Viêm phổi nặng là một bệnh lý hô hấp nghiêm trọng, xảy ra khi nhiễm trùng lan rộng đến nhu mô phổi, gây viêm ở các bộ phận như phế nang và tiểu phế quản. Tình trạng này có thể gây suy giảm chức năng hô hấp, làm tăng nguy cơ suy đa cơ quan và tử vong nếu không được phát hiện và điều trị kịp thời. Vậy bệnh có nguy hiểm không? Biểu hiện là gì? Nguyên nhân do đâu? Điều trị như thế nào? Chi tiết sẽ được chia sẻ qua bài viết sau đây.
Viêm phổi nặng là gì?
Viêm phổi nặng (Severe Pneumonia) là một bệnh lý hô hấp nghiêm trọng, xảy ra khi có viêm nhiễm sâu rộng ở nhu mô phổi, bao gồm viêm phế nang, túi phế nang, ống phế nang, tổ chức liên kết khe kẽ, viêm tiểu phế quản tận cùng. Tình trạng nặng khác với tình trạng thông thường do tổn thương phổi lớn hơn, các triệu chứng nghiêm trọng hơn, thậm chí đe dọa đến tính mạng người bệnh nếu không được can thiệp kịp thời.
Tiêu chí đánh giá viêm phổi mức độ nặng nhẹ
Có nhiều tiêu chí và thang điểm được sử dụng để đánh giá mức độ nặng hay nhẹ. Thang điểm phổ biến nhất là CURB-65, mỗi yếu tố liệt kê dưới đây sẽ được tính 1 điểm:
C (Confusion): Lú lẫn, bỗng nhiên thay đổi nhận thức – hành vi.
U (Urea): Nồng độ Urê máu > 7 mmol/L (hoặc BUN > 19 mg/dL).
R (Respiratory rate): Nhịp thở ≥ 30 lần/phút.
B (Blood pressure): Huyết áp thấp (huyết áp tâm thu < 90 mmHg hoặc huyết áp tâm trương ≤ 60 mmHg).
65: Tuổi ≥ 65.
Nếu tổng số điểm từ:
0-1 điểm: Nguy cơ tử vong thấp, thường có thể điều trị ngoại trú.
2 điểm: Nguy cơ tử vong trung bình, nên cân nhắc nhập viện để điều trị nội trú ngắn hạn.
≥ 3 điểm: Nguy cơ tử vong cao, bắt buộc nhập viện điều trị. Nếu điểm từ 4-5, có thể cần cần được chăm sóc đặc biệt tại ICU (khoa hồi sức tích cực).
Đây là tình trạng nhiễm trùng lan rộng ở nhu mô phổi, gây suy giảm chức năng hô hấp rõ rệt.
Các dạng viêm phổi nặng
Bệnh có 2 dạng chính bao gồm:
1. Viêm phổi cộng đồng nặng
Viêm phổi cộng đồng (Severe Community-Acquired Pneumonia – CAP) là tình trạng nhiễm khuẩn tại nhu mô phổi, khởi phát trong cộng đồng, bên ngoài bệnh viện. Được chẩn đoán dựa trên các tiêu chuẩn lâm sàng và cận lâm sàng cụ thể, ví dụ như thang điểm CURB-65 ≥ 3, thang điểm PSI nhóm IV-V, hoặc các tiêu chí ATS/IDSA. Cho thấy người bệnh có nguy cơ biến chứng cao (như suy hô hấp cấp, sốc nhiễm khuẩn), đòi hỏi phải nhập viện điều trị, thường là tại khoa hồi sức tích cực.
2. Viêm phổi bệnh viện nặng
Viêm phổi bệnh viện (Severe Hospital-Acquired Pneumonia – HAP) là tình trạng nhiễm trùng phổi nghiêm trọng, xảy ra sau 48 giờ kể từ khi nhập viện, trước đó không có triệu chứng hô hấp hoặc nhiễm trùng nào. Tình trạng này thường gặp ở người có bệnh nền phức tạp, suy giảm hệ miễn dịch, hoặc đã trải phẫu thuật tại vùng ngực, bụng.
Bệnh liên quan đến thở máy (Ventilator-Associated Pneumonia – VAP) là một phân nhóm riêng biệt, rất nặng của HAP. Thường xảy ra ở người thở máy xâm nhập nội khí quản hoặc mở khí quản sau 48 giờ.
Nguyên nhân gây viêm phổi nặng
Nguyên nhân gây bệnh này thường do:
Do vi khuẩn.
