Ông Park, 57 tuổi, cấp cứu trong đêm do đau bụng dữ dội, lan ra sau lưng, bác sĩ phát hiện túi mật đã hoại tử, được phẫu thuật khẩn cấp.

Ông Park (quốc tịch Hàn Quốc) có triệu chứng đau bụng âm ỉ từ nhiều tháng nay, nhưng cứ nghĩ đau dạ dày và tự mua thuốc uống. Mười ngày gần đây, triệu chứng đau dữ dội, quặn thắt vùng bụng trên bên phải, đau lan lên vai, ra sau lưng, bụng căng cứng, buồn nôn và nôn ói liên tục. Ông uống thuốc giảm đau nhưng không bớt, đến khi đau quá sức chịu đựng mới gọi cấp cứu.
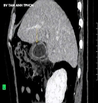
Thạc sĩ bác sĩ Trần Hữu Duy, khoa Gan – Mật – Tụy, Trung tâm Nội soi và Phẫu thuật Nội soi Tiêu hóa, Bệnh viện Đa khoa Tâm Anh TP HCM, cho biết kết quả chụp CT 1975 lát cắt cho thấy, túi mật có 2 viên sỏi vùng phễu và kẹt cổ túi mật, thành dày bắt thuốc mạnh, có vài đoạn mất liên tục, kèm thâm nhiễm mỡ và rối loạn tưới máu nhu gan xung quanh. Hình ảnh gợi ý viêm túi mật hoại tử, kèm sỏi vùng phễu và cổ túi mật.

Bác sĩ Duy cho biết, viêm túi mật hoại tử là một tình trạng cực kỳ nguy hiểm nếu không được phẫu thuật sớm sẽ gây ra các biến chứng như vỡ túi mật, dịch mật và vi khuẩn có thể tràn vào ổ bụng gây viêm phúc mạc toàn thể, nhiễm trùng huyết, dẫn đến suy đa cơ quan (suy thận, suy gan, suy hô hấp), nguy cơ tử vong rất cao. Do đó, trường hợp người bệnh này cần mổ khẩn cấp.
Bác sĩ Duy chỉ định mổ cấp cứu cắt túi mật ngay trong đêm bằng phương pháp phẫu thuật nội soi. Tuy nhiên, quá trình mổ có thể chuyển sang mổ hở nếu các cơ quan viêm dính nhiều. Quá trình phẫu thuật nội soi, bác sĩ nhận thấy túi mật viêm, dày, căng, có mạc nối lớn bám vào, thành túi mật có điểm hoại tử, phễu túi mật dính vào ống mật chủ; cổ túi mật dài, viêm dính nhiều cơ quan xung quanh, cấu trúc bị biến dạng vì hoại tử.
Trước tình trạng viêm dính nhiều cơ quan, bác sĩ quyết định phẫu thuật cắt túi mật ngược dòng. Theo đó, thay vì bóc tách từ phía ống túi mật và động mạch túi mật trước, bác sĩ bắt đầu từ đáy túi mật ngược xuống dưới về phía ống mật chủ. Bác sĩ thực hiện thận trong từng thao tác, gỡ dính tỉ mỉ, tránh làm tổn thương các cơ quan xung quanh. Sau khi cắt túi mật, ê kíp tiến hành lau rửa bụng bằng nước ấm làm sạch vi khuẩn, phòng ngừa dính ruột sau khi vết mổ lành.


Hậu phẫu, sức khỏe ông Part phục hồi tốt, vết mổ khô, không còn đau bụng, không có tình trạng chảy máu, xì rò mật, người bệnh có thể đi lại và ăn cháo loãng sau 2 ngày, được xuất viện sau 3 ngày.
Bác sĩ Duy cho biết, viêm túi mật hoại tử là giai đoạn tiến triển nặng của viêm túi mật cấp tính, khi các mô của thành túi mật bị chết (hoại tử) do thiếu máu nuôi dưỡng và nhiễm trùng nặng kéo dài. Theo thống kê y khoa, tỷ lệ tử vong do viêm túi mật hoại tử từ 15% -22% nếu không được can thiệp kịp thời. Nguyên nhân viêm túi mật hoại tử xảy ra ở những trường hợp viêm túi mật cấp do sỏi tắc nghẽn ở cổ túi mật trong thời gian dài mà không điều trị.
Túi mật hoại tử diễn biến rất nhanh chỉ trong vòng 2 – 3 ngày, đặc biệt ở người cao tuổi, người mắc bệnh nền, các triệu chứng đôi khi không rõ ràng, dễ bị lầm tưởng là bệnh lý tiêu hóa thông thường, khiến phát hiện muộn, gây nguy hiểm đến tính mạng, quá trình điều trị khó khăn.
Bác sĩ Duy khuyến cáo, khi có triệu chứng đau bụng hạ sườn phải, rối loạn tiêu hóa, đau sau khi ăn, người bệnh nên đến các cơ sở y tế uy tín để thăm khám, chẩn đoán và có biện pháp xử trí sớm, ngăn ngừa viêm túi mật tiến triển thành viêm túi mật hoại tử. Cần chủ động phòng ngừa nguy cơ mắc bệnh viêm túi mật cấp bằng cách ăn uống khoa học, giảm các loại thực phẩm có nhiều cholesterol, kiểm soát tốt cân nặng, tránh tình trạng thừa cân, béo phì. Thường xuyên tập thể dục thể thao, ít nhất 30 phút/ngày, 5 ngày/tuần. Không áp dụng những chế độ ăn kiêng giảm cân cấp tốc.
(*) Tên người bệnh đã được thay đổi.
HỆ THỐNG BỆNH VIỆN ĐA KHOA TÂM ANH