Hiện nay, kỹ thuật chụp PET CT (hay CT PEP) đang ngày càng được ứng dụng rộng rãi. Chụp PET CT có ưu điểm lớn trong việc giúp phát hiện, chẩn đoán và điều trị các bệnh lý ung thư, mang đến cơ hội sống cao hơn cho người bệnh.
Bài viết được tư vấn chuyên môn bởi bác sĩ, chuyên gia tại Hệ thống Bệnh viện Đa khoa Tâm Anh

Kỹ thuật chụp PET/CT là gì, chụp PET/CT để làm gì và vì sao kỹ thuật này được xem như hy vọng vàng của bệnh nhân ung thư? Liệu chụp CT PET có đau và nguy hiểm hay không? Chụp PET CT mất bao lâu?… Đây là những câu hỏi được nhiều người quan tâm khi nhắc đến kỹ thuật chẩn đoán hình ảnh này. Mời bạn cùng tìm hiểu những thông tin cơ bản về phương pháp chụp PET CT trong bài viết sau đây.
Chụp PET CT (Positron Emission Tomography and Computed Tomography) hay chụp ghi hình cắt lớp positron là một kỹ thuật chẩn đoán hình ảnh tân tiến ứng dụng các kỹ thuật y học hạt nhân, mang lại những hiệu quả ưu việt hơn phần lớn các kỹ thuật chẩn đoán hình ảnh phổ biến.
Cấu tạo một chiếc máy CT PET trông có rất nhiều điểm tương đồng với một chiếc máy cắt lớp vi tính (CT) hay máy cộng hưởng từ (MRI) thông thường. Điểm khác biệt nằm ở phương thức hoạt động.
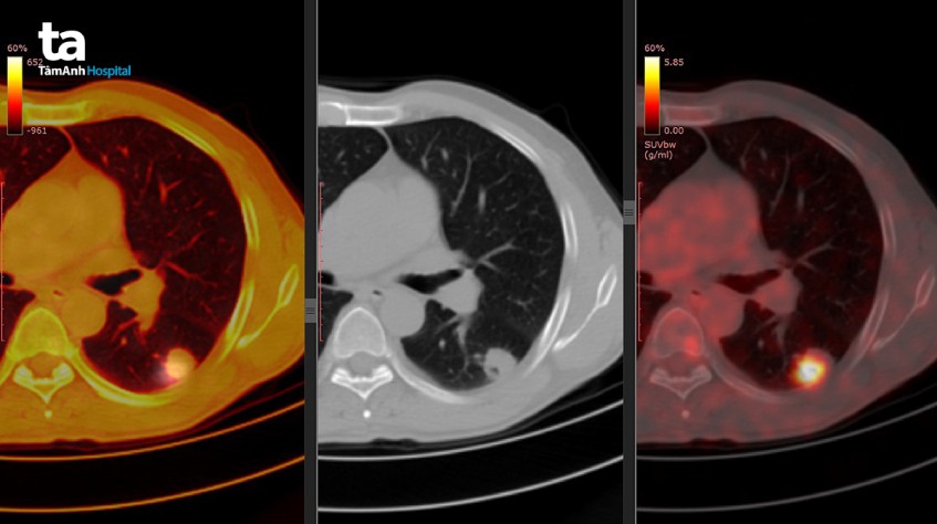
Bằng việc đưa vào tĩnh mạch một chất chỉ điểm phóng xạ, hoạt chất này xuất hiện ở những khối u hoặc vị trí đang có quá trình viêm. Quá trình nhiễu xạ của hoạt chất này được buồng thu tín hiệu của máy CT PET ghi nhận lại và tái tạo thành hình ảnh. Hiện nay loại chất thường được sử dụng nhất là FDG, một loại chất có cấu trúc giống với phân tử đường glucose (nguồn dinh dưỡng chính của các tế bào). Thông qua định vị và định lượng hợp chất này, các chuyên gia dễ dàng tìm được các ổ viêm hoặc những tế bào ung thư di căn đến những nơi khó phát hiện nhất.(1)

Trong phần lớn các bệnh lý, các phương pháp chẩn đoán hình ảnh phổ biến như cắt lớp vi tính (CT) hay chụp cộng hưởng từ (MRI) có thể đáp ứng phần lớn các chẩn đoán. Tuy nhiên PET CT scan vẫn giữ vị thế ưu việt riêng khi ứng dụng loại ảnh này được ở một số chuyên khoa sâu như sau:
Tế bào nào cũng sử dụng đường glucose để tạo ra năng lượng. Điều này cũng đúng ở tế bào ung thư. Tuy nhiên, với tốc độ phát triển cực nhanh của tế bào ung thư, chúng “háu ăn” đường glucose hơn tất cả các tế bào khác trong cơ thể. Chính vì thế việc đưa một chất chỉ điểm phóng xạ có cấu trúc giống glucose, như FDG (18-fluorodeoxyglucose), sẽ nhạy với các tế bào ung thư này. Từ đó chỉ điểm cho các bác sĩ biết các dòng tế bào nguy hiểm này đang ở đâu để chuẩn bị kế hoạch điều trị phù hợp. (3)
Chụp PET vừa có thể phát hiện được khối u nguyên phát, nơi biểu hiện chính của khối ung thư, vừa rất nhạy trong việc phát hiện sự di căn của khối u này. Ngoài ra việc áp dụng CT PET có thể giúp trả lời cho các câu hỏi:

