Ca phẫu thuật do PGS.TS Trần Văn Hinh, Trưởng khoa Tiết niệu – Nam học, Bệnh viện Đa khoa Tâm Anh Hà Nội thực hiện đã giúp giải quyết đồng thời tình trạng hẹp niệu quản và sỏi niệu quản, chấm dứt những cơn đau khiến người bệnh mệt mỏi trong thời gian dài.

“Điều khiến tôi yên tâm không chỉ là trình độ chuyên môn mà còn là phong thái bình tĩnh, sự tận tâm trong từng lời giải thích của bác sĩ. Khi nằm trên bàn thủ thuật, nghe thầy nói nhẹ nhàng: ‘Anh cứ yên tâm, chúng tôi sẽ làm hết sức’, tôi bỗng thấy lòng mình nhẹ hẳn đi. Đôi khi, niềm tin vào thầy thuốc chính là sức mạnh để người bệnh vượt qua lo lắng”, ông Nguyễn Sơn Hồng (1971, Bắc Ninh) viết trong bức thư gửi về Bệnh viện Đa khoa Tâm Anh. Đây là người bệnh vừa được PGS.TS.BSCKII Trần Văn Hinh, Trưởng khoa Tiết niệu – Nam học phẫu thuật giải quyết tình trạng hẹp niệu quản và sỏi niệu quản thành công.
Trước đó, ông Hồng đến khám sau thời gian dài đau âm ỉ vùng thắt lưng trái, kèm theo cảm giác mệt mỏi gây ảnh hưởng nghiêm trọng đến chất lượng sống của người bệnh. “Những cơn đau âm ỉ, giấc ngủ chẳng trọn vẹn, lại thêm nỗi sợ biến chứng luôn đeo bám khiến tôi quyết định đi khám. Sau khi tìm hiểu một số bệnh viện, tôi quyết định chọn Bệnh viện Đa khoa Tâm Anh Hà Nội. Bây giờ nhìn lại tôi thấy đó là lựa chọn đúng đắn của mình”, ông chia sẻ.
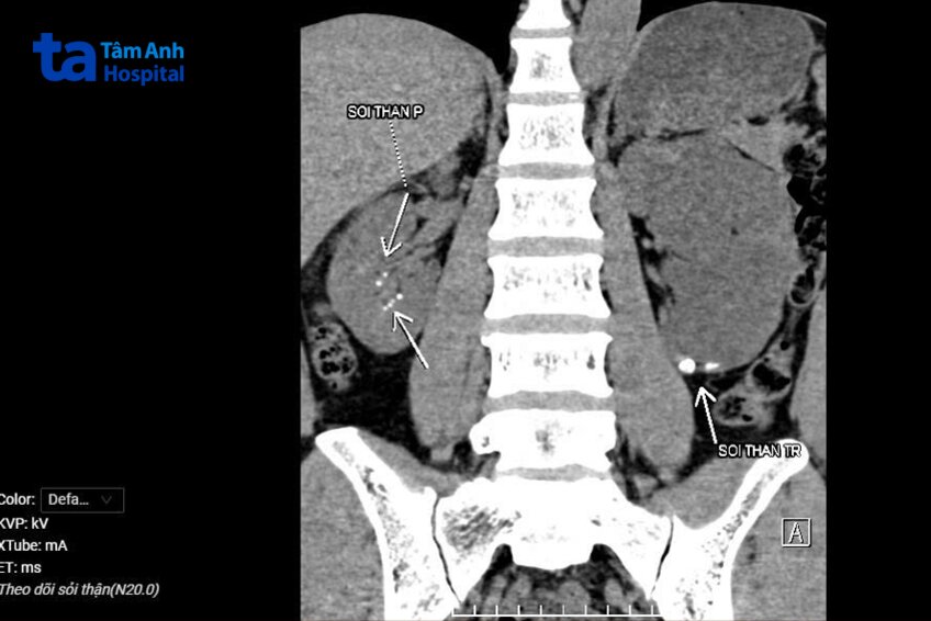
Kết quả chụp cắt lớp vi tính hệ tiết niệu cho thấy thận trái của người bệnh ứ nước nặng, nhu mô thận mỏng, chức năng bài xuất giảm. Ở đoạn niệu quản trái bắt chéo động mạch chậu có viên sỏi kích thước khoảng 5×6 mm, kèm theo nghi ngờ có hẹp niệu quản phía dưới sỏi. Ngoài ra, ở đài dưới thận trái cũng có vài viên sỏi nhỏ, ở thận phải, kích thước nhu mô bình thường, chức năng thận còn bảo tồn, đài bể thận không giãn, rải rác các đài thận có các viên sỏi nhỏ.

