Người bị máu tụ dưới màng cứng mạn tính không được chủ quan vì đây là một vấn đề nghiêm trọng, có sự tích tụ máu ở giữa hộp sọ và bề mặt não, thường xảy ra do chấn thương đầu hoặc vỡ mạch máu ở não. Nếu gặp phải các triệu chứng nghi ngờ bị máu tụ dưới màng cứng mạn tính, người bệnh cần nhanh chóng đến cơ sở y tế có chuyên khoa Thần kinh, Phẫu thuật Thần kinh thăm khám sớm. Qua đó, bác sĩ có thể chẩn đoán chính xác, đề ra phương hướng chữa trị tối ưu.

Máu tụ dưới màng cứng mạn tính (SDH mạn tính) là tình trạng có một hay nhiều khối máu tụ trên bề mặt não, nằm bên dưới lớp vỏ ngoài của não. Các khối máu đông hóa loãng này thường dễ xảy ra hơn ở những người bệnh từ 60 tuổi trở lên gặp tình trạng teo não, mô não bị teo hoặc teo dần do tuổi tác/bệnh tật. Khi não co lại bên trong hộp sọ theo thời gian, một chấn thương đầu dù không quá nghiêm trọng cũng có thể làm rách các mạch máu trên bề mặt não, dẫn đến tình trạng máu tích tụ chậm trong vài ngày đến vài tuần. (1)
Tìm hiểu thêm: Tụ máu não: Dấu hiệu, nguyên nhân, chẩn đoán và phòng tránh.
Tụ máu dưới màng cứng mạn tính có thể xảy ra với những lý do ít khi nghĩ đến. Máu tụ dưới màng cứng mạn tính có thể xuất phát từ vấn đề teo não, những cục máu đông hóa loãng có thể trở nên khá lớn trước khi gây ra các triệu chứng.
Chưa đến một nửa số người bệnh nhớ chính xác sự kiện chấn thương. Vì ngay cả những chấn thương tương đối tầm thường, chẳng hạn như vết sưng nhỏ trên đầu cũng có thể gây ra tình trạng máu tụ dưới màng cứng mạn tính. Các yếu tố nguy cơ khác bao gồm một tổn thương do té ngã, lạm dụng rượu, co giật, dẫn lưu dịch não tủy dư thừa ra khỏi não, dùng thuốc làm loãng máu như Coumadin… cũng có thể gây bệnh máu tụ dưới màng cứng mạn tính.
Máu tụ dưới màng cứng mạn tính có thể bắt nguồn từ cục máu đông phát triển do nguyên nhân như chấn thương nhỏ ở đầu, hầu như không có dấu hiệu báo trước. Chấn thương này có thể xảy ra vài tuần đến vài tháng trước khi các kỹ thuật chẩn đoán được thực hiện. Người bệnh có thể khó để nhớ lại nguyên nhân gây ra vết thương ban đầu. Trong một số trường hợp có thể không có tiền sử chấn thương. Tình trạng chảy máu có thể xảy ra một cách tự nhiên và tạo thành cục máu đông.
Máu tụ dưới màng cứng mạn tính thường xảy ra nhiều hơn cả ở nhóm người lớn tuổi (trên 60 tuổi). Khi già đi, kích thước não co lại tạo ra nhiều không gian hơn giữa não và hộp sọ. Điều này làm giãn các mạch máu, khiến mạch máu dễ bị rách và vỡ hơn, tạo thêm không gian cho cục máu đông phát triển. Bên cạnh người già, trẻ nhỏ cũng là đối tượng có nguy cơ bị máu tụ dưới màng cứng mạn tính, vì dễ bị té ngã. (2)
Uống rượu lâu ngày cũng có thể làm tổn thương não, gây teo não (co lại hoặc lãng phí mô não). Điều này làm gia tăng nguy cơ bị máu tụ dưới màng cứng mạn tính ở người già. Ngoài ra, người lạm dụng rượu cũng dễ bị té ngã, tiềm ẩn nguy cơ gặp tình trạng chấn thương đầu, làm máu tụ dưới màng cứng mạn tính.
Thuốc chống đông máu hoặc các bệnh liên quan đến vấn đề đông máu cũng có thể là yếu tố gây ra tình trạng máu tụ dưới màng cứng mạn tính. Bệnh lý này có thể xảy ra ở những người sử dụng thuốc chống đông máu (làm loãng máu) như Warfarin hoặc Aspirin.