Vi khuẩn Gram âm: là nguyên nhân gây bệnh thường gặp nhất, bao gồm các loại Pseudomonas aeruginosa, Acinetobacter baumannii, Klebsiella pneumoniae, Enterobacter spp., Escherichia coli.
Vi khuẩn Gram dương: chủ yếu là Staphylococcus aureus, đặc biệt là chủng kháng Methicillin (MRSA).
Do virus hợp bào hô hấp (RSV), virus Metapneumo ở người, …
Tụ cầu vàng (Staphylococcus aureus).
Bệnh cúm.
Bệnh ký sinh trùng ở phổi.
Bệnh COVID-19.
Hút thuốc lá.
Dấu hiệu của viêm phổi nặng
Tùy thuộc vào tác nhân gây bệnh và tình trạng sức khỏe của mỗi người mà bệnh nhân sẽ có những dấu hiệu khác nhau.
Các dấu hiệu phổ biến bao gồm:
Đau ngực: Cảm giác đau nhói hoặc tức ngực, đặc biệt tăng lên khi ho hoặc hít thở sâu.
Ho: Có thể là ho khan (không có đờm) hoặc ho có đờm. Đờm có màu xanh, vàng, hoặc thậm chí lẫn máu. Ho ra máu là một dấu hiệu nguy hiểm cần chú ý đặc biệt.
Sốt và rét run: Sốt cao (thường trên 38°C), kèm theo đổ mồ hôi nhiều và cảm giác ớn lạnh, rét run.
Mệt mỏi và suy nhược: Cảm giác cơ thể mệt mỏi, uể oải, kiệt sức, chán ăn.
Khó thở: Cảm giác hụt hơi, khó thở, đặc biệt khi gắng sức. Nhịp thở của người bệnh có thể nhanh hơn bình thường. Trong trường hợp nặng, có thể xuất hiện dấu hiệu tím tái ở môi hoặc đầu ngón tay do thiếu oxy.
Một số người có thể gặp tiêu chảy, buồn nôn hoặc nôn mửa.
Ngoài ra, các triệu chứng nặng ít gặp hơn có thể xuất hiện, gồm:
Đau đầu.
Đau cơ, đau khớp.
Lú lẫn hoặc thay đổi nhận thức (đặc biệt phổ biến ở người cao tuổi).
Nếu phụ nữ mang thai xuất hiện bất kỳ dấu hiệu nào kể trên, cần phải khám bác sĩ ngay để được chẩn đoán và điều trị kịp thời, tránh ảnh hưởng đến thai nhi.
Viêm phổi nặng có nguy hiểm không?
Đây là một bệnh nhiễm trùng đường hô hấp dưới, có thể diễn biến rất nghiêm trọng, gây ra các biến chứng nguy hiểm như suy hô hấp, nhiễm trùng huyết, áp xe phổi. Bệnh sẽ đặc biệt nguy hiểm với đối tượng như: người lớn tuổi, trẻ nhỏ, người có hệ miễn dịch suy yếu hoặc người có bệnh nền.
Tình trạng này có thể dẫn đến suy hô hấp, nhiễm trùng huyết,… thậm chí tử vong nếu không được điều trị kịp thời.
Chẩn đoán viêm phổi nặng
Bệnh được chẩn đoán thường dựa trên các tiêu chuẩn sau đây:
1. Chẩn đoán dựa vào triệu chứng lâm sàng và thăm khám thực thể
Sốt: người bệnh thường sốt cao có lạnh run, đây là dấu hiệu cảnh báo nhiễm vi khuẩn.
Đau ngực: đây là dấu hiệu viêm màng phổi.
Ho: có thể ho khan hoặc có đờm (chất nhầy hoặc mủ), đôi khi đờm có màu gỉ sắt (do phế cầu khuẩn) lẫn với máu, có thể có mùi hôi (do vi khuẩn kỵ khí).
Trong một số trường hợp hiếm gặp, việc nghe phổi có thể giúp bác sĩ phát hiện được tổn thương phế nang, thông qua một số dấu hiệu điển hình như:
Nghe thấy tiếng ran nổ, ran ẩm ở vùng phổi bị tổn thương.
Hội chứng đông đặc, bao gồm gõ đục, rung thanh tăng, rì rào phế nang.
Tiếng vang phế quản, tiếng ngực thầm.
Tiếng cọ màng phổi.
