Chị Nhâm mang thai tuần 35, chụp MRI phát hiện thai nhi xuất huyết não độ 4, tiên lượng nặng.

Một tuần trước đó, thai phụ 40 tuổi quê Đắk Lắk khám thai ở cơ sở y tế địa phương, ghi nhận thai nhi bị giãn não thất nên đến Trung tâm Y học bào thai, Bệnh viện Đa khoa Tâm Anh TP.HCM kiểm tra lại.
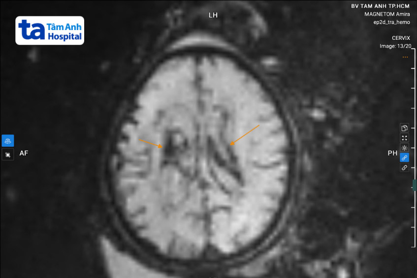
TS.BS Nguyễn Hoàng Long, Phó giám đốc Trung tâm Y học bào thai, cho biết hình ảnh MRI gợi ý thai nhi xuất huyết não độ 4 theo phân loại Papile, tụ máu ở xoang ngang và nhu mô não, giãn não thất mức độ trung bình (12-15 mm).
Xuất huyết não thai nhi là tình trạng hiếm gặp, chiếm tỷ lệ 1/10.000 trường hợp mang thai. Trong đó, xuất huyết não độ 4 là mức độ nặng nhất, khi các mạch máu vỡ và gây xuất huyết trong nhu mô não. Nhu mô não là những tế bào không thể tái tạo, phục hồi khi bị tổn thương. Các tế bào này chết đi làm mất chức năng của cơ thể do vùng não đó chi phối. Nguy cơ tử vong chu sinh cao (tử vong thai từ 22 tuần đến 7 ngày sau sinh) ở những thai nhi có xuất huyết não mức độ nặng. Trường hợp trẻ sống có thể gặp các biến chứng nặng như liệt, bại não, động kinh, chậm phát triển tâm thần vận động, sống thực vật…

“Đây là trường hợp khó tư vấn và xử trí vì thai phụ được chẩn đoán thai xuất huyết não độ 4 ở giai đoạn muộn”, bác sĩ Long nói, thêm rằng chị Nhâm chưa sàng lọc trong ba tháng đầu nên không đủ thông tin đánh giá toàn diện tình trạng thai nhi.
Để tìm nguyên nhân gây bệnh, thai phụ cần được chọc ối để loại trừ những nguyên nhân về đột biến di truyền hay nhiễm trùng bào thai. Tuy nhiên, trong trường hợp này phương án chọc ối có thể dẫn đến nguy cơ sinh non, kết quả xét nghiệm có thể sau sinh mới có (khoảng 4 tuần sau thủ thuật). Bác sĩ Long cho biết với tổn thương nhu mô não không thể hồi phục, khả năng thai nhi tử vong cao và khả năng thai nhi phát triển bình thường rất thấp, do đó thai phụ có thể cân nhắc kết thúc thai kỳ.

Xuất huyết não thai nhi xảy ra khi các mạch máu bị vỡ, chủ yếu là vùng mầm của não hoặc cục máu đông làm tắc mạch máu (nhồi máu não).
Các yếu tố nguy cơ gây xuất huyết não thai nhi gồm thai phụ mắc bệnh lý về tiểu cầu hoặc đông máu, giảm tiểu cầu tự miễn, động kinh, sang chấn, sử dụng thuốc kích thích. Một số nguyên nhân từ thai nhi như nhiễm trùng bào thai, bất thường về di truyền (các bất thường đơn gene), rối loạn đông máu bẩm sinh, xuất huyết trong khối u nội sọ. Tuy nhiên, nhiều trường hợp không tìm thấy nguyên nhân cụ thể.
Tỷ lệ tái phát trong lần mang thai tiếp theo phụ thuộc vào nguyên nhân gây bệnh. Nếu xuất huyết não do đột biến gene liên quan đến bố hoặc mẹ, khả năng thai nhi mắc bệnh khoảng 25%, theo bác sĩ Long. Trường hợp mẹ bị giảm tiểu cầu tự miễn, nguy cơ tái diễn ở lần mang thai tiếp theo cao hơn.
Bác sĩ khuyên các thai phụ nên khám thai định kỳ nhằm phát hiện sớm những bất thường thai và biến chứng của mẹ. Siêu âm là phương tiện chẩn đoán hình ảnh giúp khảo sát hình thái, sàng lọc các bất thường của bào thai.
Trường hợp nghi ngờ thai nhi có bất thường, bác sĩ chỉ định các xét nghiệm chẩn đoán trước sinh như siêu âm hình thái học thai chuyên sâu, sinh thiết gai nhau, chọc ối, lấy máu cuống rốn, xét nghiệm di truyền, chụp cộng hưởng từ (MRI). Việc xác định nguyên nhân quan trọng, giúp bác sĩ xử trí phù hợp với thai kỳ hiện tại, lên kế hoạch dự phòng để thai phụ chuẩn bị tốt hơn cho thai kỳ tiếp theo.
HỆ THỐNG BỆNH VIỆN ĐA KHOA TÂM ANH