Ngoài ứng dụng thế mạnh trong các bệnh lý ung thư, ngày này việc ứng dụng PET CT còn mang lại những kế hoạch điều trị sớm hơn, dự phòng tốt hơn trong bệnh lý tim mạch. Trong đó vấn đề được quan tâm nhiều nhất đó là thiếu máu cơ tim.
Một số ứng dụng của chụp PET CT trong bệnh lý hệ tim mạch bao gồm:
Một số thế hệ sau này của PET CT đã kế thừa những ưu điểm của kỹ thuật tiền nhiệm, hiện đã và đang được ứng dụng dần ở các trung tâm tim mạch lớn như SPECT, PET-MRI,…
Trong các bệnh lý hệ thần kinh, PET CT có thể ứng dụng để đánh giá hệ thống mạch máu cũng như khả năng cung cấp oxy đến các mô ở não bộ, chẳng hạn như nhóm bệnh lý đột quỵ, sa sút trí tuệ, rối loạn trí nhớ, co giật, hay khối u trong não…
Một số chất dẫn truyền thần kinh cũng được dùng để định vị thông qua PET CT có thể kể đến như dopamine trong chẩn đoán bệnh Parkinson.
CT PET không phải là một chỉ định thường xuyên ở các phòng khám hay bệnh viện. Xuất phát từ ưu điểm của mình mà phương pháp chụp PET CT được chỉ định trong một số tình huống sau:
Tùy theo bệnh lý chuyên biệt mà bác sĩ chuyên khoa sẽ tư vấn và đưa chỉ định phù hợp.

Bất cứ phương pháp gì cũng có ưu và khuyết điểm riêng, chụp PET CT hay CT PET cũng vậy. Người bệnh cần được biết một số ưu và nhược điểm sau đây của kỹ thuật chẩn đoán hình ảnh ưu việt này:
Sau khi được tư vấn và chỉ định thực hiện chụp PET CT, người bệnh cần lưu ý một số điều như sau: (2)

Một số tình huống mà bạn cần trao đổi với bác sĩ trước khi thực hiện chụp CT PET:
Trước khi bắt đầu chụp, bác sĩ sẽ yêu cầu người bệnh nằm lên băng ca nghỉ ngơi, đánh giá lại một số tiền căn được lưu ý phía trên, sau đó sẽ tiến hành tiêm chất chỉ điểm phóng xạ vào tĩnh mạch ở tay.
Tùy vào mỗi người bệnh mà lượng thuốc tiêm vào cần khoảng 30-60 phút để khuếch tán khắp nơi trong cơ thể và cũng là thời gian cần thiết để các tế bào “tiêu thụ” chất chỉ điểm phóng xạ. Trong khoảng thời gian này, người bệnh cần nằm nghỉ ngơi yên tĩnh, tránh phải cử động hay trò chuyện. (4)
Trong một số tình huống cần thiết, bác sĩ sẽ yêu cầu bạn uống dung dịch cản quang. Việc này giúp phân biệt đường tiêu hóa với những cấu trúc khác. Tuy nhiên đây không phải là một bước thường hay thực hiện.
Sau khoảng thời gian khuếch tán, bạn sẽ được đưa vào buồng PET CT scanner để bắt đầu chụp. Thời gian chụp trong buồng máy dao động khoảng từ 20-30 phút tùy thuộc vào mục tiêu cần đánh giá của bác sĩ là một cơ quan hay toàn thân.
Đối với nhóm bệnh lý tim mạch, thời gian thực hiện có thể sẽ dài hơn từ 2-3 giờ đồng hồ. Vì người bệnh cần chụp PET 2 lần trước và sau khi can thiệp nhằm khảo sát vùng cơ tim bị thiếu máu trước và sau khi điều trị.

