Khớp cắn đối đầu – một tình trạng răng miệng thường gặp nhưng không phải ai cũng biết. Tình trạng này không chỉ ảnh hưởng đến thẩm mỹ khuôn mặt mà còn gây ra nhiều vấn đề về sức khỏe nếu không được điều trị kịp thời. Vậy khớp cắn đối đỉnh là gì? Nguyên nhân gây ra tình trạng này là gì? Làm thế nào để nhận biết và xử lý khớp cắn đối đỉnh? Hãy cùng tìm hiểu trong bài viết dưới đây.

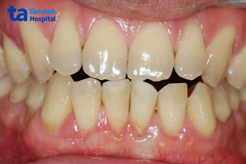
Khớp cắn đối đầu (khớp cắn đối đỉnh) – một loại sai lệch nhẹ trong khớp cắn ngược. Đặc trưng của tình trạng này là nhóm răng cửa trên và dưới chạm vào nhau khi hàm đang ở trạng thái nghỉ. Điều này thường bị nhầm lẫn với khớp cắn chuẩn, nhưng thực tế, hai trường hợp này hoàn toàn khác nhau.
Một số dấu hiệu giúp bạn nhận biết khớp cắn đối đầu:
Cách phân biệt giữa 2 trường hợp khớp cắn chuẩn và khớp cắn đối đầu:

Khớp cắn đối đầu xảy ra chủ yếu do các nguyên nhân chính sau đây:
Yếu tố di truyền ảnh hưởng rất lớn trong việc gây ra khớp cắn đối đầu. Nếu người thân trong gia đình có hàm răng không chuẩn, thì khả năng bạn mắc phải tình trạng khớp cắn đối đầu rất cao. Các loại khớp cắn khác như khớp cắn chéo, khớp cắn hở, và khớp cắn sâu cũng bắt nguồn từ yếu tố di truyền.
Khi hàm và răng phát triển không đồng đều, từ đó các răng không cắn vào nhau dẫn đến khớp cắn đối đầu.
Các thói quen không lành mạnh từ nhỏ như dùng núm vú giả kéo dài, tật đẩy lưỡi, thói quen mút ngón tay, hoặc bú bình quá lâu cũng gây ra khớp cắn đối đầu và ảnh hưởng đến toàn bộ hàm răng.

Khi mất răng không được thay thế sẽ tạo ra khoảng trống giữa các răng, dẫn đến các khớp cắn bị sai lệch.
Người bệnh đã từng bị tổn thương hoặc phẫu thuật trong khu vực miệng và hàm có thể làm thay đổi các khớp cắn, từ đó dẫn đến khớp cắn đối đầu.
Khớp cắn đối đầu nếu không điều trị sớm, sẽ dẫn đến 1 số ảnh hưởng như sau:
Khi bị khớp cắn đối đỉnh, các răng cửa thường xuyên chạm vào nhau khi ăn nhai thức ăn hoặc khi nói chuyện. Điều này lâu dần sẽ làm men răng bị mòn, răng mẻ làm thay đổi hình dạng của hàm và khuôn mặt không cân xứng khiến bạn cảm thấy tự ti khi giao tiếp.
Răng cắn đối đầu ảnh hưởng rất nhiều đến chức năng ăn nhai do 2 hàm khít vào nhau khiến khớp hàm bị cứng và thức ăn không được nghiền nát. Từ đó, gây ra các bệnh lý về tiêu hóa như đau dạ dày hay tá tràng,…
Răng đối đỉnh lâu dài dẫn đến men răng bị bào mòn quá nhiều, khiến răng dễ nhạy cảm và bị tổn thương. Hơn nữa, khi vi khuẩn tấn công, không còn lớp men răng khó có thể chống lại. Từ đó, xuất hiện các bệnh lý về răng miệng như: sâu răng, viêm nha chu, răng ê buốt, nứt, mẻ,…
Để chẩn đoán khớp cắn đối đỉnh, bác sĩ tiến hành xét nghiệm X-quang, sau đó kiểm tra răng và hàm của người bệnh. Tiếp theo, bác sĩ cho người bệnh cắn vào miếng sáp để xác định các khớp cắn có đúng vị trí không. Sau khi chẩn đoán, bác sĩ trao đổi với người bệnh về phương pháp điều trị phù hợp.
3 phương pháp điều trị khớp cắn đối đầu phổ biến nhất hiện nay được bác sĩ gợi ý:
Niềng răng là giải pháp được ưa chuộng nhất hiện nay để khắc phục các khuyết điểm về răng, phù hợp với mọi mức độ từ nhẹ đến nặng. Niềng răng không chỉ giúp điều trị triệt để tình trạng khớp cắn đối đỉnh mà còn giúp bảo vệ tối đa răng thật, không gây tác động đến cấu trúc răng. Bác sĩ sử dụng các dụng cụ nha khoa để tạo ra lực kéo hoặc đẩy, nhằm dịch chuyển các răng mọc sai lệch về vị trí mong muốn. Một số hình thức niềng răng phổ biến như:
Trong số các giải pháp niềng răng hiện nay, niềng răng không mắc cài (niềng răng trong suốt) đang nhận được sự quan tâm của nhiều người. Bởi vì loại niềng nà không chỉ đáp ứng khả năng cân chỉnh khớp cắn chuẩn mà còn mang lại giá trị thẩm mỹ, kể cả đang trong quá trình niềng răng. (1)

Trường hợp khớp cắn đối đầu ở mức độ nhẹ và trung bình, khoảng cách giữa các răng vừa đủ và không mắc phải các bệnh lý răng miệng, bác sĩ sẽ áp dụng phương pháp bọc răng sứ cho người bệnh. Khi thăm khám xong, bác sĩ tiến hành mài răng để tạo trụ, sau đó lấy dấu và thiết kế mão sứ sẽ mài bớt cấu. Tiếp theo, lắp mão sứ lên trên trụ răng. Giải pháp này mang lại một số lợi ích như:
Tuy nhiên, bọc sứ chỉ phù hợp với những trường hợp khớp cắn đối đỉnh nhẹ và răng thật cần phải được mài bớt để tạo trụ (tỷ lệ mài không quá 2mm). Do đó, nếu tình trạng khớp cắn đối đỉnh nặng hơn hoặc răng bị mài nhiều hơn, có thể dễ gặp phải những biến chứng nguy hiểm cho sức khỏe.
Trường hợp khớp cắn đối đỉnh do xương hàm, cần phải tiến hành phẫu thuật cắt, gọt Quy trình điều trị bao gồm:
Để phòng ngừa khớp cắn đối đỉnh và duy trì hàm răng đẹp, bạn cần thực hiện các biện pháp sau:
Mọi thắc mắc cần được giải đáp hoặc nhu cầu đặt lịch khám, vui lòng liên hệ BVĐK Tâm Anh theo thông tin sau:
HỆ THỐNG BỆNH VIỆN ĐA KHOA TÂM ANH
Tóm lại, bài viết này đã giúp bạn hiểu rõ nguyên nhân, cách nhận biết và xử lý khớp cắn đối đầu. Nếu bạn nghi ngờ mình hoặc người thân của mình mắc phải khớp cắn đối đầu hãy đến bệnh viện nha khoa để kiểm tra và lựa chọn phương pháp điều trị phù hợp.