Bác sĩ Hinh đánh giá cần ưu tiên xử lý nguyên nhân tắc nghẽn ở niệu quản trái khiến thận trái ứ nước nặng, suy giảm chức năng. Sau khi hội chẩn, các bác sĩ thống nhất lựa chọn can thiệp qua nội soi niệu quản ngược dòng với mục tiêu vừa giải quyết sỏi vừa xử lý đoạn hẹp để khôi phục lưu thông nước tiểu từ thận xuống bàng quang cho người bệnh mà không cần rạch vết mổ trên người.
Khi tiến hành đưa ống soi vào niệu quản trái, đến đoạn 1/3 giữa – dưới, bác sĩ nhận thấy lòng niệu quản có tình trạng xơ hẹp khiến quá trình đưa máy tiếp cận sỏi gặp khó khăn. Ê-kíp phẫu thuật đã thực hiện xẻ vị trí hẹp bằng laser tần số cao, mở rộng lòng niệu quản để có thể đưa ống soi qua. Ngay phía trên đoạn hẹp, bác sĩ phát hiện có một viên sỏi, ngay sau đó viên sỏi được tán vụn bằng laser, toàn bộ các mảnh vụn được lấy ra ngoài niệu quản.
Sau đó bác sĩ Hinh kiểm tra lại toàn bộ niệu quản cho tới bể thận để đảm bảo phẫu thuật an toàn và có kết quả tốt nhất. Một sonde JJ có lớp phủ bề mặt đặc biệt, tránh đóng cặn theo thời gian, được đặt ngược dòng vào lòng niệu quản trái, với 2 đầu cố định trong bể thận và bàng quang, nhằm giữ sự lưu thông bể thận – niệu quản trái được ổn định, hạn chế nguy cơ tái hẹp.

Ca mổ diễn ra thành công, an toàn, người bệnh được theo dõi sát sau mổ tại phòng hồi tỉnh và tiếp tục điều trị hậu phẫu tại khoa Tiết niệu – Nam học. Ông Hồng hồi phục nhanh, không còn cảm giác đau tức vùng thắt lưng, không sốt, ăn uống tốt, cảm giác mệt mỏi không còn sau 1 ngày hậu phẫu, tinh thần của ông cải thiện rõ. Các xét nghiệm sau mổ ghi nhận chỉ số chức năng thận cải thiện. Người bệnh được xuất viện sau hai ngày, tình trạng sức khỏe ổn định, các triệu chứng thuyên giảm rõ rệt, có thể trở lại sinh hoạt bình thường.
“Điều trị tại khoa Tiết niệu – Nam học đã cho tôi một trải nghiệm khó quên. Từ các bác sĩ luôn tận tình thăm khám, đến đội ngũ điều dưỡng ân cần, tỉ mỉ trong từng mũi tiêm, viên thuốc, từng lời dặn dò. Bộ phận dinh dưỡng lại chăm chút khẩu phần ăn sao cho phù hợp với người bệnh thận như tôi. Mọi khâu đều phối hợp nhìn nhàng, khoa học khiến tôi cảm nhận rõ ràng mình đang được chăm sóc toàn diện chứ không chỉ đơn thuần là chữa một căn bệnh”, ông chia sẻ.
Theo PGS Trần Văn Hinh, ca bệnh cho thấy tầm quan trọng của việc theo dõi định kỳ sau can thiệp sỏi niệu quản. Người bệnh từng có tiền sử phẫu thuật điều trị sỏi niệu quản 2 lần, tuy nhiên người bệnh không có chế độ tái khám định kỳ, chỉ khi bệnh trở nên nghiêm trọng, cơ thể mệt mỏi, ông Hồng mới đi kiểm tra, lúc này tình trạng hẹp niệu quản đã âm thầm làm suy giảm chức năng thận trong thời gian dài. Chính vì vậy, việc chủ động thăm khám định kỳ sau can thiệp sỏi tiết niệu là rất cần thiết, không chỉ để đánh giá tình trạng tái phát sỏi mà còn để phát hiện sớm các biến chứng sau can thiệp.
Trước khi ra viện ông Hồng được tư vấn cụ thể chế độ sinh hoạt và dinh dưỡng để phòng ngừa bệnh lý sỏi tiết niệu. Ông được kê đơn khi ra viện, dặn dò lịch hẹn khám để siêu âm kiểm tra lại tình trạng ứ nước thận, nhu mô thận, xét nghiệm máu đánh giá chức năng thận.
“Giờ đây, khi sức khỏe đã ổn định, tôi muốn gửi lời cảm ơn chân thành nhất đến PGS.TS.BS Trần Văn Hinh cùng toàn thể đội ngũ bác sĩ, điều dưỡng, kỹ thuật viên và nhân viên khoa Tiết niệu – Nam học, Bệnh viện đa khoa Tâm Anh Hà Nội. Với tôi, họ không chỉ là những người giỏi chuyên môn mà còn là những người đã trao lại cho bệnh nhân niềm tin và sự yên tâm trong quá trình điều trị. Tôi tin rằng, với sự chuyên nghiệp – khoa học – tận tâm mà mình được trải nghiệm, bệnh viện sẽ ngày càng phát triển, trở thành điểm đến tin cậy cho người người bệnh trên cả nước. Và tôi cũng hy vọng, chia sẻ nhỏ bé này sẽ tiếp thêm động lực cho những ai đang phải đối diện với bệnh lý tiết niệu để họ mạnh dạn tìm đến những nơi uy tín, trao gửi niềm tin và tìm lại sức khỏe”, người bệnh chia sẻ.
HỆ THỐNG BỆNH VIỆN ĐA KHOA TÂM ANH