Cần đặc biệt chú ý các dấu hiệu như nhịp thở nhanh (thường > 30 lần/phút), nhịp tim nhanh, tụt huyết áp, tím tái đầu chi hoặc môi (biểu hiện thiếu oxy máu), rối loạn ý thức (lú lẫn, ngủ gà), SpO2 giảm (<90-92%).
2. Chẩn đoán hình ảnh
Khi nghi ngờ mắc bệnh, bác sĩ có thể yêu cầu người bệnh thực hiện xét nghiệm chẩn đoán hình ảnh, gồm:
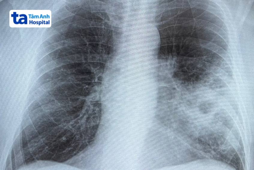
X-quang: Hình ảnh “đám mờ” khi chụp X-quang là “tiêu chuẩn vàng” trong việc chẩn đoán. Tuy nhiên cần lưu ý 2 trường hợp sau:
Dương giả: Có “đám mờ” nhưng không phải bệnh viêm phổi. Cần chẩn đoán phân biệt với bệnh do nguyên nhân không nhiễm trùng (viêm mạch máu, phản ứng thuốc), bệnh phổi mô kẽ, phù phổi cấp do suy tim ứ huyết/hẹp hai lá, nhồi máu phổi, xuất huyết phế nang, xẹp phổi, ung thư phế quản – phế nang.
Âm giả: Không (hoặc chưa) thấy “đám mờ” nhưng vẫn là bệnh viêm phổi. Thường gặp trong các trường hợp: giai đoạn rất sớm của bệnh (chưa đủ thời gian hình thành tổn thương trên X-quang), người bệnh mất nước nặng, giảm bạch cầu hạt trung tính (làm giảm phản ứng viêm), hoặc bệnh do Pneumocystis jirovecii ở người bệnh suy giảm miễn dịch nặng (như AIDS). Trong các trường hợp này, tổn thương thường lan tỏa dạng kính mờ, khó thấy trên phim chụp X-quang thông thường.
CT scan ngực: Bác sĩ thường chỉ định chụp CT ngực trong các trường hợp X-quang không cho ra kết quả rõ ràng. Hoặc khi nghi ngờ người bệnh có các biến chứng áp xe, tràn dịch màng phổi cần được đánh giá chi tiết hơn.
Hình ảnh X-quang viêm phổi nặng bên trái ở người bệnh.
3. Xét nghiệm máu
Xét nghiệm máu có thể cho biết tình trạng nhiễm trùng, thông qua số lượng bạch cầu tăng cao, đặc biệt là bạch cầu đa nhân trung tính. Bác sĩ sẽ tiến hành lấy máu từ ven của người bệnh để nuôi cấy, giúp xác định chính xác loại vi khuẩn gây bệnh. Từ đó lựa chọn phương pháp điều trị, loại thuốc kháng sinh phù hợp cho mỗi người.
Điều trị viêm phổi nặng
Người bị nặng hoặc thuộc nhóm nguy cơ cao cần được điều trị tại bệnh viện bằng phác đồ điều trị tích cực, bao gồm:
Truyền dịch để bù nước và điện giải.
Sử dụng kháng sinh phổ rộng, truyền qua đường tĩnh mạch.
Liệu pháp oxy qua gọng mũi, mặt nạ, oxy dòng cao (HFNC) – để đảm bảo cung cấp đủ oxy cho cơ thể.
Trong trường hợp suy hô hấp nặng, người bệnh có thể cần thở máy.
Tùy vào khả năng nuốt và ý thức của người bệnh, bác sĩ có thể yêu cầu đặt ống thông dạ dày hoặc truyền dịch.
Sử dụng thuốc long đờm, thuốc giãn phế quản, thuốc kháng sinh, thuốc chống nấm, thuốc hạ sốt, thuốc giảm đau, hoặc các thuốc đặc hiệu khác theo chỉ định của bác sĩ.
Mục tiêu chính của việc điều trị nội trú là ổn định tình trạng bệnh, kiểm soát nhiễm trùng và ngăn ngừa các biến chứng nguy hiểm.
