Hình ảnh chấn thương sọ não trên phim chụp CT giúp bác sĩ phát hiện nhanh các tổn thương xương sọ, xuất huyết, dập não…; góp phần hỗ trợ chẩn đoán và xử trí kịp thời. Vậy, hình ảnh chấn thương sọ não trên phim chụp cắt lớp vi tính ra sao?
Hình ảnh chấn thương sọ não trên phim chụp CT
Dưới đây là một số hình ảnh chấn thương sọ não trên phim chụp CT:
1. Hình ảnh tổn thương xương
Trên phim CT, tổn thương có thể biểu hiện bằng dấu hiệu rạn, vỡ, lún xương hộp sọ.
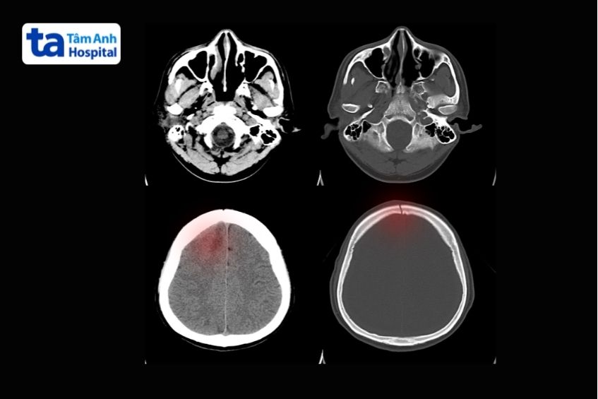
Tụ máu ngoài màng cứng (epidural hematoma): Biểu hiện dưới dạng vùng tăng tỷ trọng nằm sát mặt trong của xương sọ, hình thấu kính hai mặt lồi. Một mặt áp sát xương, mặt còn lại hướng vào não. Ổ máu tụ thường rõ trong những ngày đầu. Nếu không được phẫu thuật sớm, máu có thể bị dịch hóa, làm hình ảnh trên CT trở nên đồng nhất hoặc giảm tỷ trọng so với mô não. Các ổ nhỏ có thể tự hấp thụ sau một thời gian.
Ảnh chụp CT biểu hiện máu tụ ngoài màng cứng
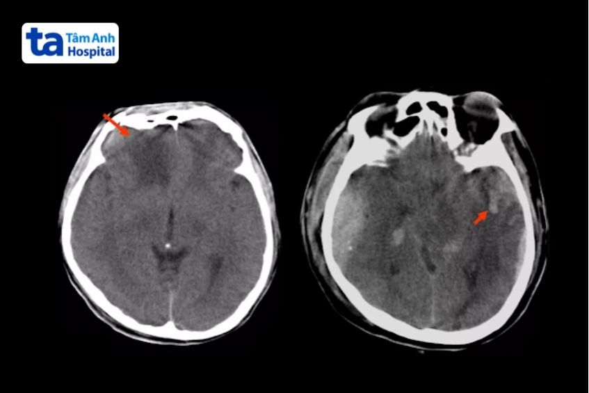
Tụ máu dưới màng cứng (subdural hematoma): Biểu hiện bằng hình liềm tăng tỷ trọng, mặt lồi bám vào xương sọ, mặt lõm hướng về mô não. Ban đầu, máu tụ dưới màng cứng cũng có tỷ trọng như máu tụ ngoài màng cứng. Theo thời gian, máu bị giáng hóa và hấp thụ, tạo thành vùng đồng tỷ trọng hoặc giảm tỷ trọng so với mô não, gọi là ổ tụ máu mãn tính. (1)
Ảnh chụp CT biểu hiện máu tụ dưới màng cứng
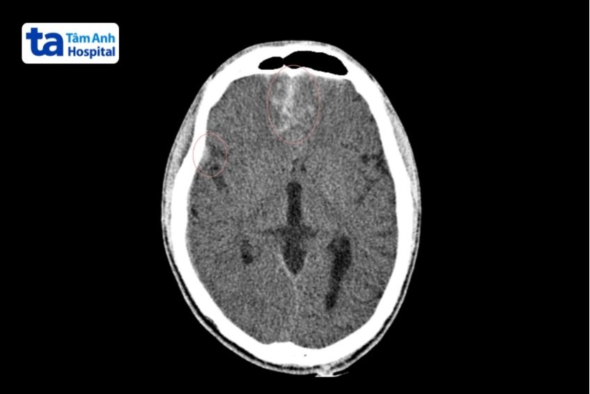
3. Hình ảnh dập não trong chấn thương
Dập não xuất hiện trên CT là một vùng giảm tỷ trọng do phù nề, xen kẽ các điểm tăng tỷ trọng của ổ xuất huyết. Vùng tổn thương thường gây hiệu ứng choán chỗ vì phù não lan rộng. Nguyên nhân chủ yếu do chảy máu trong nhu mô não tại khu vực gần xương sọ, nơi chịu tác động va đập. Tuy nhiên, đôi khi tổn thương lại xuất hiện ở phía đối diện với chỗ va đập, do lực phản hồi trong quá trình chấn thương.
