
U tuyến dưới hàm là một dạng hiếm gặp, chiếm 5-10% trong bệnh lý u tuyến nước bọt nói chung. Nó có thể lành tính hoặc ác tính. Khối u lành tính vẫn có khả năng hóa ung thư theo thời gian.
Các khối u tuyến nước bọt đa phần là lành tính và thường xảy ra ở tuyến mang tai. U tuyến nước bọt dưới hàm ít phổ biến hơn. Một khối nước bọt không đau là dấu hiệu phổ biến nhất và được đánh giá bằng sinh thiết hút kim nhỏ. Hình ảnh với CT và MRI có thể hữu ích. Đối với các khối u ác tính, điều trị bằng cắt bỏ và xạ trị. Kết quả lâu dài có liên quan đến cấp độ của bệnh ung thư.

U tuyến nước bọt dưới hàm là một loại hiếm gặp của u tuyến nước bọt nói chung. Nó xuất phát từ các tuyến nước bọt phụ ở hàm dưới và có thể là lành tính hoặc ác tính. So với khối u tuyến nước bọt mang tai, khả năng ác tính của u tuyến nước bọt dưới hàm cao hơn.
Khoảng 85% các khối u tuyến nước bọt xảy ra ở tuyến mang tai, tiếp theo là tuyến nước bọt dưới hàm và tuyến nước bọt nhỏ. Chỉ khoảng 1% xảy ra ở tuyến nước bọt dưới lưỡi. Khoảng 75-80% là nốt lành tính, phát triển chậm, di động, không đau, thường đơn độc bên dưới da hoặc niêm mạc bình thường. Đôi khi, chúng là nang mềm nhưng đa phần là cứng.
Có nhiều loại u tuyến nước bọt lành tính bao gồm:
Đây là những loại khối u tuyến nước bọt lành tính nhưng qua thời gian có thể biến đổi thành khối u ác tính.
Các khối u tuyến nước bọt kiểu này gồm có:
Khối u hỗn hợp này có thể chuyển thành ác tính. Thời gian hóa ung thư của nó xảy ra từ 15-20 năm sau khi khối u lành tính xuất hiện.
Khi thoái hóa ác tính từ u tuyến đa hình nó sẽ được gọi là ung thư biểu mô tuyến đa hình. Trong giai đoạn di căn, loại khối u này có tiên lượng rất xấu, kể cả khi đã được điều trị.
Các u hình trụ lành tính có thể từ từ trải qua quá trình biến đổi ác tính thành ung thư biểu mô nang adeno. Đây là khối u ác tính phổ biến nhất của các tuyến nước bọt nhỏ. Tỷ lệ mắc khối u ác tính này xảy ra cao nhất trong độ tuổi từ 40 – 60.
Các triệu chứng của nó bao gồm đau dữ dội và thường gây tê liệt dây thần kinh mặt. Nó có xu hướng xâm lấn và lan rộng quanh thần kinh, với khả năng bệnh kéo dài nhiều cm từ khối u chính. Khối u này thường di căn đến phổi nhiều nhất và ít di căn đến các hạch bạch huyết. Tiên lượng của loại ung thư này ít nguy hiểm hơn so với loại ung thư biểu mô tuyến đa hình.
Các khối u ác tính khác ít phổ biến hơn và có thể được đặc trưng bởi sự phát triển nhanh chóng hoặc tăng trưởng đột ngột. Chúng rắn chắc, dạng nốt và có thể cố định vào mô lân cận và thường có vùng ngoại vi khó xác định. Cuối cùng, lớp da hoặc niêm mạc bên trên có thể bị loét hoặc các mô lân cận có thể bị xâm lấn.(1)