Biến chứng của tình trạng này
Một số biến chứng nguy hiểm có thể xảy ra, gồm:
1. Suy hô hấp cấp
Theo National Library of Medicine, khoảng 10% người bệnh mắc hội chứng suy hô hấp cấp tiến triển (ARDS), với tỷ lệ tử vong lên đến 90%. Khi phổi bị tổn thương nặng, lượng oxy trong máu giảm mạnh, khiến não, tim và các cơ quan khác không đủ oxy để hoạt động. Trong trường hợp này, người bệnh cần được hỗ trợ thở bằng máy hoặc thở oxy để duy trì sự sống. (1)
2. Nhiễm trùng huyết
Nhiễm trùng huyết là biến chứng nguy hiểm của bệnh, xảy ra khi vi khuẩn từ phổi xâm nhập vào máu, gây tổn thương mô, suy đa cơ quan và thậm chí tử vong nhanh do sốc nhiễm trùng.
Trong trường hợp xuất hiện dấu hiệu cảnh báo nhiễm trùng huyết như sốt, ớn lạnh, thở gấp, huyết áp thấp, tim đập nhanh, lú lẫn, đau bụng, buồn nôn hoặc tiêu chảy; người bệnh nên được nhập viện khẩn cấp.
Theo thống kê, người trên 65 tuổi có nguy cơ nhập viện vì nhiễm trùng huyết cao gấp 13 lần người trẻ. Người mắc bệnh mạn tính hoặc suy giảm miễn dịch cũng dễ bị nhiễm trùng huyết do bệnh này gây ra.
3. Suy đa tạng
Viêm phổi nặng có thể lan rộng, khiến nhiều cơ quan trong cơ thể bị tổn thương cùng lúc, như gan, thận, tim, hệ tuần hoàn. Khi đó, người bệnh có thể mắc chứng suy đa tạng – một biến chứng cực kỳ nguy hiểm, khiến cho quá trình điều trị trở nên khó khăn và tốn nhiều thời gian, chi phí.
4. Viêm màng não
Trong một số trường hợp, vi khuẩn từ phổi có thể vượt qua hàng rào bảo vệ của não, gây viêm nhiễm lớp màng bao quanh não và tủy sống. Người bệnh viêm màng não có thể xuất hiện các triệu chứng như sốt cao, đau đầu dữ dội, cứng cổ, lú lẫn hoặc mất ý thức. Trường hợp này cần được cấp cứu và theo dõi sát sao vì bệnh có thể tiến triển nhanh, để lại di chứng nặng nề.
Phòng ngừa viêm phổi nặng
Mỗi người có thể thực hiện một số biện pháp sau để giảm thiểu nguy cơ mắc bệnh, cụ thể:
Tiêm phòng vắc-xin: Các loại vắc-xin như vắc-xin phòng phế cầu khuẩn (PCV13, PPSV23), vắc-xin phòng cúm mùa, có thể giúp ngăn ngừa các chủng vi khuẩn và virus phổ biến. Tuy nhiên, người dân không nên tự ý tiêm phòng khi chưa tham khảo ý kiến chuyên môn từ bác sĩ.
Giữ vệ sinh cá nhân sạch sẽ: Thường xuyên rửa tay bằng xà phòng, dung dịch sát khuẩn, đặc biệt là trước khi ăn và sau khi đi vệ sinh. Lưu ý che mũi, miệng khi ho hoặc hắt hơi, tránh tiếp xúc gần với người đang có dấu hiệu bệnh hô hấp.
Không hút thuốc: Thuốc lá có thể làm tổn thương hệ thống phòng vệ tự nhiên của phổi, làm tăng nguy cơ mắc bệnh và các bệnh hô hấp khác.
Tăng cường sức khỏe hệ miễn dịch: Hệ miễn dịch khỏe mạnh là lá chắn vững chắc chống lại bệnh tật. Mỗi người nên:
Tập thể dục đều đặn để cải thiện chức năng phổi, tăng cường sức đề kháng.
Chế độ ăn uống cân bằng, khoa học, bổ sung đầy đủ vitamin, khoáng chất và dinh dưỡng thiết yếu từ rau xanh, trái cây, ngũ cốc nguyên hạt, protein.
Ngủ đủ giấc 7-8 tiếng mỗi đêm để cơ thể phục hồi, hỗ trợ sức khỏe hệ miễn dịch.
Kiểm soát tốt các bệnh nền: Những người mắc các bệnh mạn tính như hen suyễn, bệnh phổi tắc nghẽn mãn tính (COPD), bệnh tim mạch, tiểu đường, … cần tuân thủ phác đồ điều trị và tái khám định kỳ theo chỉ dẫn của bác sĩ.
Tránh các yếu tố nguy cơ khác: Hạn chế tiếp xúc với khói bụi, ô nhiễm môi trường, đảm bảo không khí nơi ở, nơi làm việc được thông thoáng.
