, hỗ trợ bác sĩ xác định nguy cơ ác tính của nhân giáp, nhằm quyết định sinh thiết hay chỉ cần theo dõi, nhờ đó giảm nguy cơ can thiệp không cần thiết và hỗ trợ theo dõi bệnh lâu dài.
Cập nhật lần cuối: 13:30 28/11/2025
Chia sẻ:
Nguồn tham khảo
Atar, C., Dalcı, K., Aktar, Y., Totik, N., Topal, U., Eray, İ. C., Akçam, A. T., & Sakman, G. (2024). Correlation of TIRADS scoring in thyroid nodules with preoperative fine needle aspiration biopsy and postoperative specimen pathology. Head & Neck, 46(4), 849–856. https://doi.org/10.1002/hed.27622