Hà Nội – Ông Phong, 70 tuổi, tầm soát ung thư phát hiện hai khối u gan, được nút mạch kịp thời, chặn di căn.

TS.BS Trần Hải Bình, Phó trưởng khoa Ung bướu, Bệnh viện Đa khoa Tâm Anh Hà Nội cho biết ông Phong không có triệu chứng nhưng thuộc nhóm nguy cơ rất cao. Bệnh nhân lớn tuổi, nghiện thuốc lá nặng, hút trên một bao thuốc mỗi ngày trong hơn 30 năm, tiền sử xơ gan, viêm gan siêu vi B.
Ông Phong đăng ký khám sức khỏe tổng quát cho cả gia đình, bản thân được tầm soát ung thư gan bằng siêu âm, phát hiện khối giảm âm trong gan. Xét nghiệm chỉ điểm ung thư trong máu, phát hiện mức AFP (chỉ điểm ung thư gan) tăng cao, lên đến 1440 ng/ml, gấp hơn 200 lần ngưỡng bình thường.
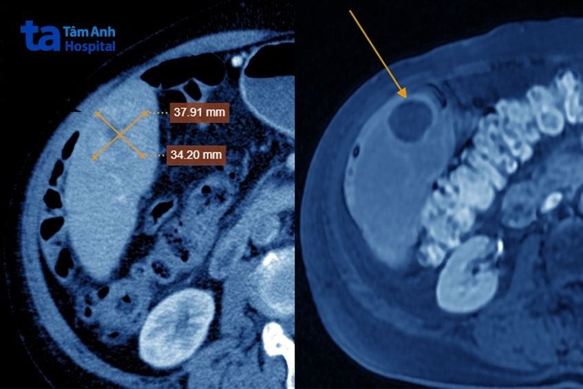
Chụp cắt lớp vi tính bằng máy CT Somatom Force VB 30 thấy hai khối u gan: kích thước 15×20 mm tại hạ phân thùy VIII và 37×34 mm tại hạ phân thùy VI, ngấm thuốc. Phim chụp còn phát hiện bệnh nhân có lóc tách động mạch chủ ngực, xơ vữa, phình, giãn một số động mạch chủ khác và hẹp 56% gốc động mạch thân tạng.
Tiến sĩ Bình hội chẩn với Hội đồng Ung thư đa chuyên khoa (MTB), chẩn đoán ông Phong mắc ung thư gan giai đoạn II, chưa di căn nhưng u đa ổ và có kích thước lớn, chỉ định bệnh nhân nút mạch hóa chất động mạch gan siêu chọn lọc (Superselective TACE).

TTƯT.PGS.TS.BS Nguyễn Xuân Hiền, Giám đốc Trung tâm Chẩn đoán hình ảnh và Điện Quang can thiệp cho biết nút động mạch gan siêu chọn lọc là phương pháp điều trị xâm lấn tối thiểu, an toàn và hiệu quả với u gan ác tính. Mục đích là đưa hạt tải thuốc vào chặn động mạch gần khối u nhất, cắt nguồn máu mang oxy và dinh dưỡng nuôi tế bào ung thư, đồng thời giải phóng thuốc hóa trị liều cao để tiêu diệt khối u mà không làm lắng đọng thuốc ra ngoài. Vì thuốc đi trực tiếp vào khối u, không gây tác dụng phụ nghiêm trọng như hóa trị toàn thân. Một số bệnh nhân nút mạch xong đạt được đáp ứng hoàn toàn và không cần phẫu thuật. Phương pháp nút mạch hiệu quả với cả một số trường hợp ung thư gan đa ổ, bệnh nhân lớn tuổi, có bệnh nền và không còn chỉ định phẫu thuật.
Ngày nút mạch, ông Phong được gây tê ở vùng bẹn phải, không cần gây mê toàn thân. Êkíp mở lỗ nhỏ, luồn ống catheter vào động mạch đùi, lên động mạch chủ bụng rồi vào động mạch gan dưới công nghệ chụp mạch máu số hóa xóa nền (DSA) của hệ thống robot Artis Pheno. PGS Hiền bơm hạt tải thuốc, kiểm tra thấy dòng máu vào u giảm mạnh, rút ống catheter cầm máu cho ông Phong, kết thúc thủ thuật trong một tiếng.
Ông Phong được nút mạch khối u ở hạ phân thùy VI trước, một tháng sau nút mạch khối u ở hạ phân thùy VIII để đánh giá đáp ứng và hạn chế tác dụng phụ. Sau cả hai lần, người bệnh không đau, không mệt, các chỉ số gan ổn định.
Tiến sĩ Bình cho biết tại thời điểm khám lại sau ba tháng, phim chụp MRI thấy hai khối u gan bệnh nhân giảm đáng kể kích thước, không còn ngấm thuốc, các tế bào ung thư đã hoại tử. Ông Phong có sức khỏe tổng thể tốt, tăng cân, chỉ số AFP giảm về ngưỡng bình thường 6,5 ng/ml, đáp ứng hoàn toàn với điều trị.

