Tụ máu não có thể gây tổn thương não, thậm chí khiến người bệnh tử vong. Hiện nay có 2 cách điều trị tụ máu não phổ biến là phẫu thuật và điều trị bằng thuốc.

Trong cuộc sống hàng ngày, những va chạm vùng đầu có thể xảy ra bất kỳ lúc nào và có nguy cơ dẫn đến tình trạng máu tụ trong não. Tụ máu não nếu không được thăm khám và điều trị kịp thời sẽ gây ra nhiều biến chứng nguy hiểm như: gây áp lực lên mô não, tổn thương não nghiêm trọng và thậm chí là tử vong. Vậy, tụ máu não có chữa được không? Cách điều trị tụ máu não là gì?
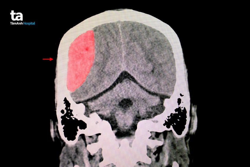
Tụ máu não là tình trạng máu bị xuất huyết trong não và tụ lại ở nhiều vị trí trong não như động mạch, tĩnh mạch, mao mạch vì một hay nhiều lý do nào đó (ví dụ khi mạch máu não bị vỡ). Nói một cách đơn giản, tụ máu não là tình trạng mạch máu bên trong não bị tổn thương, vỡ và máu chảy ra ngoài não, ứ đọng tại một vị trí nhất định.
Mọi chấn thương vùng đầu đều có nguy cơ gây vỡ mạch máu não dẫn đến tụ máu trong não. Theo đó, tụ máu não có thể hình thành từ những chấn thương vùng đầu do tai nạn lao động, tai nạn giao thông hoặc do va chạm hàng ngày như va đầu vào cửa, tường, vòi nước, té ngã do vận động,…
Có 2 dạng tụ máu trong não thường gặp bao gồm: tụ máu dưới màng cứng và tụ máu ngoài màng cứng của nội sọ. Máu tụ trong não dù nằm ở vị trí nào đều cần được phát hiện sớm và điều trị kịp thời, nếu không sẽ dẫn đến nguy cơ xảy ra các biến chứng nguy hiểm như động kinh, tê liệt toàn thân, rối loạn ý thức, tử vong.
Người bị tụ máu não do chấn thương có nhiều khả năng phục hồi nếu được thăm khám và điều trị kịp thời bằng các biện pháp như phẫu thuật giải áp não, dẫn lưu máu tụ trong não ra ngoài,… Quá trình điều trị tụ máu não và phục hồi di chứng thường mất ít nhất khoảng 6 tháng, vì vậy người bệnh cần kiên trì và tuân thủ đầy đủ những yêu cầu từ bác sĩ để đạt hiệu quả tốt nhất.

Triệu chứng tụ máu não phụ thuộc vào các yếu tố như kích thước của khối máu tụ, tuổi tác và thể trạng của người bệnh. Các va chạm vùng đầu có thể ở mức nhẹ, chỉ khiến người bệnh cảm thấy bị choáng nhẹ và trở bình thường sau đó. Tuy vậy, các va chạm cũng có thể gây ra tác động bất thường trong não, và nhiều người có thể chủ quan không đến bệnh viện thăm khám.
Khi máu tụ trong não, người bệnh có thể sẽ cảm thấy các triệu chứng như: buồn nôn, nôn ói, đau đầu dữ dội, tê liệt 1 bên chân/tay hoặc 1 bên cơ thể, khó giao tiếp, co giật,… Tình trạng tụ máu não có thể khiến người bệnh mất dần ý thức và tử vong nếu không được điều trị.
Lựa chọn cách điều trị tụ máu não phụ thuộc vào mức độ máu tụ trong não. Đối với trường hợp máu tụ dưới màng cứng ít, triệu chứng nhẹ thông thường bác sĩ chưa thực hiện phẫu thuật ngay. Ngược lại, nếu mức độ tụ máu não nghiêm trọng hơn, người bệnh có các biểu hiện như co giật, hôn mê,… bác sĩ sẽ chỉ định phẫu thuật dẫn lưu máu tụ trong não ra ngoài càng sớm càng tốt. Hiện nay có 2 cách điều trị tụ máu não phổ biến như sau:
Điều trị tụ máu não bằng thuốc là lựa chọn điều trị được áp dụng trong trường hợp tụ máu não ở mức độ nhẹ. Bác sĩ sẽ chỉ định người bệnh thực hiện các xét nghiệm cận lâm sàng để kiểm soát sức khỏe và kê đơn thuốc đặc trị để loại bỏ dần máu tụ trong não. Trong một số trường hợp, bác sĩ có thể chỉ định người bệnh sử dụng thuốc động kinh nhằm ngăn chặn những cơn động kinh bất chợt. (1)
Đối với cách điều trị tụ máu não bằng thuốc, người bệnh cần tuân thủ chính xác theo đơn thuốc và hướng dẫn từ bác sĩ. Trong quá trình điều trị, nếu người bệnh có những biểu hiện như buồn nôn, nôn ói, co giật, đau đầu dữ dội,… thì cần thông báo ngay cho bác sĩ để được can thiệp kịp thời.
Phẫu thuật là cách điều trị tụ máu não được áp dụng phổ biến nhất. Phương pháp này thường được áp dụng khi phát hiện có máu tụ trong não tại các vị trí như: não thùy chẩm, não thất, não thùy thái dương, tiểu não, não thùy đỉnh, não thùy trán… Thông qua các kỹ thuật, máy móc hiện đại, bác sĩ có thể xác định được vị trí máu tụ trong não một cách chính xác và nhanh chóng, từ đó tiếp cận là loại bỏ khối máu tụ. (2)
Hiện nay, khoa Ngoại Thần kinh, Bệnh viện Đa khoa Tâm Anh TP.HCM áp dụng nhiều kỹ thuật, máy móc hiện đại bậc nhất trong điều trị phẫu thuật các bệnh lý ở sọ não. Điển hình trong số đó là hệ thống định vị Navigation, kính vi phẫu, mổ nội soi… Đặc biệt, robot mổ não Modus V Synaptive hiện đại bậc nhất lần đầu tiên được cấp phép tại Việt Nam, giúp bác sĩ tiếp cận vùng tổn thương não một cách an toàn nhất, tránh phạm phải các bó sợi thần kinh và các mô não lành xung quanh. Từ đó, giúp người bệnh hồi phục nhanh, tránh được các biến chứng hậu phẫu.
Xem thêm: Chi phí phẫu thuật tụ máu não bao nhiêu tiền? Có nguy hiểm không?

