Bà Hòa (70 tuổi) phát hiện ung thư phổi giai đoạn 4, đột biến gen, quyết không từ bỏ cơ hội điều trị dù kháng thuốc.

Bà Hòa vốn khỏe mạnh không bệnh vặt, không ho, không khó thở. Trong lần khám sức khỏe tổng quát vào tháng 7/2023, bà phát hiện tràn dịch màng phổi. Kết quả chụp CT thấy ở phổi phải có u kích thước 3 cm, nghi ngờ ung thư. Nhận kết quả chẩn đoán sơ bộ, bà Hòa lặng người.
Được gia đình động viên, bà lấy lại tinh thần, quyết tâm theo kế hoạch chẩn đoán và điều trị. Sau lần sinh thiết đầu tiên qua nội soi phế quản với kết quả viêm, bà Hòa được nội soi lồng ngực phải. Giải phẫu bệnh cho kết quả carcinoma tuyến biệt hóa cao, không tế bào nhỏ, có đột biến gen. Bệnh được xếp giai đoạn 4 do di căn màng phổi.

Bà Hòa có đột biến gen EGFR, được chỉ định dùng thuốc trúng đích thế hệ 1 từ tháng 9/2023. Thuốc mang lại hiệu quả tích cực, tế bào ác tính được kìm hãm, giúp bà duy trì sức khỏe và chất lượng cuộc sống.
Sau khoảng 1,5 năm kể từ khi bắt đầu điều trị, bà thấy đau vùng ngực, lan vai phải. Tiến sĩ bác sĩ Lê Tấn Đạt, Phó Giám đốc Trung tâm Ung bướu, Bệnh viện Đa khoa Tâm Anh TP HCM, cho biết kết quả chụp CT lồng ngực thấy nhiều nốt đặc, vi nốt đặc rải rác 2 phổi, xơ xẹp 2 phổi. Bà Hòa được đánh giá có khả năng bệnh đã kháng thuốc (thuốc không còn khả năng kìm hãm tế bào ung thư sau một thời gian điều trị), tuy nhiên, các dấu hiệu chưa rõ ràng và biểu hiện không đáng kể nên tiếp tục dùng thuốc thế hệ 1, theo dõi sát.
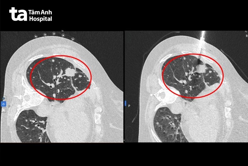
Tháng 10/2025, bà Hòa bị đau ngực nhiều hơn, chụp CT thấy tổn thương tăng kích thước lên 4 cm. Các bác sĩ đã tư vấn hướng sinh thiết u phổi để tìm đột biến gen kháng thuốc. Bệnh nhân hiểu rõ lợi ích của việc này nên một lần nữa quyết tâm tiếp tục theo đúng lộ trình điều trị.
Ê kíp bác sĩ chỉ định chụp CT scan xác định chính xác vị trí, độ sâu và đường đi an toàn nhất để đưa kim vào khối u, tránh các mạch máu lớn, xương và các cơ quan khác. Sau đó, đánh dấu trên da, đưa kim vào u dưới hướng dẫn của hình ảnh CT để lấy mẫu mô, đảm bảo an toàn, giảm nguy cơ tràn khí màn phổi hoặc ho ra máu sau sinh thiết.
Sau hai lần sinh thiết do tính chất u phổi của bà Hòa có đặc điểm khó sinh thiết, kết quả giải phẫu bệnh và nhuộm hóa mô miễn dịch phát hiện đột biến T790M trên gene EGFR và một số đột biến khác trên gen mTOR, TP53, làm tăng độ phức tạp của tình trạng bệnh. “Việc phát hiện các gen kháng thuốc giúp bà Hòa mở ra cơ hội dùng thuốc trúng đích thế hệ 3, ức chế sự phát triển của ung thư phổi hiệu quả hơn”, bác sĩ Đạt nói, thêm rằng với thuốc trúng đích thế hệ mới này, người bệnh sẽ được hỗ trợ chi trả đáng kể theo quy định của Bộ Y tế.
Bên cạnh ung thư, bà Hòa có bệnh viêm gan B mạn tính. Dùng thuốc trúng đích thế hệ 3 giúp người bệnh giảm nguy cơ bùng phát viêm gan B so với hóa trị. Hiện, sức khỏe bà Hòa ổn định, giảm đau ngực phải, các chỉ số trong máu ở mức bình thường.

Kháng thuốc trong điều trị ung thư là tình trạng thuốc không còn khả năng kìm hãm tế bào ung thư sau một thời gian điều trị hiệu quả.
Lý giải cơ chế kháng thuốc trong điều trị ung thư, bác sĩ Tấn Đạt cho biết tế bào ung thư có khả năng tự thay đổi để lẩn trốn thuốc điều trị. Chẳng hạn, tế bào ung thư chuyển qua đường tín hiệu phát triển khác (kích hoạt đường dẫn truyền thay thế) để tiếp tục nhận tăng trưởng. Một số tế bào ung thư sẽ xuất hiện đột biến mới để không còn chịu tác động của thuốc cũ.
Do đó, người bệnh ung thư phổi cần được theo dõi sát thông qua các xét nghiệm cũng như phương pháp chẩn đoán hình ảnh định kỳ. Khi người bệnh có dấu hiệu kháng thuốc như u to lên, chỉ số kháng nguyên ung thư phổi CEA tăng, bác sĩ sẽ chỉ định sinh thiết lại để tìm ra đột biến cùng cơ chế kháng thuốc. Từ đó, có thể thay đổi hướng điều trị, chuyển sang thuốc thế hệ mới hơn. Trường hợp ung thư chuyển dạng hoặc không có thuốc đích tiếp theo, người bệnh có thể hóa trị, xạ trị hoặc kết hợp thuốc ức chế miễn dịch.
Bác sĩ Tấn Đạt nhấn mạnh, với sự tiến bộ của y học hiện đại, đặc biệt là sự ra đời của các loại thuốc trúng đích thế hệ 3, thế hệ 4, xạ trị công nghệ cao, liệu pháp miễn dịch… cùng các phương tiện chẩn đoán hình ảnh, người bệnh ung thư phổi giai đoạn muộn không phải là “dấu chấm hết”. Người bệnh được điều trị với các chọn lựa bước kế tiếp, từ đó kéo dài thời gian và nâng cao chất lượng sống. Tinh thần kiên cường như bà Hòa chính là yếu tố quan trọng nhất giúp người bệnh đạt được hiệu quả cao trong điều trị.
*Tên người bệnh đã được thay đổi
HỆ THỐNG BỆNH VIỆN ĐA KHOA TÂM ANH