
Nang màng nhện ở thai nhi là hiện tượng xuất hiện các khối dịch trong khoang màng nhện, thường được phát hiện qua siêu âm. Phần lớn các trường hợp không gây nguy hiểm nhưng nếu không được theo dõi và chẩn đoán đúng, hiện tượng này có thể liên quan đến những dị tật nghiêm trọng ở hệ thần kinh. Hiểu rõ về nang màng nhện giúp các bác sĩ đưa ra hướng điều trị kịp thời, đảm bảo sự phát triển khỏe mạnh cho thai nhi.

Nang màng nhện ở thai nhi là một túi chứa dịch não tủy hình thành trong màng nhện của não bộ thai nhi. Màng nhện là lớp màng mỏng nằm giữa màng cứng và màng mềm, có chức năng bảo vệ hệ thần kinh trung ương. Nang này hình thành do sự bất thường trong quá trình phát triển của màng nhện, dẫn đến sự tích tụ dịch não tủy trong một khoang kín.
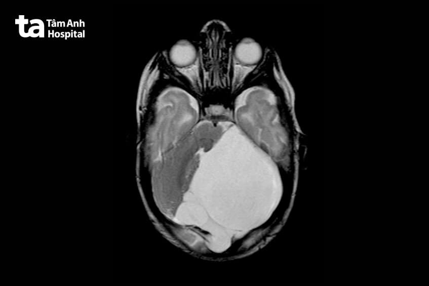
Nang màng nhện có thể xuất hiện ở bất kỳ khu vực nào trong não, nhưng phổ biến nhất ở hố sọ giữa (gần thùy thái dương), vùng góc cầu tiểu não, rãnh liên bán cầu và hố sọ sau. Những nang này có thể có kích thước nhỏ hoặc lớn, tùy thuộc vào từng trường hợp cụ thể. Nang màng nhện thường được phát hiện qua siêu âm thai nhi ở tam cá nguyệt thứ hai nhưng trong một số trường hợp, có thể cần MRI thai nhi để đánh giá chính xác hơn về kích thước và ảnh hưởng của nang. (1)
Nang màng nhện ở thai nhi có nguy hiểm không còn tùy thuộc vào vị trí và kích thước của nang. Đa phần u nang màng nhện thường lành tính và không gây ảnh hưởng nghiêm trọng đến sức khỏe của thai nhi hoặc trẻ sơ sinh.
Tuy nhiên, trong một số trường hợp nang màng nhện có thể phát triển lớn, chèn ép các cấu trúc lân cận, ảnh hưởng đến sự phát triển của não bộ và hệ thần kinh. Do đó, việc theo dõi tình trạng của thai nhi thông qua siêu âm và các xét nghiệm khác trong thai kỳ là rất cần thiết, góp phần bảo vệ tốt sức khỏe cho bé.

