Bà Hiền (65 tuổi, Hà Nội) nhập viện vì đau đầu, choáng váng, được chẩn đoán có túi phình mạch não dọa vỡ và u màng não chèn ép; ca phẫu thuật kép đã cứu bệnh nhân thoát nguy kịch.

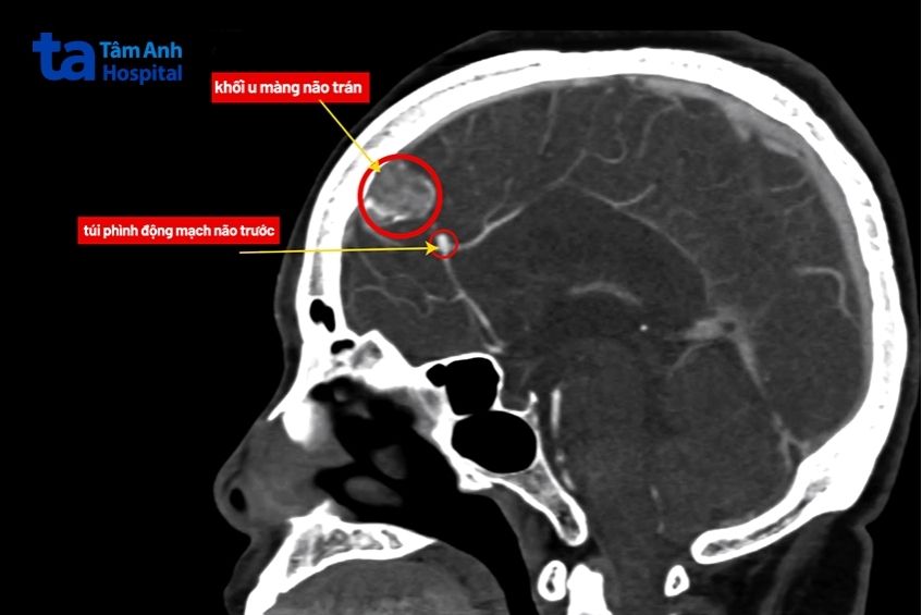
TS.BS Nguyễn Đức Anh, Trưởng khoa Ngoại Thần kinh Cột sống, Bệnh viện Đa khoa Tâm Anh Hà Nội thăm khám lâm sàng và chỉ định người bệnh chụp cộng hưởng từ và chụp mạch não. Kết quả phát hiện bà Hiền có túi phình động mạch não trước và một khối u màng não. Đây là hai bệnh lý có thể gây nguy hiểm trực tiếp đến tính mạng nếu không xử trí kịp thời. Túi phình có nguy cơ vỡ gây xuất huyết não. U màng não phát triển có thể chèn ép, tạo áp lực lên nhu mô não và hệ thần kinh.
Các bác sĩ tiến hành hội chẩn và thống nhất lựa chọn phương án phẫu thuật kẹp cổ túi phình kết hợp lấy u màng não trong cùng một cuộc mổ. Đây là chỉ định khó do người bệnh cùng lúc có hai tổn thương, lại có bệnh nền phức tạp. Đặc biệt, bệnh nhân có tiền sử hen phế quản, quá trình gây mê gặp nhiều trở ngại, nguy cơ ứ khí, tràn khí phổi do đường thở hẹp, có nhiều dịch nhầy. Ê-kíp gây mê phải nhiều lần mở khí quản mới thành công. Nếu chia thành hai ca mổ, bà Hiền sẽ phải trải qua thêm nhiều lần gây mê, nguy cơ biến chứng hô hấp và tim mạch tăng cao. Thực hiện cùng một thì giúp giải quyết toàn bộ bệnh lý trong một lần can thiệp, nhưng đòi hỏi phẫu thuật viên giàu kinh nghiệm và trang thiết bị hỗ trợ tối đa.
Quá trình chuẩn bị được tiến hành kỹ lưỡng. Người bệnh được đánh giá chức năng hô hấp, tim mạch. Hệ thống hồi sức gây mê được huy động đầy đủ. Đội ngũ bác sĩ Ngoại thần kinh, Gây mê hồi sức, Chẩn đoán hình ảnh cùng phối hợp.