Thông thường, bác sĩ có thể sẽ kê đơn các loại thuốc chống co giật để kiểm soát những cơn động kinh có thể xảy ra ở người bệnh sau phẫu thuật điều trị tụ máu não. Ngoài ra, người bệnh sau phẫu thuật não có thể sẽ gặp phải các triệu chứng như khó ngủ, đau đầu,… vì vậy, bạn cần thường xuyên cập nhật tình trạng sức khỏe với bác sĩ của mình để được hỗ trợ khắc phục sớm nhất.
Sau phẫu thuật điều trị tụ máu não, nếu người bệnh là người trẻ tuổi thì thông thường sẽ có tốc độ hồi phục nhanh hơn người lớn tuổi. Điều trị tụ máu não bằng phương pháp phẫu thuật sẽ cần thời gian từ 3 đến 6 tháng để phục hồi. Trong một số trường hợp đặc biệt người bệnh có thể phải mất đến 2 năm để hồi phục hoàn toàn.
Người bệnh cần lưu ý những điều sau đây để sớm hồi phục chức năng hoạt động của cơ thể, bao gồm:

Phẫu thuật điều trị tụ máu não có nguy cơ xảy ra một số biến chứng nhất định, bao gồm: (3)
Phẫu thuật điều trị tụ máu não cũng có nguy cơ lấy sót máu tụ trong não, dẫn đến việc các triệu chứng ban đầu như đau đầu, nôn ói, động kinh,… Trong một số trường hợp, sau khi đã dẫn lưu toàn bộ máu tụ trong não ra ngoài nhưng một thời gian sau đó vùng tụ máu não lại xuất hiện. Lúc này người bệnh có thể cần phải thực hiện phẫu thuật thêm lần nữa hoặc sẽ được điều trị bằng thuốc (tùy vào tình trạng sức khỏe của người bệnh) theo phác đồ điều trị của bác sĩ.
Người bệnh sẽ được bác sĩ tư vấn về các rủi ro có thể gặp phải trong quá trình điều trị tụ máu não. Khi xuất hiện các triệu chứng bất thường, bạn cần thông báo ngay với bác sĩ để được can thiệp sớm nhất. Để đạt hiệu quả điều trị tụ máu não tốt nhất, người bệnh nên chọn thăm khám tại bệnh viện uy tín. Hệ thống Bệnh viện Đa khoa Tâm Anh là một trong những cơ sở y tế sở hữu trang thiết bị hiện đại, đội ngũ y bác sĩ đầu ngành dày dặn kinh nghiệm. BVĐK Tâm Anh đã thăm khám và chữa trị thành công cho hàng nghìn bệnh liên quan sọ não, trong đó có tụ máu não.
Để đặt lịch thăm khám các bệnh lý thần kinh, quý Khách hàng có thể liên hệ đến Hệ thống Bệnh viện Đa khoa Tâm Anh bằng cách:
Bệnh tụ máu não có tỷ lệ gặp biến chứng cao, vì vậy để phòng tránh tình trạng máu tụ trong não tái phát, người bệnh cần có chế độ chăm sóc đặc biệt. Bạn cần tham khảo ý kiến bác sĩ để xây dựng cho mình chế độ dinh dưỡng lành mạnh kết hợp tập luyện nhẹ nhàng phù hợp với thể trạng của bản thân.
Người bị tụ máu não cần bổ sung đầy đủ chất dinh dưỡng trong bữa ăn hàng ngày, dưới đây là một số điều bạn cần lưu ý:

Người bệnh bị tụ máu não ở tình trạng nhẹ có thể luyện tập và vận động phù hợp để góp phần hỗ trợ phục hồi chức năng hoạt động của cơ thể. Tuy nhiên, việc xây dựng chế độ tập luyện phục hồi chức năng cần được tham khảo ý kiến bác sĩ. Người bệnh không được tự ý tập luyện theo bài tập được truyền miệng để tránh xảy ra các biến chứng nguy hiểm như tổn thương não, đột quỵ não,…
HỆ THỐNG BỆNH VIỆN ĐA KHOA TÂM ANH
Tóm lại, để tránh các biến chứng nguy hiểm và nguy cơ tử vong do tụ máu não, mỗi người cần chủ động đến bệnh viện thăm khám ngay sau khi không may xảy ra chấn thương vùng đầu. Nếu có các triệu chứng nghi ngờ tụ máu não, bạn sẽ được bác sĩ chỉ định thực hiện một số kỹ thuật như chụp MRI, CT,… để đưa ra chẩn đoán và cách điều trị tụ máu não hiệu quả nhất.