Ung thư biểu mô niêm mạc là loại ung thư tuyến nước bọt phổ biến nhất, thường xảy ra ở những người trong độ tuổi từ 30 – 50. Chúng có thể biểu hiện ở bất kỳ tuyến nước bọt nào, nhưng phổ biến nhất là ở tuyến mang tai. Chúng cũng có thể ở tuyến dưới hàm hoặc một tuyến nước bọt nhỏ của vòm miệng.
Ung thư biểu mô niêm mạc trung bình và cao cấp có thể di căn đến hệ bạch huyết khu vực.
Đây là một khối u phổ biến ở tuyến mang tai, xảy ra ở những người độ tuổi 40 – 50. Ung thư biểu mô này thường phức tạp hơn và tiên lượng kém hơn.
Nguyên nhân của u tuyến nước bọt dưới hàm đến nay vẫn chưa được biết rõ. Tuy nhiên, nhiều giả thuyết cho rằng yếu tố gen di truyền có thể liên quan đến tình trạng trên.
Yếu tố nguy cơ góp phần tăng tỷ lệ xuất hiện các u tuyến nước bọt lành tính, u Warthin là hút thuốc lá. U tuyến nước bọt thường xảy ra ở nhóm người từ 50 tuổi trở lên và tương đối ít gặp ở người dưới 30 tuổi.
Hầu hết các khối u tuyến nước bọt lành tính và ác tính biểu hiện dưới dạng một khối không đau. Tuy nhiên, các khối u ác tính có thể xâm lấn các dây thần kinh và gây ra các triệu chứng sau:
U tuyến nước bọt dưới hàm thường được phát hiện ở người từ 50 tuổi trở lên. Ngoài ra, người hút thuốc lá nhiều năm cũng tăng nguy cơ mắc loại u này.
Các bác sĩ sẽ thăm khám thực thể bằng cách quan sát và sờ bằng tay. Cùng với đó là việc hỏi về triệu chứng người bệnh gặp phải, tiền sử sức khỏe cá nhân và gia đình cũng như thói quen sinh hoạt, nghề nghiệp hoặc tiếp xúc với các yếu tố độc hại.
Ngoài ra, các bác sĩ có thể thực hiện các xét nghiệm sau:
Đây là một phương pháp chẩn đoán chính cho khối u tuyến nước bọt dưới hàm và u tuyến nước bọt nói chung. Thủ thuật này không đau, ít gây biến chứng, hạn chế tỷ lệ dương tính giả. Nó cũng có thể thay thế cho việc phải phẫu thuật cắt bỏ một phần mô bệnh để giải phẫu trong phòng thí nghiệm.
Mặc dù vậy, sinh thiết chọc hút bằng kim nhỏ vẫn có một tỷ lệ âm tính giả có thể xảy ra. Do đó, các kết quả chẩn đoán cần được xem xét kỹ lưỡng. Nếu kết quả sinh thiết chọc hút bằng kim nhỏ khác với các phát hiện nghi ngờ khác, đánh giá lâm sàng nên là chẩn đoán tiếp theo.
Siêu âm sẽ cho biết kích thước, vị trí, bản chất của khối u tuyến nước bọt. Sự hiện diện của các hạch cổ phì đại liên quan đến khối u tuyến nước bọt cũng được quan sát thấy qua siêu âm.