Ê-kíp tiến hành mở hộp sọ, tạo lối vào vùng não có túi phình. Kính vi phẫu K. Zeiss Kinevo 900 tích hợp AI cho hình ảnh 3D sắc nét, độ phóng đại cao, bác sĩ nhận diện, quan sát các góc khuất khó tiếp cận và bóc tách mạch máu, đặt clip kẹp cổ túi phình. Ngay sau đó, ê-kíp tiếp tục xử lý khối u màng não nằm sát mạch máu và dây thần kinh. Toàn bộ quá trình được giám sát bằng hệ thống theo dõi điện sinh lý thần kinh (IONM) nhằm bảo đảm an toàn chức năng thần kinh cho người bệnh.
Theo tiến sĩ Đức Anh, thách thức lớn nhất của ca mổ là việc thực hiện hai kỹ thuật phức tạp trong cùng một thì. Thời gian mổ kéo dài, nguy cơ mất máu cao, nguy cơ biến chứng thần kinh hiện hữu. Tuy nhiên, sau 3 tiếng phẫu thuật với sự phối hợp chặt chẽ, kíp mổ đã hoàn tất cả hai mục tiêu. Túi phình được loại bỏ nguy cơ vỡ. Khối u được cắt bỏ tối đa, giải phóng chèn ép. Toàn bộ quá trình diễn ra an toàn, không có biến chứng cấp tính.
Người bệnh được chuyển về chăm sóc tại phòng nội trú của khoa. Chỉ sau 48 giờ, người bệnh tỉnh táo, giao tiếp tốt, vận động tay chân bình thường. Hô hấp ổn định, không cần hỗ trợ máy. Người bệnh có thể tự chủ trong sinh hoạt. Một tuần sau phẫu thuật, tình trạng ổn định, vết mổ liền tốt, các chỉ số xét nghiệm và hình ảnh học sau mổ đều khả quan, bà Hiền được xuất viện.

Theo tiến sĩ Đức Anh, sự thành công của ca phẫu thuật đến từ sự phối hợp đồng bộ của đội ngũ chuyên khoa, cùng sự hỗ trợ của thiết bị hiện đại như kính vi phẫu, hệ thống theo dõi điện sinh lý thần kinh, hệ thống gây mê hồi sức thế hệ mới. Điều này giúp phẫu thuật viên có thể xử trí đồng thời nhiều tổn thương phức tạp mà vẫn đảm bảo an toàn.
Tiến sĩ Đức Anh khuyến cáo, người dân khi có biểu hiện đau đầu kéo dài, choáng, rối loạn vận động, rối loạn cảm giác, cần đi khám sớm tại các bệnh viện có chuyên khoa Ngoại thần kinh. Chẩn đoán sớm giúp phát hiện các bệnh lý mạch máu não, u não ngay từ giai đoạn chưa biến chứng. Đặc biệt với người có bệnh nền như tăng huyết áp, hen phế quản, đái tháo đường, nguy cơ biến chứng càng cao. Bên cạnh đó, tầm soát định kỳ giúp hạn chế nguy cơ vỡ túi phình, xuất huyết não, hay khối u phát triển quá lớn gây khó khăn cho điều trị.
Người dân cũng cần duy trì lối sống lành mạnh, kiểm soát huyết áp, bỏ thuốc lá, hạn chế rượu bia, tăng cường vận động thể lực phù hợp. Khi đã phát hiện bệnh, cần tuân thủ điều trị, dùng thuốc đúng chỉ định, tái khám đúng hẹn.
HỆ THỐNG BỆNH VIỆN ĐA KHOA TÂM ANH