Cách chăm sóc cho bệnh nhân bị nặng
Chăm sóc người bệnh viêm phổi nặng tại nhà sau khi xuất viện cần tuân thủ theo những nguyên tắc sau:
Khi tình trạng đã ổn định, người bệnh cần uống thuốc đầy đủ và đúng liều, không tự ý ngưng dùng thuốc khi chưa có chỉ định từ bác sĩ.
Nếu người bệnh xuất hiện các dấu hiệu bất thường như khó thở, nặng thở, sốt, ho nhiều, tức ngực,… cần đưa ngay đến bệnh viện để được thăm khám và chẩn đoán.
Tái khám đúng hẹn để bác sĩ đánh giá quá trình hồi phục và phát hiện sớm biến chứng.
Người bệnh cần ăn uống đủ chất, ăn thức ăn dễ tiêu, uống đủ nước, tập vận động nhẹ nhàng giúp hồi phục sức khỏe tốt hơn.
Hạn chế tiếp xúc với môi trường nhiều khói bụi, thuốc lá, hóa chất và nhiệt độ lạnh.
Tiêm phòng cúm và phế cầu đúng lịch (nếu được bác sĩ chỉ định), để hạn chế nguy cơ mắc các bệnh hô hấp khác.
Người thân nên động viên, tạo môi trường thoải mái để hỗ trợ người bệnh mau chóng hồi phục.
Chăm sóc người bệnh đòi hỏi sự phối hợp chặt chẽ giữa đội ngũ y tế và gia đình.
Câu hỏi liên quan
1. Trường hợp nặng có chữa khỏi hoàn toàn không?
Bệnh có khả năng khỏi hoàn toàn nếu được chẩn đoán và điều trị kịp thời. Tuy nhiên, ở người lớn tuổi hoặc người có bệnh nền, nguy cơ tái phát và để lại di chứng vẫn rất cao. Việc phục hồi hoàn toàn còn phụ thuộc vào mức độ tổn thương phổi và khả năng đáp ứng điều trị.
2. Bệnh nặng điều trị bao lâu?
Đối với các trường hợp nhẹ hoặc trung bình thường kéo dài khoảng 2-3 tuần. Đối với trường hợp nặng, thời gian điều trị có thể lên đến 2 tháng. Thậm chí cần thêm nhiều tháng sau đó nữa để người bệnh hồi phục hoàn toàn thể trạng và sức khỏe.
3. Viêm phổi nặng có lây không?
Bệnh có thể lây truyền. Trường hợp do vi khuẩn hoặc virus sẽ có khả năng lây từ người này sang người khác, thông qua giọt bắn khi người bệnh ho, hắt hơi hoặc nói chuyện. Tuy nhiên, trường hợp do nấm thường không lây truyền giữa người với người.
4. Khi nào cần gặp bác sĩ?
Người dân nên đến gặp bác sĩ nếu mắc phải các triệu chứng như khó thở, đau ngực, sốt cao liên tục trên 38°C hoặc ho kéo dài, đặc biệt là khi ho ra đờm có mủ. Đối tượng trong nhóm nguy cơ cao như người lớn trên 65 tuổi, trẻ nhỏ dưới 2 tuổi, nếu có biểu hiện nghi ngờ bệnh, cần được thăm khám và điều trị trong thời gian sớm nhất.
HỆ THỐNG BỆNH VIỆN ĐA KHOA TÂM ANH
Bệnh viện Đa khoa Tâm Anh Hà Nội:
108 Phố Hoàng Như Tiếp, Phường Bồ Đề, TP. Hà Nội
(Đ/c cũ: 108 Hoàng Như Tiếp, P.Bồ Đề, Q.Long Biên, TP. Hà Nội)
Bài viết đã cung cấp thông tin về bệnh viêm phổi nặng. Đây là một bệnh lý hô hấp nghiêm trọng, đòi hỏi sự can thiệp y tế kịp thời và chuyên sâu. Nếu không điều trị kịp thời, bệnh có thể diễn tiến thành những biến chứng nguy hiểm như suy hô hấp cấp, nhiễm trùng huyết, suy đa tạng, tràn dịch màng phổi,…
Cập nhật lần cuối: 09:44 08/08/2025
Chia sẻ:
Nguồn tham khảo
Sepsis syndrome, the adult respiratory distress syndrome, and nosocomial pneumonia. A common clinical sequence. (1990, December 1). PubMed. https://pubmed.ncbi.nlm.nih.gov/2268994/