U nang màng nhện ở thai nhi là những u nang nguyên phát được hình thành trong quá trình phát triển của bào thai, thường là ở những tuần đầu của thai kỳ. Hiện nay, các nhà nghiên cứu vẫn chưa thể xác định chính xác nguyên nhân dẫn đến nang nhện ở thai nhi. Tuy nhiên, một số yếu tố liên quan có thể dẫn đến hình thành các nang này, bao gồm:
Một trong những nguyên nhân phổ biến dẫn đến sự hình thành nang màng nhện là các bất thường nhiễm sắc thể. Các hội chứng di truyền liên quan đến bất thường nhiễm sắc thể như hội chứng Down (bất thường nhiễm sắc thể 21), hội chứng Patau (bất thường nhiễm sắc thể 13), đặc biệt là hội chứng Edward (bất thường nhiễm sắc thể 18) và hội chứng Pallister-Killian (bất thường nhiễm sắc thể 12) có thể làm thay đổi cấu trúc và chức năng của não bộ, từ đó dẫn đến sự hình thành các nang trong não, trong đó có nang màng nhện.
Các bất thường nhiễm sắc thể này thường ảnh hưởng đến sự phân chia tế bào trong quá trình phát triển của thai nhi, gây rối loạn trong sự phát triển các cơ quan.
Di truyền cũng là một nguyên nhân quan trọng dẫn đến sự xuất hiện của nang màng nhện ở thai nhi. Nếu trong gia đình có người mắc các bệnh lý thần kinh, bệnh bất sản thể chai (ACC), hội chứng Marfan (rối loạn về tổ chức liên kết mang tính di truyền, gây tổn thương ở phổi, mạch máu, tim, xương, mắt, dây chằng) hoặc có tiền sử về các vấn đề như u nang màng nhện, khả năng thai nhi gặp phải tình trạng này sẽ tăng lên.
Các bất thường di truyền có thể ảnh hưởng đến sự phát triển của hệ thần kinh trung ương, khiến cho thai nhi có nguy cơ cao mắc phải các vấn đề tương tự.
Trong một số trường hợp, các gen đột biến có thể dẫn đến sự hình thành nang trong não và các cấu trúc xung quanh. Để xác định rõ ràng nguyên nhân di truyền, các bác sĩ có thể yêu cầu làm các xét nghiệm di truyền hoặc chọc ối trong quá trình mang thai.
Thai nhi bị nang màng nhện thường không có biểu hiện rõ ràng trong giai đoạn mang thai, do đó rất khó để nhận biết chỉ qua các dấu hiệu bên ngoài. Nang màng nhện thường được phát hiện tình cờ qua các xét nghiệm, siêu âm khi thai nhi đã lớn.
Trong hầu hết các trường hợp, nang không gây ra bất kỳ vấn đề về sức khỏe cho thai nhi và thai phụ. Một số triệu chứng thường gặp của nang màng nhện có thể xuất hiện sau khi trẻ chào đời, đặc biệt là khi nang lớn hoặc có tác động đến các vùng xung quanh trong não. Cụ thể:
Nang màng nhện ở thai nhi là tình trạng tương đối hiếm gặp. Tỷ lệ mắc bệnh có thể thay đổi tùy theo các yếu tố như độ tuổi của mẹ, các vấn đề sức khỏe liên quan đến thai kỳ, tiền sử bệnh lý trong gia đình và các yếu tố di truyền khác. Một số nghiên cứu cho thấy tỷ lệ mắc bệnh ở thai nhi dao động khoảng 0.2 – 0.9% dựa trên nghiên cứu siêu âm và khoảng 1.1% dựa trên nghiên cứu MRI.
Chẩn đoán nang màng nhện ở thai nhi chủ yếu được thực hiện thông qua siêu âm thai. Siêu âm là phương pháp an toàn và hiệu quả nhất giúp phát hiện những bất thường trong não của thai nhi bao gồm cả u nang màng nhện. Thông qua siêu âm 3D hoặc 4D, bác sĩ có thể quan sát chi tiết các cấu trúc trong não và phát hiện những bất thường ngay từ giai đoạn giữa thai kỳ.
Bên cạnh phương pháp siêu âm, trong một số trường hợp cần thiết, bác sĩ có thể chỉ định thai phụ thực hiện một số các kỹ thuật chẩn đoán hình ảnh và các xét nghiệm bổ sung khác như MRI thai, NIPT, chọc ối,… để kiểm tra các bất thường nhiễm sắc thể và các yếu tố di truyền khác. Những phương pháp này hỗ trợ bác sĩ xác định được nguyên nhân gây ra nang màng nhện và đánh giá được chính xác mức độ nguy hiểm của tình trạng này.
Khi phát hiện nang màng nhện trong quá trình mang thai, việc quản lý và theo dõi chặt chẽ thai kỳ là rất quan trọng. Đối với các nang nhỏ, không có biến chứng và không ảnh hưởng đến sự phát triển của thai nhi, các bác sĩ có thể chỉ định theo dõi thường xuyên bằng siêu âm và không cần điều trị ngay. Tuy nhiên, đối với các trường hợp nang lớn và có dấu hiệu gây chèn ép, ảnh hưởng đến sự phát triển của hệ thần kinh, các bác sĩ có thể chỉ định thực hiện các phương pháp can thiệp phù hợp.
Sau khi sinh, trẻ sẽ được theo dõi sát sao để đánh giá sự phát triển não bộ và chức năng thần kinh. Các chẩn đoán hình ảnh như siêu âm, MRI sẽ được sử dụng để xác định sự tồn tại và ảnh hưởng của nang. Đa số trẻ có nang màng nhện sẽ phát triển bình thường mà không gặp phải các vấn đề sức khỏe lâu dài. Tuy nhiên, nếu nang gây ảnh hưởng đến sự phát triển của hệ thần kinh, trẻ có thể cần điều trị hoặc phẫu thuật để loại bỏ nang và ngăn ngừa các biến chứng.

Nang màng nhện ở thai nhi có thể chữa được nhưng việc điều trị sẽ phụ thuộc vào kích thước và mức độ nghiêm trọng của nang. Trong những trường hợp nang nhỏ và không có triệu chứng, không cần phải điều trị. Tuy nhiên, nếu nang lớn hoặc gây ra các vấn đề sức khỏe, bác sĩ có thể đề xuất phương pháp điều trị nang màng nhện bằng phẫu thuật để loại bỏ nang, bảo vệ sức khỏe cho trẻ.
Điều trị nang màng nhện cho thai nhi phụ thuộc vào đặc điểm cụ thể của từng trường hợp. Với hầu hết các trường hợp, nang không gây nguy hiểm và không ảnh hưởng đến sự phát triển của thai nhi, do đó chỉ cần theo dõi định kỳ qua siêu âm để đánh giá sự phát triển của nang và can thiệp khi cần thiết. Tuy nhiên, khi nang có kích thước lớn hoặc đi kèm các dấu hiệu bất thường về hệ thần kinh, việc can thiệp ngay sau sinh sẽ được các bác sĩ tiến hành để đảm bảo sức khỏe cho trẻ.
Các phương pháp điều trị bao gồm phẫu thuật nội soi, phẫu thuật mở sọ, dẫn lưu Shunt, phẫu thuật cắt bỏ nang. Việc lựa chọn phương pháp phẫu thuật sẽ được các bác sĩ cân nhắc dựa trên vị trí, mức độ nguy hiểm của khối u, tình trạng sức khỏe của trẻ và các yếu tố khác nhằm giảm thiểu các rủi ro, đảm bảo sự phát triển toàn diện của trẻ.
Hiện nay, chưa có phương pháp phòng ngừa cụ thể nào đối với nang màng nhện vì tình trạng này thường do các yếu tố di truyền hoặc bất thường nhiễm sắc thể gây ra. Tuy nhiên, việc duy trì một lối sống lành mạnh, ăn uống đầy đủ các chất dinh dưỡng, thăm khám định kỳ trước và trong quá trình mang thai cũng như thực hiện các xét nghiệm di truyền nếu có yếu tố nguy cơ, có thể giúp các mẹ bầu giảm nguy cơ mắc bệnh lý này.
HỆ THỐNG BỆNH VIỆN ĐA KHOA TÂM ANH
Tóm lại, nang màng nhện ở thai nhi là một vấn đề cần được phát hiện và theo dõi kỹ lưỡng trong suốt thai kỳ. Phần lớn các trường hợp không gây ảnh hưởng nghiêm trọng nhưng việc đánh giá đúng mức và can thiệp kịp thời là yếu tố quyết định để đảm bảo sự phát triển khỏe mạnh cho thai nhi trong thai kỳ và sau sinh.