Phương pháp này giúp xác định u tuyến nước bọt dưới hàm là lành tính hay ác tính. Độ nhạy của nó đạt 80-90%.
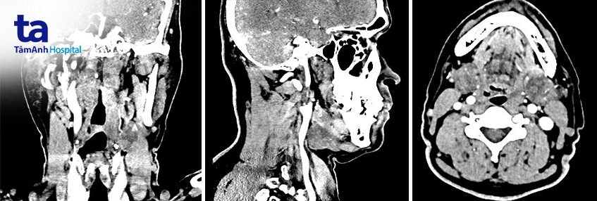
CT-scan hoặc MRI giúp đánh giá cấu trúc giải phẫu của khối u.

Phương pháp điều trị chính cho khối u tuyến nước bọt các loại chủ yếu vẫn là phẫu thuật.
Phẫu thuật bóc tách khối u là phương pháp điều trị chính cho u tuyến nước bọt lành tính. Tuy nhiên, nếu cắt bỏ khối u không triệt để, tỷ lệ tái phát rất cao.
Đối với các khối u tuyến nước bọt ác tính, phẫu thuật, đôi khi xạ trị sau đó là lựa chọn điều trị chính cho các bệnh nhân có thể cắt bỏ. Tỷ lệ sống còn sau 5 năm đối với loại phân độ thấp (tế bào màng nhầy) là 95%, và 50% với loại phân độ cao (tế bào biểu bì).
Hiện nay, phương pháp hóa trị liệu không hiệu quả trong việc điều trị ung thư tuyến nước bọt.
Phương pháp chính là cắt bỏ rộng và xạ trị sau phẫu thuật cho các tổn thương phân độ cao.
Nếu khối u di căn đến hạch bạch huyết, phải được giải quyết bằng phẫu thuật cắt bỏ rộng, nạo hạch và xạ trị sau phẫu thuật.
Phương pháp điều trị chính là phẫu thuật cắt bỏ rộng. Tuy nhiên, nguy cơ tái phát tại chỗ rất phổ biến do xu hướng lan rộng quanh dây thần kinh.
Điều trị hạch tự chọn ít có khả năng được lựa chọn hơn vì sự lây lan hạch bạch huyết ít phổ biến hơn. Mặc dù tỷ lệ sống sót sau 5-10 năm là khá tốt, nhưng 15 và 20 năm sau đó, tình trạng bệnh sẽ diễn biến xấu đi nếu bệnh nhân phát triển di căn xa.
Thường sau 10 năm được chẩn đoán, khối u sẽ di căn đến phổi và gây tử vong.
Phương pháp điều trị là cắt bỏ rộng khối u. Tiên lượng sống sau 5 năm khá tốt sau khi khối u được cắt bỏ rộng.
Phương pháp điều trị chính cho ung thư biểu mô tuyến đa hình là phẫu thuật cắt tuyến dưới hàm, mục tiêu cắt bỏ hoàn toàn tất cả các bệnh. Nạo hạch cổ được thực hiện nếu có di căn hạch và được xem xét cho một số bệnh nhân không có bằng chứng về sự lan rộng của hạch.
Tất cả các ca phẫu thuật đều được thiết kế để giữ lại dây thần kinh mặt, dây thần kinh này chỉ bị cắt bỏ trong trường hợp khối u liên quan trực tiếp đến dây thần kinh.

Do không rõ nguyên nhân gây ra u tuyến nước bọt nên không có phương pháp phòng ngừa nào được khuyến nghị chính thức. Tuy nhiên, không hút thuốc lá và tránh tiếp xúc với các yếu tố độc hại có thể góp phần phòng ngừa loại khối u này.(2)
Việc phòng ngừa khối u tuyến nước bọt dưới hàm tái phát sau phẫu thuật cũng nên được chú ý. Theo đó, bệnh nhân nên tái khám định kỳ hàng năm sau phẫu thuật để sớm phát hiện khối u tái phát (nếu có) và can thiệp sớm.
Ngoài ra, do khả năng hóa ác tính của một khối u tuyến nước bọt lành tính có thể xảy ra sau 10 – 20 năm, người bệnh nên thực hiện phẫu thuật cắt bỏ khối u lành tính sớm và tái khám kiểm tra định kỳ để tránh nguy cơ này.
Để điều trị u tuyến nước bọt hiệu quả, người bệnh nên tìm đến các bệnh viện uy tín có trang thiết bị hiện đại, nhiều chuyên khoa có thể phối hợp hội chẩn và điều trị trúng đích như chuyên khoa Tai Mũi Họng, Răng Hàm Mặt, Ung bướu, Thần kinh, Gây mê hồi sức… Và đội ngũ các chuyên gia bác sĩ giỏi, giàu kinh nghiệm để việc phẫu thuật bóc tách khối u triệt để, chính xác, tránh bỏ sót mô bệnh dẫn đến tái phát sau đó.
U tuyến nước bọt dưới hàm lành tính không nguy hiểm, nhưng do nguy cơ hóa ung thư sau 10-20 năm nên người bệnh cần cảnh giác, không nên chủ quan để u kéo dài nhiều năm.
Với một khối u tuyến nước bọt dưới hàm ác tính thì tiên lượng sống sót sẽ tùy thuộc vào loại khối u và giai đoạn của nó. Tuy nhiên đã là ung thư thì đều là tình trạng ác tính và đe dọa tính mạng.

Để đăng ký khám, tư vấn, điều trị u tuyến nước bọt dưới hàm tại Trung tâm Tai Mũi Họng Bệnh viện Đa khoa Tâm Anh, Quý khách hàng có thể liên hệ:
HỆ THỐNG BỆNH VIỆN ĐA KHOA TÂM ANH
U tuyến nước bọt dưới hàm không thường gặp nhưng có thể xảy ra ở bất cứ ai, đặc biệt người từ độ tuổi 50. Khi phát hiện các bất thường vùng hàm, cổ như vùng dưới hàm phát triển lớn hơn bình thường, sờ thấy khối mềm hoặc rắn, đau hoặc không đau, khó nuốt, khó cử động hàm… người bệnh nên tới bệnh viện thăm khám. U tuyến nước bọt dưới hàm kể cả lành tính cũng cần phải được cắt bỏ. Sau phẫu thuật, người bệnh nên thường xuyên tái khám để phòng ngừa nguy cơ u tái phát.