Máu tụ dưới màng cứng mạn tính chiếm không gian trong não, gây ra áp lực trong hộp sọ. Áp lực này có thể ảnh hưởng đến chức năng và cấu trúc của não, dẫn đến các triệu chứng. Những triệu chứng tụ máu dưới màng cứng mạn tính có thể khác nhau và có khả năng thay đổi. Các triệu chứng tụ máu dưới màng cứng mạn tính có thể không phát triển ngay sau khi bị thương (từ 2 tuần đến vài tháng) và khó phát hiện.
Tụ máu dưới màng cứng mạn tính còn có thể khiến não tổn thương nặng hơn khi áp lực gia tăng, có thể khiến người bệnh tử vong. Các triệu chứng có thể được cải thiện về trạng thái ban đầu nhưng sau đó chuyển biến xấu đi nhanh chóng. Do đó, nếu phát hiện bất kỳ triệu chứng nào ở trên kèm theo tình trạng chấn thương đầu, người bệnh nên đến cơ sở y tế thăm khám ngay lập tức. Điều quan trọng là phải thông báo cho bác sĩ biết về bất kỳ chấn thương đầu nào xảy ra trong vài tháng trước đó.
Tim hiểu thêm: Máu tụ dưới màng cứng cấp tính: Triệu chứng, nguyên nhân và điều trị

Máu tụ dưới màng cứng mạn tính là tình trạng có thể gây tàn tật, thậm chí tử vong nếu không được chẩn đoán và điều trị kịp thời. Ban đầu, tình trạng tụ máu dưới màng cứng mạn tính có thể không biểu hiện triệu chứng hoặc chỉ xuất hiện triệu chứng rất nhẹ trong vài tuần hoặc vài tháng. Các triệu chứng rõ ràng hơn chỉ bắt đầu xuất hiện khi xảy ra tình trạng chảy máu đáng kể. Lúc này, chức năng của não đã bị suy giảm.
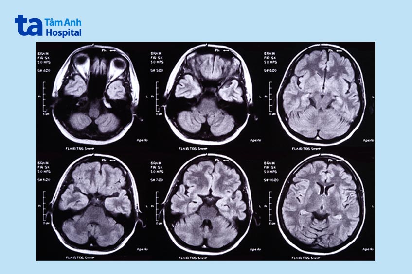
Bác sĩ sẽ xem xét tiền sử bệnh lý, lịch sử xảy ra chấn thương, các triệu chứng và chỉ định cho người bệnh thực hiện những kỹ thuật chẩn đoán hình ảnh cận lâm sàng nhất định, có thể bao gồm:

Ban đầu, tụ máu dưới màng cứng mạn tính dễ bị chẩn đoán sai, nhầm lẫn với sa sút trí tuệ đặc biệt phổ biến ở những người bệnh cao tuổi khi có các triệu chứng liên quan đến sự suy giảm chức năng tâm thần tổng thể. Chẩn đoán sai tại thời điểm nhập viện xảy ra ở khoảng 40% trường hợp.
Mục tiêu điều trị máu tụ dưới màng cứng mạn tính là kiểm soát các triệu chứng và làm giảm thiểu hoặc ngăn ngừa thiệt hại vĩnh viễn đối với não. Nếu không được điều trị, máu tụ dưới màng cứng mạn tính có thể tăng kích thước và chèn ép lên não. Áp lực có thể gây tổn thương não và ngăn không cho nó hoạt động bình thường. Thậm chí áp lực này còn có thể khiến tình trạng tổn thương ở não trở nên nghiêm trọng hơn. Những lựa chọn điều trị sẽ phụ thuộc vào kích thước và loại của cục máu đông.
Máu tụ dưới màng cứng mạn tính kích thước nhỏ không có triệu chứng chính có thể được điều trị bảo tồn. Vì cục máu đông thường có thể được tái hấp thu trên vùng máu tụ. Người bệnh có thể phải ở lại bệnh viện để được theo dõi và thực hiện thêm các kỹ thuật chẩn đoán hình ảnh. Việc làm này được thực hiện để đảm bảo không còn xảy ra sự chảy máu.
Nếu người bệnh bị máu tụ dưới màng cứng mạn tính, gặp triệu chứng nặng hơn thì có thể cần phẫu thuật để loại bỏ cục máu đông. Điều này có thể được thực hiện theo hai cách: dẫn lưu dịch não tủy hoặc phẫu thuật sọ não:
Hiện nay, Bệnh viện Đa khoa Tâm Anh đã ứng dụng công nghệ robot Modus V Synaptive vào các ca phẫu thuật bệnh lý thần kinh – sọ não, trong đó có máu tụ dưới màng cứng mạn tính. Với sự hỗ trợ của robot, bác sĩ có thể quan sát toàn diện tổ chức, không gian não, vùng bị tổn thương, các mô não lành, bó sợi thần kinh… Robot cũng cho phép bác sĩ mổ mô phỏng trước ca mổ thật để chọn đường tiếp cận tổn thương tối ưu. Trong suốt quá trình mổ, robot sẽ giám sát để đảm bảo an toàn, giúp bác sĩ thao tác chính xác, tránh phạm phải bó sợi thần kinh, bảo toàn tối đa chức năng cho người bệnh, hạn chế biến chứng… Qua đó, ca mổ cũng diễn ra nhanh chóng, thuận lợi hơn so với các phương pháp phẫu thuật truyền thống.
Nhìn chung, 80 – 90% người bệnh có sự cải thiện chức năng não đáng kể sau khi dẫn lưu máu tụ dưới màng cứng mạn tính. Chất lỏng còn sót lại có thể tích tụ sau khi điều trị. Thế nhưng có thể không cần loại bỏ hoàn toàn chất lỏng thì mới cải thiện được các triệu chứng.