Theo Globocan, ung thư gan là bệnh ung thư gây tử vong số 1 tại Việt Nam, với hơn 24.500 bệnh nhân mắc mới và hơn 23.300 ca tử vong trong năm 2022.
Tiến sĩ Bình cho biết tỷ lệ tử vong do ung thư gan rất cao do bệnh diễn biến âm thầm, giai đoạn sớm không có triệu chứng, đến khi bệnh nhân có các biểu hiện như vàng da, đau bụng, chức năng gan suy giảm khi khám phát hiện bệnh thì ung thư gan đã ở giai đoạn muộn. Lúc này điều trị rất khó khăn, tiên lượng xấu và chỉ còn mang tính chất kéo dài sự sống cho người bệnh, trung bình khoảng 3-6 tháng.
Tiến sĩ Bình khuyến cáo người khỏe mạnh nên khám sức khỏe định kỳ hàng năm. Người có yếu tố nguy cơ ung thư gan cao như nhiễm virus viêm gan B, xơ gan, uống nhiều rượu, hút thuốc lá nên siêu âm gan và xét nghiệm chỉ điểm ung thư gan 3-6 tháng/lần.
Phát hiện sớm, ung thư gan có thể được điều trị hiệu quả bằng các biện pháp ít xâm lấn như nút mạch, đốt sóng cao tần. Có người bệnh ung thư gan vẫn sống trên 15 năm sau nút mạch.
20h thứ Sáu ngày 12/12/2025, BVĐK Tâm Anh tổ chức chương trình tư vấn trực tuyến “Ứng dụng công nghệ cao – Tầm soát sức khỏe toàn diện, phát hiện sớm ung thư – An toàn – Nhanh chóng – Hiệu quả”, mang đến những thông tin mới và hữu ích, giải đáp các thắc mắc về khám sức khỏe tổng quát và tầm soát ung thư. Các chuyên gia hàng đầu BVĐK Tâm Anh Hà Nội tham gia tư vấn gồm:
– PGS.TS.BS Nguyễn Xuân Hiền – Giám đốc Trung tâm Chẩn đoán hình ảnh và Điện quang can thiệp
– TS.BS Lê Bá Ngọc – Trưởng khoa Nội Tổng hợp
– TS.BS Trần Hải Bình – Phó trưởng khoa Ung bướu
Livestream phát sóng trực tiếp trên website tamanhhospital.vn, vnvc.vn; trên các fanpage: VTV24 – Đài truyền hình Việt Nam, Báo điện tử VnExpress, Báo Thanh niên, Bệnh viện Đa khoa Tâm Anh, Trung tâm Tiêm chủng trẻ em và người lớn VNVC; tiếp sóng trên kênh YouTube Bệnh viện Đa khoa Tâm Anh, YouTube VNVC, YouTube Báo Thanh Niên
Mời quý vị gửi câu hỏi để được chuyên gia giải đáp trực tiếp trong chương trình tại đây, hoặc bằng cách liên hệ tổng đài 024 7106 6858 hoặc 024 3872 3872 (Hà Nội).
*Tên bệnh nhân đã được thay đổi
HỆ THỐNG BỆNH VIỆN ĐA KHOA TÂM ANH