Ảnh chụp CT phát hiện dập não do chấn thương
4. Hình ảnh xuất huyết khoang dưới nhện
Xuất huyết khoang dưới nhện thể hiện bằng vùng tăng tỷ trọng nằm ở các bể nền, rãnh cuộn não, rãnh Sylvius, rãnh liên bán cầu.
Ảnh chụp CT nhận diện xuất huyết khoang dưới nhện
5. Hình ảnh tràn khí trong não
Tràn khí trong não xuất hiện khi xương sọ bị vỡ và màng cứng rách, khiến không khí lọt vào nhu mô não.
Ảnh chụp CT ghi nhận tràn khí trong não
Tìm hiểu cách đọc kết quả chụp cắt lớp não
Kết quả chụp CT sọ não thường có sau 20–30 phút. Bác sĩ sẽ dựa vào hình ảnh để đánh giá và chẩn đoán tình trạng tổn thương.
Kết quả bình thường: Trên phim CT, cấu trúc não hiện rõ và cân đối:
Mô não: Chất xám và chất trắng phân biệt rõ, tỷ trọng bình thường.
Não thất: Thấy rõ não thất III, IV và não thất bên, chứa dịch có tỷ trọng thấp.
Tiểu não: Tiểu não và thùy nhộng nằm ở giữa hai bán cầu, hình dạng bình thường.
Vôi hóa sinh lý: Có thể thấy tại liềm đại não, tuyến tùng, hạch nền hoặc đám rối mạch mạc.
Bể não và rãnh cuộn: Các bể chứa dịch não tủy và rãnh cuộn hiện rõ, đặc biệt ở vùng đỉnh.
Kết quả bất thường: Nếu xuất hiện thay đổi về tỷ trọng hoặc cấu trúc, có thể nghi ngờ tổn thương do chấn thương sọ não:
Khối choán chỗ: Thường gặp trong tụ máu nội sọ hoặc ổ xuất huyết
Thay đổi tỷ trọng:
Vùng tăng tỷ trọng: biểu hiện của xuất huyết hoặc máu tụ.
Vùng giảm tỷ trọng: gợi ý phù não sau chấn thương.
Tổn thương xương sọ hoặc xương mặt: Có thể thấy rạn, lún, khuyết hoặc gãy xương; đôi khi có mảnh xương rời và di lệch.
HỆ THỐNG BỆNH VIỆN ĐA KHOA TÂM ANH
Bệnh viện Đa khoa Tâm Anh Hà Nội:
108 Phố Hoàng Như Tiếp, Phường Bồ Đề, TP. Hà Nội
(Đ/c cũ: 108 Hoàng Như Tiếp, P.Bồ Đề, Q.Long Biên, TP. Hà Nội)
Hình ảnh chấn thương sọ não trên phim chụp CT cung cấp dữ liệu chính xác, giúp bác sĩ đánh giá mức độ tổn thương và quyết định hướng điều trị phù hợp. Người bị té ngã hoặc va đập mạnh vùng đầu, cổ, cột sống nên đến bệnh viện sớm để được chỉ định chụp CT, kiểm tra và xử trí kịp thời.
Cập nhật lần cuối: 14:13 30/12/2025
Chia sẻ:
Nguồn tham khảo
1. Lolli, V., Pezzullo, M., Delpierre, I., & Sadeghi, N. (2015). MDCT imaging of traumatic brain injury. British Journal of Radiology, 89(1061), 20150849. https://doi.org/10.1259/bjr.20150849