Bảo vệ bản thân khỏi chấn thương ở đầu có thể giúp ngăn ngừa chứng tụ máu dưới màng cứng mạn tính. Mỗi người phải đội mũ bảo hiểm khi đi xe đạp, xe máy, xe tay ga hoặc ván trượt. Đừng quên thắt dây an toàn khi ở trong ô tô và sử dụng thiết bị bảo vệ ở những tình huống nguy hiểm. Người lớn tuổi có thể thực hiện các bước để ngăn ngừa té ngã.
Nếu bị chấn động não, bạn cần nghỉ ngơi để não có thời gian phục hồi. Việc làm này góp phần ngăn ngừa tình trạng tụ máu dưới màng cứng mạn tính. Bác sĩ điều trị sẽ cho người bị chấn thương biết cần nghỉ ngơi bao lâu trước khi trở lại làm việc, sinh hoạt như bình thường. Tụ máu dưới màng cứng mạn tính có thể không biểu hiện triệu chứng trong nhiều ngày, nhiều tuần, thậm chí nhiều tháng.
Máu tụ dưới màng cứng mạn tính có thể khiến người bệnh tử vong. Do đó, mỗi gia đình cần loại bỏ các nguy cơ vấp ngã tại nhà của mình, đặc biệt là khi gia đình có người lớn tuổi. Cụ thể, bạn nên loại bỏ những tấm thảm dễ gây vấp ngã; đảm bảo dây điện được giấu kín; thêm tay vịn cho tất cả các cầu thang; thêm đèn vào cầu thang, hành lang và những khu vực tối…
Nếu ai đó đi lại không vững thì có thể sử dụng gậy hoặc khung tập đi. Mỗi người nên kiểm tra thị lực thường xuyên để ngăn ngừa té ngã và tai nạn. Bạn cũng cần tránh uống rượu quá mức khiến não dễ bị chảy máu khi có vết thương ở đầu. Tránh uống nhiều hơn hai loại đồ uống có chứa cồn mỗi ngày. Người bệnh đang dùng thuốc làm loãng máu cần cẩn thận. Vì ngay cả các chấn thương nhẹ tại đầu cũng có thể gây tụ máu dưới màng cứng mạn tính ở những người dùng thuốc làm loãng máu.
Để đặt lịch thăm khám, tư vấn các vấn đề về sức khỏe tại Hệ thống Bệnh viện Đa khoa Tâm Anh, Quý khách vui lòng liên hệ:
HỆ THỐNG BỆNH VIỆN ĐA KHOA TÂM ANH
Người bệnh máu tụ dưới màng cứng mạn tính có thể đối mặt với các biến chứng nguy hiểm, thậm chí tử vong nếu không được chẩn đoán, chữa trị đúng cách. Do đó, ngay khi có dấu hiệu nghi ngờ bị tụ máu dưới màng cứng mạn tính người bệnh nên nhanh chóng đến cơ sở y tế uy tín thăm khám.