Nếu như không có thêm yêu cầu nào khác, người bệnh hoàn toàn có thể về và sinh hoạt bình thường sau khi thực hiện chụp PET.
Một lượng rất nhỏ chất chỉ điểm còn tồn đọng trong cơ thể người bệnh, và sẽ được lọc qua nước tiểu và phân. Do vậy bạn cần lưu ý phải uống thật nhiều nước sau khi chụp để cơ thể mau thanh lọc lượng chất chỉ điểm phóng xạ đã tiêm.
PET CT và chụp cắt lớp vi tính về cấu tạo và máy móc có phần giống nhau, cũng bao gồm một buồng chụp, máy phát và thu nhận tia X. Tuy nhiên kỹ thuật chụp thì khác nhau. PET CT tương đương với 2 kỹ thuật vừa chụp CT vừa kèm theo có dùng chất chỉ điểm phóng xạ positron (Positron Emission Tomography) để xác định vị trí.
Về mặt chức năng, kỹ thuật CT chỉ cho bác sĩ thấy về mặt cấu trúc các cơ quan trong cơ thể, qua đó cũng có thể quan sát được khối u khi chúng ở một kích thước nhất định. Trái lại PET CT có thể thấy những khối u ở kích thước nhỏ hơn, các nốt di căn xa mà kỹ thuật CT không phát hiện. Đồng thời việc định lượng mật độ của chất chỉ điểm còn cho phép gợi ý một khối u là lành hay ác.
Một số nguy cơ khi thực hiện PET CT scan bao gồm:
Do lượng phóng xạ còn tồn dư trong cơ thể người bệnh không cao, và hoàn toàn được thanh thải sau một vài ngày. Nên người bệnh không cần phải cách ly sau khi chụp CT PET.
Thông thường kết quả chụp CT PET sẽ có trong vòng 2-5 ngày sau khi chụp. Bác sĩ sẽ có lịch hẹn tái khám cho người bệnh vào ngày nhận kết quả, để có thể thảo luận về những phương án điều trị tiếp theo.
Nhìn chung, chi phí chụp PET CT tương đối cao. Chi phí cho mỗi lần chụp có thể dao động trong khoảng từ 20.000.000 – 25.000.000 VNĐ. Tùy theo cơ sở y tế mà chi phí này có thể thay đổi. Chẳng hạn như khi người bệnh chụp PET CT tại các bệnh viện lớn, có thiết bị máy móc hiện đại thì chi phí thực hiện sẽ cao hơn.
*Lưu ý bảng giá dịch vụ trên đây là bảng giá tham khảo tại thời điểm cập nhật bài viết. Khách hàng vui lòng liên hệ trực tiếp bệnh viện để được tư vấn cụ thể về chi phí tại thời điểm khách hàng sử dụng dịch vụ.
Khi chụp PET CT, người bệnh nên lựa chọn các bệnh viện hoặc cơ sở y tế uy tín, đặc biệt là các bệnh viện lớn chuyên điều trị ung thư, để quá trình chụp được diễn ra nhanh chóng và thuận lợi hơn, không để lại tác dụng phụ đối với người bệnh.
Hiểu rõ vai trò quan trọng của chẩn đoán hình ảnh trong phát hiện sớm các thương tổn, hỗ trợ việc chẩn đoán chính xác bệnh, Bệnh viện Đa khoa Tâm Anh Hà Nội đầu tư xây dựng cơ sở vật chất khang trang, hệ thống trang thiết bị và máy móc hiện đại, đảm bảo thực hiện các bước chẩn đoán hình ảnh, theo dõi và chăm sóc tốt nhất cho bệnh nhân theo các tiêu chuẩn quốc tế.
Trong đó, nổi bật là hệ thống PET/CT Discovery IQ Gen 2, thiết bị chẩn đoán hình ảnh chuyên sâu trong lĩnh vực ung bướu, tim mạch, thần kinh… với khả năng phát hiện những tổn thương rất nhỏ, đánh giá mức độ lan rộng và theo dõi đáp ứng điều trị chính xác. Việc trang bị công nghệ PET/CT thế hệ mới này góp phần nâng cao chất lượng tầm soát và chẩn đoán các bệnh lý phức tạp. Đồng thời khẳng định thế mạnh vượt trội của Bệnh viện Đa khoa Tâm Anh trong lĩnh vực chẩn đoán chuyên sâu.
Dịch vụ chụp PET/CT tại Bệnh viện Đa khoa Tâm Anh Hà Nội được tổ chức theo quy trình chuyên nghiệp, phối hợp chặt chẽ đa chuyên khoa với đội ngũ bác sĩ, điều dưỡng, kỹ thuật viên giàu kinh nghiệm. Đặc biệt, người bệnh được hưởng quyền lợi thanh toán BHYT (*), hỗ trợ người bệnh tiếp cận dịch vụ y tế chất lượng cao với mức chi phí hợp lý.
(*) Áp dụng trong một số trường hợp.
Để đặt lịch thăm khám, tư vấn các vấn đề về sức khỏe tại Hệ thống Bệnh viện Đa khoa Tâm Anh, Quý khách vui lòng liên hệ:
HỆ THỐNG BỆNH VIỆN ĐA KHOA TÂM ANH
Chụp PET CT được đánh giá là một kỹ thuật chẩn đoán hình ảnh tân tiến, mang đến hiệu quả cao trong chẩn đoán nhiều bệnh lý nghiêm trọng. Vì thế, biện pháp này ngày càng được ứng dụng nhiều hơn và được kỳ vọng trở thành phương pháp chẩn đoán bệnh lý phổ biến trong tương lai. Nếu người bệnh được chỉ định chụp PET CT, hãy thả lỏng, không lo lắng và phối hợp với kỹ thuật viên trong phòng chụp để có kết quả chụp tốt nhất.